Kontakt /
                    contact     Hauptseite /
                    page principale / pagina principal / home     zurück
                    / retour / indietro / atrás / back
   ENGL - ESP  
<<        >>

Coronavirus19 13d10: Gengeimpfte werden zum Problem:
Gengeimpfte mit schweren Nebenwirkungen 18 (ab 26.5.2022)


17.5.2020: Die Mossad-Regierung Merkel ist von Bill Gates und Melinda Gates DIREKT GESTEUERT - durch eine "Absichtserklärung" vom Feb. 2017 - Link
17.5.2020: Die Mossad-Regierung in der Schweiz ist von Bill Gates und Meldinda Gates DIREKT GESTEUERT - durch eine "Absichtserklärung" vom 22.1.2014 - Link

Video: Natron+Apfelessig in Wasser: heilt viele Sachen bei pH7,3+Kreislauf, Corona19, Nerven, Hirn etc. (5'12'')
Naturmedizin von Mutter Erde PUR: Natron in Wasser plus Apfelessig heilt mit pH7,3 alle Organe+Drüsen+Nerven+Kreislauf, Corona19, Nerven, Hirn etc.
Video-Link: https://www.bitchute.com/video/it5E84XaCuCZ/ - Bitchute-Kanal: NatMed-etc. - hochgeladen am 7.5.2021


SCHLANGENGIFTimpfschaden Magdeburg
                        27.5.2022: Mann Pfizer geimpft: 2 Schlaganfälle
                        + Haut löst sich auf    SCHLANGENGIFTimpfschaden mit
                            Hautschaden "Bullöses Pemphigoid"   Jubiläum der Königin in London 4.6.2022:
                          Soldat 01 bricht zusammen   SCHLANGENGIFTimpfschaden ohne Ort
                          15.6.2022: Hand fault ab mit Gangrän   SCHLANGENGIFTimpfschaden ohne Ort
                          15.6.2022: Hand fault ab mit Gangrän
SCHLANGENGIFTimpfschaden Magdeburg 27.5.2022: Mann Pfizer geimpft: 2 Schlaganfälle + Haut löst sich auf [13]

SCHLANGENGIFTimpfschaden mit Hautschaden "Bullöses Pemphigoid" [6]

Jubiläum der Königin in London 4.6.2022: Soldat 01 bricht zusammen [18]
SCHLANGENGIFTimpfschaden ohne Ort 15.6.2022: Hand fault ab mit Gangrän [25,26]


-- Liste der Heilmethoden gegen Corona19 (medizinische Lebensmittel, Weihrauch, Plasma, falsche Heilmittel, nie impfen, Orte der Ansteckungen etc. -  Liste Link)
-- Beste Prävention oder Heilmittel gegen eine Grippe ist medizinische Ernährung+Blutgruppenernährung+früh schlafengehen+Natron mit Apfelessig (Link)
-- Vorerkrankungen heilen meist mit Natron weg (
Merkblatt Natron

Meldungen

präsentiert von Michael Palomino
Teilen / share:

Facebook








SCHLANGENGIFTimpfschaden Schweiz 26.5.2022: Mann (23, fit) mit J&J geimpft: hatte Corona - und nun Turbokrebs mit Prostatakrebs
Impfschäden Schweiz Coronaimpfung, [26.05.2022 07:52]
https://t.me/Impfschaden_Corona_Schweiz/45218
Eine neue Meldung:
Ein guter Freund von mir (23 Jahre) ist mit Johnson&Johnson gespritzt. Vor kurzem wurde bei ihm Prostatakrebs entdeckt...er ist ein fitter und gesunder junger Mann! Bei der letzten Untersuchung wurde auch gesagt dass der Krebs deutlich schneller wächst als er sollte...
Er hatte auch vor kurzem 8 Wochen 'Corona' (vermute ebenfalls dass es ein Impfschaden war)


SCHLANGENGIFTimpfschaden Schweiz 26.5.2022: Geimpfte leiden unter schlimmen Krankheiten - je nach Krankheite riechen Leute anders
Impfschäden Schweiz Coronaimpfung, [26.05.2022 07:53]
https://t.me/Impfschaden_Corona_Schweiz/45219
Eine neue Meldung:
Zu 21:56: ja diesen Geruch nehme ich seit ein paar Wochen auch vermehrt wahr. Hatte hier dazu enen Link gepostet. Es gibt diverse Erkrankungen, bei denen über die Haut solche Gerüche, wie z.B. Ammoniakgerüche, abgesondert werden. Erwähnt wurden auf dieser Website beispielsweise Leber- und Nierenerkrankungen, die das verursachen können. Ich bin sicher, das es das ist, was wir riechen. Da mir diese Gerüche wie gesagt erst seit jüngster Zeit auffallen, bin ich sicher, dass diese Erkankungen Folgen der Giftspritze sind. Und es scheint viele zu betreffen, da es bereits alleine an meinem Arbeitsplatz eine handvoll sind, die so riechen. Auch ist es mir im Zug schon aufgefallen, manchmal sogar auf offener Strasse!


SCHLANGENGIFTimpfschaden Schweiz 26.5.2022: Geimpfte stinken im Zug
Impfschäden Schweiz Coronaimpfung, [26.05.2022 09:30]
https://t.me/Impfschaden_Corona_Schweiz/45220
Eine neue Meldung:
Zu diesem Post: ich habe mich geweigert, zu glauben, dass die Leute Gerüche absondern. Ich möchte das einfach nicht glauben! Aber mir ist es auch aufgefallen, im Zug vor allem. Ich dachte zuerst, ok, die Lüftung ist schlecht und es war warm. Aber es war mehrmals so. An unterschiedlichen Tagen. Einmal ist jemand neben mit gesessen, da war es extrem. Mir ist das zuvor nie aufgefallen. Es ist nicht so wie die älteren Menschen manchmal riechen, es ist anders.


Verdacht SCHLANGENGIFTimpfschaden Schweiz 26.5.2022: Mann (44): Schlaganfall - Frau (25): Krampfadern mit OP
Impfschäden Schweiz Coronaimpfung, [26.05.2022 11:03]
https://t.me/Impfschaden_Corona_Schweiz/45221
Eine neue Meldung:
In meinem Dorf hat ein 44 jähriger Mann einen Schlaganfall erlitten, er hatte eine krampfader OP, wie meine Kollegin von der ich berichtet habe, das sie jetzt auch in den Beinen schmerzen hat, sie ist 25 Jahre alt, viel zu jung um jetzt schon krampfadern zu bekommen und dann auch noch so schlimm das sie operiert werden musste 😳ich hoffe das sich meine Kollegin wieder erholt, ich vermute das sie die 4 impfung auch schon bekommen hat

.
SCHLANGENGIFTimpfschaden Schweiz 26.5.2022: Geimpfte haben komplett andere Gerüche als normal kranke Menschen - nicht alle Geimpften riechen so
Impfschäden Schweiz Coronaimpfung, [26.05.2022 11:03]
https://t.me/Impfschaden_Corona_Schweiz/45223
Eine neue Meldung:
Zu den Gerüchen: Ich weiss, dass kranke Menschen diverse Gerüche haben. DIESE Gerüche sind jedoch komplett anders und ich habe sie in meinem ganzen Leben bis voriges Jahr noch nie wahrgenommen. DIESE Gerüche haben einen anderen Ursprung. Es riechen aber nicht alle Geimpften und wenn sie riechen, ist der Geruch unterschiedlich stark. Aber es ist IMMER der GLEICHE Geruch. Irgendwie künstlich, aufdringlich, alles durchdringend.


SCHLANGENGIFTimpfschaden Schweiz 26.5.2022: Geimpfte werden immer aggressiver und genervter
Impfschäden Schweiz Coronaimpfung, [26.05.2022 11:05]
https://t.me/Impfschaden_Corona_Schweiz/45226
Eine neue Meldung:
Kennt das jemand in der gruppe ob 3 fach gespritzte in der familie oder Bekanntenkreis immer agressiver werden und immer
Mehr genervter sind????


SCHLANGENGIFTimpfschaden Schweiz 26.5.2022: Geimpfte stinken teilweise "wie ranziges Fett", auch draussen wahrnehmbar
Impfschäden Schweiz Coronaimpfung, [26.05.2022 11:05]
https://t.me/Impfschaden_Corona_Schweiz/45227
Eine neue Meldung:
Auch wieder mal von mir etwas. Zum Post von Gestern 21.56 Auch mir geht so dieser Geruch ist manchmal nicht zum aushalten wie ranziges Fett. War letzte Woche an einem Fest gewesen und das hatte draußen statt gefunden. Nach 3 Stunden hatte ich es nicht mehr ausgehalten. 💖-liche Dank für eure Wertvolle Arbeit


SCHLANGENGIFTimpfschaden Schweiz 26.5.2022: Psychische Verschlimmerung bei Geimpften durch "üble Laune"
Impfschäden Schweiz Coronaimpfung, [26.05.2022 11:41]
https://t.me/Impfschaden_Corona_Schweiz/45228
[In reply to Impfschäden Schweiz Coronaimpfung]
Zu dieser Meldung:
Nur jene, die verzweifelt versuchen, andere von der Spritze zu überzeugen und es ihnen nicht gelingt.
Genauso geht es mir umgekehrt aber auch, obwohl ich niemanden mehr überzeugen will, die Spritzen nicht zu nehmen. Wer von Ihnen überzeugt ist, ist ohnehin schon mindestens 3x gespritzt. Und ich habe aufgehört, die Unstimmigkeiten im Zusammenhang mit C aufzuzeigen. Ich schätze, jeder muss selber für sich entscheiden, was für ihn und seinen Lebensweg richtig ist. Aber ja, die üble Laune kann dadurch entstehen. Das ist zumindest mein Eindruck.


SCHLANGENGIFTimpfschaden Schweiz 26.5.2022: Geimpfte stinken süsslich nach Leiche+Verwesung
Impfschäden Schweiz Coronaimpfung, [26.05.2022 13:23]
https://t.me/Impfschaden_Corona_Schweiz/45232

Eine neue Meldung:
Betreffend div Posts betr der Ausdünstung/Gerüche der 💉 Menschen.
Vor Jahren wurde im Mehrfamilienhaus in der eine meiner Schwestern eine Wohnung hatte eine Leiche gefunden, verwest. Der Geruch erinnert mich stark daran. Süsslich, verwest. 🙈


SCHLANGENGIFTimpfschaden Schweiz 26.5.2022: Geimpfter stinkt seit der 3. Impfung - es wird einem übel
Impfschäden Schweiz Coronaimpfung, [26.05.2022 13:25]
https://t.me/Impfschaden_Corona_Schweiz/45234
Eine neue Meldung:
Hallo mal wieder…ich habe das mit dem Geruch der Geimpften auch nicht wahrgenommen und dachte mir, gut, dann bin ich dafür offenbar nicht sensibel. Dann habe ich kürzlich mit einem mindestens 3x gespritzten Bekannten den Nachmittag verbracht. Draussen war alles ok doch dann sind wir in die Küche, um Essen vorzubereiten. Da war dann schlagartig dieser penetrante, äusserst unangenehme intensive Geruch überall. Mir wurde innert kürzester Zeit speiübel und ich musste raus. Sowas habe ich zuvor noch nie erlebt. Den Bekannten kenne ich schon lange, war oft auch drinnen mit ihm zusammen aber nie war da dieser Geruch (auch nach den ersten beiden Spritzen nicht). Ich werde das weiter beobachten.


SCHLANGENGIFTimpfschaden+Widerstand Schweiz 26.5.2022: Geimpfte stinken teilweise, aber nicht so, wie Krankheiten normal riechen würden - Raumspray
Impfschäden Schweiz Coronaimpfung, [26.05.2022 13:48]
https://t.me/Impfschaden_Corona_Schweiz/45237
Eine neue Meldung:
Ein Teil der Geimpften dünstet furchtbar aus. Mir wird fast schlecht. Aber es riecht nicht wie die typischen Krankheiten Diabetes, Niere oder auch Krebs. Es riecht völlig anders.
Meine Tochter hat eine Mischung für einen Raumspray entwickelt, der bringt deutliche Erleichterung.
Hier das Rezept:

Impfschäden Schweiz Coronaimpfung, [26.05.2022 13:49]
https://t.me/Impfschaden_Corona_Schweiz/45238
Und das hier ist mein Rezept:
- Mondwasser (Vollmond)
- Quarz (schon in der Flasche bei dir, aber ich hab noch, falls du noch eine Flasche machen willst. Man könnte auch noch mehr Kristalle rein tun zum potenter machen...)
- Äetherisches Öl (ich nehm immer Zitrone und Pfefferminze für Schutz und Reinigung, aber man könnte jenstes Öl mit dem gewünschten Effekg rein tun.... ZBsp. Weihrauch oder Salbei dazu zum Reinigen)
- getrocknete Kräuter (entweder spezielle Kräuter oder gekochten Auszug/ starker Tee, weil es sonst schimmeln kann)
- etwas Alkohol
- etwas Glycerin
- Meersalz
- eine Prise Ritualasche (alternativ kann man auch Schwarzes Salz rein tun)

Impfschäden Schweiz Coronaimpfung, [26.05.2022 13:50]
https://t.me/Impfschaden_Corona_Schweiz/45239
Das Gefäss, also die Flasche vor Verwendung reinigen zbsp. Mit Weihrauch oder Salbei Räucherwerk
Und Kiefernnadelöl oder Auszug rein zu tun wäre bei Shedding vermutlich dienlich

Impfschäden Schweiz Coronaimpfung, [26.05.2022 13:53]
https://t.me/Impfschaden_Corona_Schweiz/45240
Mit einer Sprühflasche im Raum rumsprühen...und auch zwei oder drei Sprühstösse über uns...das erleichtert ungemein.


SCHLANGENGIFTimpfschaden Geschäft Schweiz 26.5.2022: 25% der Kunden riechen extrem übel - manchmal auch psychische Veränderung - viele mit Hirnschaden Vergesslichkeit - Haut grau oder gelblich - manche mit Haarausfall - 33% der Kunden haben Probleme mit Hüfte, Knie, Füsse oder Beine
Siena, [26.05.2022 16:33]
https://t.me/Impfschaden_Corona_Schweiz/45241
Eine neue Meldung:

Hallo Siena
In meinem Umfeld erlebe ich tagtäglich Nebenwirkungen der 💉... ich kenne unsere Kundschaft teils über 20jahre...
Etwa 1/4 unserer Kunden riechen extrem, fast nicht auszuhalten, bei den einen stelle ich eine Wesensveränderung fest, viele sind total vergässlich, die Hautfarbe vieler ist entweder grau oder gelblich geworden, bei einigen sieht man das die Haarpracht zurück gegangen ist, nicht übertrieben jeder 3te Kunde hat irgendein Problem mit den Hüften, Knie, Füssen, Beinen... ich spreche die Menschen sehr oft bezgl ihren Leiden an... ich merke, sie sind froh, darüber sprechen zu können. Im Gespräch erzählen sie mir sovieles über ihre Familienmitglieder welche ebenfalls krank sind... merken aber nicht, dass alle den selben Nenner haben: 💉

SCHLANGENGIFTimpfschaden Schweiz 26.5.2022: Frau (65, vor 10 Jahren Hirntumor gehabt) geimpft: extremes Kopfweh, Augenfarbe früher grün-blau, nun schwarz-grau, Haut gelblich, mager geworden
https://t.me/Impfschaden_Corona_Schweiz/45241 (Fortsetzung)
Bei einer Kundin ist mir eine neue "Nebenwirkung?" bezüglich ihren Augen aufgefallen:
Frau 65j hatte vor 10j einen Hirntumor jetzt wieder extreme Kopfschmerzen, Augenfarbe 1/2 schwaz 1/2 hellgrau früher hatte sie grün/braune Augen, Hautfarbe leicht gelblich, wirkt sehr zerbrechlich war schon immer schlank, jetzt aber noch mehr abgenommen.

Und noch etwas:

Widerstand mit Vorsorge 26.5.2022: Lebensmittel für mind. 2 Monate lagern, bis die Reinigung vorbei ist
https://t.me/Impfschaden_Corona_Schweiz/45241 (Fortsetzung)
Was ich allen in diesem Kanal mitgeben oder daran erinnern möchte. Damit wir ungeimpften diese kommende "Drangsal" überstehen können, bereitet euch vor und nimmt all die Anzeichen/Warnungen die sie uns geben ernst (ich hatte zum Glück tiefen Einblick in kommende Abläufe). Ohne Vorbereitung wird diese Zeit nicht gut zu überstehen sein. Das hat nichts mit Angstmacherei zu tun... Angst hat nur der Unwissende und Unvorbereitete. D.h. kauft (unauffällig und am besten mit barzahlung ohne cumuluskarte oder coopkarte) Lebensmittel für mind. 2Monate ein, sorgt für die Möglichkeit euer essen warm zu machen und zu heizen (einen leisen Stromagregat, sonst habt ihr schnell uneingeladene Gäste) wer Kinder hat, sollte auch die in diesen Prozess miteinbeziehen, bereitet euch auch menthal vor, diese kommende Zeit durchzustehen. Was mir in dieser Zeit Hoffnung gibt, so wie die Welt bis 2020 unterwegs war, wäre es nicht mehr lange gutgegangen... diese "Reinigung" in allen Bereichen unseres Lebens, die Fragen nach dem Sinn des Lebens und deren Beantwortung hilft uns zu besseren Menschen zu werden. Ich bin überzeugt, das gemeinsame Ablehnen (jeder in seinem Umfeld) der kranken Vorstellung einiger Psychopaten welche sich als unsere Führer sehen... ist der Schlüssel zu unserer Freiheit.
Ich wünsche allen hier viel Unterscheidungsvermögen, Denkvermögen und Weisheit um die Zusammenhänge zu verstehen und richtig zu handeln.


Mossad-Medien Schweiz 26.5.2022: machen Werbung für Gürtelrose+VERSCHWEIGEN die SCHLANGENGIFTimpfung als Ursache
Impfschäden Schweiz Coronaimpfung, [26.05.2022 17:57]
https://t.me/Impfschaden_Corona_Schweiz/45243
Heute Nachmittag wurde im Schweizer Fernsehen wieder auf die Gürtelrose aufmerksam gemacht und man solle sich mit dem Hausarzt Kontakt aufnehmen.
Kein Wort darüber, dass es sich um eine Nebenwirkung der Spritze handelt.
Beim Bundesamt wird darauf hingewiesen, dass durch eine durchgemachte Windpocken Infektion das Virus im Körper bleibe und dass Immunschwache dadurch Gürtelrose bekommen können.

Die Spritze schwächt das Immunsystem, dies wird jedoch nicht zugegeben


Mossad-Regierung der Schweiz mit Berset+Levy 26.5.2022: VERSCHWEIGT die SCHLANGENGIFTimpfung als Ursache von Gürtelrose
Impfschäden Schweiz Coronaimpfung, [26.05.2022 17:58]
https://t.me/Impfschaden_Corona_Schweiz/45246
Für wie dumm halten die die Bevölkerung.
Das Bundesamt sowie auch die sogenannten Fachexperten wissen ganz genau die Gründe für die plötzlich häufig auftretende Gürtelrose.


SCHLANGENGIFTimpfschaden Schweiz 26.5.2022: Geimpfte Leute hinterlassen Gestank in Umkleidekabinen von Kleidergeschäften
Impfschäden Schweiz Coronaimpfung, [26.05.2022 17:59]
https://t.me/Impfschaden_Corona_Schweiz/45247
Eine neue Meldung:
A propos Gerüche (von Geimpften)
Ich realisiere es erst jetzt, als ich hier wieder gelesen habe, dass es auch das sein könnte.

Bisher habe ich keine ungewöhnlichen Gerüche wahrgenommen, ok ich war auch keinem mit 💉 wirklich nahe.
Aber gestern war ich nach langem wieder mal shoppen, in den kleinen Läden besonders in den Umkleidekabinen da stank es so erbärmlich, das habe ich noch nie gerochen, mir wurde fast übel, wie was verdorbenes.
Kann es grade kaum fassen, was das bedeuten würde.




SCHLANGENGIFTimpfschaden Kanada 26.5.2022: Frau (45) gab Impfzwang nach, 3x geimpft: Starke Blutungen, Vagina-Haut ist wie Leder, juckt+blutet - Haarausfall
Impfschäden Schweiz Coronaimpfung, [26.05.2022 19:47]
https://t.me/Impfschaden_Corona_Schweiz/45256
Eine neue Meldung:
Freundin 45J, in Canada: musste Pfizer wegen pflicht in Der Arbeit Leider 💉💉oder 3 mal.,sie sagte mir seit dem hat sie starke blutungen, vagina haut ist sehr hart wie ein leder geworden und es juckt extreme und blutet. Sie hat auch starke Haarausfall. In manche orten in kopf hat sie keine haaren mehr.. sie hatte sehr schoene dicke dunkle Haare. So traurig. Arzt sagt sind klar impf nebenwirkungen dass ihre auto immun krankeiten gegeben haben


SCHLANGENGIFTimpfschaden Europa 26.5.2022: Leute nach Impfpflicht (Pfizer+AstraZeneca): haben oft Herzmuskelentzündung+Herzbeutelentzündung, Herzoperationen - Geimpfte riechen stark, provoziert Übelkeit - je nach Impfunst stinken sie anders (Moderna und Sinovac)
Brauche gerade einen ort in Europa wo impflicht war. Viele junge und mittel alter leute due Ich kenne, Leiden an miokarditis und periokarditis und andere herz krankheiten. Manche haben mit 45J einen Herz OP nach AstraZeneca und Pfizer weil sie fast gestorben sind.
So traurig. Ich rieche extreme viel die geimpfte hier in diesem land. Ich kaum aushalten kann in offentliche orten. Auch in strassen kann ich welche spritze unterscheiden… Moderna und Pfizer und AstraZeneca und die kinesische 💉, haben jede andere Geruch und ich kann die unterscheiden nur von Geruch und wenn ich die  leute gefragt habe welche 💉, hat alles gestimmt.




Zahlen SCHLANGENGIFTimpfschaden 27.5.2022: "Studie zeigt gehäuftes Auftreten von Hirnvenen-Thrombosen nach mRNA-Impfung"
Eine in der führenden medizinischen Fachzeitschrift „Vaccines“ veröffentlichte Studie hat ergeben, dass es auch bei den mRNA-Impfstoffen
Impfschäden Schweiz Coronaimpfung, [27.05.2022 17:15]
https://t.me/Impfschaden_Corona_Schweiz/45313
[Forwarded from News von TKP]
https://tkp.at/2022/05/27/studie-zeigt-gehaeuftes-auftreten-von-hirnvenen-thrombosen-nach-mrna-impfung/




Verdacht SCHLANGENGIFTimpfschaden 28.5.2022: Mann 3x geimpft: Infektion im Kniegelenk - bekommt neues Kniegelenk
Impfschäden Schweiz Coronaimpfung, [27.05.2022 08:33]
https://t.me/Impfschaden_Corona_Schweiz/45262
Eine neue Meldung:
Unterdessen wurde mein Papa zum 3.mal operiert🥺sie haben ihm ein neues kniegelenk gemacht. Beim vorgespräch hat uns der Arzt mitgeteilt, dass sie nichts, gar nichts gefunden haben und keine Ahnung haben, woher der Infekt kam. Über die 3 Monate hatte ich im spital viele Gespräche mit Ärzten und vorallem Schwestern. Viele sind nicht geimpft👍hinter vorgehaltener Hand, sagen sie:so viele Krankheiten, bei der sie nicht wissen woher. Als ich mal fragte, ob sie noch viele c Patienten hätten, erhielt ich die antwort:sie meinen 2 oder 3x gepfupfte😝mein Papa ist jetzt zum glück auf gutem Weg. Für die 4. Werde ich alle Hebel in die Wege setzen, dass er diese nicht mehr kriegt! Ich habe ihm bereits gesagt, dass er das nicht mehr überleben werde.


Verdacht SCHLANGENGIFTimpfmord Schweiz 27.5.2022: Frau geimpft mit Lungenfibrose: Atemnot+höllische Schmerzen
Impfschäden Schweiz Coronaimpfung, [27.05.2022 08:40]
https://t.me/Impfschaden_Corona_Schweiz/45269
Eine neue Meldung:
Meine Tante von der ich schon erzählt habe, die Lungen Fibrose hat. Der es nach der 💉 viel schlechter geht. Jetzt braucht sie schon am Morgen Stufe 6 Sauerstoff und neu hatte sie unerträgliche Schmerzen am ganzen Körper, die Schmerzen waren so stark, sie konnte sie fast nicht aushalten. Ihr Mann brachte sie ins Spital. Sie gaben ihr starke Schmerzmittel und sie haben sie auch noch in eine Kur geschickt.

Shedding Schweiz 27.5.2022: Fest mit Geimpften provoziert Husten+Heiserkeit
Impfschäden Schweiz Coronaimpfung, [27.05.2022 08:40]
https://t.me/Impfschaden_Corona_Schweiz/45269 (Fortsetzung)
Gestern hatten wir Konf unseres Sohnes, fast alle geimpft, ich habe nicht viel fesr gestellt, viele waren wirklich wie immer, habe sie auch umarmt und Küsschen verteilt da ich diese Menschen liebe und auch nicht spalten will. Sie bedeuten mir viel und wir hatten einen wunderschönen Abend. Doch viel mir auf das unser Sohn plötzlich anfing zu husten er ist unge 💉 und am Abend konnte er fast nicht mehr reden, die Stimme war fast weg. Wegen Shedding mache ich mir nicht mehr so grosse Sorgen. Ich habe mein Blut untersuchen lassen und mein Arzt sagte zu mir, ich hätte ein super Blutbild, ein so gutes habe er noch selten gesehen, also kann es für uns nicht so nachhaltig schlimm sein mit ge 💉 zusammen zu sein.

Widerstand SChweiz 27.5.2022: Frau 2x geimpft verweigert 3. Impfung: Es sterben zu viele!
Impfschäden Schweiz Coronaimpfung, [27.05.2022 08:40]
https://t.me/Impfschaden_Corona_Schweiz/45269 (Fortsetzung)
Habe gestern noch länger mit einer Freundin gesprochen sie ist 2x 💉 aber nur weil sie ihre Kinder zum Hockey begleiten wollte. Sie macht keine 3te 💉 da sie gemerkt hat das viele nach der 3ten sterben oder krank werden 😭.


SCHLANGENGIFTimpfschaden Schweiz 27.5.2022: Hautkrebs, Gürtelrose, Herzmuskelentzündung, Augenschaden, langer Husten
Impfschäden Schweiz Coronaimpfung, [27.05.2022 08:45]
https://t.me/Impfschaden_Corona_Schweiz/45273
Eine neue Meldung:
Generell sind in meinem Umfeld viele gesundheitliche Probleme auf dem vormarsch. Vorallem Herz und neurologische.
Bekannter meiner Eltern, ca 70ig, hautkrebs wieder da, nach jahrelanger ruhe
Seine Frau, gürtelrose und myokarditis, jetzt noch starke sommergrippe
Bekannter ca 75 ebenfalls wieder hautkrebs, seine Frau eine augenkrankheit, bei der sie jetzt monatlich gespritzt werden muss
Mein Bruder (50)und Familie alle nach Impfung c gehabt, kurz danach wieder krank mit langanhaltendem Husten (3-4 wochen


SCHLANGENGIFTimpfschaden Schweiz 27.5.2022: Herzoperation - Autoimmunkrankheit
https://t.me/Impfschaden_Corona_Schweiz/45273 (Fortsetzung)
3 Kunden (ca 70/50/45 unverhofft Probleme mit dem Herz und müssen sofort operiert werden. 1 Kunde(ca 55) plötzlich eine autoimmunkrankeit die auf alle Organe schlägt. (bin sehr schlecht im Namen behalten)

SCHLANGENGIFTimpfschaden Schweiz 27.5.2022: Schmerzen an den Füssen: Nerven aus Fusssohlen entfernt - Frau (50): Lähmungen in den Beinen
https://t.me/Impfschaden_Corona_Schweiz/45273 (Fortsetzung)
Sohn(17)von Kollegin musste die Nerven am den fusssohlen entfernen, da so Schmerzen und nicht mehr laufen konnte. Diese Kollegin (50) hatte plötzlich Lähmungserscheinungen in den beinen und musste auch operiert werden.


SCHLANGENGIFTimpfschaden Schweiz 27.5.2022: Immer müde, Atemnot in der Nacht
Impfschäden Schweiz Coronaimpfung, [27.05.2022 08:50]
https://t.me/Impfschaden_Corona_Schweiz/45278
Eine neue Meldung:
In einer heutigen Gesprächsrunde, ist mir bewusst worden, wie die Geimpften immer wie mehr es bereuen dass Sie denn doppelt oder dreifachen Picks geholt haben. Sie diskutiereten von müdigkeitserscheinubgen bis probleme mit der Atmung in der Nacht. Sogar der Bund wurde kritisiert, dass die 4. Empfohlene Pics selber bezahlen soll.
Fazit: immer wie mehr geimpfte, wird es bewusst dass Sie Fehler gemacht haben, nur leider ist diese Erkenntnisse bei Ihnen so spät geworden, dass Sie zu tiefst bereuen. In der Runde sind auch verzweifelte Eltern gewesen, mit der grossen Sorge, was ist wenn eines Tages Sie Elternteil nicht mehr das sind. Was wird aus unsere Jugend? Wie kann die Jugendlichkeit noch wahr genommen werden?
Darum wir alle sollten kämpfen, auch für unsere Jugend und vorallem dass unsere Jugend noch Zukunftsperspektiven haben.


SCHLANGENGIFTimpfschaden Schweiz 27.5.2022: Mann (30-60?) hat halbseitige Gesichtslähmung - geimpfte Arbeitskollegen: Dauerhusten+Hirnschaden Vergesslichkeit
Impfschäden Schweiz Coronaimpfung, [27.05.2022 08:51]
https://t.me/Impfschaden_Corona_Schweiz/45279
Eine neue Meldung:
Hallo Zsamme.
Leider auch von mir wieder eine neue Meldung.
Guter Bekannter hat nach der "Impfung" eine halbseitige Gesichtslähmung. Abklärungen ob es Schlaganfall war, wurden gemacht. Nichts davon. Die "Impfung" wurde wohl gar nicht erwähnt. Jetzt nach dem Gespräch denkt er selbst, dass es das sein könnte. Er geht jetzt zu einem "offenen" Arzt und versucht was zu ändern. Ich hoffe auf Besserung.

Gespritzte Arbeitskollegen bei mir nonstop am husten und hohe Vergesslichkeit. War noch vor einem Jahr nicht so extrem.


SCHLANGENGIFTimpfschaden 27.5.2022: Frau (60-80?) geimpft: Turbo-Demenz
Impfschäden Schweiz Coronaimpfung, [27.05.2022 08:54]
https://t.me/Impfschaden_Corona_Schweiz/45282
[In reply to Impfschäden Schweiz Coronaimpfung]
Eine Meldung dazu:
Ich bin zwar nich vom Fach,lese und informiere mich.sehe und höhre aus 1.Hand.Mein Mann meinte auch,das ich mich zu viel reinsteigere.Ich musste mich recht distanzieren z.selber nicht kaputt zu gehen🙈vorallem seit ich meine Mutter selber Pflege u.ihr Zerfall miterlebe durch die Impfung😭keden Tag das Thema Corona....ich  am lernen abstamd zu nehmen und so zu leben,wie es mir gutt tut.


SCHLANGENGIFTimpfschaden [Balkan?] 27.5.2022: Frau (52) 2x AstraZeneca geimpft: immer krank - Dauerhusten - Schluckprobleme (Lähmung), Atemnot, Hirnschaden Vergesslichkeit, immer müde
Impfschäden Schweiz Coronaimpfung, [27.05.2022 09:25]
https://t.me/Impfschaden_Corona_Schweiz/45283
Eine neue Meldung:
Habe erfahren das Meine schwester 52 J, in ausland staendig krank ist seit 💉💉 AstraZeneca oder schon jetzt hat sie 💉💉💉. Hustet viel den ganzen Jahr, hat schluck problemen, atmet schwer, vergisst alles. Hat grippe symptomen fast nonstop und ist sehr muede. Sie war bevor 💉 top fit und keine Krankheiten.



Verdacht SCHLANGENGIFTimpfschaden am WEF in Davos 27.5.2022: Haufenweise Helikopterflüge  und Express-Limousinen mit Polizeibegleitung
Impfschäden Schweiz Coronaimpfung, [27.05.2022 10:13]
https://t.me/Impfschaden_Corona_Schweiz/45286
Eine neue Meldung:
Guten Tag, dass die Davos- Clique geimpft hat sein müssen, hinterfragt wohl jeder zu Recht?!
Was sicher Fakt war waren die unzähligen Helitaxiflüge, die von unserer Polizei mit Blaulicht  escortierten Limusinen und Sportautos, die Luxushotelaufenthalte uvm.?!
Für was genau war dieses, mit vielen CH-Steuermillionen bewachte Event der Luxusklasse?
Das kann sich jeder selber ausdenken, die Antwort werden wir bald alle erhalten...


Verdacht SCHLANGENGIFTimpfschaden Schweiz 27.5.2022: Mann (30-60?) wahrsch. geimpft: Einseitige Gesichtslähmung - Ärzte-Mafia findet nichts
Impfschäden Schweiz Coronaimpfung, [27.05.2022 10:14]
https://t.me/Impfschaden_Corona_Schweiz/45287
Eine neue Meldung:
Ein Bekannter hat plötzlich eine einseitige Gesichtslähmung. Sieht schlimm aus. Er selbst tippt darauf, dass es von der Impfung sein könnte. Ärzte finden keinerlei Erklärungen. Er muss nun Übungen machen und der Arzt meint, es kann bis zu 6 Monate gehen, bis eine Besserung auftritt…


SCHLANGENGIFTimpfung nützt nichts gegen Corona+neue "Nebenwirkungen" in der Schweiz 27.5.2022: 3x geimpft: wieder Corona + Blasenentzündung, Darmprobleme, Diabetes, Rheuma
Impfschäden Schweiz Coronaimpfung, [27.05.2022 10:14]
https://t.me/Impfschaden_Corona_Schweiz/45288
Eine neue Meldung:
Noch vergessen:Schwiegermutter bzw Eltern, beide c nach booster mit grippe Impfung (77 und 80)sie seit 2. Plörre dauernd blasenentzündung (antibiotika nützt nichts)darmprobleme, plötzlich zuckerkrank und jetzt noch rheuma. Ich schüttle nur noch den Kopf, weil sie meine Meinung bestens kennt.


SCHLANGENGIFTgeimpfte riechen in der Schweiz 27.5.2022 süsslich, chemisch, abstossend
Siena, [27.05.2022 11:10]
https://t.me/Impfschaden_Corona_Schweiz/45290
Eine neue Meldung:
Liebe Siena
Die Menschen schreiben von den Gerüchen.
Ich hatte im Januar 21 Corona und seither kaum noch Geruch [Geruchssinn] (erst in den letzten Wochen kommt es bisschen zurück) und auch sehr reduzierter Geschmack..
Aber! Ich konnte immer 2 Dinge riechen, das eine war der schreckliche Geruch von Heroin (habe jmd in d Klinik gefahren und betrat dessen Wohnung)  und das Andere war der Geruch der Impfungen.
Dieser Geruch ist süßlich, chemisch, abstoßend. Er klebt furchtbar in der Nase (beide Gerüche, vielleicht weil so viel Chemie im Spiel ist?) und ich weiß genau, was die meinen, die davon schreiben.
Ich rieche es dann und wann. Auch bissl ähnlich, wie gewisse Putzmittel (vielleicht für Teppichböden?)
Und auch bissl ähnlich, wie manchmal alte Leute riechen..

Es geht echt schwer aus der Nase, wie gesagt.
Ich nehme ein Taschentuch, gebe h2o2 drauf und reinige damit meine Nase, immer wieder, bis der Geruch weg ist  .... manchmal habe ich das Bedürfnis, mir das Gesicht auch feucht abzuwischen

Mehrmals roch ich den Geruch an Jungen Mädchen, liebe, frische Mädchen ( 3x geimpft), aber so ein Geruch, passt gar nicht zu jungen Menschen!

Warum konnte/kann ich diese 2 Gerüche wahrnehmen, aber Gewürze oder Rosen nicht?
Ich wollte die Gruppe fragen, ob jemand Hilfen, Tipps oder Erfahrungen hat bezüglich Geruchssinn-Wiedergewinnung.
Danke


SCHLANGENGIFTimpfschaden Schweiz 27.5.2022: enthält PEG, krebsauslösend, könnte für Geruch der Geimpften verantwortlich sein
Impfschäden Schweiz Coronaimpfung, [27.05.2022 11:51]
https://t.me/Impfschaden_Corona_Schweiz/45291
Eine neue Meldung:
Wegen den Gerüchen: In der Injektion ist PEG drin. Ist sehr chemisch und giftig. Ist übrigens auch Krebs auslösend. Vielleicht ist es das? 🙅‍♀️

PEG ist übrigens auch sehr allegisierend. Schon verwunderlich dass sich Menschen sowas auch noch injizieren lassen


SCHLANGENGIFTimpfschaden Kanton Wallis (27.5.2022): Mann (30-60) 3x Moderna geimpft: Nierenstein-OP, Gallensteine, Leberproblem mit Autoimmunerkrankung
Impfschäden Schweiz Coronaimpfung, [27.05.2022 14:38]
https://t.me/Impfschaden_Corona_Schweiz/45298
Darunter:
Gestern   Niere, Galle und Leber betroffen, m, 60 Jahre, VS
Traf letzte Woche einen Verwandten. Er teilte mir mit, dass er Nierensteine und Gallensteine hat. Nierensteine mussten entfernt werden. Bei der Untersuchung hat sich herausgestellt, dass seine Leber ein Problem hat. Es habe sich herausgestellt, dass er eine Autoimmun Erkrankung hat. Hatte vorher keine gesundheitlichen Probleme. Trinkt zwar gerne ein Glas Wein und ist übergewichtig, aber ist sonst in guter gesundheitlicher Verfassung. Auf meine Nachfrage bezüglich Corona Impfung hat er bestätigt, dass er das volle Programm gemacht hat, dh. 3x gespritzt ist. Er sagt von sich aus, dass dies eine Folge der Spritzen sein könnte .... Kortison ist seither sein Begleiter und er geht weiter seiner Arbeit nach. Hmm..!
Moderna


SCHLANGENGIFTimpfschaden Kanton Basel-Stadt 27.5.2022: Mann (78) 3x geimpft: Herzrasen+Herzrhythmusstörungen 3 Tage lang
Impfschäden Schweiz Coronaimpfung, [27.05.2022 14:38]
https://t.me/Impfschaden_Corona_Schweiz/45299
Heute   Herzrhythmusstörungen, w, 78 Jahre, BS

23.04.: Wenige Stunden nach der Impfung auftretendes Herzrasen mit unregelmässigem Herzschlag und Unwohlsein. Nach ca 45 Minuten Abklingen der Symptome. 23.11.: 24h nach der Impfung Auftreten anhaltender Palpitationen und Herzrhythmusstörungen, die auch am 2. und 3. Tag nach der Boosterung immer wieder auftraten und über längere Zeit anhielten. Am Tag 4 Verschwinden der Symptome, Renormalisierung des Herzschlags.
1. 'Impfung': 26.03.2021, 2. 'Impfung': 23.04.2021, 3. 'Impfung': 23.11.2021; Comirnaty Pfizer



Verdacht SCHLANGENGIFTimpfschaden 27.5.2022: Mann (22) 1x Pfizer/BionTech geimpft: immer müde - Mann (24) 2x Moderna geimpft: Abszess am Hals - Frau (79) 2x Moderna geimpft: Sturz, Vorhofflimmern
Impfschäden Schweiz Coronaimpfung, [27.05.2022 17:14]
https://t.me/Impfschaden_Corona_Schweiz/45312
Eine neue Meldung:
In unserer Familie überschlagen sich die Ereignisse. Mein jüngerer Sohn (22) ist 1x geimpft mit BioNTech, er ist dauermüde und muss sich medizinisch abklären lassen. Mein älterer Sohn (24), genesen, 2x geimpft mit Moderna, hat einen schlimmen Abszess am Hals, dieser wurde schon zweimal aufgeschnitten, jetzt muss er zum Chirurgen. Meine Mutter (79), 2x geimpft mit Moderna, verm. geboostert, ist letzten Montag beim Wandern eine Felswand runtergestürzt. Sie hat jetzt ein neues Schultergelenk bekommen. Beim Eintritt ins Spital (Untersuchungen), wurde ein Vorhofflimmern festgestellt. Sie hatte noch nie in ihrem Leben Herzprobleme, ist körperlich fit, raucht und trinkt nicht, ist normalgewichtig, hat auch keinen zu hohen Blutdruck. Es ist mir unerklärlich, wie das passieren konnte. Wenn das alles Zufall ist, dann hat meine Familie wohl gerade eine Pechsträhne.



Verdacht SCHLANGENGIFTimpfschaden 27.5.2022: Frau (ca.22) 2-3x geimpft: Dauererkältung mit Husten und Schniefen - Frau (ca.52) Hirnschaden mit Vergesslichkeit - Mann (ca.52) Dauererkältung + Haarausfall, Turbo-Demenz
Impfschäden Schweiz Coronaimpfung, [27.05.2022 20:42]
https://t.me/Impfschaden_Corona_Schweiz/45319
Eine neue Meldung:
Mal wieder ein paar Meldungen von mir: rund 20 jährige Frau, minimum doppelt gespiked. Schon seit Wochen/Monaten erkältet, am husten und schniefen. Heute war es wieder extrem schlimm, als wäre sie akut krank, besonders der Husten ist beängstigend. Rund 50 jährige Frau, dreifach gespiked, wollte online etwas bestellen und hat nur, weil sie ihre eigene (!) Rezension zufällig auf der Website entdeckt hat, gemerkt, dass sie dieses Objekt bereits letzten Herbst bestellt hatte. Rund 50 jähriger Mann, neben Dauerschniefen und Hüsteln gehts mit dem Haarausfall immer schneller voran, man kann in Echtzeit zuschauen, wie es passiert. Generell habe ich das Gefühl, dass sich der Zustand von vielen gespikeden von Woche zu Woche weiter verschlechtert.



Zahlen SCHLANGENGIFTimpfschaden 4R 27.5.2022: Liste der Nebenwirkungen und von "Long-Covid" in der Sprache von "Fachmedizinern"
Link pdf 5 Seiten: https://deutsche-gesellschaft-fuer-naturstoffmedizin-und-epigenetik.de/wp-content/uploads/2021/11/DGNAME-Parameter-Long-Covid_Vakzin-Syndrom.pdf

Impfschäden Schweiz Coronaimpfung, [27.05.2022 09:26]
https://t.me/Impfschaden_Corona_Schweiz/45285
Hallo liebes Team und Gruppe

Die deutsche Gesellschaft für Naturstoffmedizin und Epigenetik hat ein Diagnostik-Protokoll  bei Impfnebenwirkungen und Long-covid erstellt. Ich schicke euch den link und das interview auf yt dazu.
Danke euch!

Immunsystem kaputt: Video: Interview Florian Schilling: Immunsystem & mRNA-Impfung: https://m.youtube.com/watch?v=V8MFHw7Adlo




SCHLANGENGIFTimpfschaden Magdeburg 27.5.2022: Mann Pfizer geimpft: 2 Schlaganfälle + Haut löst sich auf
https://t.me/oliverjanich/97766

SCHLANGENGIFTimpfschaden Magdeburg
                  27.5.2022: Mann Pfizer geimpft: 2 Schlaganfälle + Haut
                  löst sich auf
SCHLANGENGIFTimpfschaden Magdeburg 27.5.2022: Mann Pfizer geimpft: 2 Schlaganfälle + Haut löst sich auf [13]

Hallo,
Ich bin gerade in der REHA in Magdeburg. Ich bin jetzt 15 Tage hier und habe hier bereits mit 6 Patienten gesprochen, welche sagen, dass sie nach der Impfung einen schweren Schlaganfall erlitten haben. Patient 7 ist heute dazu gekommen und der heftigste Fall. Nach Comirnaty löst sich seine Haut auf und dazu kamen noch zwei Schlaganfälle. Wegen der Haut sind die Ärzte ratlos. Er würde sich wünschen, dass seine Bilder um die Welt gehen - zur Warnung.


Verdacht SCHLANGENGIFTimpfschaden 4R 27.5.2022: Kristen 3x geimpft hat Ausschlag am halben Körper
https://t.me/weggespritzt/2401
https://t.me/ploetzlichundunerwartetverstorbe/1873
https://www.tiktok.com/@kdbellz
https://www.instagram.com/p/CaH7VkPr7CH/


"Es wurde von mehreren Ärzten bestätigt, dass ich eine Reaktion auf die Auffrischung erlebe. Die Ärzte aus dem Krankenhaus haben mich gestern Abend zu einem Allergologen gebracht und ich hatte nie Probleme mit Allergien. Diese Art von Reaktion, einschließlich der runden Läsionen, kommt hauptsächlich von der Einnahme eines neuen Medikaments. Sie haben mehrere Reaktionen vom Booster gesehen, sagten aber, dass meine eine der schlimmsten ist, die sie bisher gesehen haben. Es wird Wochen (oder Monate) dauern, bis ich mit Hilfe vieler Antihistaminika + Steroide wieder normal werde. "




SCHLANGENGIFTimpfschaden Schweiz 28.5.2022: Frau (87) 3x geimpft: immer Beschwerden: Wasser auf der Lunge, dann schwere Grippe - nun löst sich die Haut auf
Impfschäden Schweiz Coronaimpfung, [28.05.2022 09:51]
https://t.me/Impfschaden_Corona_Schweiz/45327Eine neue Meldung:
Hallo ich hab eine neue Meldung. Frau 87. Jahre nach Booster ständig irgendwelche Beschwerden
erst Wasser auf der Lunge, dann eine Grippe mit fürchterlichem Husten. Nun fängt es mit der Haut an. Es lösen sich Hautfetzen wie sie sagte 😔



SCHLANGENGIFTimpfschaden Schweiz 28.5.2022: Mann (35, sportlich) geimpft: hat nun Zyste am Bein, Atemnot - haufenweise Leute mit Herzerkrankungen + wieder Corona - sie sagen einfach "LongCovid"
Impfschäden Schweiz Coronaimpfung, [28.05.2022 10:48]
https://t.me/Impfschaden_Corona_Schweiz/45343
Eine neue Meldung:
Ich bin’s mal wieder . Die Zahl der Erkrankungen der geimpften in meinem Umfeld explodiert. Zyste im Bein. Junger Mann 35, bekam trotz zweifacher  💉 Corona und kann seither kaum mehr Sport machen . Er kriegt keine Luft. Plötzliche Herzerkrankungen, wohin ich höre wieder und wieder Corona. Und Long Corvid . Habe zynisch bemerkt dass es die neue Art ist Impfschäden zu kategorisieren . Das schlimme ist die merken es nicht Mal selbst.

SCHLANGENGIFTimpfschaden Schweiz 28.5.2022: 3x geimpfte Leute: Krebs an Wirbelsäule - Krebs kommt wieder - UNgeimpfte Goldstücke müssen für kranke Geimpfte einspringen
https://t.me/Impfschaden_Corona_Schweiz/45343 (Fortsetzung)
Gestern spontanes Treffen mit Kollegen älteren Semesters . Alle dreifach .. einer Tumor an Wirbelsäule . Anderer ist alter Krebs wieder aufgeflammt . Seine frau gab mir nach 2 Jahren das erste mal wieder die Hand . Vorher durfte man sich die Hände desinfizieren und auf Abstand im Freien sitzen . Ich meinte trocken ich bin müde. Zwei Jahre volle pulle arbeiten und Einschränkungen . Ins Restaurant durfte ich nicht aber arbeiten gehen das ging. Und jetzt die Ausfälle kompensieren. Langsam reichts. Betretenes schweigen war die Antwort.

UNgeimpfte Goldstücke Schweiz 28.5.2022: müssen die Krankenkasse für die immer kranken Geimpften mitbezahlen - Hirnschaden bei Geimpften, denn die merken das nicht mal
https://t.me/Impfschaden_Corona_Schweiz/45343 (Fortsetzung)
Vorher wurde diskutiert ob ungeimpfte überhaupt Anspruch auf Krankenhausbetten haben, jetzt kommt denn die hammer Erhöhung der Krankenkassen .. und die vielen geimpften die wir ja jetzt mitbezahlen dürfen spielen auf einmal keine rolle mehr . Das schlimme ist die merken es nicht mal mehr wie anmassend und ungerecht das ist. Mein Mitleid mit Geimpften hält sich bei allem in Grenzen. Für Ferien und Möchtegern Freiheiten liess man sich impfen und  wir wurden diskriminiert und behandelt wie Menschen zweiter Klasse. Ein Entschuldigung wäre mal angebracht . Aber viele haben leider mit der Spritze auch ihr klares Urteilsvermögen und ihre Empathie weggespritzt . Schauen wir mal was der Herbst bringt . Ich bleibe standhaft und bin dankbar dass wir viel mehr sind als wir denken. Danke für eure Arbeit 🙏.


SCHLANGENGIFTimpfschaden Schweiz 28.5.2022: Mann (53) geimpft: Herzinsuffizienz - Spital - hat nun linksseitige Lähmungen, immer müde, kann kaum noch seinen Koffer tragen
Impfschäden Schweiz Coronaimpfung, [28.05.2022 12:04]
https://t.me/Impfschaden_Corona_Schweiz/45357
Eine neue Meldung:
UPDATE: Vor ein paar tagen, hab ich die Geschichte erwähnt, vom meinen guten 53 jährigen Freund wo ein Herzinsuffizienz erhalten hat.
Heute morgen hatte Ich dass vergnügen Ihn vom Spital abholen.
Ich bin fast schockiert gewesen, wo Ihn gesehen habe. Habe Ihn nicht mehr erkannt. Die linke seite seines Körpers, von den Schulter bis zu denn Füssen sind praktisch hart wie eine Betonwand, dazu noch konnte sein Arm beschränkt bewegen und sein Bein war kurzzeitig immer wieder gelähmt beim laufen.
Er wirkte sehr müde und erschöpft, vorallem bei kleinen Belastungen, wie Koffer tragen, hatte er Mühe, die Kräfte hatten nach gelassen.
Es ist ein ganz trauriges Bild dass ganze anzusehen, vor der C-Impfung war er ein aktiven und stabilen Mensch und jetzt nur fast einen haufen Elend.
Glaube diesen Bild von heute Morgen werde es eine zeitlang in mich tragen.


SCHLANGENGIFTimpfschaden Schweiz 28.5.2022: Mann (30-60?) 3x geimpft: Diagnose Lungenkrebs - Herzinsuffizienz + Wasser in den Beinen
Impfschäden Schweiz Coronaimpfung, [28.05.2022 13:24]
https://t.me/Impfschaden_Corona_Schweiz/45358
Eine neue Meldung:
Wieder ein Bericht von meinem Stellvertreter der ja nach dem Booster Lungenkrebsdiagnose bekam. Musste diese Woche aber mit seiner Schwiegermutter in den Notfall. Herzinsuffizienz und so viel Wasser in den Beinen, dass es raustropfte😩.


SCHLANGENGIFTimpfschaden Kanton Bern 28.5.2022: Inselspital meldet viele junge Leute mit Herzkrankheiten
Impfschäden Schweiz Coronaimpfung, [28.05.2022 17:27]
https://t.me/Impfschaden_Corona_Schweiz/45365
Eine neue Meldung:
Ich habe wieder mal ein paar Meldungen:

Ein Kollege meines Mann arbeitet im Inselspital. Er ist derselben Meinung wie mein Mann und ich - folglich ungeimpft.
Er sagt, momentan habe es bei ihnen sehr viele junge Patienten mit Herzproblemen - Rhythmusstörungen, Herzinfarkte oder andere.
Für ihn ist der Grund dafür auch ganz klar die Impfung.

SCHLANGENGIFTimpfschaden Kanton Bern 28.5.2022: Ärztin meldet haufenweise Hirnschläge+Krebsfälle
https://t.me/Impfschaden_Corona_Schweiz/45365 (Fortsetzung)
Meine Kollegin (Ärztin und ungeimpft) sagte mir auch heute wieder, dass es auffallend viele Hirnschläge gebe und viele Krebsfälle.

SCHLANGENGIFTimpfschaden Kanton Bern 28.5.2022: Mann (50-80?) 3x geimpft: Gürtelrose
https://t.me/Impfschaden_Corona_Schweiz/45365 (Fortsetzung)
Der Vater meiner Schwägerin (3x 💉) hatte eine sehr schmerzhafte Gürtelrose - wie so viele momentan. Seine Frau (auch 3x💉) sagt aber klar, das sei von der Impfung.

SCHLANGENGIFTimpfschaden Kanton Bern 28.5.2022: Mann (ca.48) 3x geimpft: Sepsis am Bein+Turbo-Demenz
https://t.me/Impfschaden_Corona_Schweiz/45365 (Fortsetzung)
Ein anderer Bekannter (etwas unter 50, auch geboostert) hatte am Bein eine unerklärliche Sepsis. Mein Mann hat ihn kürzlich gesehen, und ist erschrocken, wie er gealtert und nicht mehr gut zu Fuss ist.

Danke für Eure Arbeit❤️🙏🏼





Verdacht SCHLANGENGIFTimpfschaden Schweiz 29.5.2022: Mann (ca.70) geimpft: Schwindel beim Reisen: stürzt Flugzeugtreppe hinunter, Muskelriss, immer müde+Blutdruck spielt Achterbahn
Impfschäden Schweiz Coronaimpfung, [29.05.2022 11:07]
https://t.me/Impfschaden_Corona_Schweiz/45384
Eine neue Meldung:
Heute Gespräch mitbekommen: älterer Herr, um 70, Ende letztes Jahr in der Domikanischen Unfall. Beim Aussteigen aus dem Flieger Schwindel durch instabilen Blutdruck, dadurch gestürzt ... Muskelriss Oberschenkel.
Gemäss den Ärzten dort Folge der Impfungen.
Auf direkte Frage ob den sonst Beschwerden, viel müde und Probleme mir Blutdruck seit Impfung.


SCHLANGENGIFTimpfung Kanton Nidwalden (SChweiz) 29.5.2022: Mann (58) 1x Moderna geimpft: nach 4 Stunden Nackenschmerzen, Kopfschnerzen+Schwindel 2 Wochen lang, 1x bewusstlos - nach 1 Jahr  anfällig auf Halsweh+Husten
Impfschäden Schweiz Coronaimpfung, [29.05.2022 16:51]
https://t.me/Impfschaden_Corona_Schweiz/45404

Vor 2 Tagen   nie im Leben wieder eine Impfung, m, 58 Jahre, NW

Direkt nach gut 4 Stunden starten starke Schmerzen am Nacken und Kopfschmerzen. In den nächsten 2 Wochen war es starkes Kopfschmerzen und Schwindel. Wurde 1 mal fast Bewusstlos. Nun nach 1 Jahr immer noch oft Halsschmerzen oder Husten, hört einfach nie ganz auf. Bin nun an Abklärung für eine Blutwäsche und das Gift aus dem Blut zu bringen oder zu reinigen. Bin Besitzer eines Impfattest auf unbegrenzte Zeit für Einlass bei 2 G oder 3 G. Werde nie im Leben mehr eine Impfung machen lassen.
1. 'Impfung': 21.05.2021, Moderna


Es rast in Basel 29.5.2022: der Krankenwagen durch den Wald
Impfschäden Schweiz Coronaimpfung, [29.05.2022 18:21]
https://t.me/Impfschaden_Corona_Schweiz/45410
Eine neue Meldung:
Schon der 5. Krankenwagen heute in der Region Schützenmatte-Spalenring. Es ist Sonntag...


SCHLANGENGIFTimpfschaden Schweiz 29.5.2022: Frau (30-60?) geimpft: mit Zittern+weisses Gesicht: bricht bei der Arbeit zusammen
Impfschäden Schweiz Coronaimpfung, [29.05.2022 21:41]
https://t.me/Impfschaden_Corona_Schweiz/45432
Eine neue Meldung:
Wir waren heute bei einer kleinen Ausstellung und beschlossen, an einem freien Tisch zu essen. Uns bedienten vorwiegend älteres Personal. Diese Menschen wirkten verwirrt und unkonzentriert.
Nach einiger Zeit wurde unser Essen gebracht und ich sagte meinen Kolleginnen, dass sie ihr Essen der älteren Dame, die uns bediente, abnehmen sollen. Ich merkte dass sie sich kaum auf den Beinen halten konnte und ihre Hände extrem zitterten. Ausserdem war sie aschfahl im Gesicht.
Ein paar Minuten später ist sie an unserem Tisch zusammengebrochen…😰
Die ältere Bevölkerung kippt um wie die Fliegen. Als ich mich, etwas später nach ihrem Wohlbefinden erkundigte, meinte sie nur, dass sie geimpft und seit dem auch sehr unsicher auf den Beinen sei.


SCHLANGENGIFTimpfschaden Kanton Basel-Stadt 29.5.2022: Frau (35) 2-3x Moderna geimpft: Migräne hört nicht mehr auf
Impfschäden Schweiz Coronaimpfung, [29.05.2022 21:55]
https://t.me/Impfschaden_Corona_Schweiz/45443
Eine neue Meldung:
Freundin, 35J, Sicher ist sie 2 mal 💉 mit Moderna aber es kann sein auch geboostert wegen Angst in zwischen. Seit dem starke migraine die nicht aufhoert und die bewegt am Kopf wie es jemand mit hand bewegen wurde. Das sind ihre worte. Kt Basel stadt


Verdacht SCHLANGENGIFTimpfschaden Schweiz 29.5.2022: Francesca Morgese (24) hat Zusammenbruch auf der Strasse - immer Schwindel, Atemnot, Übelkeit:
Mysteriöse Krankheit: «Bachelor»-Francesca bricht auf offener Strasse zusammen
https://www.blick.ch/people-tv/schweiz/mysterioese-krankheit-bachelor-francesca-bricht-auf-offener-strasse-zusammen-id17529861.html

Die ehemalige Herzensdame von Bachelor Alan Wey ist verzweifelt. Seit längerem leidet Francesca Morgese an ungeklärten Krankheitssymptomen. Jetzt wurde sie sogar ohnmächtig und musste den Notarzt rufen.

«Ich will nur mein Leben zurück», sagt Francesca Morgese (24) in ihrer Instagram-Story. Seit Monaten kämpft die Gewinnerin der Kuppelshow «Der Bachelor» gegen mysteriöse Krankheitssymptome und kein Arzt kann ihr helfen.
Das führte nun so weit, dass Morgese auf offener Strasse zusammenbrach. «Ich weiss gar nicht, was ich sagen soll. Mir geht es gesundheitlich immer noch nicht gut. Gestern bin ich sogar in Zürich ohnmächtig geworden und am Boden gelegen. Wir mussten den Notarzt rufen», erzählt sie in ihrer Instagram-Story.

«Ich kann nicht mehr»
Bald, so führt sie fort, sollten Ergebnisse einiger Bluttests kommen und ihr hoffentlich Antworten bringen. «Ich will doch einfach nur mein altes Leben wieder zurückhaben. Ich kann nicht mehr.»
Schon länger plagen die Zürcherin Schwindelanfälle und Atemnot. Sie beschreibt das Gefühl in früheren Aussagen so: «Jemand sitzt mir auf der Lunge und dann war mir auch noch kotzübel.»

«Will von Kopf bis Fuss getestet werden»
Blick erzählte sie, dass sie sich im Zürcher Unispital einem Totalcheck unterzogen hat, um endlich zu erfahren, was mit ihr los ist. «Ich will von Kopf bis Fuss getestet werden.»
Die Situation, nicht zu wissen, was das Problem ist, schlage ihr auf die Psyche, sagt Morgese. Ausserdem fühle sie sich von den Ärzten nicht ernst genommen.
Erstmals traten die Symptome wie Schwindel und Übelkeit vor einem Flug von Dubai in die Schweiz auf. Kurze Zeit später wurde sie bei einem Kinobesuch ohnmächtig und in die Notaufnahme gebracht.

Sieben Krankheiten aufs Mal
Nach einem negativen Schwangerschaftstest wurden zahlreiche weitere Untersuchungen gemacht. Immer mit einem anderen Ergebnis: «Ich habe also einen Virus, einen Parasiten, eine Mittelohrentzündung und jetzt auch noch eine Magen-Darm-Grippe. Wenn es nach diesen Ärzten geht, hatte ich sieben verschiedene Krankheiten auf einmal.»
Bleibt zu hoffen, dass die neuen Tests Fancesca Morgese endlich die erhofften Antworten bringen. (grb/kog/brn)



SCHLANGENGIFTimpfschaden Schweiz 29.5.2022: PLÖTZLICH soll man ewig müde sein - aber die SCHLANGENGIFTimpfung wird NICHT ERWÄHNT: Aber man soll ein Überwachungsgerät kaufen!
Warum du ständig müde bist
https://www.blick.ch/life/gesundheit/schlafapnoe-warum-du-staendig-muede-bist-id17483206.html

Wie finde ich heraus, ob ich unter Schlafapnoe leide?

Wer vermutet, unter Schlafapnoe zu leiden, sollte dies also unbedingt abklären lassen. Traditionellerweise geschieht dies in einem Schlaflabor unter Aufsicht eines Schlaftechnikers. Dies ist aber umständlich, da man für die Messung mindestens 22 verschiedene Kabel am Körper der Testperson anbringen muss. Ausserdem geben Patientinnen und Patienten an, in einer unbekannten Umgebung während des Tests nur sehr schlecht schlafen zu können. Und die langen Wartezeiten halten viele Leute davon ab, sich tatsächlich diagnostizieren zu lassen.

Dem wollten die Gründer des ETH-Spinoffs Sleepiz nicht länger tatenlos zusehen. Seit dem Jahr 2018 entwickeln sie Medizinprodukte für die kontaktlose medizinische Messung von Schlaf- und Atem-bezogenen Krankheiten. Dazu gehört ein Gerät, mit dem du ganz einfach zu Hause testen kannst, ob auch du an Schlafapnoe leidest.

Dort stellt man das Gerät neben das eigene Bett und misst drei Nächte lang den Schlaf – vollkommen drahtlos. Die Messung funktioniert auch, wenn eine weitere Person im selben Bett liegt, solange das Gerät näher an der Person aufgestellt ist, deren Schlaf gemessen werden soll.

Anschliessend erhält man von Sleepiz einen Bericht, in dem die Schlafeffizienz, die Atemfrequenz und die Zahl der Atempausen aufgeführt sind. Bis zu 5 Atemaussetzer pro Schlafstunde sind normal. 5 bis 15 Atempausen deuten auf eine leichte Schlafapnoe hin. 15 bis 30 Pausen sind typisch für eine mittlere und mehr als 30 Pausen für eine schwere Schlafapnoe. Den erhaltenen Bericht kann man anschliessend mit seinem Hausarzt besprechen und das weitere Vorgehen planen.

In 5 einfachen Schritten zum besseren Schlaf mit dem Sleepiz-Würfel neben dem Bett

Schlafüberwachungsgerät "Sleepiz"
Schlafüberwachungsgerät "Sleepiz" [32]

Dein Weg zu besserem, erholsamen Schlaf beginnt mit Sleepiz. Finde in 5 einfachen Schritten heraus, ob auch du an Schlafapnoe leidest:

  1. Gerät bestellen: Um ein Schlafapnoe-Testgerät zu bestellen musst du nur ein Bestellformular ausfüllen und schon macht sich das Screening-Gerät auf den Weg zu dir.
  2. Schlaf tracken: Stelle das Gerät neben dein Bett und schalte es vor dem Schlafengehen ein. Jetzt beginnt die Messung.
  3. Datenübermittlung: Die vom Gerät erfassten Daten werden über die Cloud sicher zu den Experten übermittelt und dort ausgewertet.
  4. Rücksendung: Nach drei Nächten schickst du das Gerät wieder an Sleepiz zurück.
  5. Rapport: Nach der Auswertung der Daten erfolgt die Telefonberatung. Dabei werden die Ergebnisse angeschaut und du erhältst einen Rapport, den du mit einer medizinischen Fachperson besprechen kannst.



SCHLANGENGIFTimpfschaden bei Piloten und Crews

Piloten+Crews Europa am 29.5.2022: Haufenweise Flugausfälle, weil angeblich Bodenpersonal fehlt:
Flugausfälle, lange Schlangen: Was ist da an den Flughäfen los?
https://www.rnd.de/reise/flugausfaelle-lange-schlangen-was-ist-da-an-den-flughaefen-los-KFCQUUYYIJFVZN5XT7UYEDJ5DE.html

Lange Wartezeiten am Sicherheitscheck und am Gepäckband, verpasste und gestrichene Flüge: Die Luftfahrtbranche scheint schon vor der Hochsaison am Limit. Der Grund: Personalmangel. Wie sind die Aussichten für den Sommer?

Die Menschen in Deutschland haben ihre Reiselust wiederentdeckt: „In den vergangenen Monaten lagen die Buchungen im Wochenvergleich fast durchgängig über denen von 2019 – also vor Corona“, teilt der Deutsche Reiseverband (DRV) mit. Das Problem: Den hohen Zahlen an Reisenden steht weniger Personal gegenüber. Das führt seit Monaten in Stoßzeiten zu Chaos an den Flughäfen in Deutschland und dem Rest von Europa.

In Hannover trifft es derzeit vor allem Reisende, die nächtliche Ferienflieger Richtung Türkei, Griechenland und andere Mittelmeerziele nehmen wollen. Sie sehen sich oftmals extrem langen Warteschlangen bei der Abfertigung gegenüber. Immer wieder verpassen deswegen auch Urlauberinnen und Urlauber ihre Maschinen. In NRW sieht es nicht besser aus: Am vergangenen Wochenende sollen sich bis zu 300 Meter lange Warteschlangen gebildet haben.

Der Bund bekommt die Probleme mit den Sicherheitskontrollen am Flughafen Hannover-Langenhagen nicht in den Griff. Dieses Bild entstand um 24. Mai 2022. Die Maschine nach Heraklion sollte um 5.45 Uhr abheben, aber um 6 Uhr warteten die Insassen noch auf etwa 15 fehlende Passagiere.

„Auch ich habe diesen Freitag am Flughafen Düsseldorf live und in Farbe erlebt“, berichtete der Inhaber eines Reisebüros auf Facebook. „Abflug planmäßig gegen acht Uhr, meine Ankunft am Flughafen so circa Viertel nach fünf. Dauer des Check-ins an den Schaltern der EW – geöffnet waren 153 bis 170 – knapp über eine halbe Stunde, anschließende Wartezeit bei der Security knapp eineinviertel Stunden.“ Er habe „ehrlich gesagt Angst vor dem eigentlichen Ferienbeginn und werde meinen Kunden ein Zeitfenster von mehr als drei Stunden empfehlen“.

In Amsterdam-Schiphol in den Niederlanden mussten Reisende sogar teils bis zu drei Stunden vor der Sicherheitskontrolle ausharren. Ähnliche Bilder gibt es auch von anderen Airports beispielsweise in Großbritannien.

Einige Airlines ziehen Konsequenzen: Die niederländische Airline KLM stellt über das Himmelfahrtswochenende den Ticketverkauf ein. British Airways hat seit Anfang April rund 1400 Flüge abgesagt und will im wichtigen Sommergeschäft 5 Prozent der geplanten Kapazität kürzen.

Auch Deutschlands größte Fluglinie Lufthansa dünnt den Flugplan aus: „Lufthansa streicht vorsorglich vereinzelte innerdeutsche Flugverbindungen, um operative Engpässe zu entzerren“, teilt ein Airlinesprecher dem RedaktionsNetzwerk Deutschland (RND) am Mittwoch mit. Dies sei notwendig, da unter anderem „durch den Personalmangel an Flughäfen, Sicherheitskontrollen und bei der Flugsicherung Verspätungen unvermeidbar sind und damit Anschlussflüge nicht erreicht werden können“.

20 Prozent Personal fehlen

Grund für die Probleme ist der Personalmangel bei den Sicherheitsdiensten und den Bodendienstleistern. „Über alle Standorte hinweg fehlen den Dienstleistern, die an der Abfertigung der Passagiere beteiligt sind, rund 20 Prozent Bodenpersonal im Vergleich zur Vor-Corona-Zeit. Das kann vor allem beim Check-in, beim Beladen der Koffer und in der Luftsicherheitskontrolle zu Engpässen in Spitzenzeiten führen“, sagt Ralph Beisel, Hauptgeschäftsführer der Arbeitsgemeinschaft Deutscher Verkehrsflughäfen (ADV).


Piloten+Crews "USA" am 29.5.2022: Reisehölle USA: 3.300 Flüge über das Memorial-Day-Wochenende gestrichen:
Travel Hell: 3,300 Flights Canceled So Far Over Memorial Day Weekend
https://www.thegatewaypundit.com/2022/05/travel-3300-flights-canceled-far-memorial-day-weekend/
https://t.me/oliverjanich/97890


"Mehr als 1.000 Flüge wurden am Samstagmorgen gestrichen, zusätzlich zu den 2.300 Flugstreichungen am Freitag.
Delta Airlines machte schlechtes Wetter und "Maßnahmen der Flugsicherung" für die Annullierungen vom Freitag verantwortlich.
Die Fluggesellschaften streichen auch vorsorglich Flüge für Montag.
-- Laut der Flugverfolgungs-Website FlightAware wurden bis Samstagmorgen mehr als 1.000 Flüge gestrichen, nach 2.300 Annullierungen am Freitag.
-- Delta Air Lines (DAL) ist von den Flugausfällen am stärksten betroffen, da am Samstag mehr als 230 Flüge, d. h. 8 % des Flugbetriebs, gestrichen wurden. Der Hartsfield-Jackson International Airport in Atlanta, wo Delta seinen Hauptsitz und sein größtes Drehkreuz hat, ist stark von den Reiseausfällen betroffen.
-- Die Fluggesellschaft machte für die Annullierungen am Samstag schlechtes Wetter und "Maßnahmen der Flugsicherung" am Freitag verantwortlich und erklärte, sie versuche, Flüge mindestens 24 Stunden im Voraus zu stornieren.
-- United hat 23 Flüge und JetBlue 10 Flüge am Samstag gestrichen, was etwa 1 % des Flugbetriebs der beiden Unternehmen entspricht."

Der Artikel (orig. Englisch):
More than 1,000 flights were canceled Saturday morning in addition to the 2,300 flight cancellations on Friday.
Delta Airlines blamed bad weather and “air traffic control actions” for Friday’s cancellations.
Airlines are also preemptively canceling Monday flights.

CNN reported:

More than 1,000 flights were canceled as of Saturday morning, according to flight tracking website FlightAware, after 2,300 cancellations on Friday.
Delta Air Lines (DAL) is most affected by the cancellations, with more than 230 flights, or 8% of its operations, axed on Saturday. Hartsfield-Jackson International Airport in Atlanta, where Delta is headquartered and has its largest hub, is heavily affected by the travel snags.
The carrier blamed Saturday’s cancellations on bad weather and “air traffic control actions” on Friday, saying it is trying to cancel flights at least 24 hours in advance.
United canceled 23 flights and JetBlue canceled 10 Saturday, about 1% of the carriers’ operations.




SCHLANGENGIFTimpfschaden Schweiz 30.5.2022: Mann (32) 3x geimpft: hat Krebsdiagnose Blutkrebs
Impfschäden Schweiz Coronaimpfung, [30.05.2022 09:10]
https://t.me/Impfschaden_Corona_Schweiz/45454
Eine neue Meldung:
Guten morgen, der Tag hat bei mir ziemlich schreckhaft angefangen.
Der Bruder (32 jährig) von meinen Chef, wurde Blutkrebs diagnostiziert.
Leider bereits im mittleren Status. Nach sicheren Infos, wurde er letzten Spätsommer doppelt geimpft und im Januar 22 geboostert.
Dieser Mensch war vor Corona Zeiten ein kern gesunder Mensch gewesen , aktiv im sport und lebensfröhlich und jetzt leider mit einer Krankheit wo aus dem nichts ausgebrochen ist. Die ganze Familie ist am Boden zerstört.
Man kann nur sagen isch schrecklich bei einem so jungen diese Krebsart zu diagnostizieren.



SCHLANGENGIFTimpfschaden Schweiz 30.5.2022: Mann (60+) 2x geimpft: Gürtelrose am ganzen Körper, niedriger Blutdruck - Ärzte-Mafia hat 2 Monate Wartezeit
Impfschäden Schweiz Coronaimpfung, [30.05.2022 10:22]
https://t.me/Impfschaden_Corona_Schweiz/45460
Eine neue Meldung:
Mann,  ü. 60jährig seit 2. Impfung am ganzen Körper gürtelroseähnlichen Ausschlag, Blutdruck fällt in sich zusammen. Kann erst im Juli zum Hautarzt.


Verdacht SCHLANGENGIFTimpfschaden Kanton Basel-Stadt 30.5.2022: Frau (20-30) 2x geimpft: Diagnose Brustkrebs
Impfschäden Schweiz Coronaimpfung, [30.05.2022 10:46]
https://t.me/Impfschaden_Corona_Schweiz/45461
Eine neue Meldung:
Junge dame, 💉💉, welche impfstoff weiss Ich nicht. Brust krebs diagnose. Nichts ins arbeit seit vielen Tagen. Kt Basel-Stadt



Verdacht SCHLANGENGIFTimpfschaden Schweiz 30.5.2022: Mann (58, fit) wahrsch. geimpft: ist nur noch 1 Skelett [wahrscheinlich Schlucklähmung]
Impfschäden Schweiz Coronaimpfung, [30.05.2022 13:48]
https://t.me/Impfschaden_Corona_Schweiz/45468
Darunter:

Heute   vorher fit - jetzt keine Muskeln mehr, m, 58 Jahre

Von Januar bis heute ,kaum noch Muskeln am Körper vorhanden....vorher fitt und nie Probleme damit gehabt .


SCHLANGENGIFTimpfschaden weltweit 30.5.2022: Dokumentationen mit Fotos:
Torticollis spasmodicus und andere Nettigkeiten, die sich nach COVID-19 Impfung einstellen
https://sciencefiles.org/2022/05/30/torticollis-spasmodicus-und-andere-nettigkeiten-die-sich-nach-covid-19-impfung-einstellen-neue-studien/
https://t.me/Impfschaden_Corona_Schweiz/45478
Impfschäden Schweiz Coronaimpfung, [30.05.2022 18:28]
[Forwarded from ScienceFiles]

Nicht nur werden wissenschaftliche Studien, die einen Zusammenhang zwischen COVID-19 Impfung / Gentherapie und einer Viehlzahl schwerer, lebensver- zuweilen auch -beendender Erkrankungen zeigen, immer zahlreicher, die Liste der Erkrankungen, die sich nach COVID-19 Impfung / Gentherapie einstellen, wird immer länger. Heute fügen wir neben den alten Bekannten Varicella Herpes Zoster, Myokarditis, Zerebrale Venenthrombose, Myokarditis, Thrombozytopenie einige neue Erkrankungen der Liste von 41 Erkrankungen, die wir morgen auf dem neuesten Stand veröffentlichen werden, hinzu, nämlich so nette DInge wie ein Bullöses Pemphigoid, Torticollis spasmodicus (aka Zervikale Dystonie) und Thrombotische Vaskulopathie.

Aber natürlich ist das alles nichts, was sie davon abhalten soll, sich impfen zu lassen, und es ist in jedem Fall etwas, das zwar in wissenschaftlichen Zeitschriften veröffentlicht wurde, nach Peer Review, denn wir sammeln zu diesem Thema nur bereits publizierte Texte, aber dennoch dann, wenn Sie es auf Twitter, Facebook, YouTube verbreiten wollen, als vermeintliche “medical misinformation” mit einem Link versehen wird, unter dem sie sich dann von geprüften, ideologisch auf Herz und Nieren, nicht etwas auf Gehirnfunktion geprüften “Faktencheckern” erklären lassen können, dass das mit den Nebenwirkungen ja alles nicht der Rede wert sei. Wer einer der “wenigen” Fälle, die alleine bei uns mehr als 110 wissenschaftliche Beiträge umfassen, ist, der hat eben Pech gehabt, aber der Wert für die Allgemeinheit, er ist so groß, dass man ein paar Verstorbene, Verkrüppelte, für den Rest ihres Lebens Gezeichnete in Kauf nehmen muss… Sie wissen schon, um der Volksgesundheit willen, also in etwa so, wie man ein paar tote Soldaten in Kauf nehmen musste, um dem Volk ohne Raum etwas Platz zu verschaffen.

Wir haben in der Aufzählung oben die Multiple Sklerose, eine dieser Autoimmunerkrankungen ausgelassen, die sich nach COVID-19 Impfung / Gentherapie einstellen, vermehrt einstellen. Pillepalle im Vergleich zur großen Rettung, die Simulationsmodelle, deren Annahmen die Auslöschung der Menschheit beschreiben, nun, nachdem COVID-19 Impfstoffe / Gentherapien das große Sterben verhindert haben, im Simulationsmodell verhindert haben, weil angenommen wurde, dass sie das große Sterben im Simulationsmodell verhindern, ein kleines individuelles Opfer, das man wohl vor dem Hintergrund in Simulationsmodellen milliardenfach verhinderten Sterbens, das durch den Einsatz von COVID-19 Impfstoffen / Gentherapien erfolgreich verhindert wurde, in den Modellen versteht sich, erwarten kann. Was sind schon ein paar Tausend, Hunderttausend Menschen, die real unter den Folgen der COVID-19 Impfstoffe / Gentherapien leiden angesichts von Milliarden Menschen, deren Tod in Simulationsmodellen verhindert wurde?

Multiple Sklerose!

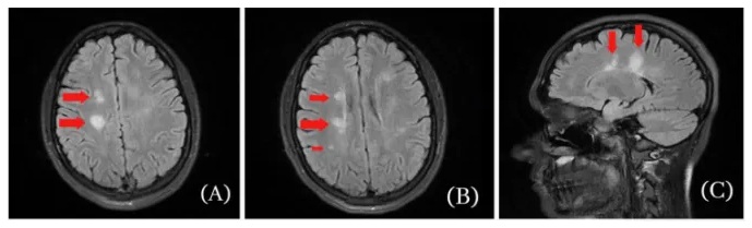
Eine 25jährige, die bereits in der Vergangenheit an Multipler Sklerose erkrankt war, wird in einem Krankenhaus vorstellig, weil es ihr seit fünf Tagen nicht mehr möglich ist, den linken Fuß zu benutzen, sie ihn nur hinterherziehen kann. Sie berichtet, dass sich ihre linken Extremitäten seit Tagen steif anfühlen und nicht belastbar sind. Die Symptome bleiben auch in den nächsten Tagen konsistent. Fünf Jahre zuvor war bei der 25jährigen Multiple Sklerose diagnostiziert, mit Hilfe von Steroiden aber vollständig zum Verschwinden gebracht worden. Dem Wiederaufflammen von Multipler Sklerose war unter anderem die Impfung mit Johnson&Johnsons Adenovirus basiertem Impfstoff vorausgegangen. Eine Kernspintomographie zeigt eine Reihe von Flüssigkeitsansammlungen im Gehirn der Patientin:


MS kommt wieder nach der
                      SCHLANGENGIFTimpfung, Flüssigkeitsblasen im Hirn
MS kommt wieder nach der SCHLANGENGIFTimpfung, Flüssigkeitsblasen im Hirn [2]

T2-weighted MRI images of the brain. A & B: Axial images of brain MRI demonstrating several foci of FLAIR hyperintensities (red arrows); C: Sagittal image of brain MRI showing large FLAIR in right posterior frontal lobe measuring 1.4 cm (red arrow). Quelle. Al-Midfai et al. (2022).

Multiple Sklerose ist eine Autoimmunerkrankung, die das zentrale Nervensystem schädigt. Das Wiederaufflammen von Multipler Sklerose bei der 25jährigen wurde von einer akuten, entzündlichen demyelisierenden Reaktion im zentralen Nervensystem begleitet, also einer Zerstörung der Myelinscheide von Nervenzellen. Im vorliegenden Fall ist das Wiederaufflammen von Multipler Sklerose nach Ansicht der Autoren auf die vorausgehende Impfung mit dem Adenovirus-basierten Impfstoff von Johnson&Johnson zurückzuführen.


Sinusvenenthrombose

Sinusvenenthrombose 2 Röntgenfotos
Sinusvenenthrombose 2 Röntgenfotos [3]

Ein 80jähriger Mann wird in der Notaufnahme eines Krankenhauses vorstellig. Er leidet seit 2 Wochen unter schweren Kopfschmerzen, die mit Tinnitus und Sehstörungen einhergehen. Die Symptome haben sich einen Tag nach seiner ersten Behandlung mit der Gentherapie BNT162b2/Comirnaty von Pfizer/Biontech eingestellt. Schmerzmittel brachten keine Linderung, im Gegenteil, die Symptome wurden ergänzt durch psychologische Qual, Konzentrationsschwierigkeiten und Schlafstörung. Bei Aufnahme hatte der Mann einen erhöhten Blutdruck. Eine nähere Untersuchung ergab zudem eine Einschränkung seiner Sehfähigkeit, Schwäche in allen vier Gliedern und reduzierte Reflexe. Eine Kernspintomographie zeigt einen vollständig fehlenden Blutfluss in der transversen Sinusvenene und der linken Drosselvene, im Einklang mit der Diagnose einer zerebralen Sinusvenentrombose. Durch die sofort eingeleitete Behandlung mit Apixaban trat eine Besserung des Zustands des Mannes ein. Er konnte nach drei Monaten entlassen werden. Die Nachbehandlung dauerte bei Schriftlegung des Beitrags noch an.

Qureshi, Muhammad Imran Ahmad, Bilal Azam, Muhammad Aamir Waheed, and Afsheen Imran (2022). Venous sinus thrombosis after the first dose of Pfizer BioNTech vaccine. BMJ Case Reports CP 15(5): e247493.


Complete Heart Block / Herzrhythmusstörung

Eine 73jährige leidet zwei Wochen nach der zweiten Dosis BNT162b2/Comirnaty unter Kurzatmigkeit und Müdigkeit. Ein Elektrokardiogramm zeigt einen kompletten AV-Block, eine Herzrhytmusstörung bei der die elektrischen Impulse, die den Takt vorgeben zwischen Vorhöfen und Ventrikeln nicht mehr ausgetauscht werden. Die 73jährige erhält einen Herzschrittmacher. Nach der dritten Gentherapie mit BNT162b2/Comirnaty wiederholt sich dasselbe Spiel. Dieses Mal wurde die Herzrhythmusstörung nach zwei Wochen behoben.

Etienne, Hoffer, Pirlet Charles, and Troisfontaines Pierre. Transient but recurrent complete heart block in a patient after COVID-19 vaccination–A case report.Annals of Medicine and Surgery: 103694.


Torticollis spasmodicus / Zervikale Dystonie

Nachdem er drei Monate unter einem steifen Nacken, erheblichen Schmerzen im Nacken und einer leichten Kopf-Schieflage nach links gelitten hat, wird ein 38jähriger in einer neurologischen Klinik vorstellig. 24 Stunden nach der ersten Dosis von BNT162b2/Comirnaty haben sich krampartige Zuckungen und eine Verdrehung seines Nackens eingestellt. Bis zu diesem Zeitpunkt waren ihm derartge Probleme unbekannt. Er war vor der Pfizer-Behandlung gesund. Er wird mit Torticollis spasmodicus einer sehr schmerzhaften Erkrankung diagnostiziert, bei der Kontraktionen im Musculus sternocleidomastoideus zu unmotivierten Kopfbewegungen zur Seite und nach hinten führen, die von Krämpfen begleitet werden.

“We report a rare case of acute cervical dystonia after the first dose of the BNT162b2 COVID-19 vaccine. We attribute the occurrence of cervical dystonia to the vaccine due to the temporal relationship”

Algahtani, Hussein A., Bader H. Shirah, and Emad Alwafi (2022). Acute Cervical Dystonia Following the BNT162b2 mRNA COVID-19 Vaccine.Clinical Neurology and Neurosurgery: 107304.


Myokarditis

14 Tage nachdem sie mit AstraZenecas ChAdOx1/Vaxzevria behandelt wurde, wird eine 55jährige mit heftigem Herzklopfen im Krankenhaus vorstellig. Die Untersuchung bringt Herzrasen und erhöhte Troponin-Werte zum Vorschein, eine Magnetresonanztomographie zeigt die Ursache von beidem, eine Entzündung des Herzmuskels, die von der vorausgehenden Behandlung mit Vaxzevria verursacht wurde. Myokarditis ist somit eine Nebenwirkung, die sich nicht nur nach einer Behandlung mit mRNA-Gentherapien einstellt, sondern auch nach Behandlung mit Adenovirus-basierten Impfstoffen.

Marsukjai, Apichai, Nonthikorn Theerasuwipakorn, Monravee Tumkosit, Pairoj Chattranukulchai, Panudda Srichomkwun, and Somchai Prechawat (2022). Concomitant myocarditis and painless thyroiditis after AstraZeneca coronavirus disease 2019 vaccination: a case report. Journal of Medical Case Reports 16(1): 1-4.


Hepatitis / Autoimmune Hepatitis

Daten aus 18 Ländern bilden die Grundlage einer Analyse vorhandener Berichte über Lebererkrankungen nach COVID-19 Impfung / Gentherapie. 87 Patienten, für die im Median 15 Tage nach COVID-19 Behandlung mit mRNA- oder Adenovirus-basierten Impfstoffen / Gentherapien ein Leberleiden diagnostiziert wurde, bilden die Grundlage der Analyse. Bei 57% der Patienten war die Lebererkrankung eine Autoimmunerkrankung (Autoimmune Hepatitis). In allen berichteten Fällen konnte die Erkrankung durch Behandlung in den Griff bzw. zum Abklingen gebracht werden. In einem Fall war eine Lebertransplantation dazu notwendig. Der Zusammenhang zwischen COVID-19 Impfstoffen / Gentherapien und Hepatitis bzw. Autoimmuner Hepatitis ist damit sehr gut belegt.

Efe, Cumali, Anand V. Kulkarni, Benedetta Terziroli Beretta‐Piccoli, Bianca Magro, Albert Friedrich Stättermayer, Mustafa Cengiz, Daniel Clayton‐Chubb et al. (2022). Liver injury after SARS‐CoV‐2 vaccination: Features of immune‐mediated hepatitis, role of corticosteroid therapy and outcome. Hepatology.


Thrombozytopenie, Encephalopathie, Myokarditis

Eine 15jährige wird mit Fieber und Durchfall in ein Krankenhaus eingeliefert. Beides hat sich einen Tag nach der zweiten Behandlung mit Pfizer/Biontechs BNT162b2/Comirnaty Gentherapie eingestellt. Bei Einlieferung ist sie aufgeregt und bei vollem Bewusstsein. Alle Funktionen scheinen normal. Am nächsten Tag hat sie Bewusstseinsstörungen und wird schließlich bewusstlos. Es stellen sich Anfälle und Krämpfe ein, die die Behandlung erschweren. Sie wird auf die Intensivstation verlegt. Eine Autoimmune Enzephalopathie als Reaktion auf die COVID-19 Gentherapie wird vermutet und eine Behandlung mit Methylprednisolone begonnen. Der Zustand des Mädchens verbessert sich, das Bewusstsein kommt graduell zurück, die Anfälle und Krämpfe werden weniger. Nach drei Tagen kann die 15jährige wieder selbständig essen. Gehschwierigkeiten können mit Physiotherapie verbessert werden. Blutanalysen zeigen eine ausgeprägte Trombozytopenie. Am 6 Tag ihres Krankenhausaufenthalts entwickelt die 15jährige Herzrasen, mit einem Puls von mehr als 100 pro Minute. Eine Herzmuskelentzündung ist die Ursache. Die Behandlung wird unverzüglich begonnen. Drei Wochen später hat sich die Herzleistung auf 64% des Normalwertes verbessert. Vier Wochen später hat sich der neurologische Zustand der 15jährigen weiter verbessert. Die Autoren sehen es als Erfolg an, dass sich bislang keine weiteren unerwarteten Komplikationen ergeben haben.

Was für ein Leben auf die 15jährige Geimpfte wartet.

Asaduzzaman, Md, Bidrum Purkayastha, MM Jahangir Alam, Shishir Ranjan Chakraborty, Soumitra Roy, and Nasad Ahmed. (2022). COVID-19 mRNA vaccine-associated encephalopathy, myocarditis, and thrombocytopenia with excellent response to methylprednisolone: A case report. Journal of Neuroimmunology 368: 577883.


Herpes Zoster

Schwere Kopfschmerzen und Schmerzen in der Stirn treiben einen 74jährigen ins Krankenhaus. Er klagt zudem über ein geschwollenes linkes Augenlid und Lichtempfindlichkeit im selben Auge. Fünf Tage zuvor hat er die zweite Dosis von BNT162b2/Comirnaty in den linken Arm erhalten. Am Tag der Impfung stellt sich eine Empfindlichkeit und Jucken im linken Arm, zwei Tage später in der linken Gesichtshälfte ein, ein Ausschlag auf der Stirn folgt. Der Ausschlag breitet sich schnell über die linke Gesichtshälfte, über Auge und Nase aus.

In der Rückenmarksflüssigkeit des Mannes wird ein erhöhter Anteil weißer Blutkörperchen festgestellt und Varizella Zoster Virus nachgewiesen. Er wird mit Meningitis und Varizella Zoster diagnostiziert.

Augenschaden nach
                  SCHLANGENGIFTimpfung: Neurothrophes Geschwür
Augenschaden nach SCHLANGENGIFTimpfung: Neurothrophes Geschwür [4]

Nach 10 Tagen wird er entlassen. 20 Tage später ist er wieder da. Diess Mal leidet er an einem neurothrophen Geschwür im linken Auge [siehe Bild] und seine Sehkraft hat sich merklich verschlechtert. Im Verlauf der nächsten zwei Monate verbessert sich der Zustand des Mannes. Seine Sehkraft verbessert sich, kann aber nicht vollständig wiederhergestellt werden. Nach Ansicht der Autoren ist es notwendig, diejenigen, die sich mit COVID-19 Impfstoffen / Gentherapien behandeln lassen, darüber aufzuklären, welche Risiken sich im Hinblick auf eine Varizella-Zoster (VZV) Erkrankung damit verbinden.

“Therefore, we believe that it is important to inform patients about this potential risk and recommend careful monitoring after vaccination given the possibility of VZV reactivation. Early diagnosis and antiviral treatment can halt disease progression and prevent debilitating complications.”

You, In-Cheon, Min Ahn, and Nam-Chun Cho (2022). A Case Report of Herpes Zoster Ophthalmicus and Meningitis After COVID-19 Vaccination. Journal of Korean Medical Science 37(20).


Thrombotische Vaskulopathie (Gefäßerkrankung)

Pathologische Veränderungen der Blut- oder Lymphgefäße werden unter der Bezeichung “Gefäßerkrankung” (Vaskulopathie) zusammengefasst. Synonym wird auch der Begriff “Angiopathie” verwendet.

SCHLANGENGIFTimpfschaden
                  Beinthrombosen mit Knotenbildung
SCHLANGENGIFTimpfschaden Beinthrombosen mit Knotenbildung [5]

Umittelbar nach ihrer Behandlung mit mRNA-1273 von Moderna entwickelt eine 32jährige erytematose Knollen an ihren Beinen und wird bei ihrem Arzt vorstellig. Eine Behandlung mit Prednisone wird eingeleitet. Nach einer Woche ist die Frau wieder da. Dieses Mal klagt sie über Schmerzen in den Beinen, die zwischenzeitlich Geschwüre und Knoten aufweisen, die eine Wundreinigung unter Narkose notwendig machen. Einen Monat später (im September) wird sie in einer Spezialklinik aufgenommen und die Diagnose wird auf thrombotische Vaskulopathie verändert, die bereits von einer Nekrosis in den Beinen begleitet wird. Die Behandlung erbringt keine Verbesserung. Im Oktober wird die Diagnose zunächst aufgegeben, und sie wird mit Steroiden behandelt. Die zweite Wundreinigung unter Narkose wird durchgeführt, um das abgestorbene Gewebe zu entfernen. Sie wird nun mit Heparin behandelt. Ende Oktober wird festgestellt, dass sie Heparin-resistent ist. Sie wird auf die Intensivstation verlegt, weil ihre Schmerzen nicht mehr kontrollierbar sind und dort unter Narkose gesetzt. Im November wird, abermals unter Narkose, die dritte Wundreinigung durchgeführt. Die nekrotisierenden Geschwüre nehmen weiter zu, die Diagnose “thrombotische Vaskulopathie” wird wieder als wahrscheinlichste Diagnose aufgestellt. Eine Biopsie soll Klarheit verschaffen, schafft aber keine Klarheit. Die behandelnden Ärzte halten sich an einer neuen Diagnose der Gefäßverkalkung fest, obwohl die Biopsie eine Vielzahl von Mikrothrombosen im Gewebe erbracht hat. Die Behandlung wird auf Antikoagulantien, Blutgerinnungshemmer, umgestellt, nach einer Einblutung unter dem Bauchfell gestoppt. Die Wunden an den Beinen werden immer schlimmer. Im Dezember wird die vierte Wundreinigung vorgenommen.  Alle Behandlungsversuche schlagen fehl. Im Februar stirbt die Frau.

Godbe, Kerilyn, Ashlie Elver, Peter Chow, Chris Williams, Garth Fraga, Penelope Harris, Mohammed Taha, Dhaval Bhavsar, and Richard Korentager (2022). Case Report: Idiopathic Subcutaneous Thrombotic Vasculopathy. Frontiers in Medicine: 1083.


Haemophilie / Bluterkrankheit

Ein 72jähriger wird sowohl mit BNT162b2/Comirnaty von Pfizer/Biontech als auch mRNA-1273 von Moderna behandelt. Bis zur Behandlung war seine Gesundheit in Ordnung. Neun Tage nach dem Booster mit mRNA-1273 stellen sich Blutergüsse in seinen Armen und im linken Bein und am Bauch ein. Die Blutergüsse werden von Muskelschmerzen und Atemnot begleitet und dauern einige Tage an. Bei dem Mann wird eine Anämie festgestellt. Er erhält Infusionen. Alle Behandlungen resultieren in weiteren Hautblutungen. Es wird eine Haemophilie diagnostiziert und behandelt. Extensive Untersuchungen scheiden alle gängigen Ursachen für das spontane Auftreten einer Bluterkrankheit aus. Es bleiben die mRNA-Gentherapien:

In summary, we herein present the course of a patient with AHA in close temporal association with both, mRNA-1273 booster vaccination against SARS-CoV-2 as well as the diagnosis of a PDS. The case was reported to the Federal Institute for Vaccines and Biomedicines (Paul-Ehrlich-Institute). According to current recommendations, the patient will be followed-up after complete remission, monitoring FVIII activity monthly during the first 6 months, every 2-3 months up to 12 months, and every 6 months during the second year and beyond.

Plüß, Marlene, Christina Mitteldorf, Christoph Johannes Szuszies, and Björn Tampe (2022). Case Report: Acquired Haemophilia A Following mRNA-1273 Booster Vaccination Against SARS-CoV-2 With Concurrent Diagnosis of Pleomorphic Dermal Sarcoma. Frontiers in Immunology 13.


Kikuchi-Fujimoto Disease

Kikuchi-Fujimoto disease beschreibt im Wesentlichen eine Lymphadenopathie, geschwollene Lymphknoten, zuweilen begleitet von Fieber und Übelkeit.

Eine 27jährige wird am 17. September 2021 mit BNT162b2/Comirnaty, der Gentherapie von Pfizer/Biontech behandelt. An 8. Oktober erhält sie die zweite Ladung. Beide Male reagiert sie mit Fieber, das nach drei Tagen verschwindet. Am 15. Dezember kehrt das Fieber wieder, dieses Mal als hohes Fieber 39.0°C, begleitet von Schmerzen in den Lymphknoten. Eine Computertomographie zeigt eine ganze Reihe angeschwollener Lymphknoten, alle auf der linken Körperhälfte in der Nähe der Impfstelle. Am Tag 130 nach der zweiten Gentherapie wird in einem Krankenhaus eine Biopsie der Lymphknoten durchgeführt. Sie ergibt weitverbreitete Nekrosis (Zellsterben). Nach 43 fiebrigen Tagen ist die Frau fieberfrei.

Kashiwada, Takeru, Yoshinobu Saito, Yasuhiro Terasaki, Yukari Shirakura, Kaoruko Shinbu, Toru Tanaka, Yosuke Tanaka, Masahiro Seike, and Akihiko Gemma (2022). Kikuchi-Fujimoto disease can present as delayed lymphadenopathy after COVID-19 vaccination. Human Vaccines & Immunotherapeutics: 2071080.


Bullous pemphigoid

Bullöses Pemphigoid: Wenn Sie sich fragen, was Bullous pemphigoid ist, das ist Bullous pemphigoid

SCHLANGENGIFTimpfschaden mit Hautschaden
                  "Bullöses Pemphigoid"
SCHLANGENGIFTimpfschaden mit Hautschaden "Bullöses Pemphigoid" [6]

Zhang, Yingjie, Xiaoqing Lang, Shuping Guo, Hongxia He, and Hongzhou Cui (2022). Bullous pemphigoid after inactivated COVID-19 vaccination: Case report. Dermatologic therapy: e15595.

Zhang et al. (2022) berichten von gleich zwei Fällen von Bullous pemphigoid, die sich als Reaktion auf den Lebendimpfstoff von Sinopharm gegen COVID-19 eingestellt habe. Im ersten Fall ist ein 23 Jahre alter Mann betroffen. Die Ekzeme stellen sich einen Tag nach der dritten Dosis ein und verbreiten sich innerhalb von 10 Tagen über seinen ganzen Körper. Die Behandlung mit Prednisolone ist erfolgreich. 10 Tage in die Behandlung bilden sich keine neuen Ausschläge. Der zweit Fall betrifft einen 81jährigen. 15 Tage nach der dritten Impfung bilden sich Blutblasen an Beinen, Bauch und Mund. Auch er reagiert auf die Behandlung mit Prednisolone. Die berichteten Fälle sind die ersten aus China. Sie gesellen sich zu einer Reihe von Fällen, die bereits für Europa und mRNA-Gentherapien berichtet wurden:

Pauluzzi, Michele, Giuseppe Stinco, and Enzo Errichetti (2021). Bullous pemphigoid in a young male after COVID‐19 mRNA vaccine: a report and brief literature review. Journal of the European Academy of Dermatology and Venereology.

All diese Nettigkeiten sind bekannt. Sie füllen wissenschaftliche Zeitschriften. Die Berichte werden immer zahlreicher. Wie lange können sich Polit-Darsteller noch vor ihrer Verantwortung davonstehlen?


SCHLANGENGIFTimpfschaden Schweiz 30.5.2022: Mann 2x geimpft: Schmerzen an Hüftgelenken, Rückenschmerzen+leichte Lähmungen - Putzfrau 2x geimpft: Rückenschmerzen mit Ausstrahlung ins Bein - Frau (30-60?) 2x geimpft: Rückenschmerzen+Lähmungen - Frau (40-60?) ebenfalls
Impfschäden Schweiz Coronaimpfung, [30.05.2022 18:45]
https://t.me/Impfschaden_Corona_Schweiz/45480
Eine neue Meldung:
Gestern Besuch von Bekannten gehabt. Als wir so über die Pandemie und impfung sprachen, sagte er nur er habe seit der impfung probleme mit den hüftgelenken rückensxhmerzen und leichte lähmungserscheinung. Er geht davon aus das es von der impfung kommt. Mit was geimpft weiss ich nicht. Aber 💉💉mal. Unsere Putzfrau ist ausgefallen wegen rückensxhmerzen und austrahlung ins bein. Arbeitskollegin in unserem geschäft, ihr man rückensxhmerzen und lähmungs ersxheinung im Bein. Meine Schwiegermutter dasselbe. Hmm 4 Personen die 2 Gemeinsamkeiten habeb. Alle 💉💉mall und die gleichen Gesundheitlichen Probleme. Na wen das kein zufall ist. Nur eine Person macht zusammenhang mit impfung. Alle anderen glauben ihren ärzten die keine verbindung mit der Impfung sehen oder nicht sehen dürfen


SCHLANGENGIFTimpfschaden Schweiz 30.5.2022: Lehrerin (37) 3x geimpft: trägt immer noch FFP2-Maske - schwanger im 7. Monat - ist im Spital, ev. kommt Frühgeburt
Impfschäden Schweiz Coronaimpfung, [30.05.2022 21:28]
https://t.me/Impfschaden_Corona_Schweiz/45482
Eine neue Meldung:
Eine Lehrerin (37) meiner Tochter, sehr c gläubig, fast schon krankhaft, ist 3x gepfupft, läuft jetzt noch mit globimaske herum.
Nun im 7.monat schwanger und liegt im spital. Diagnose unbekannt, doch das würmli hat es pressant auf die Welt zu kommen. An wann war der booster erhältlich?!


SCHLANGENGIFTimpfschaden Schweiz 30.5.2022: Mann (59) 2-3x geimpft: Hirnschaden mit Vergesslichkeit seit 1 Jahr
Impfschäden Schweiz Coronaimpfung, [30.05.2022 21:29]
https://t.me/Impfschaden_Corona_Schweiz/45483
Eine neue Meldung:
Arbeitskollege 59 Jahre alt. 💉💉 evtl Booster. Massive Gedächtnislücken. War sehr erschrocken im Gespräch mit ihm. Kann sich an viele Dinge nicht erinnern, seit einem Jahr. Sagte selbst das es ihm physisch und psychisch immer wieder schlecht fühlt.


Es rast der Krankenwagen in 4R-Berlin 30.5.2022: auch die Krankenwagen von der Bundeswehr
https://t.me/fufmedia/47263

Hallo Frank. In Berlin werden jetzt auch Rettungswagen der Bundeswehr eingesetzt.
An die häufigen Sirenen hat man sich hier schnell gewöhnt. Auch der ADAC Hubschrauber der täglich mindestens zweimal übers Haus fliegt, ist, seit mehr als einem Jahr, nichts ungewöhnliches.



SCHLANGENGIFTimpfschaden bei Piloten und Crews

Piloten Italien: Verdacht SCHLANGENGIFTimpfschaden 30.5.2022: IMMER MÜDE NACH DER IMPFUNG auch im Cockpit:
Skandal bei der italienischen Fluggesellschaft ITA Airways: Piloten während Flug eingeschlafen – Kapitän gefeuert
https://www.blick.ch/ausland/skandal-bei-der-italienischen-fluggesellschaft-ita-airways-piloten-waehrend-flug-eingeschlafen-kapitaen-gefeuert-id17535519.html

Skandal bei der italienischen Fluggesellschaft ITA Airways: Ein Kapitän wurde entlassen, nachdem ein Airbus A330 mehrere Minuten lang nicht erreichbar war. Er und der Co-Pilot sollen während des Flugs eingeschlafen sein.

Am 30. April fliegt ein Airbus A330 der ITA Airways (früher Alitalia) von New York JFK nach Rom Fiumicino. Bis kurz vor Ziel ein gewöhnlicher Flug. Doch als die Maschine den französischen Luftraum erreicht, schlägt die Flugsicherung in Marseille Alarm.

Der Grund: Das Flugzeug ist nicht mehr erreichbar. Das Schlimmste wird vermutet. Befindet sich Flug AZ609 etwa in der Hand von Terroristen? Zwei Kampfjets der französischen Armee starten unverzüglich, um die Maschine zu begleiten und eventuell anzugreifen.

Doch nach rund zehn Minuten folgt die Entwarnung – die Piloten antworten und erreichen Rom ohne weitere Zwischenfälle. Wie das Nachrichtenportal «Aerotelegraph» berichtet, hat ITA Airways den Vorfall mittlerweile untersucht. Der Kapitän wurde entlassen. Denn die Fluggesellschaft glaubt, dass er und sein Co-Pilot während des Flugs eingeschlafen sind. Ein Nickerchen im Cockpit!

Kapitän bestreitet Vorfall

Während der Co-Pilot ein Schläfchen machte, was tatsächlich erlaubt ist, soll auch der Kapitän eingenickt sein. Und genau das darf nicht passieren. Die Maschine flog ohne Aufsicht auf Autopilot. Keiner der beiden Männer im Cockpit hätte im Notfall eingreifen können.

Der Kapitän bestreitet den Nickerchen-Vorwurf. Er behauptet nicht geschlafen zu haben. Ihm zufolge hat es während des Flugs ein technisches Problem mit der Funkanlage gegeben. Darum seien die beiden Piloten für zehn Minuten nicht erreichbar gewesen. Nur: Bei der internen Untersuchung fand man dafür aber keine Hinweise. Die Anlage war intakt.








Zahlen Mallorca 31.5.2022: Notfallstationen werden überrannt - 500 Patienten pro Tag:
Zahl der medizinischen Notfälle gestiegen

https://www.mallorca-ok.de/zahl-der-medizinischen-notfaelle-gestiegen/
https://t.me/corona_impftod/31716

Im April 2022 über 100.000 behandelte medizinische Notfälle auf der Insel. Wie viele gehen auf das Konto des größten Humanexperiments aller Zeiten?

Der Artikel:
Die Zahl der medizinische Notfälle auf Mallorca ist rasant angestiegen: In den Notfallambulanzen werden aktuell rund 500 Patienten pro Tag behandelt
In Mallorcas Krankenhäusern steigt derzeit die Zahl der medizinischen Notfälle. Das melden die verschiedenen Kliniken der Insel.
Laut den aktuellen Daten werden in diesem Monat in den Notfallambulanzen rund 500 Patienten pro Tag behandelt. 
Im Monat April haben die Krankenhäuser und Gesundheitszentren auf Mallorca insgesamt 100.000 Notfälle betreut. Im April 2021 waren es 79.000 Notfälle. Die Leiter der Krankenhäuser rechnen damit, dass die Zahl im Sommer noch einmal deutlich ansteigen wird.


Zahlen: SCHLANGENGIFTimpfschaden in Idao ("USA") 31.5.2022: Warnung von Dr. Ryan Cole: Impfung reduziert weisse Blutkörperchen - dann kommt VAIDS und die Krebsrate explodiert 20fach:
Unfruchtbarkeit, Krebs und HIV-ähnliche Symptome bei jungen Frauen nach mRNA-Impfungen

https://report24.news/unfruchtbarkeit-krebs-und-hiv-aehnliche-symptome-bei-jungen-frauen-nach-mrna-impfungen/
https://t.me/Impfschaden_Corona_Schweiz/45511
Impfschäden Schweiz Coronaimpfung, [31.05.2022 12:31]
[Forwarded from Report24.news]

Der amerikanische Mediziner Dr. Ryan Cole richtet eine eindringliche Warnung an die Öffentlichkeit: Er beobachtet einen 20-fachen Anstieg von Krebserkrankungen der Gebärmutter bei geimpften Patientinnen. 

Die Hiobsbotschaften um die mRNA-Vakzine reißen nicht ab: Anerkannte medizinische Fachleute berichten nicht nur von schwersten lebensbedrohlichen, frucht- und furchtbarkeitsschädigenden Komplikationen nach der Impfung; auch eine gefährliche Unterdrückung des Immunsystems bis hin zu HIV-ähnlichen Symptomen und Krebserkrankungen bei jungen Frauen sind beobachtbar.

Dr. Ryan Cole ist Teil einer Kommission des US-Bundesstaates Idaho, die den Bürgern unabhängige Informationen über die Covid-Impfungen zur Verfügung stellen soll. Er ist außerdem Pathologe und Eigentümer eines Diagnostiklabors. Seit Januar 2021 beobachtet er einen enormen Anstieg der Fälle von Tumoren an der Gebärmutterschleimheit (endometriale Melanome). Nach seiner Beobachtung hängt dies mit einer Unterdrückung des Immunsystems (Immunsuppression), genauer der T-Helferzellen, zusammen. Die impfbedingte Senkung des Spiegels von T-Killerzellen führe zudem zu HIV-ähnlichen Symptomen und begünstigt Krebserkrankungen auch bei jungen Frauen.


CH

SCHLANGENGIFTimpfschaden Schweiz 31.5.2022: Geimpfte stinken nach Verwesung wie tote Schweinchen auf 1 Bauernhof
Impfschäden Schweiz Coronaimpfung, [31.05.2022 09:12]
https://t.me/Impfschaden_Corona_Schweiz/45493
Eine neue Meldung:
Ich hatte schon von meinem "stinkenden" Unterrichtsraum nach dem vormittäglichen Kafitreff gesprochen. Am Montag - wenn zuvor nichts im Raum war - war es bis jetzt nicht so schlimm. Gestern jedoch schon. Vielleicht hat am WE [Wochenende] außerordentlich eine Veranstaltung im Raum stattgefunden. Eine Schülerin kam herein und sagte: Hier stinkt es so eigenartig nach Verwesung. Sie kenne den Geruch genau von den gestorbenen jungen Schweinchen auf ihrem Bauernhof, die sie jeweils in einen Container werfen müsse. Dort rieche es genau so...

SCHLANGENGIFTimpfschaden Schweiz 31.5.2022: Frau (ca.20-30) 3x geimpft: Infektionen, Geschwulst - Ärzte-Mafia fantasiert über Bakterien, die durch ein Muttermal eindringen können - lange Grippe, langer Husten, Augenschaden mit Bindehautentzündung
https://t.me/Impfschaden_Corona_Schweiz/45493 (Fortsetzung)
Unsere geboosterte Praktikantin, von der ich auch schon geschrieben hatte, hatte sich letzte Woche einen heftigen Infekt mit grosser ausladender Geschwulst am Arm zugezogen. Bakterien hätten bei einem kleinen Muttermal am Arm den Weg unter die Haut gefunden. Einfach so! Es gibt keine Verletzung der Haut! Sie gab sich erstaunt darüber, was sie sich in diesem Praktikumsjahr schon alles zugezogen hätte (oft langanhaltend krank, Husten ohne Ende, heftige, lange Bindehautentzündung). Sie wäre wohl so viel krank gewesen, wie vorher in ihrem ganzen Leben nicht. Keine Verbindung zur Spritze...


SCHLANGENGIFTimpfschaden Kanton Zürich 31.5.2022: Mann (42) 3x geimpft: nun pulsierende Kopfschmerzen+Schwindel
Impfschäden Schweiz Coronaimpfung, [31.05.2022 11:14]
https://t.me/Impfschaden_Corona_Schweiz/45501
Eine neue Meldung:
42jh Mann, KT ZH
Andauerne pulsierende Kopfschmerzen mit Schwindel seit Impfung


Verdacht SCHLANGENGIFTimpfschaden Schweiz 31.5.2022: Frau 3x geimpft: stechende Schmerzen in 1Fuss v.a. nachts
Impfschäden Schweiz Coronaimpfung, [31.05.2022 12:00]
https://t.me/Impfschaden_Corona_Schweiz/45505
Eine neue Meldung:
Ich habe noch eine Frage vielleicht für in die Gruppe

Meine Mutter 3 mal💉 letzte wohl im Dezember oder Januar, weiss es nicht genau weil wir dies bezüglich nicht gleicher Meinung sind, sagte sie mir lange nicht dass sie sich noch boostern ließ. Jetzt eben als sie das letzte mal bei mir war und wir spazieren gingen sagte sie plötzlich irgendetwas stimme mit ihrem Fuss nicht sie hätte vorallem Nachts auf der seite stechende kaum auszuhaltende schmerzen😒 sie müsse dann denn Fuss schütteln dass es ein wenig besser werde. Kennt das jemand? Auch eine Nebenwirkung?


Verdacht SCHLANGENGIFTimpfschaden Schweiz 31.5.2022: Frau (30-60?) 2x geimpft: Zwischenblutungen von der Gebärmutter, nun Diagnose Gebärmutterhalskrebs
Impfschäden Schweiz Coronaimpfung, [31.05.2022 12:31]
https://t.me/Impfschaden_Corona_Schweiz/45510
Eine neue Meldung:
Ich hatte letzten Freitag noch eine schlimme Nachricht bekommen, aber erst jetzt Zeit das Mitzuteilen da ich mich erstmal sammeln musste. Meine Schwester rief mich an und teilte mir mit, das sie bösartigen Gebärmutterhalskrebs hat. Hat vor sechs Monaten immer Mal wieder Blutungen bekommen aber keine Schmerzen. Arzt meinte, das kann kommen wenn man drei Kinder in die Welt gesetzt hat ( 2, 5 und 8 Jahre ). Ca. November 21 hat sie ihre zweite Dosis bekommen....danach haben die Blutungen eingesetzt.

Diesen Freitag hat sie einen MRT Termin. Ich bin so voller Trauer und hoffe das mit der Entfernung der Gebärmutter der Krebs verschwindet.

Antwort dazu:
Impfschäden Schweiz Coronaimpfung, [31.05.2022 12:42]
https://t.me/Impfschaden_Corona_Schweiz/45512
[In reply to Impfschäden Schweiz Coronaimpfung]
Eine Meldung dazu:
Habe den Kommentar vom Gebärmutterhalskrebs gelesen, kann nach 3 Kindern kommen?! Was für eine Lüge!
In den 2000 wurde an den Schulen die staatlich finanzierte Gebärmutterhalskrebsimpfung ziemlich agressiv eingesetzt?!
Kanti Sargans auch, was wir aber abgelehnt hatten, zum Glück!


Antwort dazu:
Impfschäden Schweiz Coronaimpfung, [31.05.2022 13:17]
https://t.me/Impfschaden_Corona_Schweiz/45524
[In reply to Impfschäden Schweiz Coronaimpfung]
Kommentar zu 12:42:
Der Arzt meinte nicht das der Gebärmutterhalskrebs von der Geburt der drei Kinder kam. Er meinte, das die Blutungen im Zusammenhang mit den Geburten war. Ein Zusammenhang Impfung/Krebs hat nicht stattgefunden.

Antwort dazu:
Impfschäden Schweiz Coronaimpfung, [31.05.2022 13:33]
https://t.me/Impfschaden_Corona_Schweiz/45527
Eine Frage:
Der Gebärmutterhalskrebs wird durch Viren beim GV übertragen.
Ich lese häufig, dass durch die Covid-Spritze diese Krebsart vermutlich angeregt wird.
Enthält die Covid Injektion solche Viren?

Antwort dazu:
Impfschäden Schweiz Coronaimpfung, [31.05.2022 17:40]
https://t.me/Impfschaden_Corona_Schweiz/45546
Eine neue Meldung:
Zur Frage wegen des Gebärmutterhalskrebses (13:33 Uhr): Es muss nicht sein, dass diese Humanen Papilloma-Viren (HPV) im Impfstoff sind. Der Impfstoff reaktiviert Viren, welche im Körper vorhanden sind. So erkläre ich mir, weshalb es zu so vielen Gürtelrosen kommt, da der Windpockenvirus schlummernd vorhanden ist. Auch die verschiedenen Herpesviren, welche die Lippen befallen - ich sehe momentan sehr viele Menschen mit den sog. "Fieberblattern". Und somit bricht bei Menschen mit schlummerndem HPV nun Gebärmutterhalskrebs hervor.


Antwort dazu:
Impfschäden Schweiz Coronaimpfung, [31.05.2022 20:16]
https://t.me/Impfschaden_Corona_Schweiz/45563
Eine neue Meldung:
Zu der Frage von 13.33 Gebärmutterhalskrebs:
Bei der Impfung werden einige Virenstämme verwendet. Wenn nun bei den neu auftretenden Krebsbefunde die selben Viren zu finden sind, stimmt das schon nachdenklich.
Denn nach der Impfung sind die Viren im Körper und die C Gen💉 schaltet die zeluläre Krebsbekämpfung aus.
Welcher Schelm sieht da ein Zusammenhang?


SCHLANGENGIFTimpfschaden Schweiz 31.5.2022: Mann (ca.60, Herzinfarkt mit 57) geimpft: Herzprobleme kommen wieder: Vorhofflimmern, Brustschmerzen
Impfschäden Schweiz Coronaimpfung, [31.05.2022 12:42]
https://t.me/Impfschaden_Corona_Schweiz/45514
Eine neue Meldung:
Freund, ca. 60J., hatte vor ca. 2 1|2 Jahren Herzinfarkt. War nachher auf recht gutem Weg. Auf Grund der Vorerkrankung geimpft. Stoff unbekannt. Nun wieder Vorhofflimmern, Schmerzen in der Brust. Fühlt sich allgemein nicht sehr gut. Das Ganze weckt Angstgefühle. Niemand sieht ev. Zusammenhang mit Spritze.


SCHLANGENGIFTimpfzwang im Altersheim Schweiz 31.5.2022: Frau (60-80?, Krebs stabil) 1x geimpft, Impfzwang durch Chefetage: Turbokrebs
Siena, [31.05.2022 12:45]
https://t.me/Impfschaden_Corona_Schweiz/45515
Eine neue Meldung:

Ich weiss nicht ob das Hilfreich ist, ich arbeite in einem Altersheim. von einer Patientin möchte ich gerne genauer berichten. Sie kam zu uns als Krebspatientin (krebs war stabil) sie kam als ungeimpfte zu uns. nach mehrfachem Druck durch die Leitung, liess sie sich im Oktober das erste mal impfen, seit diesem Tag sieht man förmlich per Auge wie der Krebs wächst und wuchert. wohl bemerkt zuvor sah man überhaupt nichts war stecknadel gross mehr als 1 Jahr lang unverändert in grösse und aussehen. Seit Oktober ist der Tumor von Stecknadel grösse zu Handflächengrösse gewachsen, innert wenigen Monaten, nun wuchert er wahnsinnig tägliche veränderung ersichtlich.


SCHLANEGNGIFTimpfschaden Schweiz 31.5.2022: Fusspflegestudio bekommt Berichte - die Ärzte-Mafia schickt Leute einfach nach Hause, sie wissen nicht, was die Ursache ist - und die geimpften Leute wachen immer noch nicht auf - Hirnschaden!
Impfschäden Schweiz Coronaimpfung, [31.05.2022 13:05]
https://t.me/Impfschaden_Corona_Schweiz/45518
Eine neue Meldung:
Liebe ALLE
die wie ich hier jeden Tag mitlesen…! Alles trifft ein, schrecklich. Jeden Tag höre ich in meinem Fusspflege Studio von unerklärlichen Notfällen, Krankheiten, überforderte Ärzte, prallvolle Notfallststionen…
Vieles bleibt im Dunkeln, unwissend nach Hause geschickt🙈 und immer noch schlafen ganze Herden von Leuten. Es ist kaum zum aushalten! Jeden Tag bin ich froh meine Kinder und Eltern, leider 💉💉bei guter Gesundheit anzutreffen. Ich erfreue mich über jede Stunde die wir zusammen sind und hoffe immer noch dass alles nicht kommt wie es nun doch kommt; das Massensterben😭😭😭
Mein Mann unge💉muss nächste Woche eine neue Aortaklappe einsetzen lassen, ich bin dankbar dass wir eine gute Ärztin haben in einem kleinen Spital🙏

Bleibt stark!
WIR SCHAFFEN DAS! ❤️🧡💛


SCHLANGENGIFTimpfschaden Schweiz 31.5.2022: Mann (30-60?) 3x geimpft im Januar 2022 - seitdem krank
Impfschäden Schweiz Coronaimpfung, [31.05.2022 13:17]
https://t.me/Impfschaden_Corona_Schweiz/45525
Eine neue Meldung:
Freund von meinem Schwiegersohn, ist seit Januar dieses Jahr geboostert, und seitdem ist er krank


SCHLANGENGIFTipmfschaden Schweiz 31.5.2022: Mann 3x Moderna geimpft: hat nun Diabetes + Atemnot + kommt kaum noch die Treppe hinauf
Impfschäden Schweiz Coronaimpfung, [31.05.2022 13:30]
https://t.me/Impfschaden_Corona_Schweiz/45526
Eine neue Meldung:
Heute erzählte mir eine Kundin dass ihr Partner plötzlich Diabetes bekommen hat.
3 mal geimpft moderna.
Und dass er noch unter long Covid leide er habe mühe mit dem
atmen vorallem beim Treppensteigen.
Impfung kein Thema.


SCHLANGENGIFTimpfschaden Schweiz 31.5.2022: Frau (21) 2x geimpft trotz Warnungen (!): jeden 3. Tag krank: immer müde, hohes Fieber, Erschöpfung, Augenschaden: Sie braucht 10 Minuten, um scharf zu sehen - blasses Gesicht - seit 23.5.2022 Fieber+Schüttelfrost arbeitsunfähig
Impfschäden Schweiz Coronaimpfung, [31.05.2022 13:37]
https://t.me/Impfschaden_Corona_Schweiz/45528
Eine neue Meldung:
Neue Meldung:
Seit seiner letzten Impfung, ist unsere Lehrtochter (21 jährig) all 3. Tag krank (Frühling 21 Corona erhalten, Juli 21 Impfung, Februar 22) mit Müdigkeitserscheinung, immer wieder hohes Fieber und Erschöpfung. Seit kurzem hat Sie mich gesagt, dass jeden morgen wo Sie aufsteht fast nicht mehr sieht. Es geht ca. 10 min bis Sie mal richtig sehen kann. Und während des Arbeiten am PC sind Ihre Augen immer wieder so blass und erschöpft.
Im Februar 22 wollte Sie nach Ägypten gehen in den Ferien, leider durch den positiven Corona Test am vorigen Tag, hat Sie alles abgeblasen.
Und der jetzigen Stand von Ihr, unsere Lehrtochter ist seit letzte Wiche, mit Fieber und mit Schüttelfrost im Bett. Sie kann sich nicht gut erholen. Sie hat sich praktisch Ihre ganze Jugend ruiniert mit 2 Pics. Sie ist eine sehr aufgestellte und symphatische Lehrtochter, aber nach mehrere male Sie zu überzeugen dass den Pics nicht bringt, hat Sie für dass gegenteil Entschieden… kann nur so viel sagen Schafe, Schade und nochmals Schade… wenn man nicht hören will muss es dann fühlen


SCHLANGENGIFTimpfschaden Basel (Schweiz) 31.5.2022: frau (83) 3x Pfizer geimpft: Geschwür unter einem Auge
Impfschäden Schweiz Coronaimpfung, [31.05.2022 14:04]
https://t.me/Impfschaden_Corona_Schweiz/45529
Eine neue Meldung:
Person in Basel (83) 3x Pfizer geimpft, hat seit ca. 1/2 Jahr einen grässlich grossen, braunen Pickel unter einem Auge, sieht aus wie ein Geschwür.
Gruss an alle und danke für eure Arbeit.


SCHLANGENGIFTimpfschaden Kanton Basel-Stadt 31.5.2022: Frau (35) 2x Moderna geimpft: hatte wieder Corona - nun Druck auf Ohren und im Gesicht, schmerzempfindliche Haut im Gesicht - Ärzte-Mafia behauptet: kommt von Covid
Impfschäden Schweiz Coronaimpfung, [31.05.2022 14:26]
https://t.me/Impfschaden_Corona_Schweiz/45530
Eine neue Meldung:
W,35J, 💉💉 moderna Ich weiss nicht ob auch booster. Ich rede nicht mehr ueber 💉 mit ihre.
Hausarzt besuch heute wegen starke druck im Ohren und Gesicht. Sie kann nicht Gesicht beruehren ohne Schmerz. Arzt sieht kein Ohr Entzuendigung.
Sie hatte auch covid vor einem Monat.
Arzt sagte: es kommt von COVID. Wie kann ein arzt so dumm? Ich sagte sie: ich hatte auch covid aber habe nie diese Druck und Schmerzen naher. Nicht alli haben long Covid symptome sagt sie. 😭 die Leute wollen nicht sehen die Wahrheit. Ich bin ehrlich muede zu hoffen die Leute wachen auf. Sie wachen nicht auf… kt. Basel-Stadt


SCHLANGENGIFTimpfschaden Schweiz 31.5.2022: Mann (70) geimpft: Nierenschaden, noch 19% Leistung - Herzklappen defekt+Herz-OP
Impfschäden Schweiz Coronaimpfung, [31.05.2022 14:26]
https://t.me/Impfschaden_Corona_Schweiz/45531
Eine neue Meldung:
Gestern ehemalige Arbeitskollegin getroffen. Sie und ihr Partner beide um die 70.
Sie erzählte mir, dass es ihrem Partner gesundheitlich sehr schlecht gehe. Er hatte im Verlauf des letzten Jahres einen stark erhöhten Blutzucker, der schwierig einzustellen war. Zudem Niereninsuffizienz, noch 19% der Leistung vorhanden. Im Februar dieses Jahres musste er sich einer Herzoperation unterziehen. Herzklappen waren defekt und mussten erneuert werden.
Sie glaubt, was die Regierung sagt und somit sind sie und ihr Partner geimpft.

Es tut mir sehr weh, solche Dinge zu sehen. Beide sind überaus freundliche und liebenswerte Menschen.


SCHLANGENGIFTimpfschaden Schweiz 31.5.2022: Haufenweise "Nebenwirkungen" und wieder Corona - viele haben auch keine Nebenwirkungen
Impfschäden Schweiz Coronaimpfung, [31.05.2022 14:47]
https://t.me/Impfschaden_Corona_Schweiz/45535
Eine neue Meldung:
Meine "Sammlung":

Mann (30-60?) geimpft: nach 3 Monaten Lungenentzündung+Blasenentzündung - Frau (30-60?) geimpft: nach 3 Monaten Knieprobleme, Krücken, nach 3. Impfung verschlimmert + wieder Corona
https://t.me/Impfschaden_Corona_Schweiz/45535 (Fortsetzung)
Schon mal mitgeteilt: Bruder 3 Monate nach Impfung mit Lungen- und Blasenentzündung im Spital. Nun soweit ok. Frau von ihm 3 Monate nach Impfung Knieprobleme, Krücken... nach booster viel schlimmer. Hatte trotz booster corona.

SCHLANGENGIFTimpfschaden Schweiz 31.5.2022: Arzt rät zur Impfung: Frau (ca.70) geimpft: Sturz+Oberschenkelhalsbruch - nach 3. Impfung Turbo-Demenz - Mann (ca.70) geimpft: oft müde, aggressiv, Buckelhaltung
https://t.me/Impfschaden_Corona_Schweiz/45535 (Fortsetzung)
Eltern zwäg bis September 2020, Corona Oktober 2020 (Mutter etwas Fieber und Durchfall, Vater etwas müde). Trotzdem auf "Rat" Hausarzt Impfung April 2021, dann Muter 3 Monate später anlassloser Sturz zuhause mit Oberschenkelfraktur und Reha. Läuft seither schlecht und seit Booster im Dezember ganz dchlecht. Vater läuft seit Impfung gebückt, oft müde und aggressiv.

SCHLANGENGIFTimpfung nützt nichts gegen Corona Schweiz 31.5.2022: Geimpfte haben wieder Corona
https://t.me/Impfschaden_Corona_Schweiz/45535 (Fortsetzung)
Sohn zwei Jahre trotz regem Kontakt kein corona, leider November 2021 Johnson (weil der einzig ungeimpfte, der vor den Türen blieb). Nach Nachtessen mit Freunden inkl Geboostertem alle Corona,  erst der Geboosterte. Mehr oder weniger leichter Verlauf, auch bei einzigem noch nicht geimpften Freund. Ebenfalls mit Johnson geimpfter Freund innert Wochd danach wegen Herzproblemen Notfall (keine Myokarditis, keine Perikarditis), zwei Monate später Corona mit heftigerem Verlauf mit hohem Fieber.  Alle geimpften Untermieter im Geschäft hatten Corona, ich und ein Ungeimpfter nie, eine Ungeimpfte mit Fieber.

SCHLANGENGIFTimpfschaden Schweiz 31.5.2022: Frau geimpft: Urin stinkt nach Ammoniak - immer krank - hat 2022 5 Wochen lang Corona - Mann 3x geimpft: Gürtelrose - Mann geimpft: Schlaganfall, überlebt
https://t.me/Impfschaden_Corona_Schweiz/45535 (Fortsetzung)
Bekannte sagt, seit Impfung Sommer 2021 rieche ihr Urin nach Ammoniak. Ständig krank, Januar 2022 5 Wochen wegen Corona. Bekannter 3x geimpft Gürtelrose. Vater von Nachbarin, au h geimpft, Schlaganfall, hatte Glück.  Alle die wollen Zusammenhang mit Impfung nicht sehen.

SCHLANGENGIFTimpfschaden Schweiz 31.5.2022: Frau (30-60?) geimpft wegen Erpressung: Aneurysma [Arterienerweiterung] - dann Corona - Mann (30-60?) geimpft wegen Erpressung: Magenprobleme, Notfall und Corona
https://t.me/Impfschaden_Corona_Schweiz/45535 (Fortsetzung)
Bekannte Aneurysma, später Corona (nicht schwer), Mann heftig inkl Notfall im Spital wegen Magenproblemen bei coronaerkrankung (beide gegen Ueberzeugung geimpft wegen erheblichen Sachzwängen).

SCHLANGENGIFTimpfschaden Schweiz 31.5.2022: Mann (60-80?) an Stöcken: lässt sich impfen: fällt nun auch mit Stöcken um
https://t.me/Impfschaden_Corona_Schweiz/45535 (Fortsetzung)

Älterer Bekannter kann auch mit Stöcken nur noch sehr schlecht laufen, falle manchmal Zuhause um und sagt selbst, das sei nach Impfung.
Kenne auch viele, die zwar trotz Impfung Corona hatten, aber keine Nebenwirkungen von der Impfung.
Kenne einige Ungeimpfte, wovon manche Corona hatten (kein einziger schwerer Verlauf), andere haben sich nie angesteckt.
Kenne keine einzige geimpfte Person, die nach Impfung kein Corona hatte

Corona heilen Schweiz 31.5.2022: Thymian+Oregano+Salbei+Pfefferminze+Zitrone
https://t.me/Impfschaden_Corona_Schweiz/45535 (Fortsetzung)
War selbst im september 2020 ziemlich krank mit ü39 Grad Fieber, total müde, wanderndes Brennen im ganzen Körper. Wurde schlagartig besser nach Gebräu aus Thymian, Origano, Salbei, Pfefferminz und ausgepresster Zitrone, allerdings noch Stechen in Brust ca ein bis zwei Monate. Hatte mich nicht testen lassen. Seither trotz Kontakten mit Leuten, die ein zwei Tage später positiv waren, nie Corona. Hatte Influenza 2016 (14 Tage mit hohem Fieber, 3 Monate bis auch Kopfschmerzen weg waren).

Viele haben keine Nebenwirkungen, aber es sind zuviele, die welche haben. Und vor der Erkrankung an Corona schützt das Zeug ganz offensichtlich nicht.


SCHLANGENGIFTimpfschaden Schweiz 31.5.2022: Mann 2-3x geimpft: Corona - dann Lungenentzündung
Impfschäden Schweiz Coronaimpfung, [31.05.2022 15:22]
https://t.me/Impfschaden_Corona_Schweiz/45536
Eine neue Meldung:
Ein Freund von uns (2 oder 3 x 💉)
zuerst C, jetzt Lungenentzündung


SCHLANGENGIFTimpfschaden Kanton Bern 31.5.2022: Frau (80): Viele Geimpfte sind psychisch verändert - viele viel anfälliger - Besserung von SCHLANGENGIFTimpfschäden mit Akupunktur
Impfschäden Schweiz Coronaimpfung, [31.05.2022 16:11]
https://t.me/Impfschaden_Corona_Schweiz/45539
Eine neue Meldung:
Eine Kundin 80j hat mir heute gesagt , dass viele sich verändert haben seit den Impfungen und auch sie stellt fest, dass einige ihrer bekannten viel krankheitsanfälliger geworden sind. Sie selbst ist 💉💉💉 und hat auch div Sachen seither, die jetzt mit einer Akupunkturbehandlung schon deutlich besser geworden sind☺️
Kt Bern


SCHLANGENGIFTimpfschaden Schweiz 31.5.2022: Der Coiffeur erzählt von seinen Kunden: "Das Zeug bringt ja alle um"
Impfschäden Schweiz Coronaimpfung, [31.05.2022 16:44]
https://t.me/Impfschaden_Corona_Schweiz/45543
Eine neue Meldung:
War heute beim Coiffeur. Ein sehr netter Mensch mit dem ich mich gut verstehe.
Er hatte sich lange Zeit geweigert, sich zu impfen, aber als die Tyrannei im Herbst wieder losging, bekam er Angst, dass er vielleicht sein Geschäft schliessen müsse, da er eben ungeimpft war. Doppelt geimpft, zum Glück und ich hoffe, es bleibt so, keine Nebenwirkungen. Schon das letzte Mal hat er gesagt, dass er sich nicht Boostern lasse 😃😃.
Er ist immer noch boosterfrei 👏👏👏 und begann dann zu erzählen, was er bei den Kunden so sieht 🤭🤭🤭.
Was ebenfalls interessant war, er erwähnte die Geschichte mit den verunreinigten Chargen in Japan 👏👏👏.
Er werde sich nicht mehr impfen lassen, das Zeug bringe ja alle um 🤭🤭.



SCHLANGENGIFTimpfschaden Schweiz 31.5.2022: Frau (30-60?) 3x Pfizer/BionTech geimpft+getestet: Nasenkrebs
Impfschäden Schweiz Coronaimpfung, [31.05.2022 18:34]
https://t.me/Impfschaden_Corona_Schweiz/45556

Nasenkrebs, w

Freundin, doppelt geimpft und geboostert mit Biontec im Januar. Natürlich auch mehrfach per getestet. Nun an einem sehr seltenen Nasenkrebs erkrankt.
BionTech


SCHLANGENGIFTimpfschaden Kanton Zürich 31.5.2022: Frau (78) 3x Moderna geimpft: Herzinfarkt + Nervenschmerzen am rechten Arm bis in die Hände - ist auf Ibuprofen
Impfschäden Schweiz Coronaimpfung, [31.05.2022 18:34]
https://t.me/Impfschaden_Corona_Schweiz/45557
Gestern   schwerer Herzinfarkt / Nervenschmerzen, w, 78 Jahre, ZH

Am 31. Mai 2021 hatte ich einen schweren Herzinfarkt. Seit der Impfung plagen mich zudem immer Nervenschmerzen im rechten Arm, die gehen bis zu den Händen. Mit Ibuprofen werden sie etwas gelindert, die muss ich aber jeden Tag einnehmen.
1. 'Impfung': 26.03.2021, 2. 'Impfung': 23.04.2021, 3. 'Impfung': 19.11.2021; Moderna


SCHLANGENGIFTimpfschaden Schweiz 31.5.2022: Frau (62) geimpft+Arbeiterin im Impfzentrum: Bauchspeicheldrüsenkrebs
Impfschäden Schweiz Coronaimpfung, [31.05.2022 21:36]
https://t.me/Impfschaden_Corona_Schweiz/45568
Eine neue Meldung:
Eine arbeitskollegin von mir hat eine kollegin die bauchspeichelkrebsdiagnose bekommen hat. nur noch ein paar monate zu leben. sie hat im impfzentrum gearbeitet🤔. 62 jahre alt.



FL

SCHLANGENGIFTimpfschaden Liechtenstein FL 31.5.2022: Frau (50) 2x geimpft: monatelang schlimmer Husten - 3x geimpft trotz Warnungen: Turbokrebs
Impfschäden Schweiz Coronaimpfung, [31.05.2022 20:18]
https://t.me/Impfschaden_Corona_Schweiz/45565
Eine neue Meldung:
Habe gestern Alte Arbeitskollegin getroffen. Sie ist 50j un hatte Turbo Krebs bekommen nach dritten Spritzen… nach zweiter hatte sie monatelang schlimmer Husten,ich habe sie gewarnt das es von Spritze kommt,wollte nicht hören! Liechtenstein 🇱🇮


4R

SCHLANGENGIFTimpfschaden 4R-Berlin im Spital Charité 31.5.2022: Studie Studie "Sicherheitsprofil von COVID-19-Impfstoffen“, kurz "ImpfSurv" warnt klar: 40.000 Geimpfte immer wieder befragt - Katastrophe kommt - PEI-Bericht - und die kriminellen Rothschild-Medien hetzen immer noch gegen die Wahrheit:
Schockierende Zwischenbilanz einer Charité-Studie zu Impfnebenwirkungen
https://www.alexander-wallasch.de/gastbeitraege/schockierende-zwischenbilanz-einer-charite-studie-zu-impfnebenwirkungen
https://t.me/ploetzlichundunerwartetverstorbe/1886

„Ärzte müssen tätig werden!“ Auch wenn es noch kein Endergebnis ist, die Zwischenbilanz einer Charité-

So langsam bekommen es nicht nur immer mehr Menschen, sondern auch die großen Medien auf den Schirm: Der Anteil der schweren Nebenwirkungen der Covid-Impfungen wurde mit hoher Wahrscheinlichkeit als zu niedrig ermittelt, berichtet jetzt sogar das ZDF, nachdem Professor Harald Matthes wegen der beunruhigenden Zwischenergebnisse seiner an der Charité durchgeführten Beobachtungsstudie Alarm geschlagen hatte.

In der von ihm geleiteten Studie "Sicherheitsprofil von COVID-19-Impfstoffen“, kurz "ImpfSurv" genannt, die nunmehr seit einem Jahr läuft, wurden knapp 40.000 geimpfte Personen in regelmäßigen Abständen befragt, welche über ein Jahr lang zu ihren Symptomen nach der Impfung mittels Online-Fragebogen Auskunft gaben.

Basierend auf den Daten der ersten ca. 10.000 Freiwilligen folgte der Weckruf von Matthes, der aber schnell verhallte und schon kurz darauf gleich wieder in den Tiefschlaf zurückgeschickt wurde. Denn von der Studie samt Erhebungen hat sich die Charité direkt distanziert und diese inzwischen offline genommen, so der MDR. Dazu gleich mehr.

Rund 180 Millionen COVID-19-Impfdosen wurden bis dato in Deutschland verimpft, circa 63 Millionen Menschen haben sich mindestens einmal die Spritze geben lassen.

Nebenwirkungen dieser Massenimpferei werden regulär beim Paul-Ehrlich-Institut (PEI) gemeldet. Denkt man. Auch angesichts dieser neuen „Zwischen“-Studienlage wird es immer wahrscheinlicher, dass viele Impfschäden weder erkannt noch zugeordnet, geschweige denn von Ärzten gemeldet werden. Vielleicht auch nicht zuletzt deshalb, weil eine Meldung an das PEI für den Arzt bzw. seine Belegschaft oft nur ein Zeitfresser ist.

[PEI mit Sicherheitsbericht]

Das PEI gibt bei 2 von 10.000 Geimpften (Sicherheitsbericht PEI vom März 2022) schwerwiegende gemeldete Nebenwirkungen an, das entspricht 0,02 %. Genau dieser Zahl widerspricht das Zwischenergebnis von Matthes Charité-Beobachtungsstudie, und zwar eklatant.

Denn die Zahl schwerer Komplikationen nach Impfungen gegen SARS-CoV-2 ist womöglich 40-mal höher als vom Paul-Ehrlich-Institut (PEI) offiziell bekannt gegeben. Laut der Studien-Zwischenergebnisse kämpfen 80 von 10.000 Geimpften mit schweren Nebenwirkungen, also mit Symptomen, die über Wochen oder Monate anhalten und eine medizinische Behandlung erfordern. Das entspricht dem Vierzigfachen der vom PEI reporteten Nebenwirkungen.

Zu diesen gehören Herzmuskelentzündungen, Reaktionen des Immunsystems oder auch neurologische Störungen, also Beeinträchtigungen des Nervensystems.

Kaum hatte die Öffentlichmachung dieser Zwischenergebnisse für Wirbel gesorgt, frischt der Gegenwind auf: Das PEI habe für schwerwiegende Nebenwirkungen eine andere Definition als die Studie parat. Wenn man diese abweichende Definition von "schweren" bzw. "schwerwiegenden" Impfnebenwirkungen im Sicherheitsbericht des PEI und der ImpfSurv-Studie berücksichtigt, können die Zahlen nicht mehr direkt miteinander ins Verhältnis gesetzt werden.

Die Studie sei viel mehr eine Internetumfrage. Von fehlender Repräsentativität durch freiwillige Teilnahme und Nichtberücksichtigung soziodemographischer Faktoren ist die Rede sowie davon, dass Menschen, die Impfungen kritisch sehen, hier eher dran teilnehmen würden, um ihrer Stimme Gehör zu verleihen.

Das soll jetzt offenbar verhindert werden, die Studie ist inzwischen offline. Bei der sozial-medialen Verunglimpfung wird auch argumentiert, dass die Studie ja noch nicht fertig sei, es sich nur um ein Zwischenergebnis handle.

Dabei ging es Matthes eben genau darum, wegen dieses Zwischenergebnisses schon so frühzeitig an die Öffentlichkeit zu gehen – ob der jetzt schon sichtbaren, alarmierenden Tendenz.

Aber kann all das ein Grund sein, die Studie im Bauch der Charité verschwinden zu lassen wie eine vom Operateur vergessene OP-Schere? Was ist hier in der berühmten Berliner Klinik passiert, an der auch der Staatsvirologe Christian Drosten tätig ist? Mittels der Technik des Unter-den Tisch-fallen-lassens wird hier der Studien-Auftraggeber zum Studien-Leugner. Es wird so getan, als gäbe es keine Alarmzeichen.

Werden hier Haare gespalten, um eine haarige Angelegenheit unter den medialen Teppich zu kehren? Oder gleich ganz aus der Welt zu schaffen? Und noch mehr Fragen: Worum geht’s hier eigentlich? Um Formalitäten, wie eine etwas andere Definition, oder sollte es nicht am Ende auch darum gehen, betroffenen Menschen helfen zu können?

Denn genau das fordert Studienleiter Matthes als Konsequenz dieser verfrühten Bekanntmachung der Ergebnistendenz seiner Studie. Er hat zwar nicht die Lösung für die Ursache des Problems, aber klare Vorstellungen über die Behandlung der Symptome.

Im Grunde fordert er eine Enttabuisierung des Themas, inklusive Einzug in die Praxis medizinischer Versorgung: Es gäbe bereits Einrichtungen, die in der Lage sind, Erstversorgung von Patienten mit Impfkomplikationen zu übernehmen.

Auch die Ambulanzen müssten sich für Patienten mit Impfkomplikationen öffnen und könnten diese dann an die entsprechenden Fachabteilungen, Neurologie oder Kardiologie weiterverweisen.

Sein Appell: „Ärzte müssen tätig werden!“ Der Mediziner fordert weiter, „offen darüber [zu] diskutieren, ohne als Impfgegner zu gelten“.

Er betont, dass es für Betroffene besonders bedrückend sei, dass sie mit ihren Beschwerden oft nicht ernst genommen würden. Niedergelassene Ärzte würden entsprechende Symptome allzu häufig nicht mit den Impfungen in Verbindung bringen, auch, um sich in einer „aufgeheizten politischen Stimmung“ nicht positionieren zu müssen.

Genau das hat der Mediziner getan, Stellung bezogen durch diese Vor-Veröffentlichung, und durch die Reaktion darauf vielleicht eine Idee bekommen, warum viele Ärzte genau so ein Positionieren und den daraufhin aufkommenden Gegenwind scheuen.

Man könnte auch sagen: Entgegen vieler Betroffener mit ihren Impfnebenwirkungen wurden Matthes und die Zwischenergebnisse seiner Befragungsstudie dann doch ernst genommen, viel zu ernst vielleicht für seinen Geschmack, denn welche Gründe könnte es sonst geben, seine Studie so hektisch zu verbannen und die Zwischenergebnisse infrage zu stellen?


Verdacht SCHLANGENGIFTimpfschaden Bayern (4R) 30.5.2022: Mann (71): Zusammenbruch in Seilbahn:
Meldung vom 30.5.22: "Urlauber kollabiert in der Bergbahn: Dramatische Momente am Herzogstand"
https://www.merkur.de/lokales/bad-toelz/kochel-am-see-ort28931/
https://t.me/corona_impftod/31717

"Rettungskräfte der Wasserwacht Walchensee kämpften am Vatertag um das Leben eines 71-Jährigen, der in einer Kabine der Herzogstandbahn zusammengebrochen war. Ausdrücklich loben sie das Verhalten von Passnaten am Unfallort."

[Mehr wird nicht berichtet im Bayern-Land von Impfmonster Söder].


Verdacht SCHLANGENGIFTimpfschaden D-A-CH 31.5.2022: Mann mit Novavax geimpft: Herzschmerzen, Rückenschmerzen, Cortison, Augenschaden rechts: verschwommenes Sehen, Loch in der linken Netzhaut, Hirnschaden mit Gedächtnisverlust:
Einrichtungsbezogene Impfpflicht - Nebenwirkung nach Novavax: Sehfähigkeit eines Mannes stark eingeschränkt
https://corona-blog.net/2022/05/12/einrichtungsbezogene-impfpflicht-nebenwirkung-nach-novavax-sehfaehigkeit-eines-mannes-stark-eingeschraenkt/
https://t.me/ploetzlichundunerwartetverstorbe/1887


Ein Impfgeschädigter, der sich aufgrund der einrichtungsbezogenen Impfpflicht mit Novavax hat impfen lassen, wendet sich mit einer E-Mail an uns. Er ist verzweifelt, denn aufgrund der Impfung ist seine Sehfähigkeit massiv eingeschränkt, er selbst sagt: „Ich würde die Novavax Impfung nie wieder machen, aber jetzt ist sie drin und ich muß mit den Folgen leben.“ Vielleicht finden sich über den Beitrag andere Betroffene oder auch Menschen die helfen können.

Wir haben bereits über den Impfstoff , der auf den Namen „Nuvaxovid (NVX-CoV2373)“ hört, des US Herstellers Novavax berichtet. In den Medien und von Politikern wird dieser gerne als Totimpfstoff verkauft, doch auch er beruht auf Gen- und Nanotechnik. Ein verzweifelter Mann, der sich aufgrund der einrichtungsbezogenen Impfpflicht hat impfen lassen, hat sich mit einer E-Mail an uns gewandt. Auch bei den privaten Schilderungen von Impfnebenwirkungen hatte er bereits kommentiert und um Hilfe gebeten. Nun haben wir ihm angeboten, dass er hier auf dem Blog über die Nebenwirkungen berichten kann und vielleicht findet er so Betroffene oder Menschen die einen Rat wissen.

Ich war nicht von Herzen entschlossen zur Impfung und ließ sie dann über mich ergehen.

Die Novavax-Impfung wurde seit Dezember 2021 immer wieder propagiert für „Impfskeptiker“ die keinen genetischen Impfstoff bekommen wollten. Die ganze Problematik mit dem Spike-Protein und den Zusätzen wurde dabei nicht erörtert – Novavax war ein Hoffnungsträger – wenn auch bei eingehender Recherche z.B. bei Dr. Wodarg oder den Ärzten für individuelle Impfentscheidung die Problematik hätte gesehen werden können.

Ein eindringlicher Beitrag von Florian Schilling der die Novavax Studie und die Gefahren dieses Impfstoffes beschreibt vom Dezember 2021, kam mir leider erst dieser Tage zu Ohren. Wegen der einrichtungsbezogenen Impfpflicht meinte ich mich impfen lassen zu müssen und so schnappte die Falle zu. Auf dem Weg ins Impfzentrum war ich noch skeptisch ob sie auch die richtigen Formulare hätten – ich suchte ein Hintertürchen der Impfung doch noch zu entgehen. Ich war nicht von Herzen entschlossen zur Impfung und ließ sie dann über mich ergehen.

Der 20. März ist für mich ein schwarzer Tag. Ein kleiner Piks und alles wird anders. „Klassische Nebenwirkungen“ wie Schmerzen an der Einstichstelle, Fieber Erkältung ect. hatte ich überhaupt nicht. Herzschmerzen einen halben Tag danach. Leider habe ich die zahlreichen Schmerzen nicht genau protokolliert. Sie kamen und gingen meistens. Wg. Rückenschmerzen bekam ich eine Cortison Spritze eine Woche nach der Impfung. Am auffälligsten war über 2 Wochen nach der Impfung eine Sehverschlechterung (Sehschärfe) auf dem rechten Auge, auch ein Druckgefühl. Die Augenärztin stellte dann zu der nicht näher bestimmbaren Verschlechterung rechts, am linken Auge ein Loch in der Netzhaut fast – das sofort gelasert werden musste. Es heißt dies sei eine ungewöhnliche Impfnebenwirkung, aber so kurz und in zeitlichem Zusammenhang? Ich hatte erst im Januar beim Anapssen einer neuen Gleitsichtbrille alle Sehschärfen gut überprüfen lassen. Nun habe ich einen echten Sehschaden – ich meine es ist eindeutig ein Impfschaden. Noch etwas ist sehr beunruhigend: Gedächtnisverlust gegen den ich ständig ankämpfen muss.

Ich würde die Novavax Impfung nie wieder machen, aber jetzt ist sie drin und ich muß mit den Folgen leben.



SCHLANGENGIFTimpfschaden 4R 31.5.2022: Polyethylen-Glykol provoziert Mens-Störungen+Fehlgeburten:

Polyethylen-Glykol: Fehlgeburten und Menstruationsstörungen
https://report24.news/unfruchtbarkeit-krebs-und-hiv-aehnliche-symptome-bei-jungen-frauen-nach-mrna-impfungen/


Laut einer deutschen Studie und den Aussagen des früheren Pfizer-Präsidenten Michael Yeadon führt das in den beiden Impfstoffen enthaltene Polyethylen-Glykol zu Störungen des weiblichen Zyklus und zu Aborten (Fehlgeburten). Er nennt daher die Impfungen junger Frauen “dumm und unverantwortlich”, da es außerdem zu einer Akkumulation von giftigen Nanopartikeln in den Eierstöcken von Frauen kommt. Er bezieht sich dabei auf die Lipid-Nanopartikel, die die mRNA Moleküle umhüllen und so am körpereigenen Enzymsystem vorbei in die menschlichen Zellen hineinschleusen, um diese zu Bioreaktoren für die Produktion von Spikeproteinen zu machen.

Hier werden laut Yeadon Erinnerungen an das Desaster mit dem als Schlaf- und Beruhigungsmittel konzipierten Thalidomid wach, das bei Neugeborenen der damit behandelten schwangeren Frauen zur sogenannten Phokomelie (Robbengliedrigkeit) führte – einer flossenartigen Ausprägung der Arme, und somit zu einer Schwerstbehinderung.







Zahlen SCHLANGENGIFTimpfschäden Schweiz 1.6.2022: 73.000 Fälle mit schweren, anhaltenden "Nebenwirkungen": Schwere Nackenschmerzen, chronische Darmentzündung Morbus Crohn, Herzinfarkte, Schlaganfälle, Diabetes etc.:
Langzeitfolgen von Corona - 73'000 Menschen in der Schweiz sind von Long Covid betroffen
https://www.tagesanzeiger.ch/73000-menschen-in-der-schweiz-sind-von-long-covid-betroffen-115442969041Ç
https://t.me/Impfschaden_Corona_Schweiz/45638
Impfschäden Schweiz Coronaimpfung, [01.06.2022 20:25]
Eher long Impf Covid

Für die bisher umfassendste globale Analyse haben Forschende eine neue Berechnungsmethode angewandt. Besonders betroffen sind Frauen und Junge.

Zürcher Studie massgeblich beteiligt




SCHLANGENGIFTimpfschaden Schweiz 1.6.2022: Frau (24) 3x geimpft: ist immer krank - sie meint, das kommt von der Maske
Impfschäden Schweiz Coronaimpfung, [01.06.2022 08:48]
https://t.me/Impfschaden_Corona_Schweiz/45576
Eine neue Meldung:
Die Tochter (24) meiner Schwester ist nun ständig krank inklusive Fieber. Gerade jetzt auch wieder. Alle naselang. Sie sagt das sei vom vielen Maskentragen (auch Arbeit) und jetzt nicht mehr, das mache anfällig. Ich denke, es kommt daher dass sie bereits dreimal geimpft ist und daher anfällig.


SCHLANGENGIFTimpfschaden Schweiz 1.6.2022: Frau (ca.38, gesund) 2-3x geimpft: Brustkrebs mit Methastasen in Leber+Wirbelsäule - ist nun auf Chemo
Impfschäden Schweiz Coronaimpfung, [01.06.2022 08:50]
https://t.me/Impfschaden_Corona_Schweiz/45577
Eine neue Meldung:
freundin meiner cousine, <40j., 2 oder 3x gespritzt, bis dahin gesund, plötzlich bekam brustkrebs und als sie das erfahren hat, hatte sie schon metasthasis im leber und wirbelsäule...!!!!!!!!!!! es ist einfach nicht "normal"!!!!!!! sie hatte schon mitbekommen, dass spritze schuld sein könnte, will aber eher das nicht glauben und macht weiter mit der mainstream medizin (chemo etc.).


SCHLANGENGIFTimpfschaden Schweiz 1.6.2022: Mann (51, sportlich), 2x geimpft: ist immer am Husten
Impfschäden Schweiz Coronaimpfung, [01.06.2022 14:11]
https://t.me/Impfschaden_Corona_Schweiz/45602
Eine neue Meldung:
Ich war am Freitag bei einem Mann(51) arbeiten. Er raucht und trinkt nicht, treibt Sport.
Mir fiel jetzt bereits das dritte Mal auf, dass er oft hustet, der Husten kommt von ganz tief innen. Er hat jedoch keine weiteren Erkältungsanzeichen, wirkt ansonsten fit. Er ist mindestens 2x 💉.


SCHLANGENGIFTimpfschaden Schweiz 1.6.2022: Akupunktur 2 Heilberichte
Impfschäden Schweiz Coronaimpfung, [01.06.2022 21:04]
https://t.me/Impfschaden_Corona_Schweiz/45640

Hallo Mara, wegen Akupunktur gegen Coronaimpfung-Schäden waren 2 Berichte:
GENimpfschaden Schweiz 13.10.2021: Frau (81, sportlich, leichter Tinnitus) aus Angst 2fach Pfizer GENgeimpft: Drehschwindel, Tinnitus verschlimmert, 3 Stunden Erbrechen, Atemnot, kann kaum Treppen steigen - Heilung mit Akupunktur
Impfschäden Schweiz Coronaimpfung, [13.10.21 19:23]
https://t.me/Impfschaden_Corona_Schweiz/25371
Eine neue Meldung:
Gute Bekannte, 81-j., topfit (Velo, Hund, Autofahren..), gesund ausser leichter Tinnitus, alles Bio u. nur natürliche Heilmittel, aber dennoch aus Angst 2x geimpft (BioNTech) - urplötzlich Drehschwindel + stark erhöhter Tinnitus, 3h Erbrechen, danach 5 Wochen lang nichts mehr vom alledem oben angeführt, sogar Treppensteigen fiel ihr schwer. Akupunktur half jetzt erstaunlicherweise. Sieht selber nach wie vor keinen Zusammenhang m d Giftspritze.



SCHLANGENGIFTimpfopfer Nicol Schlotmann in Harpstedt (Niedersachsen, 4R) am 1.6.2022: Sehstörungen, immer müde, Schmerzen überall, Herzrasen, Blutdruck spielt Achterbahn, Kribbeln, trockener Husten, Würgereiz+Schluckstörungen, Gangstörungen, Stottern, gynäkologische Probleme:
Gründerin von Impfopfer-Selbsthilfegruppe: „Es ist erschreckend, was angerichtet wurde!“
https://report24.news/gruenderin-von-impfopfer-selbsthilfegruppe-es-ist-erschreckend-was-angerichtet-wurde/

Von Politik, Medien und Ärzteschaft nach wie vor meist hartnäckig geleugnet: Gesundheitsschäden durch die „Schutzimpfung“ gegen Covid-19. Der Ignoranz und dem Verschweigen entgegen steht die wachsende Zahl jener Betroffenen, die sich Gehör verschaffen und vernetzen. Um nicht zuletzt auch ein Gesundheitssystem zu thematisieren, in das jegliches Vertrauen verloren wurde.

Nach ihrer Covid-Impfung im Sommer des vergangenen Jahres stellten sich bei Nicol Schlotmann derart gravierende gesundheitliche Beeinträchtigungen ein, dass der Linienbuslenkerin nur der Weg in die Berufsunfähigkeit blieb. Rasch merkte sie, dass sie nicht nur kein Einzelfall ist, sondern dass andere Impfopfer noch stärker betroffen sind als sie selbst. Der Umgang von Behörden, Ärzten und Medien mit der Thematik der Impfschäden motivierte Schlotmann zur Gründung einer Selbsthilfegruppe und zum Gang an die Öffentlichkeit. Am 16. Mai 2022 berichtete sie im Rahmen des Verdener Lichterspaziergangs von ihrem Schicksal. Sehen Sie hier das Video mit ihren Ausführungen. Im Folgenden werden diese wörtlich wiedergegeben (Hervorhebungen und Zwischentitel durch Redaktion).

Ein stechender Schmerz als Auftakt massiver Beschwerden

Mein Name ist Nicol Schlotmann. Ich bin 47 Jahre, von Beruf Busfahrerin und seit Juli 2021 arbeitsunfähig. Ich bin stolz darauf, dass ich im Namen vieler Impfopfer über unseren Kampf um Anerkennung eines Impfschadens, über das Recht einer Behandlung zur Wiederherstellung unserer Gesundheit und über unser kaputtes Gesundheitssystems berichten darf. Das Wort „Impfopfer“ und nicht „Impfgeschädigte“ ist bewusst von mir gewählt, da wir doch alle, ob geimpft oder ungeimpft, Opfer unserer Regierung sind. Sind wir doch mal ehrlich – in dieser Diktatur, in der wir uns befinden, hat doch keiner mehr das Recht auf Selbstbestimmung.

Bereits im März ’20 habe ich mich vermutlich mit dem SARS-CoV-2 Virus infiziert. Mit den Beschwerden Luftnot und Antriebslosigkeit wandte ich mich an meinen Hausarzt. Dieser ordnete damals keinen PCR-Test an, sodass mir heute der Genesenen-Status fehlt. Am 12. Juli ’21 hat eine Ärztin eine Schadsoftware von BioNTech auf mein Betriebssystem aufgespielt. Schon nach vier Stunden verspürte ich einen ziehenden Schmerz vom linken Po bis in den Fuß hinein. Den darauffolgenden Tag ließ ich mein Betriebssystem ruhen. Am 14. Juli habe ich trotz starker Schmerzen im Po meine Arbeit wieder aufgenommen. Zum Feierabend hin bemerkte ich, dass mein Rechner nicht mehr richtig funktioniert. Die Konzentration ließ stark nach und die entgegenkommenden LKW konnte ich nicht mehr richtig einschätzen. Mehrmals wich ich mit meinem Bus auf den Seitenstreifen aus. Es folgten weitere Symptome wie Antriebslosigkeit, Gedächtnisverlust, Wortfindungsstörung, Doppelbilder, verschwommene Sicht, Kopf- und Gliederschmerzen, Hautreaktion, Herzrasen, Blutdruckschwankungen, Kribbeln in den Händen und Füßen, trockener Husten, Würgereiz beim Zähneputzen, Schluckstörungen, Gangstörungen, gynäkologische Probleme und zuletzt hat sich der Würgereiz umgewandelt in Stottern.

Zahlreiche Ärzte und ein sich ständig verschlechternder Gesundheitszustand

Neben meinen Hausärzten begleiteten zahlreiche Fachärzte, darunter zwei Pneumologen, zwei Neurologen, zwei Augenärzte, ein Kardiologe, ein Dermatologe und eine Optikerin meinen Krankheitsverlauf. Mein Gesundheitszustand verschlechterte sich alle paar Wochen. Die Diagnosen lauteten Asthma, Hyperventilation, Bewegungs- und Vitaminmangel, psychische Erkrankung, nicht so viel aufregen, und – jetzt kommt das Beste – Demenz. Eine Neurologin fragte ich: „Was passiert da oben in meinem Rechner? Werde ich jemals wieder arbeiten können?“ Ihre Antwort war ernüchternd: „Mit dieser Einstellung werden Sie nie wieder arbeiten.“ Die Tatsache, dass ein Augenarzt meine Augen lasern wollte und mir mit meinen Doppelbildern eine Gleitsichtbrille anordnete, machte mich stutzig. Ich suchte unseren Optiker vor Ort auf. Dort hieß es: „Wir haben schon vier weitere Fälle mit Doppelbildern. Alle hier in dieser kleinen Filiale.“ Dabei soll es doch nur 0,1 Prozent mal vorkommen? Ich dachte mir, die sind dann wohl alle hier in Harpstedt.

Kein Vertrauen mehr in Politik und Gesundheitssystem

Schnell wurde mir klar, ich bin kein Einzelfall. Mit den Impfstoffen stimmt was nicht. Mit meinen zahlreichen Nebenwirkungen wandte ich mich schriftlich zwei Mal an das Bonner Universitätsklinikum. Ich schrieb an an das Bundesministerium für Gesundheit und an die Ärztekammer. Lediglich die Ärztekammer hatte damals Stellung genommen. Sie wollten eine Schweigepflichtsentbindung, um rechtliche Konsequenzen gegen die Ärzte zu prüfen. Das tat ich natürlich nicht, denn wer stellt mir noch eine Arbeitsunfähigkeitsbescheinigung oder eine Überweisung aus, wenn ich meine Ärzte melde?

Da meine Ärzte die Impfnebenwirkungen nicht weitergegeben haben, wandte ich mich telefonisch an das Gesundheitsamt Wildeshausen. Hier nahm man mir sehr schnell die Hoffnung, endlich als Impfschaden anerkannt zu werden. Es hieß, die Behörde sei für Impfschäden nicht zuständig. Diese Aussage wollte man mir allerdings nicht schriftlich bestätigen. Merkwürdig. Als i-Tüpfelchen hat mir das Gesundheitsamt auch noch meine letzte Quelle zur Normalität über Nacht und ohne Angabe von Gründen genommen. Das Testzentrum im Eiscafé Venetia in Harpstedt. Dort war das Personal bezüglich meiner Sehschwäche und meiner Gehbehinderung stets hilfsbereit, zuvorkommend und freundlich gewesen. Ich bin fassungslos, entsetzt, verärgert und habe kein Vertrauen mehr in unsere Politik und unser Gesundheitswesen.

„Mit vielen Impfgeschädigten möchte ich nicht tauschen.“

Mit der Aussage meiner Neurologin „Mit dieser Einstellung werden Sie nie wieder arbeiten“ war ich im Februar ’22 fest entschlossen, meine Arbeitsunfähigkeitsbescheinigung nicht weiter zu verlängern. Mit der Gefahr, meine Fahrgäste durch einen Unfall zu verletzen, wollte ich die Bevölkerung auf die Missstände unserer Gesundheitspolitik aufmerksam machen. Meine Ergotherapeutin, die absolute Impfbefürworterin ist, fragte mich: „Sie werden sich bestimmt kein weiteres Mal impfen lassen?“ Meine Antwort ganz klar: „Nein, auf gar keinen Fall.“ „Dann werden Sie es auch niemandem weiterempfehlen?“ Meine Antwort: „Das muss jeder für sich entscheiden. Ich möchte nur selber über mein Recht auf Selbstbestimmung und körperliche Unversehrtheit entscheiden dürfen.“ Da fiel von meiner Therapeutin der entscheidende Satz: „So habe ich das noch nicht gesehen.“

Ich dachte mir, wenn du sie damit erreichen kannst, schaffst du das auch bei anderen – du musst damit an die Öffentlichkeit! Ich schrieb an zahlreiche Medien. Die Kreiszeitung nahm sich meiner an und berichtete über mich und meinen körperlichen Zustand nach der Impfung.

So kam es, dass sich weitere Impfopfer bei mir meldeten. Mit der Tatsche, dass ich in meiner Arztpraxis kein Einzelfall war, wandte ich mich an meine Hausärztin. Diese gab die vielen Impfschäden zu und riet mir: „Frau Schlotmann, bilden Sie eine Selbsthilfegruppe und werden Sie laut!“ Dies tat ich und es war das Beste, was ich jemals getan habe. Wer der Meinung ist, dass es mich mit meinen Nebenwirkungen hart getroffen hat, der irrt sich. Mit vielen Impfgeschädigten möchte ich nicht tauschen. Es ist erschreckend, was die Impfstoffe schon alles angerichtet haben. So viele schreckliche Schicksalsschläge – es ist unfassbar. Ich stelle mir hier die Frage: „Wo sind die Medien? Wann berichten sie endlich über uns Impfopfer?“

Wie ein Pingpong-Ball von Arzt zu Arzt, ohne ernst genommen zu werden

Nach über acht Monaten mit meinen Symptomen habe ich mich mit nur noch zehn bis zwanzig Prozent Sehkraft in die Notaufnahme der Medizinischen Hochschule Hannover, Abteilung Augenheilkunde, begeben. Bis zur fünften Untersuchung sollte ich noch in der neurologischen Abteilung stationär aufgenommen werden. Dann kam ich in die Sehschule und es fiel das Wort ‚Impfung‘. Im Schlussgespräch hieß es: „Herzlichen Glückwunsch, Frau Schlotmann, Sie haben achtzig Prozent Sehkraft. Sie können wieder nach Hause.“ Ein Augenarzt und meine Optikerin waren mit den Untersuchungen bei zwanzig Prozent und ein anderer Augenarzt sogar nur bei zehn Prozent. Die Abweichung zur MHH sind meines Erachtens immens. Die zahlreichen Therapien und die Tatsache, dass man mich wie einen Pingpong-Ball von Arzt zu Arzt schickte und ich von diesen nicht ernst genommen wurde, macht mich mürbe. Ich stellte meine Hausärztin vor ein Ultimatum: „Entweder besorgen Sie mir ein Medikament zum selbstbestimmten Sterben, oder Sie besorgen mir einen Platz in einer Klinik.“ Alles unter Drohung mit meinem Anwalt. Unfassbar.

So kam ich in die Notfallaufnahme im St. Elisabeth Krankenhaus Damme. Noch nie in meinem Leben habe ich so bitterlich geweint vor Freude. Nach zehn langen Monaten hat man mich und auch meine Ängste bezüglich unseres Gesundheitswesens endlich ernst genommen. Auch wenn sie nicht zur gewünschten Klärung meiner Symptome geführt haben, waren die zahlreichen, zum Teil schmerzhaften Untersuchungen und die acht Tage Aufenthalt in der Klinik ein großer Erfolg für mich. Die abgehetzten und schweißgebadeten, um jeden Patienten bemühten Krankenpfleger und Pflegerinnen zeigten mir: Nicol, du musst dagegen was tun! Ich kämpfe weiter für unser Recht auf Gesundheit und Heilung. Für die Anerkennung der Impfgeschädigten. Für unser Recht auf Selbstbestimmung und um bessere Behandlung beziehungsweise Entlastung der Arbeitnehmerinnen und Arbeitnehmer im gesamten Gesundheitswesen. Ihr alle hier, die mir hier jetzt zuhören, Ihr gebt mir die Kraft, um stark und laut zu bleiben. Vielen Dank für Eure Ohren und allen noch einen schönen Abend!

Lesen Sie außerdem:


Widerstand 17.3.2022: Die Selbsthilfegruppe in Harpstedt (Niedersachsen, 4R)
Beschwerden, die Zweifel nähren
https://www.kreiszeitung.de/lokales/oldenburg/harpstedt-ort52257/impfopfer-selbsthilfe-harpstedt-beschwerden-die-zweifel-naehren-91417295.html

[...] Nicol Schotmann aus Dünsen

[...] Die Initiatorinnen der Gruppe, Nicol Schlotmann und Hannelore Niemann.

[...] Wie Nicol Schlotmann leidet auch Hans-Joachim Ratzke aus Fahrenhorst unter Sehstörungen. Sechs Wochen nach der ersten Impfung vom 23. Juni mit „Johnson & Johnson“ habe er plötzlich geschielt. „Das war eine irre Angelegenheit. Autofahren ging nicht mehr. Ich habe zwei Straßen gesehen, wo nur eine war“, erinnert sich der 68-Jährige.

Widerstand 3.3.2022: Die Selbsthilfegruppe in Harpstedt (Niedersachsen, 4R)
Rätselhafte Symptome nach der Impfung
https://www.kreiszeitung.de/lokales/oldenburg/harpstedt-ort52257/selbsthilfegruppe-harpstedt-niemann-schlotmann-raetselhafte-symptome-nach-der-impfung-91386056.html

Wir treffen uns erstmals am 15. März von 16 bis 18 Uhr in der Harpstedter Delmeschule – und dann an jedem dritten Dienstag im Monat zur gleichen Zeit.

Wer dazustoßen will, kann sich bei ihr (Telefon 0174/66 56 942) oder Nicol Schlotmann (Telefon 01577/949 70 54) melden.



SCHLANGENGIFTimpfschaden bei Piloten und Crews

SCHLANGENGIFTgeimpfte Piloten stürzen ab in den "USA" 1.6.2022: Immer mehr
Impfschäden Schweiz Coronaimpfung, [01.06.2022 09:15]
https://t.me/Impfschaden_Corona_Schweiz/45584
Massiv viele Flugzeugabstürze in den letzten Tagen! Die allermeisten Flugzeugabstürze finden seit Tagen in den USA statt!

Die allermeisten hier auf Telegram haben erkannt, dass die Autounfälle im Mai massiv zugenommen haben. Seit Anfang Mai berichtet @Mad_In_Germany ausführlich darüber!

Doch auch die Flugzeugabstürze nehmen massiv zu. Vor allem in diesem Monat, seit den letzten 7 Tagen haben sich massiv viele Flugzeugabstürze ereignet.

Erinnert ihr euch an die Worte von Miles Guo? Er sagte: "Ab Mai beginnt der Covid-Impfstoff-Desaster mit Zunahme von Autounfällen, Flugzeugabstürzen und massiver Ausbruch anderer Krankheiten". Und dies geschiet gerade!





Zahlen SCHLANGENGIFTimpfmord im 4R am 2.6.2022: Gesundheitswesen hat nach der Impfung vorübergehend 1/3 weniger Personal:
Ein Drittel der Beschäftigten im Gesundheitswesen nach Impfung krankgeschrieben
https://reitschuster.de/post/ein-drittel-der-beschaeftigten-im-gesundheitswesen-impfung-krankgeschrieben/
https://t.me/corona_impftod/31763

Es sind beunruhigende Zahlen, die eine Untersuchung deutscher Wissenschaftler an den Tag brachten – doch statt mit einem Aufschrei reagieren die großen Medien fast durch die Bank mir Schweigen und Wegsehen. Warum?

Meldungen werden nicht unbedingt dadurch weniger aktuell, dass sie nicht mehr taufrisch sind. Wichtige Erkenntnisse verlieren ihre Relevanz nicht. Mehr noch: Wenn es um heikle Angelegenheiten geht, kann es sogar ein Anzeichen für eine besondere Relevanz sein, wenn sie lange verschwiegen oder gar nicht oder kaum aufgegriffen werden. So ist es in meinen Augen auch mit einer deutschen Studie, die auf dem diesjährigen European Congress of Clinical Microbiology & Infectious Diseases (ECCMID) in Lissabon Ende April vorgestellt wurde.

Wichtigstes Ergebnis der Arbeit: Ein Drittel der Beschäftigten im Gesundheitswesen ließ sich nach einer Covid-Impfung krankschreiben. „Ein gesundes Gesundheitspersonal ist entscheidend für die Bewältigung von COVID-19 und der weiteren Auswirkungen der Pandemie auf die öffentliche Gesundheit. Daher haben viele Länder der Impfung des Gesundheitspersonals Vorrang eingeräumt“, heißt es in einer Pressemitteilung der „Europäischen Gesellschaft für klinische Mikrobiologie und Infektionskrankheiten“, die das Onlineportal Eurekalert veröffentlichte,  eine gemeinnützige Plattform zur Verbreitung von Nachrichten, die von der „American Association for the Advancement of Science (AAAS)“ betrieben wird.

Weiter heißt es in dem Beitrag; „Es liegen jedoch nur wenige Informationen über das Auftreten von Nebenwirkungen bei Beschäftigten im Gesundheitswesen vor. Dies ist wichtig, denn wenn es dazu führt, dass sie sich freistellen lassen, könnte dies die ohnehin schon unter Druck stehenden Gesundheitssysteme zusätzlich belasten.“

Um mehr herauszufinden, untersuchten Julia Reusch vom Universitätsklinikum Würzburg und ihre Kollegen Isabell Wagenhäuser, Dr. Alexander Gabel, Dr. Manuel Krone und Dr. Nils Petri Mitarbeiter im Gesundheitswesen, die mindestens eine Dosis von einem der folgenden COVID-19-Impfstoffe erhalten hatten: BioNTech/Pfizer (Comirnaty), Moderna (Spikevax), Oxford/AstraZeneca (VaxZevria) und Janssen.

„Mit Hilfe eines elektronischen Fragebogens wurden von den 1.797 Beschäftigten des Gesundheitswesens (ab 18 Jahren), die an der Studie teilnahmen, Informationen über Krankheitszeiten und Nebenwirkungen gesammelt“, so die Europäische Gesellschaft für klinische Mikrobiologie und Infektionskrankheiten: „Zu den im Fragebogen erfassten Nebenwirkungen gehörten lokale Impfreaktionen (Schwellung, Rötung oder Schmerzen an der Injektionsstelle), Kopf- und Gliederschmerzen, Fieber und/oder Schüttelfrost sowie Müdigkeit.“

Das Ergebnis der Untersuchung: 588 Beschäftigte im Gesundheitswesen (32,72 Prozent) ließen sich insgesamt 1.777 Tage lang krankschreiben. Die durchschnittliche Dauer des Krankenstandes betrug zwei Tage.

Erstaunliche Erkenntnis: Am häufigsten kam es zu Krankschreibungen nach Injektion der dritten Impfdosis. Während sich nur 5,65 Prozent der Studien-Teilnehmer nach der ersten Verabreichung krankschreiben ließen (meist nach der Verabreichung eines Vektorimpfstoffs), waren es nach der zweiten Spritze 20,66 Prozent und 27,31 Prozent nach der dritten Dosis. Der Median der Krankheitsdauer lag bei über zwei Tagen; die maximale Länge lag bei 47 Tagen.

Diejenigen, die mit mRNA-Impfstoffen, also BioNTech/Pfizer oder Moderna, geimpft wurden, waren nach der zweiten oder dritten Dosis am häufigsten krankgeschrieben, so die Europäische Gesellschaft für klinische Mikrobiologie und Infektionskrankheiten.  Die Krankschreibungen nach der dritten Dosis waren bei der Moderna-Impfung deutlich länger als bei der BioNTech/Pfizer-Impfung. Die relative Zahl der Nebenwirkungen, von denen die Geimpften selbst berichteten, nahm von der ersten über die zweite bis zur dritten Impfung ab.

Es gab signifikante Unterschiede in der Anzahl der Nebenwirkungen, die von denjenigen gemeldet wurden, die den BioNTech/Pfizer- und den Moderna-Impfstoff erhielten. Nach der zweiten und dritten Dosis des BioNTech/Pfizer-Impfstoffs wurden signifikant mehr Nebenwirkungen gemeldet als nach dem Moderna-Impfstoff.

Studien-Autorin Reusch sagte laut Europäische Gesellschaft für klinische Mikrobiologie und Infektionskrankheiten zufolge: „Eine beträchtliche Anzahl von Beschäftigten im Gesundheitswesen nahm nach der Impfung Krankheitstage in Anspruch. Der Zeitpunkt des Auftretens der Nebenwirkungen variierte je nach verwendetem Impfstoff. Die Zahl der Nebenwirkungen und der daraus resultierenden Fehlzeiten nach der COVID-19-Impfung von Beschäftigten im Gesundheitswesen ist nicht zu vernachlässigen und sollte weiter untersucht werden“.

Die große Frage: Warum griffen die Medien die Studie gar nicht oder kaum auf? Ich lasse mich gerne eines Besseren belehren, und vielleicht bin ich nicht geschickt genug für die Nutzung von Google – aber wenn der Bericht tatsächlich kaum Aufmerksamkeit fand, wie es den Anschein hat, ist dies wieder einmal ein Beleg für das Systemversagen des Journalismus und die Scheuklappen, mit denen eine große Zahl von Kollegen an heikle Themen wie Impfnebenwirkungen herangeht. Erst heute hatten wir berichtet, wie das Hamburger Abendblatt eine Anzeige mit einem Text zu dem Thema einfach von der Seite verschwinden ließ.

Woher kommt dieses Wegsehen und Schweigen? Es gibt nur eine Antwort – offenbar hat man Angst, dass nicht alles in Ordnung ist und die offizielle Position von Regierung und Behörden falsch ist. Sonst gäbe es keinen Grund zur Vertuschung – und damit den Verrat an den journalistischen Grundprinzipien. Der Vertrauensverlust, den dieses Verhalten auslöst, ist immens. Unsere Medien schaffen sich ab. Aktuell halten sie Zwangsgebühren und Steuergelder, die als „Anzeigen“ der Regierung oder Zuschüsse ausgezahlt werden, künstlich am Leben. Mittelfristig sind die Folgen fatal.


Zahlen SCHLANGENGIFTimpfungen Israel 2.6.2022: Seit SCHLANGENGIFTimpfungen gespritzt werden, sind Herzstillstände um 25% gestiegen:
Israelische Medien bestätigen es nun: Neue Studie zeigt, dass COVID-Impfstoffe mit einer Zunahme von 25 % für Herzstillständen bei Männern und Frauen verantwortlich sind
https://uncutnews.ch/israelische-medien-bestaetigen-es-nun-neue-studie-zeigt-dass-covid-impfstoffe-mit-einer-zunahme-von-25-fuer-herzstillstaenden-bei-maennern-und-frauen-verantwortlich-sind/

Quelle: New study links COVID vaccines to 25% increase in cardiac arrest for both males & females

Die Studie basiert auf Daten von Rettungsdiensten. COVID-Infektion selbst nicht mit signifikantem Anstieg der kardiovaskulären Komplikationen verbunden.

Eine neue Studie israelischer Forscher, die in der Fachzeitschrift Nature veröffentlicht wurde, hat ergeben, dass die Zahl der Notrufe im Zusammenhang mit Herz-Kreislauf-Erkrankungen bei jungen Erwachsenen nach der Einführung der COVID-Impfstoffe sowohl bei Männern als auch bei Frauen um mehr als 25 Prozent gestiegen ist. Es wurde kein ähnlicher Anstieg aufgrund einer COVID-Infektion allein festgestellt.

Die israelischen Gesundheitsbehörden und die U.S. Centers of Disease Control (CDC) haben einen Zusammenhang zwischen COVID-Impfstoffen und bestimmten kardiovaskulären Komplikationen anerkannt. Das Risiko einer Myokarditis nach einer zweiten Impfdosis wird inzwischen auf 1 zu 3000 bis 1 zu 6000 bei Männern im Alter von 16 bis 24 Jahren geschätzt.

Jüngste Artikel in wissenschaftlichen Fachzeitschriften haben jedoch versucht zu suggerieren, dass kardiovaskuläre Komplikationen nach einer COVID-Infektion häufiger auftreten als nach einer Impfung. Diese Behauptung wird durch die Ergebnisse einer kürzlich von israelischen Forschern durchgeführten Studie widerlegt, die Daten des israelischen Rettungsdienstes zu „Herzstillstand und akutem Koronarsyndrom in der 16- bis 39-jährigen Bevölkerung“ zwischen 2019 und 2021 verwendet. Auf diese Weise konnten sie die Ausgangssituation (vor der COVID-Epidemie) mit der COVID-Epidemie ohne Impfstoffe und mit der COVID-Epidemie nach einer umfassenden Impfung vergleichen.

Von Januar bis Mai 2021 wurde ein Anstieg von über 25 % bei beiden Anrufarten im Vergleich zu den Jahren 2019-2020 festgestellt. Das heißt, dass „erhöhte Impfraten … mit einer erhöhten Anzahl von CA [Herzstillstand] und ACS [akutes Koronarsyndrom] verbunden sind.“ Im Gegensatz dazu wurde in der Studie „kein statistisch signifikanter Zusammenhang zwischen den COVID-19-Infektionsraten und der Anzahl der wöchentlichen CA- und ACS-Fälle festgestellt.“

Während die Gefahr einer Myokarditis bei jungen Männern weithin bekannt ist, wurde in dieser Studie ein größerer Anstieg von CA- und ACS-Ereignissen bei Frauen festgestellt, der mit der COVID-Impfung in Verbindung gebracht wurde.

Myokarditis ist bekanntlich eine „Hauptursache für plötzliche, unerwartete Todesfälle bei Erwachsenen unter 40 Jahren und wird für 12-20 % dieser Todesfälle verantwortlich gemacht“, so die Autoren der Studie. Sie fügen hinzu, dass ihre Ergebnisse auch von Forschern in Deutschland und Schottland bestätigt wurden.

Angesichts dieser Ergebnisse warnen sie: „Es ist wichtig, Patienten und Ärzte für die damit verbundenen Symptome (z. B. Beschwerden in der Brust und Kurzatmigkeit) nach einer Impfung oder COVID-19-Infektion zu sensibilisieren, um sicherzustellen, dass potenzielle Schäden minimiert werden.“


CH

SCHLANGENGIFTimpfschaden Firmendesaster Schweiz 2.6.2022: Alle 4 geimpften Mitarbeiter sind immer krank: husten, schniefen, niesen, schnäuzen
Impfschäden Schweiz Coronaimpfung, [02.06.2022 09:39]
https://t.me/Impfschaden_Corona_Schweiz/45666
Eine neue Meldung:
Mal wieder ein Update aus meinem Büro. Wir haben heute den 02. Juni, also Sommer. Von vier anwesenden gespritzten Personen sind auch heute vier am husten, schniefen, niesen und Nase schnäuzen. Permanent. Doch doch, sehr gesundheitsfördernd diese Gentherapien 😅



SCHLANGENGIFTimpfschaden Schweiz 2.6.2022: Geimpfte haben Zahnprobleme - Zahnarztpraxis hat 3 Monate Wartezeit
Impfschäden Schweiz Coronaimpfung, [02.06.2022 12:30]
https://t.me/Impfschaden_Corona_Schweiz/45681
Eine neue Meldung:
Habe mal gelesen, dass viele geimpfte probleme mit den zähnen bekommen. Laut meinem zahnarzt macht er jetz auch termine am samstag obwohl er smsrags nur notfallfälle macht.Zudem habe ich den heutigen Termin verschieben müssen. Laut ihrer ausage kann ich erst ende august wieder einen termin bekommen da sie so viel zu tun haben


SCHLANGENGIFTimpfschaden Schweiz 2.6.2022: Mann (ca.75) 4x geimpft: Rheuma, ist auf Spritzen+auf Kortison - Frau (ca.38) geimpft hat "LongCovid"+ist arbeitsunfähig
Impfschäden Schweiz Coronaimpfung, [02.06.2022 12:49]
https://t.me/Impfschaden_Corona_Schweiz/45682
Eine neue Meldung:
Neue Meldung: vierfach (!) gespritzter Mann um die 75, total Corona- und Spritzengläubig, aber so richtig. Hat jetzt starkes und schmerzendes Rheuma, muss sich jeden Tag eine Spritze setzen (weiss leider nicht genau was) und erhält auch regelmässig Kortison. Er sagte selber, dass sein Immunsystem total am Boden sei. Leugnet jedoch Zusammenhang mit der Giftspritze. Seine Tochter, Enddreissigerin, gespritzt, ist wegen "Long Covid" nicht mehr arbeitsfähig.


SCHLANGENGIFTimpfschaden Schweiz 2.6.2022: Mann (55) geimpft: vor 2 Tagen Hirnschlag in Badewanne - wurde erst nach 7 Stunden entdeckt - ist nun halbseitig gelähmt+lehnt Naturmedizin ab
Impfschäden Schweiz Coronaimpfung, [02.06.2022 14:47]
https://t.me/Impfschaden_Corona_Schweiz/45685
Eine neue Meldung:
Der geimpfte Büroangestellte (55), der vor 2 Tagen einen Hirnschlag in der Badewanne erlitten hat, liegt nun rechts halbseitig gelähmt in der Insel in Bern. Er wurde erst am Nachmittag gefunden, und es kann sein, dass er grosse Schäden davonträgt. Er glaubt nicht an Naturmedizin...


SCHLANGENGIFTimpfschaden Schweiz 2.6.2022: Sie riechen, und manche riechen es, egal ob Raucher oder Nichtraucher
Impfschäden Schweiz Coronaimpfung, [02.06.2022 16:09]
https://t.me/Impfschaden_Corona_Schweiz/45697
Eine neue Meldung:
Hallo zäme
eine frage an die Community:
diejenigen die die geimpften riechen....  seid ihr nichtraucher?
die raucher in meinem umfeld können sie nicht riechen. ich schon und mein partner auch...

Impfschäden Schweiz Coronaimpfung, [02.06.2022 16:12]
https://t.me/Impfschaden_Corona_Schweiz/45698
[In reply to Impfschäden Schweiz Coronaimpfung]
ja, nicht Raucher

Impfschäden Schweiz Coronaimpfung, [02.06.2022 16:18]
https://t.me/Impfschaden_Corona_Schweiz/45699
[In reply to Impfschäden Schweiz Coronaimpfung]
Zur Meldung von eben . Ich bin Raucher und rieche sie auch . Es ist nicht jeder gleich sensibel ob er raucht oder nicht .

Impfschäden Schweiz Coronaimpfung, [02.06.2022 16:19]
https://t.me/Impfschaden_Corona_Schweiz/45700
[In reply to Impfschäden Schweiz Coronaimpfung]
Ich glaube es kommt drauf an, wie ausgebildet der Riechdinn ist. Die einen hören, riechen, sehen oder fühlen besser. Ich als ungeimpfte Nichtraucherin kann nichts Spezielles an den Geimpften riechen und leide auch nicht unter Shedding. Eher fallen mir bei den Geimpften fahle ausdruckslose Gesichter, ängstliche Verhaltensweisen, -störungen und gehäufte Krankheiten, Spitaleinweisungen bis hin zu Todesfällen auf. Ich arbeite bei der Spitex.

Impfschäden Schweiz Coronaimpfung, [02.06.2022 17:48]
https://t.me/Impfschaden_Corona_Schweiz/45701
[In reply to Impfschäden Schweiz Coronaimpfung]
Zu 16:09: bin Raucher, um die 25 Kippen am Tag, und rieche es auch. Sie riechen aber nicht alle und auch nicht immer!

Impfschäden Schweiz Coronaimpfung, [02.06.2022 17:48]
https://t.me/Impfschaden_Corona_Schweiz/45702
[In reply to Impfschäden Schweiz Coronaimpfung]
Antwort zu diesen post: ich kann moderna gespritzte und die Pfizer’s unterscheiden sehr statk nur durch geruch… Ich habe nie geraucht und werde auch nicht in zukunft rauchen.
Ich rieche beides sehr stark Leider und es macht das leben sehr schwierig mit geimpfte Zusammen zu sein…

Impfschäden Schweiz Coronaimpfung, [02.06.2022 17:53]
https://t.me/Impfschaden_Corona_Schweiz/45704
[In reply to Impfschäden Schweiz Coronaimpfung]
Bin Raucher...aber habe einen sehr feinen Geruchsinn..rieche es auch🙈
Schlimm finde ich auch draussen gruusig,immer diesen faulen-chemischen-Totenbriese..ein ganz seltsamer Geruch.hatte den Duft ab und zu in der Nase,als ich angeblich C hatte. ist sehr unangenehm.und nicht nur bei uns im Dorf.



SCHLANGENGIFTimpfschaden 2.6.2022: Frau (30-60?) geimpft: Rücken- und Gelenksprobleme - OP an beiden Daumengelenken
Impfschäden Schweiz Coronaimpfung, [02.06.2022 17:49]
https://t.me/Impfschaden_Corona_Schweiz/45703
Eine neue Meldung:
Zu der Meldung von Rücken und Gelenksproblemen. Eine Liebe Freundin von mir musste jetzt beide Daumengelenke operieren, der Operateur meinte er habe so etwas noch nie gesehen und spricht dies der Impfung zu


SCHLANGENGIFTimpfschaden 2.6.2022: Frau (37) 2x geimpft: Morbus Crohn - 3x geimpft: neue Hypothyerose (fehlendes Schilddrüsenhormon) - sie glaubt, deswegen sei sie immer müde
Impfschäden Schweiz Coronaimpfung, [02.06.2022 17:59]
https://t.me/Impfschaden_Corona_Schweiz/45705
Eine neue Meldung:
Studentin, w 37j, nach💉💉 Schub Morbus Crohn.. nach Booster jetzt neu Hypothyerose.. sieht keinen Zusammenhang… ist jetzt froh, dass sie weiss warum sie immer müde ist🤷‍♀️


4R

Verdacht SCHLANGENGIFTimpfschaden Altenberg (4R) 2.6.2022: Kranführer geht auf den Kran+es wird ihm schlecht+hat Schwindel:
Feuerwehr rettet in Altenberg Kranführer aus Kanzel

https://www.meinbezirk.at/urfahr-umgebung/c-lokales/feuerwehr-rettet-in-altenberg-kranfuehrer-aus-kanzel_a5384077
https://t.me/corona_impftod/31788
Kurz vor 10 Uhr geriet ein Kranführer in der Kanzel eines Baukrans auf einer Baustelle in Altenberg in gesundheitliche Schwierigkeiten. Ihm wurde schlecht und schwindelig. Es war ein medizinischer Notfall.


It

SCHLANGENGIFTimpfschaden Ravarino (Italien) 2.6.2022: Greta Finesso (21) ist auf Cortison, hat 25kg zugenommen, Hautausschlag, Atemnot, Gesichtslähmung, kollabiert immer wieder - kriminelle Ärzte-Mafia "findet nichts", verschreiben aber Antistaminika, Antibiotika, Cortison etc.:
Pfizer-Opfer Greta Finesso aus Ravarino berichtet: Nach jeder "Impfung" schlimmere Beschwerden. Hat inzwischen 109 Cortisonspritzen erhalten, 25 kg zugenommen und traut sich nicht mehr aus dem Haus. Kollabiert immer wieder, so dass ihre Mutter die Arbeit aufgeben musste, um sie ständig zu betreuen. Meldung vom 30.5.22
(orig. italiano: Tre dosi di vaccino: reazioni sempre peggiori. Calvario di una 21enne)
https://www.lapressa.it/notiziario/lettere_al_direttore/tre-dosi-di-vaccino-reazioni-sempre-peggiori-calvario-di-una-21enne
https://t.me/corona_impftod/31790
Greta Finesso auf FB: https://www.facebook.com/greta.finesso.3

Ad oggi 29 maggio 2022 ho fatto ben 109 punture di cortisone. Sono ingrassata 25 chili e non voglio più

Mi chiamo Greta Finesso, sono nata a Modena il primo giugno 2001 e vivo a Ravarino.

[Vaccuna 1: orticaria (Nesselausschlag)]
Con la presente voglio informarvi che dopo aver fatto la prima dose di vaccino contro il Coronavirus al centro vaccinale di Castelfranco Emilia (Pfizer Lotto EX7389) il primo maggio 2021 mi è venuta l'orticaria [Nesselausschlag] che mi è stata trattata con puntura intramuscolo di antistaminico.

[Vaccuna 2: colica renale: mal di testa, febbre, dolori muscolari, debolezza]
La seconda dose, era prenotata per il 21 maggio, nei 4 giorni precedenti, avevo una colica renale e trovavo beneficio soltanto dopo aver effettuato una puntura di Toradol, per cui chiesi al mio medico curante se dovevo fare lo stesso il vaccino o se era meglio posticipare la data. La risposta fu che l'unica controindicazione era avere la febbre, cosa che non avevo: quindi mi consigliò di fare una puntura di Toradol un'ora prima del vaccino e di andare a farlo.
Arrivata a Castelfranco, il medico presente si rifiutò di farmi il vaccino, in quanto già la prima dose mi aveva causato orticaria, e in più avevo assunto da poco una fiala intramuscolo di Toradol, e dispose che la seconda dose, avrei dovuto assolutamente farla a Baggiovara in zona protetta (mi avrebbero chiamato loro per appuntamento).
Il 4 giugno sono stata convocata per la seconda dose a Baggiovara (Pfizer Lotto FC2229), arrivata sul posto, entrai nell'ambulatorio del medico, che dopo aver “letto” tutte le carte compilate disse: “Ok Greta, ora ti facciamo la prima dose!”. Il medico non aveva letto assolutamente nulla delle carte che gli avevo dato, quindi mia madre gli fece presente innanzitutto che quella era la seconda dose e non la prima, secondariamente che eravamo state mandate lì visto che, dopo la prima dose, nel giro di qualche minuto, mi era venuta una forte orticaria curata con una fiala di antistaminico. Mi fecero dunque una puntura di antistaminico e dopo circa 30 minuti, la seconda dose.
Sono uscita dall'ospedale verso le 19, e verso le 20 ho cominciato ad accusare i primi sintomi: mal di testa, febbre (dice mia madre che deliravo), dolori muscolari e debolezza.

[Parecchi lividi - gonfiarono i linfonodi del collo - svenimenti (Ohnmacht) - 1 Antibiotikum - Atemnot+Verengung der Atemwege]

Col passare dei giorni, mi uscirono parecchi lividi [Blutergüsse], mi si gonfiarono i linfonodi del collo [Lymphknoten am Nacken schwellen an], che mi provocavano fastidio e dolore, non potevo più uscire di casa perché mi venivano vampate di calore e svenimenti [Ohnmacht], non capivo cosa mi stesse succedendo.

Il mio medico curante, identificò il mal di testa come sinusite e mi fece prendere un antibiotico: lo Zitromax e il 1 luglio, dopo un'ora dall'assunzione di questo medicinale, accusai dispnea [Atemnot] e costrizione delle vie respiratorie [Verengung der Atemwege]. Mia madre, pensando ad una crisi allergica, mi fece subito un'iniezione di Bentelan (che fortunatamente avevamo in casa per allergie materne) e nel giro di 30 minuti tutto tornò alla normalità, ma mia madre mi disse che avevo perso i sensi ed ero diventata cianotica.

[Poesia di un medico: infiammazione dei denti del giudizio - panico - mononucleosi - Dichtung des Arztes: Entzündung der Weisheitszähne - Panik - Pfeiffersches Drüsenfieber]

Avvisai subito il mio medico curante dell'accaduto e gli parlai dei sintomi avuti dopo la seconda dose del vaccino, lui scambiò il gonfiore e il dolore dei linfonodi per infiammazione dei denti del giudizio, e la crisi di costrizione delle vie aeree per attacchi di panico; alla lettura degli esami del sangue, mi disse anche che, poteva essere mononucleosi [Pfeiffersches Drüsenfieber].

[Tutti test di allerghie sono negativi - alle Allergietests sind negativ]

Su insistenza di mia madre, mi fece fare una visita allergologica, effettuata il 20 luglio, dove il Prick-Test relativo ad inalanti e alimenti, risultò negativo, e anche gli esami del sangue eseguiti successivamente, risultarono negativi, anche se le ultime 2 crisi respiratorie (costrizione vie aeree) non erano vicino ai pasti. Capimmo dunque che non si trattava di allergia. 

[Atemnot si repeta - Atemnot kommt immer wieder]

Il medico precedente, non ritenne opportuno avvisare l'AIFA delle reazioni avverse al vaccino Pfizer, nonostante io ebbi altri 4 attacchi di costrizione delle via aeree in data 12-20-27 luglio e l'ultima il 16 agosto.

[Infettivologo dice che no sono infezioni - no crisi mai dal 16 agosto 2021]

Il medico di base che presi successivamente,  ascoltando il racconto delle crisi che avevo avuto, si mise in contatto con un infettivologo che gli consigliò un prelievo mirato, e alla visita che feci il  25 agosto, disse che non riteneva che i suddetti episodi fossero da correlare ad infezione o riattivazione da EVB.
A dicembre posso dire che tutti quei disturbi finalmente erano passati e dal 16 agosto non avevo più avuto queste crisi.

[Terza dose: medici no vogliono vedere la documentazione precedente - "reazione era troppo lontana" - "nulla a che fare con l'inoculazione"]

Venni dunque convocata per la terza dose, il 17 dicembre. Ho prodotto dunque tutta la documentazione precedente chiedendo con una lettera per sapere se, alla luce delle mie reazioni dopo le vaccinazioni, era il caso di fare una terza dose visti i precedenti.
Quando sono andata a fare la terza dose di vaccino ho portato la lettera. Ma nessuno l'ha voluto vedere. Tutti mi hanno detto che la reazione era troppo lontana dalla vaccinazione e non poteva avere nulla a che fare con l'inoculazione. 

[14 dic. 2021: paresi facciale nel lato destro del viso - adesso viene cortisone]

In ogni caso il 17 dicembre non siamo potute andare a fare la vaccinazione dato che il 14 dicembre mi è venuta una paresi facciale nel lato destro del viso, trattata con pastiglie di cortisone.

[26 gen. 2022: Terza dose: medici no vogliono vedere la documentazione precedente]

Il 26 gennaio alle 19:45 sono andata al centro vaccinale di Castelfranco, per chiedere di fare la terza dose in zona protetta: il medico presente era al telefono e ha firmato l’autorizzazione al vaccino senza nemmeno ascoltarci, quando ha chiuso la telefonata, gli ho spiegato tutto e ci ha fatto la richiesta per la zona protetta di Baggiovara. Avevo con me tutta la documentazione, ma anche lui non ha voluto guardare nulla perché ha detto che ci avrebbero pensato in zona protetta. 

[4 feb. 2022: puntura di antistaminico e la terza dose 5-10 minuti dopo - orticaria con prurito (Nesselausschlag+Jucken)]

Il 4 febbraio ci chiamano per andare a fare la terza dose all’ospedale di Baggiovara, di nuovo porto tutta la documentazione scritta dei problemi che avevo avuto, ma il dottore, lo stesso della vaccinazione precedente, non l'ha nemmeno guardata.

Mi hanno fatto puntura di antistaminico e dopo 15 minuti il vaccino (non come l’altra volta mezz’ora dopo, credo sia sempre un fattore per accelerare i tempi): una dose intera di Pfizer (lotto FP8191); praticamente dopo circa 5 - 10 minuti mi è partita di nuovo l’orticaria [Nesselausschlag] con un prurito incredibile, ho parlato con colei che mi aveva fatto il vaccino e lei mi ha detto che ormai l’antistaminico me lo avevano fatto e dovevo portare pazienza che poi avrebbe fatto effetto.

[4 feb.2022 sera: Dispnea e costrizione delle vie aeree - perdita di coscienza - casi arresto respiratorio - colorazione paonazzo - giuzzo delle braccia - crisi epilettica]

Ho fatto il vaccino alle 9.50, e alla sera alle 21.30 nuovamente un attacco di dispnea  e costrizione delle vie aeree, ma molto peggio di quelle del vaccino precedente. Comincio con perdita di coscienza, gli occhi mi vanno all’insù, sembra tipo un arresto respiratorio, divento paonazza in volto, cominciano movimenti involontari delle braccia, tipo crisi epilettica, per cui devo essere guardata a vista. Meno male che mia madre, immaginando che il tutto fosse stato scatenato dal vaccino aveva già preparato siringa e fiala di Bentelan.

[5 feb.2022 pomeriggio: attacco alle 16:45 - attacco alle 22:50 - pronto soccorso "no si è interessato al mio caso" - medici no trovano niente]

Il sabato pomeriggio, 5 febbraio, di nuovo un attacco alle 16.45, vado alla guardia medica per farmi dare 3 fiale di bentelan. Non sanno cosa dire, non capiscono cosa possa essere e dicono a mia madre di non abusare delle fiale di cortisone. Alla sera, mentre giochiamo a carte con il mio ragazzo, mia madre e mia zia, alle 22.50 un nuovo attacco. Mia madre decide di portarmi a Baggiovara per chiedere se c’erano delle cure alternative, ma alle 3 chiedo la mia posizione e mi dicono che avevo ancora 6 persone davanti e in più era appena arrivato un codice rosso, ormai mi ero addormentata in auto e mia madre decide di venire via.
Da allora sono andata 4 volte al Pronto soccorso: Mirandola, Baggiovara, Carpi e Policlinico di Modena, ma nessuno si è interessato al mio caso. Ho fatto ben 3 visite urgenti dall’otorino, tutte negative. Ognuno mi ha detto la stessa cosa: ”non sono attacchi dovuti a qualcosa che ostruisce le vie aeree”.

Vi ricordo che tutte queste informazioni le avevo portate sempre con me per lasciarne copia, al medico vaccinatore, al medico di base, all’Aifa, all’Ausl, ma che nessuno si è mai preso la briga di prenderle in considerazione e leggerle, Per questo motivo ho deciso di rendere pubblica la mia storia, affinche’ non si ripeta questo errore con altre persone.

[4 feb.2022: Caduta in casa sempre - la madre no lavora mai per controlare la figlia - 29 maggio 2022: 109 punture di cortisone - 25 chili]

Mia madre dal 4 febbraio non è più rientrata al lavoro, perchè non può perdermi di vista un attimo, in quanto sono già caduta in bagno, in camera, fuori in giardino, senza nessun preavviso.
Tutt’ora non so più a chi rivolgermi, in quanto nessuno vuole cercare di capire che cosa mi sta succedendo!!
Accertamenti fatti all’ospedale di Carpi, hanno escluso: crisi epilettiche, problemi al cuore, problemi vie respiratorie, ma nessuno prende in considerazione una crisi avversa al vaccino.
Ad oggi 29 maggio 2022 ho fatto ben 109 punture di cortisone. Sono ingrassata 25 chili e non voglio più uscire di casa.
Greta Finesso



Instrucción para curarse del veneno de serpiente en las vacunas de Corona

Hola, hago medicina natural desde 2003. La vacuna de Corona es una vacuna de VENENO DE SERPIENTE, eso dice la última ciencia de Dr. Ardis con comparaciones en abril 2022, mi comparación y el periodista investigativo Oliver Janich en Alemania. Y hay reportes de Aletheia (organización de medicina en Suiza) que remedios contra veneno de serpiente curan. La comparación está aquí:
http://www.med-etc.com/med/coronavirus/ESP/005i-2022-04-13-advertencia-vacunas-mortales-c-VENENO-DE-SERPIENTE-001-comparacion.html

Y las noticias sobre veneno de serpiente en las vacunas están aquí:
http://www.med-etc.com/med/coronavirus/ESP/005i-2022-04-13-advertencia-vacunas-mortales-c-VENENO-DE-SERPIENTE-002-not-001.html

La curación es simple: se toma anti-venenos resp. remedios contra veneno de serpiente.
-- Lachesis C30, Vipera berus C30, o Vipera aspic C30, por 1 mes 3 bolitas por día 1 en la mañana, 1 mediodía, 1 en la noche.
-- Tb. un médico normal te dará un remedio de anticuerpo contra veneno de serpiente.
-- Tb. se puede hacer dialisis 3 o 4x para botar toda la basura de la vacunación.
-- Tb. acupuntura ayuda bastante. Y
-- la alimentación del grupo sanguíneo ayuda tb. bastante: http://www.med-etc.com/med/heilung-o-medi/DrDAdamo-indice-ESP.html
Siempre puedes preguntar a michael.palomino@yandex.com
Mi página es www.med-etc.com - versión española: http://www.med-etc.com/index-ESP.html
Saluti




Verdacht SCHLANGENGIFTimpfschaden 3.6.2022: Frau (23) 3x geimpft+1x genesen: hat nun Schwindel
Impfschäden Schweiz Coronaimpfung, [03.06.2022 09:46]
https://t.me/Impfschaden_Corona_Schweiz/45736
Eine neue Meldung:
Die Tochter meines Arbeitgebers, 23 Jahre, 3 Impfungen, 1x genesen.  leidet seit kurzem an Schwindel und hat Auffälligkeiten im EKG. Sie bekam vor zwei Jahren aufgrund  von familiär gehäufter Kardiomyopathie einen Defibrillator implantiert. Die jetzt bestehenden Rhythmusstörungen bringen die Klinikärzte nicht mit den Injektionen in Verbindung. Auch nicht ihr Vater, er ist Arzt.


Verdacht SCHLANGENGIFTimpfschaden Schweiz 3.6.2022: Mann (ca.82): Herzschaden mit Kammerflimmern - Mann: Krebs+Blutgerinnsel - Migros fast leer vor Pfingsten - Mann (ca.60-80) geimpft: starke Atemnot, kommt nicht mehr die Treppe hoch
Impfschäden Schweiz Coronaimpfung, [03.06.2022 11:24]
https://t.me/Impfschaden_Corona_Schweiz/45743
Eine neue Meldung:
Gestern stürzte bei uns ein Flyer Fahrer schwer, Jahrgang 1940 er hatte Kammerflimmern, die Ärzte wussten nicht ob wegen des Unfalls oder ob er den Unfall deswegen hatte. Ja klar das gab es schon früher, jedoch häufen sich solche Vorfälle. Heute morgen Ambulanz schon wieder bei uns und im Migros hörte ich ein Gespräch über einen Menschen der Krebs habe und es sehr schlecht gehe, dazu kam noch Blutgerinnsel. Es sind einfach viele krank, Migros war fast niemand und das vor Pfingsten an einem Freitag. Schwiegervater einer Freundin hat starke Atemnot, kann nicht mehr Velofahren und Treppe steigen, ich weiss das er 💉💉 oder sogar 💉💉💉 gespritzt ist und es wird auf seine C Erkrankung geschoben, die 💉 ist es sicher nicht, das wird nicht in Frage gestellt


Verdacht SCHLANGENGIFTimpfschaden Schweiz 3.6.2022: Mann in Uniform (ca.45) kollabiert auf dem Trottoir
Impfschäden Schweiz Coronaimpfung, [03.06.2022 15:25]
https://t.me/Impfschaden_Corona_Schweiz/45763
Eine neue Meldung:
Heute zufällig dran vorbeigefahren in meiner Gemeinde: Mann ca Mitte 40ig liegt auf Boden, bewusstlos auf dem Trottoir. Sein Kollege (beide in gleicher Uniform) steht neben ihm und noch einige Leute mehr. Scheint kein Unfall zu sein, sondern kollabiert.
Impfung? ich weiss es nicht, aber allein bei uns in der Nachbarschaft war die Ambulanz zum zweiten mal innerhalb zwei monaten. Vorher seit Einzug nie.


Verdacht SCHLANGENGIFTimpfschaden Kanton Basel-Stadt 3.6.2022: Mann (ca.27) geimpft: Schmerzen in Beinen - Diagnose Entzündung in der Wirbelsäule - Ärzte-Mafia weiss nicht, was tun
Impfschäden Schweiz Coronaimpfung, [03.06.2022 15:25]
https://t.me/Impfschaden_Corona_Schweiz/45764
Eine neue Meldung:
Mann circa 27J, starke schmerzen in Beinen seit 💉. impfstoff umbekannt. Diagnose: entzuendung in wirbelsaeure und  massen die Aerzte nicht wissen was zu machen… Kt. Basel-Stadt



Krankenwagen im Kanton Solothurn Region Basel 3.6.2022: rasen immer mehr durch den Wald
Impfschäden Schweiz Coronaimpfung, [03.06.2022 15:59]
https://t.me/Impfschaden_Corona_Schweiz/45767
Eine neue Meldung:
Seit Tagen ist die erhöhte Ambulanz Sirene im Kt. SO (Bezirk Dorneck/Thierstein nähe Basel) spürbar. Gestern Nachmittag vorallem,  in der Zeit von 14.30 - 17.00 Uhr, war die Ambulanz 5x zu hören.
Komisch dass Die Ambulanz so extrem unterwegs ist.
C-Impfung lässt grüssen, hoffe dass die Bevölkerung jetzt langsam aber sicher wach werden.
Das ist kein Lebenszustand mehr, ständig verleugnet zu werden von den sogennanten Pauseclowns…(Politiker auf hohen Niveau, nicht mal geimpft)


Verdacht SCHLANGENGIFTimpfschaden Kanton Bern 3.6.2022: Mann (50) 2x geimpft: Blutdruck spielt Achtgerbahn bis 190+ - Herz-OP schon geplant
Impfschäden Schweiz Coronaimpfung, [03.06.2022 15:59]
https://t.me/Impfschaden_Corona_Schweiz/45768
Eine neue Meldung:
Kt. BE, 50-jähriger Mann, 2x 💉. immer wieder Puls sehr hoch auf 190+, hat bald Herz-OP (Verödung der Nervenenden). Bin gespannt, ob es dann bessert, er hatte vor den Schlumpfungen diese Symptome nicht.



Verdacht SCHLANGENGIFTimpfschaden Schweiz 3.6.2022: Mann mit Epilepsie mit Zwangsimpfung durch Erpressung - nun ist er Psychiatriefall - Mann mit Epilepsie durch Erpressung zwangsgeimpft: Schwindelanfälle
Impfschäden Schweiz Coronaimpfung, [03.06.2022 18:00]
https://t.me/Impfschaden_Corona_Schweiz/45774
Eine neue Meldung:
Habe heute von Kollegin erfahren, dass ihr behinderter Sohn ( lebt in einem Heim) auf drängen der Heimleitung anfangs Jahr geimpft wurde.
Sie weigerten sich lange aber er wurde überall ausgegrenzt, durfte bei keinem Ausflug dabei sein, alleine im Zimmer essen….
Er hatte noch einen Armbruch, musste ins Spital und liess sich leider impfen…
Jetzt ist er bereits das zweite Mal in der Psychiatrie hospitalisiert, vorher nie…
Sein ebenfalls behinderter Bruder ( lebt in einer anderen Institution) ist auch geimpft und hat jetzt oft Schwindelanfälle.
Beide haben Epilepsie und sind geistig retardiert.
Die Eltern ( nicht geimpft) hatten Bedenken, dass Epilepsie wieder ein Thema wird..
Diese jungen Männer haben sich nicht freiwillig gespritzt, sind jetzt aber die Leidtragenden wie viele andere auch, die dem Druck nicht wiederstehen konnten.



Verdacht SCHLANGENGIFTimpfschaden 3.6.2022: Frau (30-60?) wahrsch. geimpft: immer müde
Impfschäden Schweiz Coronaimpfung, [03.06.2022 18:38]
https://t.me/Impfschaden_Corona_Schweiz/45778
Eine neue Meldung:
Ich lasse jedes Jahr meine Fenster putzen. Habe jeweils eine kleine Reinigungsfirma engagiert.
Die Chefin ist eine sehr nette und kompetente Frau.
Als sie letztes Jahr bei mir waren, erzählte sie mir, dass sie seit der Impfung so müde sei.
Letzte Woche habe ich sie angefragt, ob sie wieder kommen könnten.
Sie schrieb zurück, dass sie ihre Firma auflöse, da sie gesundheitlich starke Probleme habe 😢😢😢.



4R

Verdacht SCHLANGENGIFTimpfschaden 4R 3.6.2022: Grönemeyer soll schwer krank sein - kennt scheinbar keine Naturmedizin?
Grönemeyer nach zahlreichen Covid-Impfungen schwer erkrankt: Auch er hat mitgemacht!
https://report24.news/groenemeyer-nach-zahlreichen-covid-impfungen-schwer-erkrankt-auch-er-hat-mitgemacht/
https://t.me/Impfschaden_Corona_Schweiz/45722
Impfschäden Schweiz Coronaimpfung, [02.06.2022 22:10]
[Forwarded from Das Prinz Telegramm]
Grönemeyer nach zahlreichen Covid-Impfungen schwer erkrankt: Auch er hat mitgemacht!

Seine Spaltung (https://report24.news/groenemeyer-nach-zahlreichen-covid-impfungen-schwer-erkrankt-auch-er-hat-mitgemacht/) wurde nun zum Bumerang:

"Herbert Grönemeyer, einst geachteter Publikumsliebling, hat sich in den letzten Jahren immer deutlicher auf die bequeme Seite des Systems begeben. Gegen Impfgegner hetzte er mit. Es wäre „tragisch und fatal“, dass Bürger ihrem Unmut freien Lauf lassen dürften. Nun ist Grönemeyer nach eigenen Angaben trotz zahlreicher Gen-Spritzen so schwer an Corona erkrankt, dass er die gesamte Tour mit acht Konzerten absagte."

Sowas nennt man dann wohl "Karma" - absolut kein Mitleid.

mehr News & Hintergründe täglich
👉 https://t.me/DanielPrinzOffiziell



"USA"

SCHLANGENGIFTimpfschaden New York "USA" 3.6.2022: Warnung der NYPost: Blutgerinnsel in den Beinen soll eine neue Krankheit gegen Frauen unter 40 sein:
Urgent warning to women under 40 after sharp rise in sudden killer
https://nypost.com/2022/05/31/urgent-warning-to-women-under-40-after-sharp-rise-in-sudden-killer/
https://t.me/corona_impftod/31805

Warnung vor neuer Killer-Krankheit, die vor allem junge Frauen unter 40 jederzeit treffen kann: Blutgerinsel in den Beinen. Wird sicher nichts mit den experimentellen Covid-Injektionen zu tun haben, sonst hätte das die Zeitung bestimmt erwähnt.

Women under 40 are increasingly dying of a sudden killer disease, a campaigner has warned.





CH

SCHLANGENGIFTimpfschaden Kanton Thurgau 4.6.2022: Frau (75) 2x geimpft: hat22 geschwollene Lymphknoten
Impfschäden Schweiz Coronaimpfung, [04.06.2022 11:02]
https://t.me/Impfschaden_Corona_Schweiz/45807
Eine neue Meldung:
75jh Frau KT TG
22 geschwollene Lymphknoten oberhalb vom Schlüsselbein auf der Seite der Impfung seit 10 Monaten (aufgetreten kurz nach der 2ten Impfung).
Die 3te Impfung hat sie nicht mehr genommen und macht sich Sorgen.


SCHLANGENGIFTimpfschaden Schweiz 4.6.2022: Mann (64, gesund) lässt Impfzwang durch Firma zu, 3x geimpft: hat nun Prostatakrebs - Ärzte-Mafia sieht keinen Zusammenhang
Impfschäden Schweiz Coronaimpfung, [04.06.2022 17:50]
https://t.me/Impfschaden_Corona_Schweiz/45837
Eine neue Meldung:
In der Familie meines Partners ließ sich nur sein Vater 64 pimpen auf Druck des Geschäfts. Sicher 💉💉, evt.💉💉💉 vor ca.1/2 Jahr. Gestern rief er an. Prostatakrebs. Mein Partner wagte nicht zu fragen, ob und wann auch geboostert. Nächste Woche OP. Arzt macht keinen Zusammenhang und sagte, es sehe gut besiegbar aus. Hoffentlich stimmt das letztere! Der Zusammenhang ist für mich absolut! Der Mann war vorher immer gesund, nicht mal ne Grippe. Als seine ungepimpte Frau C. hatte, war er noch pimpfrei und bekam nix.


4R


4R 4.6.2022: Lügen-Welt von Rothschild thematisiert Ausschlag nach SCHLANGENGIFTimpfung:
Mit der Covid-Impfung kam der Ausschlag - und ging nicht mehr weg
Impfschäden Schweiz Coronaimpfung, [04.06.2022 17:52]
https://t.me/Impfschaden_Corona_Schweiz/45838


SCHLANGENGIFTimpfschaden in Bielefeld 4.6.2022: Fussballverein hat Hirnschaden und kauft Defibrillatoren statt Heilmittel gegen die Impfung:
Nach Tod im Bielefelder Fußball: Das ist beim Kollaps auf dem Platz zu tun
https://www.nw.de/lokal/bielefeld/mitte/23277855_Nach-Tod-im-Bielefelder-Fussball-Das-ist-beim-Kollaps-auf-dem-Platz-zu-tun.html
https://t.me/corona_impftod/31828

Ein Spieler des SC Hicret ist jüngst gestorben. Oberarzt Andrej Teren spricht über Warnsignale - und auf was es im Ernstfall ankom


SCHLANGENGIFTimpfschaden in 4R-Berlin 4.6.2022: Dr. med. Erich Freisleben:
Top-Mediziner erklärt: Jüngere haben höheres Impfrisiko, ich impfe keine Kinder
https://report24.news/top-mediziner-erklaert-juengere-haben-hoeheres-impfrisiko-ich-impfe-keine-kinder/

https://t.me/Impfschaden_Corona_Schweiz/45828
Impfschäden Schweiz Coronaimpfung, [04.06.2022 16:38]

[Forwarded from Report24.news]

Der Berliner Hausarzt und Sachbuchautor Dr. med. Erich Freisleben impft zwar seine Patienten, wenn diese das wünschen, spricht sich aber klar für eine individuelle Impfentscheidung aus. Bei jüngeren Patienten sieht er keine Notwendigkeit. Junge Patienten zum Impfen zu überreden, um Ältere zu schützen, lehnt er aus ethischen Gründen ab.

Ein Gastartikel von Christoph Brückl
Zuerst erschienen in „Die Monatliche“

Chistoph Brückl: Herr Dr. Freisleben, Sie sind Hausarzt in Berlin und impfen auch gegen Corona. Was sagen Sie Ihren Patienten, wenn diese Sorgen vor den Nebenwirkungen haben?

Dr. Erich Freisleben: Ich rate weder von einer Impfung ab, noch will ich meine Patienten zum Impfen überreden. Ich versuche aber, den Patienten so zu informieren, dass er die passende individuelle Entscheidung treffen kann. Nachdem ich den hippokratischen Eid geschworen habe, muss es mein oberstes Ziel sein, größtmöglichen Schaden von diesem fernzuhalten. Das bedeutet, es ist festzustellen, ob das Risiko eines schweren Verlaufs einer Corona-Erkrankung höher ist als das einer negativen Impffolge. Ein junger, gesunder Mann hat zum Beispiel ein relativ geringes Risiko in Bezug auf einen schweren Verlauf der Krankheit Covid-19. Demgegenüber sind gerade die Impfnebenwirkungen bei jüngeren Leuten höher als bei älteren.

Warum haben Jüngere in Bezug auf Impfnebenwirkungen ein höheres Risiko?

Das ist noch nicht genau erforscht und daher Spekulation. Aber nachdem junge Menschen ein stärkeres Immunsystem haben, reagiert dieses auch stärker auf die Impfung. Und das kann nicht nur positiv sein, es begünstigt auch Autoimmunreaktionen.

Es heißt ja, dass die negativen Folgen einer Impfung in keiner Relation zum Risiko einer schweren Covid-Erkrankung stehen.

In meiner Praxis hatte ich bisher ungefähr 300 Covid-Fälle erlebt. 6 Patienten überlebten die Krankheit nicht, vier leiden bis heute an Long Covid. Die Folgen der Impfung sind aber auch auffallend: Ein 62-jähriger Patient starb an einer Sinusvenenthrombose, es gab drei Lungenembolien, ein Guillain-Barré-Syndrom und ich registrierte 25 Fälle mit teils erheblichen, über Wochen bestehenden Nebenwirkungen. Laut offiziellen Zahlen ist das Risiko bei einer Lungenembolie nach einer Impfung 1:100.000 – ich hatte bei 1.250 Geimpften drei Lungenembolien.

Glauben Sie, dass alle Fälle von Impfschäden und Nebenwirkungen gemeldet werden?

Seit Jahren ist bei Medizinern bekannt, dass bei sämtlichen Medikamenten nur 5-10% der Nebenwirkungen gemeldet werden. Man kann also alle offiziellen Zahlen immer mal zwanzig rechnen. Bei der Corona-Impfung kommt noch der Umstand hinzu, dass Mediziner so sehr auf die Zurückdrängung von Covid-19 fokussiert sind, dass sie die negativen Folgen der Impfung gar nicht wahrhaben wollen. Ich habe das selbst bemerkt, als ich Patienten mit offensichtlichen Impfschäden ins Krankenhaus zur genaueren Nachuntersuchung geschickt habe. Dort wurde ein Zusammenhang mit der Impfung sofort ausgeschlossen.

Sie nehmen das ja ernst. Wie behandeln Sie die Impfgeschädigten?

Ich hatte zum Beispiel eine junge Frau in der Praxis, die kurz nach der Impfung über eine Beeinträchtigung des Bewusstseins und eine Nervenlähmung klagte. Im Krankenhaus vermutete man einen psychosomatischen Hintergrund und schickte die Patientin wieder nach Hause. Innerhalb weniger Tage verschlimmerte sich aber ihr Zustand und ich behandelte sie mit Kortison. Innerhalb einer Woche waren die Symptome verschwunden. Die Gabe von Kortison half auch vielen anderen Betroffenen.

Wie können Sie sich das erklären?

Bei einem Patienten trat eine Woche nach der Impfung eine Wesensveränderung auf, die nach einiger Zeit in eine völlige Immobilität mündete. Ich tippte auf eine autoimmun-entzündliche Hirnerkrankung. In einem Akt der Verzweiflung behandelte ich ihn mit hochdosiertem Kortison. Nach zwei Tagen besserte sich der Zustand des Mannes wie durch ein Wunder. Pathologen stellten fest, dass bei Verstorbenen nach einer impfinduzierten Myokarditis eine überschießende Abwehrreaktion der T-Zell-Lymphozyten zu beobachten war. Kortison kann diesen Prozess stoppen. Ich habe mittlerweile 20 Patienten so behandelt, mit sehr hohen Erfolgen.

Wie kann das durch die Impfung passieren?

Nachdem man den Impfstoff im Eiltempo zugelassen hat, weiß man darüber noch einfach zu wenig, auch ich kann nur mutmaßen. Ich habe vielen Patienten mit Problem nach der Impfung auch Blut abgenommen und die T-Zell-Immunität im Labor untersuchen lassen. Hier waren die zentralen Memory-CD8-zytotoxischen Zellen (TCCMA) und die Effektor-MemoryTc-Zellen (TCEMA) besorgniserregend vermindert. Das bedeutet, dass die Patienten teilweise ein über Monate geschwächtes Immunsystem hatten und nichts davon wussten. Bis es eben zu den ersten Symptomen gekommen ist. Durch diese Impfung produzieren ja die eigenen Zellen das Spike-Protein. Es kann sein, dass die Antikörper dieses Protein leicht mit anderen körpereigenen Proteinen verwechseln und es dadurch zu einer Autoimmunreaktion kommt.

Die Spikes wandern ja auch durch den Körper und können an den verschiedensten Stellen Schaden anrichten. Wie lange die Spikes produziert werden und im Körper verbleiben, steht noch in den Sternen. Das müsste eigentlich von Wissenschaftlern genau untersucht werden. Nicht nur die Impfgeschädigten, sondern auch die Ärzte an der Front werden mit den Problemen vollkommen alleine gelassen. Ich befürchte, dass das Vertrauen in die Medizin durch dieses Vorgehen nachhaltig geschädigt wird.

Das bedeutet, man hat Impfstoffe auf den Markt gebracht, über die man noch viel zu wenig weiß?

Richtig. Normalerweise wird ein Impfstoff über einen Zeitraum von 8 bis 10 Jahren ausgetestet. Und wir reden hier von herkömmlichen Vakzinen. Die Pharmaindustrie hat die Krise genutzt, um ihre neuen Technologien schnell auf den Markt zu bringen. Nachdem die Ökonomisierung der Medizin in vielen Bereichen schon seit Langem ein generelles Problem ist, gab es hier auch wenig Gegenwehr.

Wie meinen Sie das?

Nachdem die staatlichen Förderungen der diversen Fachgesellschaften und auch universitären Forschungseinrichtungen immer weniger wurden, wurde die Pharmabranche ein immer wichtigerer Geldgeber. Und wer zahlt, schafft an. Das ist leider die Wahrheit. Selbst die Chefin der europäischen Arzneimittelbehörde EMA kommt aus der Pharmabranche. Die kritischen Regulatoren werden immer mehr ausgeschaltet. Und nachdem die Impfkampagne jetzt besonders im Fokus der Öffentlichkeit ist, wird das erst richtig sichtbar.

Aber warum spielt hier ein großer Teil der Ärzteschaft mit?

Weil die Impfung aktuell das einzig zugelassene Mittel für die breitenwirksame vorbeugende Behandlung gegen Covid-19 ist. Hätte man vor der Impfung ein Medikament entwickelt, wäre die bedingte Zulassung der Vakzine auch nicht durchgegangen. Eine Voraussetzung für die bedingte Zulassung der Impfstoffe war ja, dass es sonst kein zugelassenes Medikament gegen die Krankheit gibt. Ich vermute, dass deswegen auch die Medikamentenforschung stiefmütterlich behandelt wurde. Dass dies auch seitens öffentlicher Stellen passiert ist, ist schlimm. Leider verwundert es mich aber nicht, da der Lobbyismus der Pharmabranche stark ist.

Wie hätten Sie die Pandemie gemanagt?

Zuerst muss man sich einmal im Klaren sein, dass man mit dem Coronavirus und seinen Mutationen leben muss. Man kann es nicht auslöschen. Das Versprechen, endemische Viren durch Impfungen ausrotten zu können, hatte bei den altgedienten Virologen auch für Kopfschütteln gesorgt. In Schweden reagierte man relativ vernünftig. Am Anfang hatte man zwar mehr Tote, dafür ist die Bevölkerung jetzt viel stärker immunisiert als bei uns. In Schweden ist die Pandemie längst zu Ende, während wir vierteljährlich weiter geimpft werden sollen. Mittlerweile hat Deutschland und Österreich die Schweden bei den Todesraten überholt.

Es ist auch bekannt, dass eine Immunität gegen ältere Versionen des Coronavirus auch gegen SARS-Cov-2 hilft. Das hat man vollkommen unter den Tisch fallen lassen. Jeder kann sich im Blutlabor auf den sogenannten „Corona IGG Plot“ untersuchen lassen. Wer hier hohe Antikörper hat, bei dem sind schwere Verläufe viel seltener. Außerdem verfügen diese und von Covid-19 Genesene im Gegensatz zu Geimpften über Schleimhautantikörper.

Viele Länder behandeln Corona seit Omikron wie eine Grippe. Warum gehen Österreich und Deutschland hier einen anderen Weg?

Im Grunde passiert bei uns auch gerade die Durchseuchung mit Omikron. Nur die Ungeimpften sperrt man ein. Ich vermute, dass man dann die positiven Folgen der natürlichen Durchseuchung als Sieg der Impfung verkaufen will. Ich verstehe mich als Heilarzt, der das Wohl des Patienten im Mittelpunkt sieht. Für mich ist dieses Vorgehen ethisch durch und durch inkorrekt.

Steht für viele Ärzte das individuelle Wohl des einzelnen Patienten nicht mehr an erster Stelle?

Es wird ja ganz offen gesagt, dass sich jüngere Menschen aus Solidarität gegenüber den Älteren impfen lassen sollten. Das bedeutet, dass Menschen die Risiken eines Medikaments in Kauf nehmen, um andere zu schützen. Nebenbei sollen sie auch noch dazu verpflichtet werden. Ich kann das nicht mit meinem Berufsethos verbinden.



GB

Verdacht SCHLANGENGIFTimpfschaden London 4.6.2022: Mann (39) bekommt Bypass am Herz:
Ex-Chelsea-Verteidiger Alex unterzieht sich im Alter von 39 Jahren einer Herz-Bypass-Operation - Germanic Nachrichten
https://germanic.news/ex-chelsea-verteidiger-alex-unterzieht-sich-im-alter-von-39-jahren-einer-herz-bypass-operation/
https://t.me/corona_impftod/31848

SAO PAULO (AP) – Der frühere brasilianische Verteidiger Alex sagte am Freitag, er habe Anfang dieser Woche eine Herz-Bypass-Operation durchgeführt. Der 39-Jährige zog sich 2016 nach einer langen und erfolgreichen Karriere aus dem Sport zurück und spielte für Chelsea, PSV Eindhoven, Paris Saint-Germain und den AC Mailand.

Alex‘ ehemaliger Verein Santos hat in seinen Social-Media-Kanälen ein Video des ehemaligen Verteidigers in einem Krankenhaus an einem unbekannten Ort gepostet, während er sich erholt.

„Ich bin hierher gekommen, um Berichte abzulehnen, denen zufolge ich einen Herzinfarkt hatte. Ich habe vor ein paar Tagen ein (gesundheitliches) Problem festgestellt, die Ärzte haben entschieden, mir eine Bypass-Operation zu geben. Ich hatte vier verstopfte Arterien“, sagte Alex. „Ich habe gerade die Intensivstation verlassen, ich werde noch sechs Tage im Krankenhaus bleiben.“

Alex gewann nationale Klubtitel in Brasilien, den Niederlanden, England und Frankreich. Er gewann auch die Copa America 2007 mit der brasilianischen Nationalmannschaft und die Champions League 2012 mit Chelsea.


Verdacht SCHLANGENGIFTimpfschaden in London 4.6.2022: 5 Soldaten brechen beim Jubiläum der Königin zusammen:
Beim Jubiläum der Königin in London brechen 5 Wachsoldaten zusammen. Die öffentliche Begründung lautet: Übererregung beim Festakt
https://www.news.com.au/entertainment/celebrity-life/royals/drama-as-five-soldiers-collapse-during-queens-jubilee/news-story/0e5f15077fb8acdae2adb956ca3046dd
https://t.me/corona_impftod/31851
  
Jubiläum der Königin in
                  London 4.6.2022: Soldat 01 bricht zusammen  
Jubiläum der Königin in London 4.6.2022: Soldat 01 bricht zusammen [18]
Jubiläum der Königin in
                  London 4.6.2022: Soldat 02 bricht zusammen   Jubiläum der Königin in
                  London 4.6.2022: Soldat 02 bricht zusammen 02
Jubiläum der Königin in London 4.6.2022: Soldat 02 bricht zusammen 01 - 02 [19,20]

Drama as five soldiers collapse during Queen’s Jubilee
Five soldiers have collapsed amid the excitement of the Queen’s Jubilee while standing outside St Paul’s Cathedral.
Five soldiers collapsed to the ground outside St Paul’s Cathedral on Friday before the royal family’s arrival during the Queen’s Jubilee.
Royal fans cheered as the brave Royal Air Force soldiers got back on their feet following the falls ahead of the Service of thanksgiving, The Sun reported.

The first to fall was a member of the RAF who was part of the military guard of honour lining the steps to St Paul’s Cathedral.
And moments later, a second member of the military personnel on the steps collapsed, but was also able to get to his feet and was helped as a stretcher was brought out.
Both were able to stand and were helped away after their falls.
Sky reported that in total, five members of the armed services collapsed.
It comes as politicians and Members of Parliament arrived at St Paul’s for the service dedicated to the Queen on Friday morning.
One RAF soldier seemed to have collapsed just before Foreign Secretary Liz Truss climbed the steps into the church for the service.

A bystander tweeted: “A soldier has just keeled over, received medical attention and is now back on his feet with a cheer.”
The crowds were heard cheering as the soldier made his way back to his feet.
Five soldiers collapsed to the ground outside St Paul’s Cathedral on Friday before the royal family’s arrival during the Queen’s Jubilee.
Royal fans cheered as the brave Royal Air Force soldiers got back on their feet following the falls ahead of the Service of thanksgiving, The Sun reported.
The first to fall was a member of the RAF who was part of the military guard of honour lining the steps to St Paul’s Cathedral.
And moments later, a second member of the military personnel on the steps collapsed, but was also able to get to his feet and was helped as a stretcher was brought out.

Both were able to stand and were helped away after their falls.
Sky reported that in total, five members of the armed services collapsed.
It comes as politicians and Members of Parliament arrived at St Paul’s for the service dedicated to the Queen on Friday morning.
One RAF soldier seemed to have collapsed just before Foreign Secretary Liz Truss climbed the steps into the church for the service.
A bystander tweeted: “A soldier has just keeled over, received medical attention and is now back on his feet with a cheer.”
The crowds were heard cheering as the soldier made his way back to his feet.

It’s not known why they fell to the ground ahead of the service on Friday morning however it was a very warm and sunny day in London, with temperatures hovering at around 20C at the start of the service at 11am.
A member of the military stumbles while on duty at St Paul's Cathedral. Picture: Daniel Leal/Getty Images
A Ceremonial Guard also suffered a medical issue and collapsed – before another three fell on the floor.
The total number of armed servicemen that fell this morning has now reached five.
Boris Johnson arrived at St Paul’s with his wife Carrie – who wore a gorgeous red number to the church.
Former Prime Ministers David Cameron, Gordon Brown, and Theresa May also made their way into the church for the National Service of thanksgiving.
The bells of the cathedral rang out just before 11am as members of the royal family arrived.

Meghan Markle arrived with Prince Harry – wearing a stunning white number after travelling from the US to be with the family.
And the Duchess of Cambridge wowed the cheering fans in a yellow dress as she entered the church with Prince William.
Despite being welcomed back into the royal fold at Trooping the Colour on Thursday, Meghan, 40, and Harry, 37, were said to be anxious about the public reunion.
And the pressure is doubled by the fact this is their first outing together with the entire family since they quit the Firm in 2020.
The Sussexes, dressed in cream and black, and have opted not to bring their children Archie, three, and Lilibet, who turns one on Saturday, whom Her Majesty is believed to have met for the first time on Thursday.
Their attendance at other events, including Saturday’s Party at the Palace or the Pageant on Sunday, is also uncertain.


"USA"

Hautschäden durch SCHLANGENGIFTimpfung in Kalifornien ("USA") 4.6.2022: 5 Fälle
https://www.cureus.com/articles/89189-autoimmune-bullous-dermatosis-following-covid-19-vaccination-a-series-of-five-cases
https://t.me/Impfschaden_Corona_Schweiz/45830
Impfschäden Schweiz Coronaimpfung, [04.06.2022 17:39]

Während die Impfsekte weiter zwanghaft an die Affenpocken glaubt, besteht wissenschaftlich betrachtet eigentlich keinen Zweifel mehr, dass, Symptome wie: Gürtelrose, Hautirritationen bis Blasenbildung und Autoimmunerkrankungen als direkte Folgewirkungen experimenteller GENtherapien immer häufiger auftreten.

Die Bilder dokumentieren 5 solcher Fälle

Zitat aus der Publikation

"Wir stellen die Hypothese auf, dass die Covid-Impfung bei genetisch prädisponierten Personen eine immunologische Reaktion auslöst. Diese Art der Dysregulation wird dann durch andere Autoimmunmechanismen verstärkt."

Hautschäden durch SCHLANGENGIFTimpfung in
                  Kalifornien ("USA") 4.6.2022: 5 Fälle 01   Hautschäden durch SCHLANGENGIFTimpfung in
                  Kalifornien ("USA") 4.6.2022: 5 Fälle 01   Hautschäden durch SCHLANGENGIFTimpfung in
                  Kalifornien ("USA") 4.6.2022: 5 Fälle 3a
Hautschäden durch SCHLANGENGIFTimpfung in Kalifornien ("USA") 4.6.2022: 5 Fälle 1,2,3a [11,12,13]
Hautschäden durch SCHLANGENGIFTimpfung in
                  Kalifornien ("USA") 4.6.2022: 5 Fälle 3b   Hautschäden durch SCHLANGENGIFTimpfung in
                  Kalifornien ("USA") 4.6.2022: 5 Fälle 04b   Hautschäden durch SCHLANGENGIFTimpfung in
                  Kalifornien ("USA") 4.6.2022: 5 Fälle 05
Hautschäden durch SCHLANGENGIFTimpfung in Kalifornien ("USA") 4.6.2022: 5 Fälle 3b, 4, 5 [14,15,16]





Zahlen "USA" 5.6.2022: Krebsrate bei Gebärmutterhalskrebs +20-Fach:
Spike-Protein dringt in Zellkern ein – hemmt Immunsystem und DNA-Reparatur - Wochenblick.at
https://www.wochenblick.at/corona/spike-protein-dringt-in-zellkern-ein-hemmt-immunsystem-und-dna-reparatur
https://t.me/Impfschaden_Corona_Schweiz/45887
Anhand von menschlichen Zellkulturen konnte in einer Studie in vitro gezeigt werden, dass das Spikeprotein sowohl durch die Erkr
Impfschäden Schweiz Coronaimpfung, [05.06.2022 19:35]
[Forwarded from Wochenblick]
💉 Durch die Hemmung des Immunsystems kommt es zu schweren Krankheitsverläufen. Die nicht reparierten DNA-Schäden 🧬 können zum Zelltod, gefährlichen Mutationen oder sogar Krebs führen.

‼️Ein US-Pathologe stellte bereits letzten November einen 20-fachen Anstieg bei Gebärmutterhalskrebs fest‼️

https://www.wochenblick.at/corona/spike-protein-dringt-in-zellkern-ein-hemmt-immunsystem-und-dna-reparatur/



SCHLANGENGIFTimpfschaden Schweiz 5.6.2022: Frau 3x geimpft: hat die zweite Lungenentzündung, Atemnot, kommt kaum noch Treppen hoch - Paar 2-3x geimpft: kann nicht reisen - Bauernfamilie 2x geimpft: 2 sind krank
Impfschäden Schweiz Coronaimpfung, [05.06.2022 10:39]
https://t.me/Impfschaden_Corona_Schweiz/45856
Eine neue Meldung:
Meine Mutter rief mich gester an und fragte ob wir alle gesund sind, um sie herum seien alle krank. Sie ist ungeimpft ihre Freunde alle geimpft. Eine sieht immer schlechter eine andere 3x💉 hat jetzt schon die zweite Lungenentzündung, sie atmet sehr schwer und kann kaum Treppen laufen. Ein Paar das sie besuchen wollte musste auch absagen es gehe ihnen gar nicht gut auch sicher 2x💉 wenn nicht sogar 3x. Die Bauernfamilie sind auch schon wieder 2 krank alle 2x 💉 🤷🤷

SCHLANGENGIFTimpfschaden Schweiz 5.6.2022: Kellner riecht nach Leiche
Gestern waren wie Essen und ich roch es beim Service Mann schon das zweite Mal, dieser komische Duft. Mein Mann meinte das sei doch sein Parfum, aber es war einfach so ein komischer Geruch, schon süsslich, aber sehr eigenartig evtl. In kombination mit einem Parfum?


SCHLANGENGIFTimpfschaden Schweiz 5.6.2022: Haufenweise Corona, 5 tot, 23 Impfschäden, Quote 47%
Impfschäden Schweiz Coronaimpfung, [05.06.2022 12:42]
https://t.me/Impfschaden_Corona_Schweiz/45863
Eine neue Meldung:
Meine aktuelle Auswertung meiner persönlichen Impfliste

115 Geimpfte
 davon:
26 Corona (10 davon geboostert)
5 tot
23 Impfschaden, kurz oder langfristig
Total: 54 Personen mit unerwünschten Folgeerkrankungen/-schäden
Das entspricht 47 %
Anmerkung: Die vergleichbaren von Anfang März.


Verdacht SCHLANGENGIFTimpfschaden Luzern 5.6.2022: Mann (ca.52) hat Milzriss+gestockt-verklebtes Blut
Impfschäden Schweiz Coronaimpfung, [05.06.2022 12:43]
https://t.me/Impfschaden_Corona_Schweiz/45864
Eine neue Meldung:
Der Sohn einer Freundin,  anfangs 50 hatte aus unerklärlichen Gründen einen Milzriss. Zuerst war der Verdacht auf Leukämie da, weil er so hohe Entzündungswerte im Blut hatte. Aber wegen starken Schmerzen im Bauch, war dann auch noch Verdacht auf Nierensteine. Bei dieser Untersuchung fand man dann einen Riss in der Milz. Weil anscheinend durch diesen Riss das Blut gestockt/verklebt war, sind die umliegenden Organe auch im Mitleidenschaft gezogen worden. Folge: Vollständige Entfernung der Milz, Teilentfernung der Bauchspeicheldrüse, Magen, Darm und Leber... Der behandelnde Arzt vom Luzerner Kantonsspital, Prof. Dr. Metzger habe gemeint, dass er so etwas im seiner Karriere noch nie gesehen habe. Die Erklärung für den Milzriss hat man dann erklärt,  dies könne evtl. bei einer Hüft OP einen Monat vorher passiert sein, durch die Schläge, beim Einsetzen des neuen Gelenks. Aber auch das hätten sie noch nie erlebt. Die Impfung ist natürlich nicht schuld...


SCHLANGENGIFTimpfschaden Schweiz 5.6.2022: Frau 2-3x geimpft: ist nicht mehr stolz auf ihre Giftimpfungen
Impfschäden Schweiz Coronaimpfung, [05.06.2022 19:38]
https://t.me/Impfschaden_Corona_Schweiz/45888
Eine neue Meldung:
gestern war eine kollegin bei mir - mindestens doppelt geimpft, mit grosser sicherheit auch geboostert. wir sind dann irgendwann auf das thema impfung gekommen. ich sag ja schon seit einer weile nichts mehr von mir aus (bei familie, freunden und bekannten). beim impfthema also meinte sie nur, jeder müsse das selbst wissen. das hat komischerweise aber nicht sehr überzeugend getönt. ich bin mir aber sicher, dass viele halt einfach jetzt angst haben und dies nicht zeigen wollen. kommt man aufs thema impfen sind sie jedenfalls einiges leiser als vor ein paar monaten. schlussendlich rennen sie aber wahrscheinlich trotzdem zum nächsten booster, weil sie immer noch glauben, dass WIR blödes zeug reden.


SCHLANGENGIFTimpfung von Pfizer 6.6.2022: kann der Schilddrüse schaden:
Pfizer-«Impfstoff» könne normale Schilddrüsenfunktion beeinträchtigen | Transition News
https://transition-news.org/pfizer-impfstoff-konnte-normale-schilddrusenfunktion-beeintrachtigen
https://t.me/Impfschaden_Corona_Schweiz/45849

TrialSiteNews macht auf eine im Februar 2022 veröffentlichte griechische Studie aufmerksam. Die Studie ist aufgeteilt in zwei Su




SCHLANGENGIFTimpfschaden "USA" 5.6.2022: Unheilbare Prionenkrankheit soll von der Coronaimpfung kommen:
Studies Link Incurable Prion Disease With COVID-19 Vaccine
https://www.theepochtimes.com/mkt_app/studies-link-incurable-prion-disease-with-covid-19-vaccine_4511204.html

Studies on COVID-19 vaccines have suggested links between Creutzfeldt-Jakob disease (CJD)—an incurable and fatal prion disease—and getting the ...

This is something that Dr Luc Montagnier was particularly concerned about prior to his death

Studies Link Incurable Prion Disease With COVID-19 Vaccine





SCHLANGENGIFTimpfschaden Rumänien 6.6.2022: Ärzte sagen klar: Seit der Impfung immer mehr Krebs+Thrombosen - Bericht von Dr. Oana Mihaela Secara:
Rumänische Ärzte bestätigen: direkter Zusammenhang zwischen Impfstoff und plötzlichen Todesfällen‼️ Hohe Anzahl von Tumoren und Thrombosen‼️
https://telegra.ph/Rumänische-Ärzte-bestätigen-direkter-Zusammenhang-zwischen-Impfstoff-und-plötzlichen-Todesfällen-Hohe-Anzahl-von-Tumoren-und-Thr-06-02
https://t.me/Impfschaden_Corona_Schweiz/45900
Impfschäden Schweiz Coronaimpfung, [06.06.2022 10:06]
[Forwarded from Kampf für unsere Zukunft ❣️ (Daniel)]

Facebook: https://www.facebook.com/oanamihaela.secara

Die Häufigkeit von plötzlichen Todesfällen bei jungen Menschen ohne Vorerkrankungen beunruhigt die Ärzte. Sie glauben, dass ein kausaler Zusammenhang mit dem Covid-Impfstoff hergestellt werden kann, aber da seit der Injektion ein längerer Zeitraum verstrichen ist, verliert sich die Spur und damit auch der Beweis. Hinzu kommt, dass sowohl bei den Patienten als auch in der Ärzteschaft die Idee eines Zusammenhangs mit dem Boten-RNA-Impfstoff von vornherein abgelehnt wird.

[3 SCHLANGENGIFTimpfmorde in 2 Tagen]

Drei plötzliche Todesfälle in nur zwei Tagen. Ein 46-jähriger Arzt aus Râmnicu Vâlcea, ein 36-jähriger Polizist aus Oradea und ein 37-jähriger Lehrer aus Sălaj. Keiner von ihnen hatte irgendwelche Komorbiditäten, und doch stürzten sie in den Tod. Die Fälle sind kein Einzelfall, denn die Zahl der plötzlichen Todesfälle hat in den letzten Monaten alarmierend zugenommen.

Die Ärzte sagen, dass der Zusammenhang mit dem Covid-Impfstoff offensichtlich ist, aber seine Spur verliert sich aufgrund der Zeit, die seit der Injektion vergangen ist.

[Die Situation im Pharma-Krankenhaus von Onesti - Dr. Oana Mihaela Secara]

"Gleichzeitig ist es sehr schwierig, einen Zusammenhang herzustellen, solange diese Fälle nicht untersucht werden, insbesondere wenn es sich um plötzliche Todesfälle ohne offensichtliche Ursache handelt. Aber selbst wenn Autopsien durchgeführt werden, ist es fast unmöglich, den kausalen Zusammenhang mit dem Covid-Impfstoff festzustellen. In unserem Krankenhaus, in der neurologischen Abteilung, haben wir in letzter Zeit viele Patienten mit Thrombosen gesehen, und zwar bei recht jungen Patienten, von denen einige in einem ernsten Zustand waren. Diese Art von Pathologie hat jedoch mehrere Determinanten, so dass es sehr schwierig ist, den wichtigsten ätiologischen Faktor zu bestimmen. Es gibt Studien, die ganz klar zeigen, dass es einen Zusammenhang zwischen Thrombose und Impfstoffen aller Art gibt, aber die Studien wurden an Patienten durchgeführt, bei denen die Erkrankung kurz vor dem Zeitpunkt der Impfung auftrat. Mit der Zeit kommt es jedoch zu einer Schädigung des Gefäßendothels, d. h. der Innenwand des Gefäßes. Wir haben jetzt einen 52-jährigen Mann im Krankenhaus, der gegen Covid geimpft wurde, mit einer Thrombose der inneren Karotisarterie, einem sehr wichtigen Gefäß, das das Gehirn versorgt. Aber es ist sehr schwer, alles auf einen Faktor zu schieben, dessen Spur verloren gegangen ist", sagt Dr. Oana Mihaela Secară, medizinische Leiterin des Städtischen Krankenhauses Onești.

Tumore erscheinen

Ständig tauchen im Körper Tumorzellen auf, die vom Immunsystem erkannt und vernichtet werden, und Tumore im Allgemeinen sind eine Form von Dysimmunität, d. h. eine Störung der Immunität, so die Ärzte.

"Solange ein Impfstoffprodukt zu Dysimmunität führen kann, können auch onkologische Erkrankungen auftreten. Die Menschen bekommen auch Tumore, aber auch hier können wir keinen direkten, kausalen Zusammenhang mit dem Covid-Impfstoff herstellen. Denn erstens entwickeln sie sich nicht so schnell, d.h. unmittelbar nach der Impfung. Dann muss man über einen sehr langen Zeitraum und sehr viele Fälle untersuchen, um einen ätiologischen Faktor zu finden. Darüber hinaus kann jemand einen Nierentumor bekommen, ein anderer einen Lebertumor oder einen Bauchspeicheldrüsentumor, je nachdem, wo die Anfälligkeit der betreffenden Person liegt. Sie haben also kein genaues Ziel für das Studium. Außerdem hat man bei der Impfung keinen Zeithorizont, den man verfolgen kann, denn der Tumor kann in zwei Monaten, in drei Monaten, in einem Jahr, in zwei Jahren, in drei Jahren oder in fünf Jahren auftreten. Schon wenn man eine bestimmte Frist überschritten hat, kann niemand mehr mit Argumenten und Beweisen argumentieren, dass es sich um einen Boten-RNA-Impfstoff handelt", sagte uns Dr. Oana Mihaela Secară.

Sie weist darauf hin, dass bei Herzinfarkten und Autoimmunkrankheiten, bei Enzephalomyelitis, transversaler Myelitis und Sehnervenentzündung kein direkter Zusammenhang mit dem Impfstoff hergestellt werden kann, weil es sich um unterschiedliche Gebiete handelt und eine Heterogenität besteht, die den Nachweis extrem erschwert.

Das Phänomen der Leugnung

Es gibt keine Absicht zu untersuchen, es gibt keine Informationen auf Patientenebene oder eine wirksame Plattform für die Meldung unerwünschter Wirkungen, und selbst die Ärzte glauben nicht, dass sie vom Impfstoff herrühren könnten, fügt Dr. Oana Mihaela Secară hinzu.

"Außerdem kommt es wie bei jeder Krankheit zu einem Verleugnungsphänomen. Auch die medizinische Welt leugnet die Möglichkeit, dass eine Vielzahl von Problemen, mit denen die Patienten konfrontiert sind, mit dem Impfstoff zusammenhängen. Und natürlich kann man das Phänomen nicht gründlich untersuchen, wenn man es nicht einmal für möglich hält oder es von vornherein ablehnt", so Dr. Oana Mihaela Secară.




SCHLANGENGIFTimpfschaden Brasilien 6.6.2022: Hautschäden - Beispiele
Brasilien ist eines der am stärksten betroffenen Länder
https://t.me/achtungachtungschweiz/28195

SCHLANGENGIFTimpfschaden
                  Brasilien 6.6.2022: Hautschäden - Beispiele
SCHLANGENGIFTimpfschaden Brasilien 6.6.2022: Hautschäden - Beispiele [30]

mit 22,2 Mio. PCR test und
616 000 Todesfällen, während die Bevölkerung in Brasilien zu 68,1 % vollständig geimpft ist, wozu 317 Mio Dosen verspritzt wurden.
Das rekombinante ChAdOx1 (Oxford-AstraZeneca) ist der am häufigsten verwendete Impfstoff. Bei den
Hautreaktionen handelt es sich hauptsächlich um Reaktionen an der Injektionsstelle, akute Urtikaria und morbilliformen Hautausschlag.
Wir berichten über 12 Patienten mit kutanen Reaktionen nach der Impfung, von denen neun seltene Formen aufwiesen.

Sie traten hauptsächlich nach der ersten Dosis des Impfstoffs auf und zwar 1 bis 7 Tage nach der Verabreichung. Alle Patienten wurden von Dermatologen untersucht.
9 Patienten wiesen seltene Hautreaktionen auf: 3 Lichen planus, 3 Purpura/Vaskulitis, 2 Erythrodermie und 1 fixe Arzneimitteleruption (Abb. 1). Makulopapulöse Eruptionen und Urtikaria machten die restlichen drei Fälle aus.
👉 Quelle





Ö

SCHLANGENGIFTimpfschaden Ö 7.6.2022: "Creutzfeldt-Jakob-Krankheit als Folge der Covid-Impfung"
https://tkp.at/2022/06/07/creutzfeldt-jakob-krankheit-als-folge-der-covid-impfung/

Es scheint kein Ende zu nehmen mit den Nebenwirkungen und längerfristigen Schädigungen durch die massenhaft angewendeten Covid-Impfstoffe. Nun taucht noch eine besonde



DK

SCHLANGENGIFTimpfschaden DK 7.6.2022: Video mit Sidse Kaersgaard, Krankenschwester: Nervenschaden, Herzschaden und Schlaflosigkeit:
Impfopfer Sidse K.: „Ich bin immer noch ein Experiment“
https://report24.news/impfopfer-sidse-k-ich-bin-immer-noch-ein-experiment/?feed_id=17161
Kontakt: https://cfdf.dk/ - E-Mail: kontakt@cfdf.dk

Der Kurzfilm "Kollateral. Die Kämpferin" von Oval Media zeigt den Alltag einer dänischen Krankenschwester nach ihrem Covid-Schuss.
Video-Link auf Bitchute: https://www.bitchute.com/video/NpBQbII7Sslk/

Eine dänische Krankenschwester berichtet von erheblichen Gesundheitsschäden nach ihrer Covid-Impfung: Neben dauerhafter Schlaflosigkeit stellten sich sensorische und motorische Störungen ein, auch über Herzrasen und eine massive Elektrosensibilität klagt die vormals völlig gesunde Frau. Ihr Leben ist nach dem Covid-Schuss zur Hölle geworden.

Anfang April dieses Jahres holte die Stiftung Corona Ausschuss eine besonders schwer von Impfschäden betroffene Patientin aus Dänemark nach Berlin. Sidse ist Krankenschwester und wurde mit dem Pfizer-Impfstoff der Charge FE2090 gegen Covid-19 geimpft. Bei dieser handelt es sich laut http://howbadismybatch.info um eine besonders toxische Charge mit zahlreichen Todesfällen und massiven gesundheitlichen Schädigungen. Die Dunkelziffer ist unklar. Rechtsanwältin Viviane Fischer ruft alle, die diese Charge injiziert oder zwecks Verabreichung zur Verfügung gestellt bekamen, zur Kontaktaufnahme auf:

„Die Nummer der gefährlichen Charge ist FE2090. Falls irgendjemand auch diese Chargennummer erhalten hat – bitte meldet Euch bei uns. Ich möchte zudem Ärzte bitten nachzusehen, ob sie noch Ampullen oder Reste dieser Charge haben. Meldungen bitte an kontakt@corona-ausschuss.de oder an meine Kanzlei-Mail kontakt@vivianefischer.de

„Ich bin immer noch ein Experiment.“

Sidse war es nicht möglich, in ihrer Heimat auch nur einen einzigen Arzt zu finden, der gewillt war, sich mit ihren Problemen auseinanderzusetzen. In Sitzung 99 (Etappensiege) der SCA schildert sie eindrücklich ihren Leidensweg. Nun in medizinischer Betreuung, arbeitet sie körperlich und mental an sich. Nach wie vor ist sie nicht stabil, denn „wenn man seinen Körper und sein Gehirn zerstört bekommt, hat das psychische Auswirkungen“. Ihr Zustand ist schwierig, und sie weiß: „Ich bin immer noch ein Experiment.“

Dennoch hat sie inzwischen wieder Mut gefasst, weil sie in guten Händen und von Menschen umgeben ist, die sich um sie bemühen. In Dänemark war Sidse kompett zerbrochen. Sie war erst 39 Jahre alt, als sie das Schicksal in Form der Comirnaty-„Schutzimpfung“ ereilte, und weder Behörden noch Krankenkassen oder Mediziner wollten mit ihr zu tun haben. Erst als sie mit ihrer Geschichte an die Öffentlichkeit ging, boten Menschen ihre Hilfe an. Im Corona Ausschuss sieht sie nicht nur eine Chance, möglicherweise ihr eigenes Leben zu retten. Sie will auch für andere Menschen kämpfen und ihren Körper quasi zur Verfügung stellen, um wirksame Behandlungen zu entwickeln. „Vielleicht haben wir Glück und die Ärzte finden etwas“, meint sie. „Wenn sie mir helfen können, können sie auch anderen helfen.“

„Es vibriert in meinem Kopf!“

Im Kurzfilm von Oval Media bekommt der Zuschauer einen Einblick in ihren Alltag seit der Impfung. Sidse Kaersgaard will nicht sterben. Sie will ihr Leben zurück. Und: Sie will nicht so sterben. Sie berichtet: Die Symptome traten nach ihrer ersten Covid-Impfung im Juni 2021 auf. Mehrere Ärzte äußerten den Verdacht, dass der Impfstoff über den Blutstrom direkt in ihr Gehirn gelangt sein könnte. Dies könnte die Erklärung dafür sein, weshalb es die Krankenschwester derart hart getroffen hat. „Wenn das der Fall ist,“ notiert Sidse, „bin ich ziemlich am Ar***!“

„Ich habe es in meinem Arm gefühlt, als ob eine Art Gel oder Flüssigkeit durchgeflossen ist. Und mir wurde gesagt, dass es normal sei, dass man es durchfließen fühlt. Ich bin dann nach Hause gegangen und etwa drei oder vier Stunden später fing es an. Dieses Brummen und Summen auf der linken Seite meines Kopfes. Ich war einfach verwirrt, aber ich habe noch nie versucht, etwas zu nehmen, das dieses Brummen und Summen verursachen könnte. Und in der selben Nacht, als ich ins Bett ging, konnte ich schlafen. Ich habe einige Stunden geschlafen, aber ich konnte nicht weiterschlafen, wachte auf und war dann hellwach.“

Wie eine ständige elektrische Störung

Zuvor war Sidse eine gesunde, junge Frau mit einem normalen Schlafrhythmus. Zum Zeitpunkt der Dreharbeiten (den Film sehen Sie am Ende des Artikels) war sie acht Monate ohne richtigen Schlaf. Nun leidet sie nach eigener Aussage an extremer Elektrosensibilität, motorischen und sensorischen Störungen sowie Herzrasen. Einige Tage nach der Impfung traten Zittersymptome auf und ein Teil ihres Gehirns „schaltete sich ab“:

„Mein Gehirn funktioniert nicht mehr. Ich kann nicht richtig denken. Ich kann mich nicht koordinieren. Wenn man sein Gehirn die ganze Zeit spüren kann … Man sollte sein Gehirn nicht spüren können. Es fühlt wie eine ständige elektrische Störung an, die alles durcheinanderbringt.“

Bereits frühzeitig wusste Sidse, dass ihr Leben darin bestehen sollte, sich für andere einzusetzen und jenen eine Stimme zu geben, die sich nicht selbst helfen können. Ihre Empathie beschränkt sich dabei nicht auf den menschlichen Bereich. Auch Tierschutz hat für sie einen hohen Stellenwert. Nun ist sie wütend auf die Pharmaindustrie und „all die widerlichen Menschen, die dahinterstecken“. Sie will, dass die Verantwortlichen zur Rechenschaft gezogen werden. Diejenigen, die verstehen, was vor sich geht, fragt sie: „Warum tut ihr nichts?“




SCHLANGENGIFTimpfung Schweiz 8.6.2022: Zwangsimpfung wegen Besuch im Altersheim: immer müde, Gelenkschmerzen, Beinschmerzen - ist auf Cortison - viele Geimpfte haben Turbo-Demenz und sind bleich im Gesicht
Impfschäden Schweiz Coronaimpfung, [08.06.2022 11:08]
https://t.me/Impfschaden_Corona_Schweiz/45982
Eine neue Meldung:
Ich bin traurig, heute morgen eine gute Bekannte getroffen beim Spaziergang. Sie ist 3x 💉 und dies weil sie ihre Mutter im Altersheim besuchen wollte. Ihr Mann 2x💉 sie fühlen sich nur noch schlapp, ihre Gelenke Schmerzen und ihr rechtes Bein fing einen Tag nach der Impfung stark zu schmerzen. Arzt meinte es sei der Rücken dann das Knie. Cortison rein gespritzt. Sie ist sich sicher das es von der 💉 kommt. Ihr Mann will sich auch nie mehr 💉 lassen. Ihre Freunde seien alle krank und sie sei erschrocken wie alle um sie herum krank aussehen und bleich sind und schnell alt werden. Sie hat kein Telegramm etc, aber ihr fällt es auch auf. Sie seien sooooo müde. Sie ist 69 und ja es wird viele viele kranke Menschen geben. Sie haben es schlau gemacht, so dass diese Symptome nicht der 💉 zugeschrieben werden weil sie so vielfältig sind es ist einfach krass dass anzuschauen.

UNgeimpftes Goldstück 8.6.2022: Gesundes Blutbild+NEMs und Nattokinase gegen Shedding
https://t.me/Impfschaden_Corona_Schweiz/45982 (Fortsetzung)
Ich unge 💉 lies ein grosses Blutbild machen, mein Arzt war baff und meinte so ein gutes Blutbild habe er selten gesehen. Wir bleiben stark und gesund ich nehme NEMs und Nattokinase. Wir kriegen das hin und wir werden so gebraucht werden.

Verdacht SCHLANGENGIFTimpfschaden Schweiz 8.6.2022: Viele graue Gesichter
https://t.me/Impfschaden_Corona_Schweiz/45982 (Fortsetzung)
Gestern hatte ich eine Sitzung mit 20 Personen, sie alle waren so grau im Gesicht und sahen einfach nicht gesund aus. Es ist Wahnsinn. 🙈🙈 Phuu...... Liebe Grüsse euch Allen

Impfschäden Schweiz Coronaimpfung, [08.06.2022 11:08]
https://t.me/Impfschaden_Corona_Schweiz/45983
Eine neue Meldung:
Zu 08:22: ich kenne mehrere Gespritzte persönlich, die genau das haben.


Verdacht SCHLANGENGIFTimpfschaden 8.6.2022: Ohrschaden mit MIttelohrentzündung - Mann (78) Lungenentzündung, Frau (79) 3x geimpft: hat zum 3.Mal Corona - Frau 3x geimpft: hat immer Erkältung - Mann (68) 4x geimpft: Gürtelrose
Siena, [08.06.2022 12:34]
https://t.me/Impfschaden_Corona_Schweiz/45984
Eine neue Meldung:

Liebe Siena
Ich erlebe gerade das :
Zwei Kolleginnen (beide geboostert) mit Mittelohrenentzünding.
Ein Herr, 78 Jahre, ebenfalls geboostert, mit einer Pneumonie ins Spital gefahren.
Frau, 79 Jahre, zum dritten Mal Covid positiv seit dem Booster.
Nachbarin dauernd erkältet seit dem Booster.
Nachbar, 68 Jahre, 4x geimpft 🥵, Gürtelrose.



SCHLANGENGIFTimpfschaden Schweiz 8.6.2022: Allergiker mit "Coronaimpfung" haben immer mehr Allergien
Impfschäden Schweiz Coronaimpfung, [08.06.2022 20:42]
https://t.me/Impfschaden_Corona_Schweiz/45990
Eine neue Meldung:
Ich war heute mit meinen Mädels bei der Kinderärztin.Die Grössere wegen dem Senkfuss.Die Kleine wegen ihrem nächtlichen Husten,der seit Januar immer wieder kommt.Sie sind auch oft krank(mehr als andre Jahr,wie alle Kinder bei uns)
Da meinte die Ärztin,von wegen Hausstaub/Milbenallergie.sie meinte auch so nebenbei,das die Allergien sich seit der C-Impfung weniger werde und sich wieder normalisiere😉sie habe das in einem Ärzteartikel gelesen.Musste schon schmunzeln,wo mir das Gegenüber das mitteilte.Meine Grosse ist Hochallergiker u.ich lese oft,,das sich bei Geimpften Allergien plötzlich entwickeln u.vermehrt auftreten...


Verdacht SCHLANGENGIFTimpfschaden Schweiz 8.6.2022: Frau geimpft: Sommergrippe seit 1 Woche verschwindet nicht - Lehrerin geimpft: seit 2 Tagen Stirnhöhlenentzündung
Impfschäden Schweiz Coronaimpfung, [08.06.2022 20:46]
https://t.me/Impfschaden_Corona_Schweiz/45997
Eine neue Meldung:
Hatte heute mit mehreren Leuten Kontakt:
Nachbarin, gespritzt, weiss nicht womit, hat Sommergrippe seit einer Woche, welche nicht verschwinden will.
Hatte ein sehr gutes Gespräch mit ihr, aber nicht viel bezüglich Impfung gesagt. Hab sie mit Vitaminen eingedeckt.
Lehrerin meines Sohnes, genesen und gespritzt, seit 2 Tagen mit starker Stirnhöhlenentzündung zu Hause.


Verdacht SCHLANGENGIFTimpfschaden Schweiz 8.6.2022: Mann (45) ungeimpft: überlebt Corona - dann 2x geimpft: Lähmungen am Bein - Geschwulst an der Hüfte - Atemnot bei jeder Tätigkeit
Impfschäden Schweiz Coronaimpfung, [08.06.2022 20:50]
https://t.me/Impfschaden_Corona_Schweiz/46006
Eine neue Meldung:
Ein Bekannter ( ca 45Jahre) hatte anfangs Januar 21 einen sehr schweren Coronaverlauf, Aerzte glaubten nicht, dass er Corona übersteht…., er war bis im
Mai hospitalisiert.
Liess sich später doppelt impfen, Booster wagte ich nicht zu fragen.
Jetzt hat er Lähmungserscheinungen im Bein, deshalb wurde ein MRI…. gemacht.
Nun hat er im Bereich der Hüften eine komische Geschwulst, die Aerzte haben noch nie so etwas gesehen….
Zusammenhang mit der Impfung wird verneint, die ganze Familie  und viele Freunde sind geimpft, er habe jetzt einfach Pech.
Braucht immer noch Sauerstoff im Alltag bei leichter Anstrengung.



Verdacht SCHLANGENGIFTimpfschaden Schweiz 8.6.2022: Frau (ca.40, hatte Neurdermitis unter Kontrolle) 3x geimpft: 3 Monate Nesselfieber - jetzt Neurodermitis-Schübe - Herpes mit Fieberblasen kommt wieder
Impfschäden Schweiz Coronaimpfung, [08.06.2022 20:51]
https://t.me/Impfschaden_Corona_Schweiz/46008
Eine neue Meldung:
Frau, ca. 40jährig, hatte nach 2. 💉 3 Mte Nesselfieber. Nun wieder Neurodermitis-Schübe, welche jahrelang unter Kontrolle waren. Ebenfalls viele Fieberblasen (Herpes aufgeflammt)


Verdacht SCHLANGENGIFTimpfschaden Schweiz 8.6.2022: Frau (63, gesund): 3x Moderna geimpft: Hirnblutung
Impfschäden Schweiz Coronaimpfung, [08.06.2022 20:52]
https://t.me/Impfschaden_Corona_Schweiz/46011
Eine neue Meldung:
63 jährige gesunde Dame, 3 mal Moderna, Hirnblutung zur Zeit in der Reha




4R

Verdacht SCHLANGENGIFTimpfschaden 4R am 8.6.2022: Schauspieler "Nico Schwanz" 3x geimpft: mit Fieber, Ohrenschmerzen, Augenschaden:
Corona: Dschungel-Star Nico Schwanz schwer erkrankt
https://www.berliner-zeitung.de/news/corona-dschungel-star-nico-schwanz-schwer-erkrankt-li.234042

Dschungel-Star Nico Schwanz hat Corona und leidet an schweren Symptomen. Laut einem Bericht der Bild-Zeitung hat der 44-Jährige schlimme Ohrenschmerzen und Sehprobleme. Schwanz sagte der Bild: „Die Nächte sind die reinste Katastrophe, ich kann kaum schlafen.“ Er liege mit 39 Grad Fieber im Bett. Zunächst habe die Krankheit „ganz typisch mit Kopf- und Gliederschmerzen“ angefangen. Auf dem Weg ins Testzentrum habe der ehemalige Teilnehmer der RTL-Show "Ich bin ein Star - holt mich hier raus" [Link] noch die „Hoffnung gehabt, dass es nur eine Erkältung ist“, wird der Mann weiter zitiert.

Als er dann positiv auf Corona getestet wurde, habe ihn die Panik gepackt. Der frühere Dschungel-Kämpfer ist ratlos: „Ich bin dreimal geimpft, bisher gut durchgekommen. Ich kann mir einfach nicht erklären, wo ich mich angesteckt haben soll.“

Dass die Corona-Erkrankung auch die Augen betrifft, ist zwar eher selten. Nach Angaben der Max-Planck-Gesellschaft [Link] gebe es aber „immer mehr Hinweise darauf, dass Coronaviren auch in die Netzhaut des Auges gelangen und Schäden anrichten können“. Es sei aber noch unklar, welche Netzhautstrukturen genau von Sars-CoV-2 infiziert werden und „ob die Netzhautschäden direkt oder indirekt Folge einer Infektion der Netzhaut sind“. In jedem Fall konnte das Virus in verschiedenen Studien bei Patienten in der Netzhaut nachgewiesen werden, die zuvor an Covid-19 gestorben waren.

Auch die Weltgesundheitsorganisation (WHO) führt gereizte Augen als ein mögliches Corona-Symptom auf. In einer im Fachjournal BMJ Open Ophthalmology veröffentlichten Studie heißt es zudem, dass von 83 Corona-Patienten 17 Prozent juckende Augen hatten. 16 Prozent litten zudem unter wunden Augen.





SCHLANGENGIFTimpfschaden bei SportlerInnen (sportlich)



Verdacht SCHLANGENGIFTimpfschaden Schweiz 8.6.2022: Mann (ca.69, sportlich) 2-3x geimpft: Thrombosen an Herzkranzgefässen - OP geplant
Impfschäden Schweiz Coronaimpfung, [08.06.2022 20:55]
https://t.me/Impfschaden_Corona_Schweiz/46014
Eine neue Meldung:
Mann von Kundin (ziemlich sicher geboostert) Jahrgang 53 wird am Freitag am Herzen operiert. Aussage der Ärzte: alle Zuleitungen zum Herzen praktisch verstopft, ist eigentlich familiär bedingt...bloss bei ihm war bis dato nichts in der Familie und er war immer sehr sportlich. Momentan nur noch ca. 200 Meter gehen möglich...

Verdacht SCHLANGENGIFTimpfschaden Schweiz 8.6.2022: Frau (30-60?) wahrsch. geimpft: Schlaganfall - muss wieder laufen+sprechen lernen
https://t.me/Impfschaden_Corona_Schweiz/46014 (Fortsetzung)
Mitarbeiterin von meiner Kundin einfach so Schlaganfall, musste alles wieder neu erlernen...
Kundin ist sich der möglichen Impfschäden bewusst, aber das hilft ihr ja jetzt auch nichts mehr...🤷‍♀️




SCHLANGENGIFTimpfschäden Klinik Schweiz 9.6.2022: Operationen und Krankheiten, wie sie es noch nie gab: Entzündungen, Hirnschaden, Hirnblutung, Erbrechen+Durchfall, Hirnschaden mit Verwirrtheit, Herzprobleme, Geschwüre, Turbokrebs, Nierenschaden, Blutungen nach Geburten, Schwindel
Siena, [09.06.2022 13:10]
https://t.me/Impfschaden_Corona_Schweiz/46079
[Forwarded from Pflegepersonal Schweiz für Aufklärung]
Eine neue Meldung:

…. Meldung in einer kleineren Klinik, mit Notfallstation- von der IPS:
Begonnen hat es vorallem ca. ab Mai letzten Jahres u.a. mit „unerklärlichen“z.T.schweren Lungenembolien bei V.a.kerngesunden v.a.Männern, mehr unerklärliche zunehmende Komplikationen nach Operationen,Infekte,fürchterliche Ausschläge- die ich in meiner 30jährigen Erfahrung noch nie gesehen habe-  bis hin zu z.B.fulminanten Entzündungen in fast allen Organen bei einer vormals kerngesunden  sportlichen Pat.- ging dann in die Reha von uns aus u.a.mit Hirnschaden und zusätzlicher Hirnblutung etc. Immer öfters die Bemerkung von Ärzten: „Man weiss eigentlich nicht was er/sie überhaupt hat“, wochenlanges fast therapieresistentes Erbrechen und Durchfälle z.B., eigenartige „ irre“ Verwirrtheitszustände,  die z.T. auch wechselhaft sind d.h.kommen und gehen- was mir sehr auffällt sind gehäuft auch Wortfindungsstörungen fast bei allen Pat. Rhytmusstörungen sind schon normal geworden, sehr oft Vorhifflimmern.
Unbestimmte gastrointestinale Beschwerden, Hb-Abfälle die „unerklärlich“ sind, es werden z.B.bei der Gastro nur entzündl.Herde und keine Blutungsquelle gefunden….
Viel häufiger Appendizitiden, ganz junge mit z.B. unüblichen schon phlegmonösen  Entzündungen, auch ältere Pat.was ja eher untypisch ist sonst, viel mehr Cholezystitiden, oft schwere abdominelle Operationen mit langwierigen Verläufen, vorallem Sigmaperf. bei sonst bis anhin Gesunden und immer Jüngere….
Sogenannter Turbokrebs und Rezidive, z.B. innerhalb zweier Monate kindskopfgrosser Tumor Abdomen etc. Untypische Tumore- z.B. an Wirbelsäule, immer mehr Niereninsuffizienzen als Nebendiagnosen, auch erhöhte Leberwerte immer häufiger. Komplikationen bei Wöchnerinnen auch immer häufiger, Blutungen etc. die dramatischer sind als normal und dann halt auch bei uns landen, viel mehr Schwindelzustände, oft sehr einschränkender Drehschwindel. etc.etc.etc.
Die Menschen leiden! ….

SCHLANGENGIFTimpfschaden Spitaldesaster Schweiz 9.6.2022: Geimpftes Personal einer Klinik mit 6 Operationen - immer häufiger krank
https://t.me/Impfschaden_Corona_Schweiz/46079 (Fortsetzung)

Schon sechs Operationen bei gentherapierten ArbeitskollegInnen. Immer mehr krankheitshalbere Ausfälle. Sie sind einfach nicht mehr richtig gesund….das ist definitiv nicht mehr normal…
Ich sage: Es gibt nichts an Schädlichem im Körper  was die Gentherapie NICHT macht….

Liebe Grüsse! Danke für eure Arbeit🙏🏼💚🌸


SCHLANGENGIFTimpfschaden Schweiz 9.6.2022: Coiffeuse 1x geimpft: Herzrasen, Kopfweh
Impfschäden Schweiz Coronaimpfung, [09.06.2022 15:35]
https://t.me/Impfschaden_Corona_Schweiz/46083
Eine neue Meldung:
Gerade von freundin erfahren: ihre coiffure jung und fit bevor 💉💉, sagte ihre dass sie seit 💉 hat herzrasen, starke kopfweh und bereut es sehr dass sie 💉 hat. Sie sagte sie wusste es nicht ueber diese nebenwirkungen und haette es nie gemacht wenn sie es wusste…

SCHLANGENGIFTimpfschaden Region Basel 9.6.2022: Frau (19) 2x Pfizer geimpft: grausame Kopfschmerzen
https://t.me/Impfschaden_Corona_Schweiz/46083 (Fortsetzung)
Arbeitskollegin, 19J, 💉💉 Pfizer (ich sie gerucht habe und sie es bestaetigt hat das Pfizer gespritzt wurde) Kannte nicht mehr arbeiten und musste gestern nach hause gehen weil kopfweg unertraeglich war und frueher hatte sie nie kopfweh.
Region Basel


SCHLANGENGIFTimpfschaden Schweiz 9.6.2022: Mann (27, sportlich) geimpft wegen Ferien: Herzschmerzen - Mafia-Arzt sagt, das sei wegen dem Stress im Job
Impfschäden Schweiz Coronaimpfung, [09.06.2022 19:35]
https://t.me/Impfschaden_Corona_Schweiz/46096
Eine neue Meldung:
Heute passiert: Junger, sportlicher Berufskollege, 27, muss kurzfristig zum Arzt wegen Herzschmerzen. Wir hatten wen zum Einspringen für ihn. Arzt sagte: "Sofort EKG machen!" Ich dachte sofort an die Pimpung. Ich weiß, daß er leider alles mitmachte, auch wegen des Surf-Urlaubs. Keiner sprach die Pimpung an. Auch ich traute mich nicht dazu. ABER der Arzt muss es vermutet haben!!! Heisst: Sie wissen es ganz genau! Und diese Fälle häufen sich! Auch der junge Geschädigte hat es vermutlich vermutet... Und auch die Person, die einsprang. Aber alle machten alles mit. Darum wird nicht darüber geredet... Es geht ihm wieder besser. Es sei wegen des Stress' im Job, sagte der Arzt... Es sei typisch für diesen Beruf... 🙈
Ps: Im Februar konnte ich das Team auf einer Reise begleiten, obwohl nur Gepimpte und Genesene ins Restaurant durften. Ich war da noch nicht genesen (inzw. schon). Ich informierte und durfte mit, DENN ich wurde gebraucht! Keiner kontrollierte im Restaurant! Bei anderen Restaurants war man viel pingeliger. Hä? Warum???


SCHLANGENGIFTimpfschaden Schweiz 9.6.2022: Frau (30-60?) 2x geimpft: Blasenbildung an den Armen mit Schmerzen - wird 3. Impfung verweigern
Impfschäden Schweiz Coronaimpfung, [09.06.2022 19:37]
https://t.me/Impfschaden_Corona_Schweiz/46098
Eine neue Meldung:
Eine Kundin von mir hatte nach der 2ten💉 grosse schmerzhafte Blasen an den Armen im Feb./März (wie sie uns nun als Affenpocken unterjubeln wollen) Sie macht den Booster nicht mehr.Ich hoffe es gibt viele Gay Männer die endlich aufwachen und den ganzen Mist nicht erneut mit sich machen lassen und vorallem nicht glauben was man auf sie schiebt.



4R

SCHLANGENGIFTimpfschaden bei der NATO 9.6.2022: Chef Stoltenberg hat Gürtelrose:
NATO-Chef muss Besuch bei Scholz absagen
https://theworldnews.net/de-news/stoltenberg-erkrankt-nato-chef-muss-besuch-bei-scholz-absagen
https://t.me/gartenbaucenter17/42980

Nato-Chef Jens Stoltenberg (63) hat seinen für heute geplanten Besuch in Berlin krankheitsbedingt abgesagt.

Die Absage hatte das Bundesverteidigungsministerium bekannt gegeben.

Der Grund: Stoltenberg ist an Gürtelrose erkrankt. Der Besuch in Deutschland werde deshalb „nicht persönlich, sondern aus der Ferne“ stattfinden, teilte ein Sprecher mit. Im Gespräch ist eine Video-Konferenz.
Die ansteckende Viruserkrankung mit Hautausschlag kann nach einer Corona-Erkrankung auftreten. Stoltenberg hatte sich Mitte Mai mit Corona infiziert.


Ö

SCHLANGENGIFTimpfschaden Österreich 9.6.2022: Ärztin gibt an: viele komische innere Blutungen - angeblich keine Behandlungsmöglichkeit - und sterben
Impfschäden Schweiz Coronaimpfung, [09.06.2022 17:31]
https://t.me/Impfschaden_Corona_Schweiz/46093
Eine neue Meldung:
Heute erzählte mir meine Masseurin dass sie mit ihrer Freundin telephoniert hat die in Österreich Ärztin ist.
Dass sie in letzter Zeit extrem viele Patienten haben die komische innere Blutungen haben und man kann sie nicht behandeln und sie sterben weg.
Und sie müssen das Maul halten dass es nicht an die Öffentlichkeit komme.
Ganz schlimm
Die Ärztin selber ist nicht geimpft.
Sie ging durch eine schlimme Zeit weil sie sich nicht impfen lassen wollte aber sie blieb stark 👍


F

SCHLANGENGIFTimpfschaden Frankreich / Belgien 9.6.2022: Frauen haben viel zu starke Mens - oder die Mens bleibt weg+Brüste werden kleiner - Kinderwunschkliniken verlangen Impfzwang+Frauen verlieren ihre Gebärmutter
Video-Link: https://t.me/Covideothek/10872
Video-Link auf Bitchute: https://www.bitchute.com/video/ZrLuJNP1FWNy/

Eine unglaubliche Offenbarung am TV über Menstruationsproblematik und Brust Verkleinerungen im Zusammenhang mit dem experimentellen Impfstoff. Hunderte von Frauen haben sich schon gemeldet.

SCHLANGENGIFTimpfschaden Frankreich / Belgien
                  9.6.2022: Frauen haben viel zu starke Mens - oder die
                  Mens bleibt weg+Brüste werden kleiner -
                  Kinderwunschkliniken verlangen Impfzwang+Frauen
                  verlieren ihre Gebärmutter
SCHLANGENGIFTimpfschaden Frankreich / Belgien 9.6.2022: Frauen haben viel zu starke Mens - oder die Mens bleibt weg+Brüste werden kleiner - Kinderwunschkliniken verlangen Impfzwang+Frauen verlieren ihre Gebärmutter [1]


Video: F 9.6.2022: Coronaimpfung m Mens stärker o bleibt weg+Brüste schrumpfen - mens+seins se réduisent (2'5'')

Video: F 9.6.2022: Coronaimpfung m Mens stärker o bleibt weg+Brüste schrumpfen - mens+seins se réduisent (2'5'')
https://www.bitchute.com/video/ZrLuJNP1FWNy/ - Bitchute-Kanal: NatMed-etc. - hochgeladen am 9.6.2022








SCHLANGENGIFTimpfschaden weltweit 9.6.2022: Hirnschaden Kreutzfeldt-Jakob-Krankheit kommt immer mehr
https://t.me/DrJohnB/1487

There are more & more reports of a new form of Creutzfeldt-Jakob disease after #Covidvaccination:
-- 26 cases: https://tinyurl.com/2h8u8t29
-- 56 cases (VAERS): https://tinyurl.com/2rc7ntef
-- Case report (Turkey): https://tinyurl.com/8k6j4wmy
-- Case report (USA): https://tinyurl.com/s5zyhvu6
Worrying.




SCHLANGENGIFTimpfschaden bei SportlerInnen (sportlich)


SCHLANGENGIFTimpfschaden Schweden 9.6.2022: Marathonläuferin Charlotta Fougberg (36) kann nicht mehr laufen - wegen Impfschaden:
SPORTBLADET: Charlotta Fougberg, 36, hat seit acht Monaten keinen Wettkampf mehr bestritten. Jetzt verrät sie, warum.

(orig. Svenska: Svenska stjärnan har varit sjuk i ett halvår – misstänker covid-vaccinet)
https://www.aftonbladet.se/sportbladet/a/bGl9rk/charlotta-fougberg-langtidssjuk-misstanker-vaccinet
https://t.me/corona_impftod/31945
Charlotta Fougberg, 36, har inte tävlat på åtta månader. Nu avslöjar hon varför. Löparstjärnan är långtidssjuk – och mis

Am 9. Oktober 2021 wurde Charlotta Fougberg Dritte beim Stockholm-Marathon in der beeindruckenden Zeit von 2:31,08. Seitdem wurde sie nicht mehr im Wettbewerb gesehen.

Der Laufstar leidet an einer Langzeiterkrankung - und vermutet, dass der Impfstoff die Ursache ist.  Was ich früher an einem Tag geschafft habe, schaffe ich jetzt in einer Woche", sagt sie gegenüber Radiosporten.





SCHLANGENGIFTimpfschaden Kanton Appenzell Ausserrhosen (Schweiz) 10.6.2022: Mann (73) geimpft: hat auf 1 Wanderung Epilepsieanfall
Impfschäden Schweiz Coronaimpfung, [10.06.2022 18:47]
https://t.me/Impfschaden_Corona_Schweiz/46133
Eine neue Meldung:
Zudem folgende Impfschäden zu berichten:

Sehr guter Bekannter meiner Eltern. Ca. 73ig, Kt. AR. Keine Info zu Impfprodukt.
Gab selber zu, dass seit den beiden Impfungen etwas nicht mehr stimmt. Nun vor 2 Wochen Epilepsieanfall beim Wandern.

SCHLANGENGIFTimpfschaden Kanton St. Gallen 10.6.2022: Mann (63) 3x geimpft: wird 1 Tag danach im Büro ohnmächtig
https://t.me/Impfschaden_Corona_Schweiz/46133 (Fortsetzung)
Kunde meiner Praxis (Kt. SG, 63ig) hatte 1 Tag nach Booster im Dez 21 eine kleine "Abwesenheit" am Bürotisch. Seine Partnerin fand ihn bewusstlos am Boden wieder. War monatelang schlapp.

SCHLANGENGIFTimpfschaden Ostschweiz 10.6.2022: Frau mit Pfizer geimpft: Nackenschmerzen - nach 1 Monat Gelenkschmerzen - 1 Monat lang empfindliche Zähne - 21 geschwollene Lymphknoten - kriminelle Ärzte-Mafia meint: Psychiatrie - 2 Monate lang Husten - viele Opfer mit Flechten
https://t.me/Impfschaden_Corona_Schweiz/46133 (Fortsetzung)
Kundin Ostschweiz bei Bürojob:
Pfizer im Oktober 21.
15min nach Impfung starke Nackenschmerzen.
1 Monat lang Gelenkschmerzen.
1 Monat lang Zähne heiss/kalt empfindlich
Im November 21 Lymphknoten in Leiste geschwollen (2.5cm). Arzt wollte einfach wegschnipseln und zudem Sie in psychiatrische Behandlung schicken.
2 Monate lang Husten mit Auswurf am Morgen und Abend.
Fühlt sich am morgen wie 80ig. Ist jedoch viel jünger und arbeitstätig.
Berichtete zudem, dass viele Ihrer Bekannten auf Fragen zu NW zuerst nichts sagen, bei genauerem nachfragen kennt sie bereits 5 mit Flechten am ganzen Körper.

Gerne teilen. Standhaft und aufrecht im Herzen bleiben. Danke für Eure Arbeit.


SCHLANGENGIFTimpfschaden Frankreich 10.6.2022: Leute geimpft: starke Schmerzen überall - sind auf Cortison
Impfschäden Schweiz Coronaimpfung, [10.06.2022 23:34]
https://t.me/Impfschaden_Corona_Schweiz/46164
Eine neue Meldung:
Habe heute mit einer Bekannten aus Frankreich gesprochen. Auch dort, Nachbarin mit starken Schmerzen überall im Körper seid Impfung. Braucht Cortison, sie finden nicht heraus was es ist.

SCHLANGENGIFTimpfschaden Schweiz 10.6.2022: Person geimpft: Hautausschlag + immer müde
https://t.me/Impfschaden_Corona_Schweiz/46164 (Fortsetzung)

Andere Hautausschlag ohne Cortison geht auch nichts plus dauer müde.

SCHLANGENGIFTimpfschaden Schweiz 10.6.2022: Migros stinkt nach Coronaimpfung, Personen stinken nach Coronaimpfung - SHEDDING Schweiz 10.6.2022: Schwindel+Drüse hinter dem Ohr schwillt an
https://t.me/Impfschaden_Corona_Schweiz/46164 (Fortsetzung)

Heute als ich ins Migros ging wurde ich fast erschlagen von diesem gestank. Mir wurde schwindlig und die Drüse hinter dem Ohr ist angeschwollen. Ich könnte wetten die haben schon mit der vierten angefangen. Ich kann immer wie stärker riechen wer geimpft ist. Ganz ehrlich, ich könnte bei Wetten das mitmachen 😂😂







SCHLANGENGIFTimpfschaden Kanton Bern 11.6.2022: 2 Männer 3x geimpft mit Herzproblemen
Impfschäden Schweiz Coronaimpfung, [11.06.2022 12:19]
https://t.me/Impfschaden_Corona_Schweiz/46195

Vor 2 Tagen   Beobachtungen aus dem Umfeld, w, 54 Jahre

Muss etwas ausholen. Leider musste mein Ehemann Notfallmässig in ein Spital im Kte Bern eingeliefert werden. Er zog sich bei einem Sturz einen üblen Knochenbruch zu. Vorweg, wir sind ungeimpft. Alles ging sehr unkompliziert und es kam zum Glück NIE die Frage auf ob mein Mann geimpft ist. Der Knochenbruch musste operativ behandelt werden. Als er dann in sein "Doppelzimmer" kam, fiel uns auf, dass er während der Zeit die er dort sein musste, 2x Bettnachbarn "zugeteilt" bekam, die beide mit verdacht auf Herzprobleme eingeliefert wurden. Beides ältere Männer, Sie teilten meinem Mann ganz stolz mit, dass Sie doppelt geimpft wie auch geboostert seien. Für alle die hier auch mitlesen nichts neues.

SCHLANGENGIFTimpfung nützt nichts gegen Corona im Kanton Bern 11.6.2022: Frau 3x geimpft: hat zum zweiten Mal "Corona" mit Kopfweh, Schwindel, Atemnos
https://t.me/Impfschaden_Corona_Schweiz/46195 (Fortsetzung)
Eine Woche später fühlte sich meine Schwiegermutter nicht gut, 3x geimpft! Starke Kopfschmerzen, Schwindel, Atemnot. Ab ins Spital, da wurde Sie als 1stes gefragt ob Sie geimpft ist. Schon komisch, da wir eine Woche vorher bei der Einlieferung meines Mannes NIE betreffend der Impfung gefragt wurden. In den Spitälern wissen die ganz genau was los ist. Aber keiner macht das Maul auf. Es ist einfach zum k..... Schwiegermutter wurde darauf hin natürlich sofort getestet. Siehe da! Positiv. Nun schon zum 2x, aber beim 1x ging es Ihr noch nicht so "schlecht".

SCHLANGENGIFTimpfschaden im Kanton Bern 11.6.2022: Coronaimpfung bewirkt Hirnschaden: soll gut sein, sonst würde es viel schlimmer kommen
https://t.me/Impfschaden_Corona_Schweiz/46195 (Fortsetzung)
Aber nun das Beste: Als ich dies Freunden von uns (ebenfalls geimpft) erzählt habe, sagten die doch tatsächlich. Zum Glück war Deine Schwiegermutter geimpft! Sonst wäre alles viel schlimmer gewesen. Auch Sie selbst sagte mir tatsächlich vor 2 Tagen, zum Glück sei Sie geimpft. Da meinte ich nur, Sie hätte nun C schon zum 2x gehabt und dies trotz der Impfung. Sie meinte dann nur, ja ihr ginge es an manchen Tagen nicht so gut??????? Aber ich bin überzeugt, der Rest der Familie wird sich auch noch die 4. und 5. abholen. Ich bin soweit und sage bei den geimpften nicht mehr viel. Entweder ist es Vogel Strauss taktik oder ich weiss auch nicht, es ist doch so offensichtlich was los ist, aber die geimpften haben immer noch das Gefühl, sie seien sicher.

Spitaldesaster Kanton Bern 11.6.2022: Reha-Kliniken sind voll - Personal ist oft krank - geimpfte PatientInnen werden "isoliert"
https://t.me/Impfschaden_Corona_Schweiz/46195 (Fortsetzung)
Zurück zu meinem Mann. Er musste danach in die Reha. Schon das ist ein fast unmögliches Unterfangen! Die Reha Kliniken sind voll! Er hatte aber Glück und bekam doch einen Platz. In den vergangenen 4 Wochen, kam es immer wieder zu Ausfällen seiner Therapien. Therapeuten krank! Auch fiel auf, dass immer wieder Insassen für ein paar Tage "isoliert" wurden. Aber wen erstaunt es, es waren immer die geimpften die es erwischt hat.




SCHLANGENGIFTimpfschaden Kanton Luzern 11.6.2022: Frau (45) geimpft: Schlaganfall aus dem Nichts - schon 4x operiert
Impfschäden Schweiz Coronaimpfung, [11.06.2022 12:20]
https://t.me/Impfschaden_Corona_Schweiz/46196
Vor 4 Tagen   plötzlicher Schlaganfall, w, 45 Jahre, LU

Die Mutter eines Schuelgspänli meiner Kinder plötzlich Schlaganfall.Ich weiss, dass die Mutter und Kinder geimpft sind.Datum der Impfung und Impfhersteller mir nicht bekannt.Der Mutter geht es gar nicht gut.Wurde schon ca.4 mal operiert.
-


SCHLANGENGIFTimpfschaden in Plaffeien (Kanton Fribourg) 11.6.2022: Frau (ca.35) im Feb.2022 3x geimpft: im März 2022 Turbokrebs diagnostiziert
Impfschäden Schweiz Coronaimpfung, [11.06.2022 19:52]
https://t.me/Impfschaden_Corona_Schweiz/46223
Eine neue Meldung:
Pat Fin, [6/11/2022 3:50 PM]
Mutter von 3 Kindern, plant ihre eigene Beerdigung. Im Februar geboostert, März Turbokrebs diagnostiziert, Lebenserwartung ein paar Monate. Wo im Freiburgischen Plaffeien Gegend. Geimpft mit unbekannten 💉💉💉.
Viel Kraft dieser Familie und allen die ähnliches mitmachen müssen. 🙏🙏🙏
 🐵🙈🙉🙊


SCHLANGENGIFTimpfschaden 4R 11.6.2022: Kraftsportlerin Eva Butzen mit Herzproblemen
Impfschäden Schweiz Coronaimpfung, [11.06.2022 20:21]
https://t.me/Impfschaden_Corona_Schweiz/46227
[Forwarded from T.ME/WEGGESPRITZT (LINK TEILEN)]

🥴 Neue ZDF-Doku über Impfkrüppel.

Na ein Glück ist sie kein "Impfgegner" und hat jetzt neue Medikamente für 10.000 Euro gegen die Spritzenschäden! Bald wird jeder mit dem Lastenausgleich enteignet aufgrund der Impfschäden. Der Hauptgrund für diese Dokus!

https://youtu.be/jjWeI3m2r14

‼️ TEILEN ‼️

FOLGEN 👉🏽 T.ME/WEGGESPRITZT


SCHLANGENGIFTimpfschaden Kanada 11.6.2022: Justin Bieber mit Gesichtslähmung - seine Frau Hailey Bieber mit Blutgerinnsel und Herz-OP
Impfschäden Schweiz Coronaimpfung, [11.06.2022 14:07]
https://t.me/Impfschaden_Corona_Schweiz/46206

BILD, 28.04.2022: "Blutgerinnsel und Herz-OP bei Justin Biebers Frau Hailey” / „Eine Gesichtshälfte hing plötzlich runter“

BILD, 11.06.2022:  "Schwer erkrankter Sänger postet erschreckendes Video" / "Gesichtslähmung bei Justin Bieber"

Justin und Hailey Bieber sind geimpft.



SCHLANGENGIFTimpfschaden Kanada 11.6.2022: Justin Bieber mit Gesichtslähmung - angeblich Ramsay-Hunt-Syndrom:
‼️Weltstar Justin Bieber postet Schockvideo über Gesichtslähmung - Konzert-Tournee verschoben
https://www.bild.de/video/clip/video/justin-bieber-postet-schock-video-gesichtslaehmung-80366150,la=de.bild.html
https://abcnews.go.com/GMA/Wellness/justin-bieber-shares-ramsay-hunt-diagnosis/story
https://t.me/oliverjanich/98774

"Die Pop-Welt rätselt um die Gesundheit von Justin Bieber (28). Der Weltstar musste jetzt Konzerte verschieben, weil „seine Krankheit“ immer schlimmer werde. Das verkündete er auf Instagram. Er wolle sich nun ausruhen. Um welche Krankheit es sich genau handelt, lässt Bieber offen."

‼️ Englischsprachige Quellen sprechen davon, Bieber sei am Ramsay Hunt syndrome erkrankt, einem Nebeneffekt nach einer Covid-19-Impfung.

Kanada 11.6.2022: Woher mag es kommen? Justin Bieber hat Gesichtslähmung, seine Freundin Hirnthrombose
https://report24.news/woher-mag-es-kommen-justin-bieber-hat-gesichtslaehmung-seine-freundin-hirnthrombose/

Die Erkrankung beruht auf einer starken Aktivierung von Herpes-Zoster-Viren. Der Mainstream rätselt.



SCHLANGENGIFTimpfung "USA" 11.6.2022: Arzt Neil Chesen berichtet: Immer mehr Augenschaden mit Ramsay-Hunt-Syndrom
https://t.me/corona_impftod/31988

Augenarzt berichtet über Fälle des Ramsay-Hunt-Syndroms, an dem Justin Bieber leidet: "Innerhalb weniger Wochen habe ich vier Fälle des Ramsay-Hunt-Syndroms gesehen. Drei davon hatten kürzlich ihre Booster erhalten. Ich habe niemals zuvor in 32 Jahren in meiner Augenarztpraxis auch nur einen einzigen Fall gesehen."

orig. Englisch: "In the span of a few weeks I saw four cases of Ramsay-Hunt Syndrome. Three were recently boosted. I had never seen a single case in 32 years of my ophthalmology practice."


SCHLANGENGIFTimpfung "USA" 11.6.2022: Fruchtbarkeitskliniken melden: Frauen und Männer sind immer mehr steril - die Amis werden ausgerottet
Impfschäden Schweiz Coronaimpfung, [11.06.2022 14:11]
https://t.me/Impfschaden_Corona_Schweiz/46207
[Forwarded from Alles Kommt Gut]
[ Video ]
Die Daten stammen von Fruchtbarkeitskliniken: Was ist hier los?

Die Spermien der injizierten Männer schwimmen nicht, die Eizellen der Frauen wachsen nicht zu Embryonen heran

Wir sehen bereits eine 80%ige Fehlgeburtenrate bei Frauen, die im ersten Trimester geimpft wurden.
Fehlgeburten steigen um 700-800%
79 % mehr fötale Missbildungen.
Und das ist nur die Spitze des Eisbergs

Wir leben in einem Sterilisationsprogramm; was wird passieren, wenn diese jungen Frauen merken, dass sie keine Kinder bekommen können?

Quelle:
@childcovidvaccineinjuriesuk





SCHLANGENGIFTimpfschaden bei Piloten und Crews

Condor hat Personalmangel 11.6.2022: warum denn wohl?
https://t.me/fufmedia/47868

Guten Tag, das mit dem Crewmangel bei Condor kann ich bestätigen. Ein Freund arbeitet für Condor und sagte, dass sie dringend fliegendes Personal bei Condor brauchen. Diese bekommt ab September 16 neue Flugzeuge, aber sie haben zu wenig Leute. Condor kann, durch die Bürgschaft und der Kredite der Bunderegierung, sowie einem englischen Investor, der hat sich mit 400 Millionen bei Condor eingekauft, wieder durchstarten. Gruss Thilo


Easyjet 11.6.2022: "Im Sommer werden wegen Personalmangels wohl 1000 Flüge wegfallen"
https://t.me/fufmedia/47869





SCHLANGENGIFTimpfschaden Kanton Basel-Stadt 12.6.2022: Frau (45) 2-3x geimpft: Schlaganfall - schwere Gehirn-OP - Komplikationen - ist schon wieder im Notfall im Spital
Impfschäden Schweiz Coronaimpfung, [12.06.2022 10:11]
https://t.me/Impfschaden_Corona_Schweiz/46236
Eine neue Meldung:
Bekannte 45J, schlaganfall ein paar monaten vorher, schwere Gehirn Op.  ihre Kind sagte mir Mama musste wieder ins Spital im Notfall mit Komplikationen und ist immer noch da leider… sie ist mindestens 💉💉
Kt. Basel- Stadt


UNgeimpftes Goldstück Schweiz 12.6.2022: Mann UNgeimpft Blutgruppe 0: ist NIE krank
Impfschäden Schweiz Coronaimpfung, [12.06.2022 16:10]
https://t.me/Impfschaden_Corona_Schweiz/46294
Eine neue Meldung:
Bin Zugbegleiter und bin ungeimpft. Habe in überfüllten Züge geaebeitet und war zum Glück während der Corona Zeit nie krank.
Habe Blut 0 Resusfaktor negativ

SCHLANGENGIFTimpfschaden Schweiz 12.6.2022: Mann Moderna geimpft Blutgruppe 0: 1 Woche Schüttelfrost+Gelenkschmerzen
https://t.me/Impfschaden_Corona_Schweiz/46294 (Fortsetzung)
Mein Bruder, dieselbe Blutgruppe lag nach Moderna Impfung eine Woche flach mit Schüttelfrost und Gelenkschmerzen!



Verdacht SCHLANGENGIFTimpfschaden Basel-Stadt 12.6.2022: Nachbar (ca.55) 2-4mal geimpft: hat den ganzen Oberkörper voller Wunden, ev. Gürtelrose
Impfschäden Schweiz Coronaimpfung, [12.06.2022 20:35]
https://t.me/Impfschaden_Corona_Schweiz/46304
Eine neue Meldung:
Gerade jetzt bin Ich am Laufen und mein nachbar circa 55j war in balkon ohne t-shirt. Oberkoerper war voll wunden, wie gurtelrose aber so schlimm hat es ausgesehen, ich bin so erschrocken… ich weiss er ist mindestens 💉💉 oder schon 3 te oder 4te.
Kt. Basel-Stadt



Verdacht SCHLANGENGIFTimpfschaden Schweiz 12.6.2022: 2 Männer (ca.40) geimpft: Herzschmerzen+Herzenge+Atemnot - Arzt sagt bei einem: wegen Rauchen und Unsportlichkeit
https://t.me/Impfschaden_Corona_Schweiz/46305 (Fortsetzung)
Zwei Freunde meines Mannes, beide um die 40ig & geimpft, hatten Herzprobleme paar Monate nach der Impfung & mussten ins Spital deswegen (Herzschmerz/enge/Atemnot). Ich weiss nicht was für Untersuchungen gemacht wurden, aber bei einem wird es nur aufs Rauchen und Unsportlichkeit geschoben. Der ist aber eigentlich gut in Form und raucht nicht viel 🧐 Beide hatten vorher nie Herzprobleme.


4R

Verdacht SCHLANGENGIFTimpfschaden 4R 12.6.2022: Mann (31) 2-3x geimpft: Schlaganfall im Januar, kann nun wieder sprechen, fürchtet aber die nächste Impfung
Impfschäden Schweiz Coronaimpfung, [12.06.2022 20:58]
https://t.me/Impfschaden_Corona_Schweiz/46306
Eine neue Meldung:
Wieder eine Meldung aus dem Bekanntenkreis... 🙄
Männlich, 31 Jahre alt, mindestens 2-Fach geimpft, wohnhaft in Deutschland.
Bereits im JANUAR einen Schlaganfall erlitten. Kann inzwischen wieder sprechen, ist aber immer noch und bis auf weiteres krank geschrieben. Gemäss Ärzte würde er wieder ganz gesund werden.
Hat sich, nebst dem allgemeinen Druck in Deutschland, auf Druck des Arbeitgebers impfen lassen. Was werde denn nun im Herbst, fragt er! Eine Impfdispens gäbe es für ihn keine.
Horror!



Ö

SCHLANGENGIFTimpfschaden in Österreich 12.6.2022: Krebs an der Einstichstelle:
Immer häufigeres Vorkommen von Krebs an der Einstichstelle und im ganzen Körper
https://tkp.at/2022/06/12/immer-haeufigeres-vorkommen-von-krebs-an-der-einstichstelle-und-im-ganzen-koerper/
https://t.me/oliverjanich/98850





SCHLANGENGIFTimpfschaden weltweit 13.6.2022: 3 Millionen Menschen mit Behinderung registriert:
Nach der Einführung der Impfstoffe gibt es plötzlich 3 Millionen Menschen mehr mit einer Behinderung
https://uncutnews.ch/nach-der-einfuhrung-der-impfstoffe-gibt-es-plotzlich-3-millionen-menschen-mehr-mit-einer-behinderung/)

https://t.me/Impfschaden_Corona_Schweiz/46388
Impfschäden Schweiz Coronaimpfung, [13.06.2022 17:16]
[Forwarded from Uncut-News.ch "Das Original"🇨🇭]

Nach der Einführung des Impfstoffes gibt es plötzlich 3 Millionen Menschen mehr mit einer Behinderung Aus den Zahlen des US-Arbeitsministeriums geht hervor, dass es in den Vereinigten Staaten fünf Jahre in Folge etwa 29 Millionen Menschen mit Behinde..



Zahlen in Baden-Württemberg (4R) am 13.6.2022: Und es rasen die Krankenwagen in Baden-Württemberg 2021 140.000mal öfter als 2020:
Starke Zunahme der Rettungseinsätze in Baden-Württemberg
https://www.zeit.de/news/2022-05/20/starke-zunahme-der-rettungseinsaetze-in-baden-wuerttemberg

https://t.me/oliverjanich/98925

‼️2021: RETTUNGSDIENSTE ALLEIN IN  BADEN-WÜRTTEMBERG 140.000 MAL ÖFTER IM EINSATZ ALS 2020 ‼️

"Die Notfallrettung in Baden-Württemberg ist 2021 stark beansprucht worden. Notärzte und Rettungswagen mussten im Land zu 1,3 Millionen Einsätzen ausrücken. Das waren gut 140.000 mehr als im Jahr 2020 und so viele wie noch nie zuvor, wie die «Stuttgarter Nachrichten» (Samstagausgabe) unter Berufung auf Zahlen des Innenministeriums berichteten."

(20. Mai 2022, Quelle: dpa)


SCHLANGENGIFTimpfschaden Schweiz 13.6.2022: Frau (36) 3x geimpft: Autoimmunerkrankung IGG4* (Krebs an Organen oder vergrösserte Organe)
Impfschäden Schweiz Coronaimpfung, [13.06.2022 08:20]
https://t.me/Impfschaden_Corona_Schweiz/46310

Eine Frage in die Gruppe:
Meine Tochter 36Jahre alt, Mutter von drei Kindern hat nach 3 Genmanipulationen eine Autoimmunerkrankung IGG4. Hat irgendjemand Kenntnis über Impfzusammenhang oder weiss von einem Artikel, Studie oder so. Danke für Eure Mithilfe

*Die Immunglobulin-G4-assoziierte Erkrankung (Immunoglobulin G4-Related Disease, IgG4-RD) ist eine seltene Immunerkrankung, die in der Regel mehrere Gewebe und Organe mit tumorartigen Massen und/oder einer schmerzlosen Vergrößerung des Organs befällt. Die Symptome hängen vom betroffenen Organ ab.
(aus: https://www.msdmanuals.com/de/heim/knochen-,-gelenk-und-muskelerkrankungen/igg4-assoziierte-erkrankung/igg4-assoziierte-erkrankung)



SCHLANGENGIFTimpfschaden "USA" 13.6.2022: Impfarm ausser Kontrolle:
"Covid arm": Abnormal side effect after Moderna COVID-19 vaccine
https://pubmed.ncbi.nlm.nih.gov/34750923/ #Moderna #CovidArm #Jabsideeffects
https://t.me/Impfschaden_Corona_Schweiz/46316
Impfschäden Schweiz Coronaimpfung, [13.06.2022 08:25]
[Forwarded from Dr. Tenpenny]

SCHLANGENGIFTimpfschaden "USA"
                  13.6.2022: Impfarm ausser Kontrolle: "Covid
                  arm": Abnormal side effect after Moderna COVID-19
                  vaccine
SCHLANGENGIFTimpfschaden "USA" 13.6.2022: Impfarm ausser Kontrolle: "Covid arm": Abnormal side effect after Moderna COVID-19 vaccine [1]



SCHLANGENGIFTimpfmord 13.6.2022: Lange, gummiartige Blutgerinnsel - das Sudden Death Syndrome:
Long, Stringy, Rubbery Blood Clots: "We're Seeing This a Lot"
https://www.redvoicemedia.com/video/2022/06/long-stringy-rubbery-blood-clots-were-seeing-this-a-lot/
https://t.me/Impfschaden_Corona_Schweiz/46321
https://t.me/Impfschaden_Corona_Schweiz/46323
Impfschäden Schweiz Coronaimpfung, [13.06.2022 08:34]

Dr. Ryan Cole: "There are studies by Dr. Pretorius out of South Africa that show that you can take the spike protein alone, without

Impfschäden Schweiz Coronaimpfung, [13.06.2022 08:35]
https://t.me/Impfschaden_Corona_Schweiz/46323?single
[ Album ]
!!!!!!!!!!!!BREAKING!!!!!!!!!!!!

HERE’S YOUR “SUDDEN ADULT DEATH SYNDROME”

Mike Adams, The Health Ranger has just published a stunning report on ultra magnification of certified embalmer, Mr. Richard Hirschman’s White fibrous clots after I connected the two of them.

While the chemical analysis will take more time, his initial microscopy from today has found the following:

“… Extremely large, complex, repeating structural elements that are clearly being constructed in the blood of the victims who died from these clots “

“these fibrous strands show repeating patterns of scale like engineering as if the body has been programmed to build another life form inside the blood vessels“

“a structure that appears to resemble a silicon like bio circuitry or micro chip like structure”

“… Appears to be a biocircuitry wire which clearly shows repeating patterns and nanoscale interface structures that are assembled in a specific geometry for an unknown purpose”



SCHLANGENGIFTimpfschaden D-A-CH 13.6.2022: Impfarm geht kaputt - Fotos
Impfschäden Schweiz Coronaimpfung, [13.06.2022 08:40]
https://t.me/Impfschaden_Corona_Schweiz/46334
@unzensiert_infoseite

SCHLANGENGIFTimpfschaden D-A-CH 12.6.2022:
                  Impfarm geht kaputt - Fotos 01   SCHLANGENGIFTimpfschaden D-A-CH 12.6.2022:
                  Impfarm geht kaputt - Fotos 02   SCHLANGENGIFTimpfschaden D-A-CH 12.6.2022:
                  Impfarm geht kaputt - Fotos 03   SCHLANGENGIFTimpfschaden D-A-CH 13.6.2022:
                  Impfarm geht kaputt - Fotos 01
SCHLANGENGIFTimpfschaden D-A-CH 12.6.2022: Impfarm geht kaputt - Fotos 01, 02, 03, 04 [2,3,4,5]

www.impfopfer.info informiert:
Medien verschweigen es,
Ärzte verneinen es - doch es stimmt - dieses Impfexperiment ist gefährlich und tödlich! Im größten Impfopfer Archiv im deutschen Sprachraum gegründet am 11.6.2021 von Martin Rutter mit über 35.000 persönlich geschriebenen Berichten kannst du alles nachlesen!
Über 75.000 Mitglieder und 35.000 Berichte (https://t.me/Impfschaden_D_AUT_CH) können nicht irren!
____
Wenn ihr wissen wollt wie das riecht, dann nehmt ein Stückchen Fleisch und legt es an die Sonne.

( die Pflegekräfte sind dann froh, dass es Mundschutz und Teebaumöl gibt. Brechreiz nicht ausgeschlossen❗️)

@unzensiert  / @unzensiertV2


Verdacht SCHLANGENGIFTimpfschaden Schweiz 13.6.2022: Mann (62) 3x geimpft: Gallenstein
Impfschäden Schweiz Coronaimpfung, [13.06.2022 09:44]
https://t.me/Impfschaden_Corona_Schweiz/46343

Vater (62j) meiner Freundin hat sich vergangenes Wochenende einen 3cm grossen Gallenstein und die Gallenblase herausoperieren lassen! Starke Bauchschmerzen haben ihn dazu veranlasst zum Arzt zu gehen.
Er ist ein fröhlicher geniessertyp und ist ziemlich fit und bewegt sich viel. Er isst gerne Fleisch und trinkt auch gerne einzweidrei Gläschen Wein. Ob die Probleme die er jetzt so plötzlich bekommen hat von den drei Spritzen (Marke(n) unbekannt) stammt oder von seiner Ernährung -oder beides im Zusammenspiel - kann ich nicht beurteilen. Er war bis anhin selten krank und hatte meines Wissens keine Probleme mit seinem Körper.


SCHLANGENGIFTimpfschaden Schweiz 13.6.2022: Viele Entfernung von Gallenblasen, Nierensteine, Gallensteine
Impfschäden Schweiz Coronaimpfung, [13.06.2022 12:59]
https://t.me/Impfschaden_Corona_Schweiz/46364
Eine neue Meldung:
Fällt auch jemandem auf das es viele Gallenblasen Entfernungen gibt. Blasen, Nieren und Gallensteine?

Bei uns jeden Tag mind. Eine Ambulanz, wirklich sehr auffallend in letzter Zeit 🙈


mpfschäden Schweiz Coronaimpfung, [13.06.2022 13:32]
https://t.me/Impfschaden_Corona_Schweiz/46370
Eine neue Meldung:
Zu den Gallensteinen: dito bei meinem Vater. Operation vor wenigen Wochen. hat aber sicher keinen Zusammenhang mit der Impfung. Ist reiner Zufall (Ironie).
Auch das plötzliche Auftreten von Tumoren oder das Auffinden von 59 jährigen Männern, tod neben dem Bett - alles reine Zufälle. Gabs doch schon immer 😉

Impfschäden Schweiz Coronaimpfung, [13.06.2022 13:33]
https://t.me/Impfschaden_Corona_Schweiz/46372
[In reply to Impfschäden Schweiz Coronaimpfung]
Nachtrag:
Alle 3 sind mir bekannt. 1) mein Vater 2) Bekannte qus beruflichen Kreisen (Diagnose von einem Tag auf den anderen) 2) Nachbar von Patin meines Sohnes.

Impfschäden Schweiz Coronaimpfung, [13.06.2022 21:02]
https://t.me/Impfschaden_Corona_Schweiz/46420
Eine neue Meldung:
Hallo auch ich möchte mich zu den Nierensteinen melden. Eine Bekannte 2x geimpft ganz sicher, Booster nicht ganz sicher, denke eher ja als nein weil sie sind Impfbefürworter.
innert kurzer Zeit zuerst bei einer Niere und kurz danach auch bei der anderen akut Nierensteine




SCHLANGENGIFTimpfschaden Schweiz 13.6.2022: Geimpfte riechen auch mal nach Metall
Impfschäden Schweiz Coronaimpfung, [13.06.2022 13:17]
https://t.me/Impfschaden_Corona_Schweiz/46366
Eine neue Meldung:
War gestern in Küsnacht an der Tour de Suisse. Es war sehr heiß.
Mir wurde fast übel in der Menschenmenge. Viele Menschen haben geschweisselt.
Aber nicht nach normalen Schweiss.
Es hat nach Metall gerochen.
Wir waren mit einem Nachbar unterwegs. 2x geimpft und geboostert.
Dieser Nachbar ist wirklich sehr schwerfällig im Denken und Handeln.
Wohin führt das Ganze noch hin


Verdacht SCHLANGENGIFTimpfschaden Ostschweiz 13.6.2022: Frau (ca.55) 3x geimpft: Netzhautablösung, OP geplant
Impfschäden Schweiz Coronaimpfung, [13.06.2022 13:36]
https://t.me/Impfschaden_Corona_Schweiz/46374
Eine neue Meldung:
Hab heute von einer Bekannten (mitte 50 ig Raum Ostschweiz) gehört, dass sie plötzlich eine Netzthautablösung hat und jetzt sofort operiert wird. Ich weiss das sie 3mal 💉 ist. Für mich isch de Fall klar  Impfnebenwirkung


Verdacht SCHLANGENGIFTimpfschaden Schweiz 13.6.2022: Blutgerinnsel hinter einem Auge - Thrombose oder "Verstopfung"
Impfschäden Schweiz Coronaimpfung, [13.06.2022 13:41]
https://t.me/Impfschaden_Corona_Schweiz/46378
Eine neue Meldung:
Wir waren am Samstag bei einem Familienessen.
Beiläufig wurde erwähnt, dass per Zufall bei einem Familien Mitglied (m64) bei der halbjährlichen Augen Untersuchung ein Blutgerinsel hinter dem einen Auge gefunden  wurde. Die Schuld sei eine verstopfte Augenvene..darauf hin meine Antwort, ah also eine Thrombose...nein eine Verstopfung...und ich ja eben, eine Augenvenenthrombose...
Das Wort Thrombose wurde nicht akzeptiert, da dies ja eine Impfnebenwirkung sein könnte....


Impfschäden Schweiz Coronaimpfung, [13.06.2022 13:46]
https://t.me/Impfschaden_Corona_Schweiz/46381
[In reply to Impfschäden Schweiz Coronaimpfung]
Nachtrag:
Vergessen zu erwähnen 3x gespritzt mit Pfizer



SCHLANGENGIFTimpfschaden Schweiz 13.6.2022: Mann (37) 3x geimpft: Herzmuskelentzündung - Mann (78) 3x geimpft: Herpes an der Hornhaus, komische Blutwerte - Mann wahrsch. geimpft: Vaccident tödlicher Selbstunfall
Impfschäden Schweiz Coronaimpfung, [13.06.2022 15:45]
https://t.me/Impfschaden_Corona_Schweiz/46382
Eine neue Meldung:
Ein Arbeitskollege (37Jahre), hatte kurz nach dem booster eine Herzmuskelentzündung.. Er weiss, dass es vom Schuss kommt, meinte aber, dass alle (Ärzte) etc. es egal war. Seine Frau verzichtet nun auf den 3.Schuss..

Mein Vater (78J) geboostert, hatte ein Herpes an der Hornhaut und sein Blutbild weist spezielle Werte auf. Leukämie konnte ausgeschlossen werden. Natürlich niemand weiss, was es sein könnte. Er versteht die Welt nicht mehr, schien aber endlich offen zu sein, meine Seite sich anzuschauen. Ob er die Sachen, die ich ihm gesendet habe, schlussendlich angeschaut hat, weiss ich nicht.

Familienvater von 6 Kinder hatte einen Selbstunfall und erlag im Spital. Scheinbar hatte er einen Schlaganfall..

Verdacht SCHLANGENGIFTimpfung gegen Kinder 13.6.2022: Jugendliche (17) wahrsch. geimpft: Zysten in der Brust
https://t.me/Impfschaden_Corona_Schweiz/46382 (Fortsetzung)
Eine 17jährige hatte mehrere Zysten in der Brust. Ob von Impfung ist unklar, auf jeden Fall wird absolut nicht an die gedacht.

Verdacht SCHLANGENGIFTimpfung Schweiz 13.6.2022: Mann (32)+Frau beide 2x geimpft: dauerkrank
https://t.me/Impfschaden_Corona_Schweiz/46382 (Fortsetzung)
Mein Chef (32) und seine Frau (beide 2xgeimpft), so auch ihr kleiner Sohn(ungeimpft) , sind seit 1 Jahr quasi Dauerkrank.

Einfach nur traurig.. Die Hoffnung bleibt, dass dadurch wenigstens immer mehr aufwachen🍀


Verdacht SCHLANGENGIFTimpfung Schweiz 13.6.2022: Frau (70) soll Jugend-Arthritis Morbus Still haben
Impfschäden Schweiz Coronaimpfung, [13.06.2022 17:22]
https://t.me/Impfschaden_Corona_Schweiz/46392
Eine neue Meldung:
Krass, eine Kollegin meiner Eltern, 70, hat plötzlich Morbus Still [Jugend-Arthritis]. Das sei laut den Pharmakatherapeuten (meine Bezeichnung für Ärzte, die Bezeichnung Ärzte verdienen sie nicht) eine Art einer Autoimmunerkrankung? Eine Art AIDS. Die Pharmakatherapeuten haben sie auf AIDS getestet. Jetzt ist es bestätigt, Morbus Still. Laut dem Pharmakatherapeut kann es von der Impfung kommen oder von einer Knieoperation welche sie vor drei Jahren mal hatte……????Das Zweite muss natürlich als Anhängsel noch mit auf den Weg gegeben werden. Denn da die Impfung ja freiwillig war wird sich der Impfling somit ja selber sicher nicht die Schuld einer Fehlentscheidung geben.

Eine zweite Kollegin, ca 70, habe Gesichtrose. Laut ihrer Pharmakatherapeutin ganz klar wegen der Impfung. Aber das BAG habe diese als Nebenwirkung aus dem Nebenwirkungsangebot  gestrichen da man wusste dass dies oft auftreten könne?!?

Nur schon dass in diesen beiden Fällen die Pharmakatherapeuten von Impfung sprechen lässt mich gespannt zum Himmel hoch gucken ob bald schwarzer Schnee fallen wird???


Verdacht SCHLANGENGIFTimpfschaden Frauenfeld 13.6.2022: Mann (39) im Restaurant: Herzprobleme+Atemnot - Zusammenbruch - Krankenwagen
Impfschäden Schweiz Coronaimpfung, [13.06.2022 22:52]
https://t.me/Impfschaden_Corona_Schweiz/46431
Eine neue Meldung:
Heute beim Mittagsessen in meinem Stammlokal hat sich folgendes zugetragen. Bei sonnigem Wetter ist vor dem Restaurant im Rasen ein junger Mann am Boden gesessen und teilweise abgelegen. Neben ihm eine Frau die sich zu ihm bückte, und so wie es schien, sich um ihn kümmerte. Die Serviertochter hat dies bemerkt und ist dann aus dem Lokal zu den beiden hin um sich zu erkundigen. Sie kam dann eilenden Schrittes wieder zurück und sagte mir, dass Sie die Ambulance kommen lassen müsse. Der Mann habe massive Herzprobleme und Atemnot verbunden mit Schmerzen. Er könne sich nicht mehr selber auf den Beinen halten. Ich fragte sie ob sie wisse wie alt er sei. Das konnte sie mir exakt mitteilen. Er ist 39 Jahre alt! So geschehen heute in Frauenfeld und ich war Augenzeuge.


Verdacht SCHLANGENGIFTimpfschaden Schweiz 13.6.2022: Frau (72, früher Darm-OP gehabt) 2x geimpft: nun Darmverschluss wegen Narben - Notfall mit OP - Thrombose, Lungenentzündung, Blutvergiftung - zweite OP
Impfschäden Schweiz Coronaimpfung, [13.06.2022 22:53]
https://t.me/Impfschaden_Corona_Schweiz/46432
Eine neue Meldung:
die Mutter (72) meiner Nachbarin wollte sich lange nicht impfen lassen. Hat es im Winter dann doch getan,doppelt. Vor gut einer Woche Darmverschluss,aufgrund Vernarbungen von früherer OP, Notfall OP. Danach ging es ihr immer schlechter. Zusatz Diagnosen: Thrombose (trotz Blutverdünner im Spital😔), Lungenentzündung, Blutvergiftung. Zweite OP wurde notwendig. Sie liegt nun auf der Intensivstation.


4R

Verdacht SCHLANGENGIFTimpfschaden 4R 13.6.2022: Diagnose bei Sat.1-Moderatorin Julia Leischik: Gürtelrose am Kopf und hinter dem Auge:
Sat.1-Moderatorin Julia Leischik liegt im Krankenhaus - "Den ganzen Tag an Infusionen"
https://www.derwesten.de/panorama/promi-tv/sat-1-julia-leischik-bitte-melde-dich-vermisst-id235591989.html
https://t.me/corona_impftod/32054

Normalerweise unterstützt die Kölnerin in ihrer Sendung „Julia Leischik sucht: Bitte melde dich“ auf Sat.1 andere Menschen und möchte ihnen was Gutes tun. Nun ist sie diejenige, die Unterstützung braucht. Ihre Diagnose: Gürtelrose am Kopf und hinter ihrem Auge.


It

SCHLANGENGIFTimpfschaden Amalfi (Italien) 13.6.2022: Wettschwimmen in Amalfi: Von 350 scheiden 13 mit medizinischen Problemen aus:
Aus dem Bericht der Küstenwache von Amalfi vom Wochenende: 13 von 350 Teilnehmern eines Schwimm-Wettbewerbs im Meer müssen wegen medizinischer Notfälle versorgt werden. Anschließend muss ein Seemann nach einem Herzinfarkt evakuiert werden
(orig. italiano: Salerno, malore in mare per 13 nuotatori impegnati in una gara di fondo: salvati da Capitaneria)
https://corrieredelmezzogiorno.corriere.it/napoli/cronaca/22_giugno_12/salerno-malore-mare-13-nuotatori-impegnati-una-gara-fondo-salvati-capitaneria-1bd0f9d0-ea20-11ec-a530-15b6a7edc4e4.shtml
https://t.me/corona_impftod/32003
L’intervento tra Vietri sul mare e Cetara, gli atleti erano in ipotermia






SCHLANGENGIFTimpfschaden 14.6.2022: Frau (72) 3x geimpft: immer krank, immer müde - Ergänzungsmittel nützen nichts
Siena, [14.06.2022 19:24]
https://t.me/Impfschaden_Corona_Schweiz/46458

Eine neue Meldung:
Ich bin gerade bei einer Kundin (geboostert, 72J.) Sie ist seit 3Monaten immer erkältet. Und immer müde….
Sie nimmt alles mögliche (Vitamine, D3 usw.) und es wird besser besser, im Gegenteil. Eben sagte sie, ich weiss nicht was mit mir los ist.



SCHLANGENGIFTimpfschaden ohne Ort 15.6.2022: Hand fault ab mit Gangrän
Hand fault ab bei Booster-Impfling. Ein gutes Zeichen dafür dass die Impfung wirkt denn alles ist besser als Korona zu kriegen!
https://t.me/Impfschaden_Corona_Schweiz/46470

SCHLANGENGIFTimpfschaden ohne Ort 15.6.2022: Hand
                  fault ab mit Gangrän   SCHLANGENGIFTimpfschaden ohne Ort 15.6.2022: Hand
                  fault ab mit Gangrän
SCHLANGENGIFTimpfschaden ohne Ort 15.6.2022: Hand fault ab mit Gangrän [25,26]


SCHLANGENGIFTimpfschaden Schweiz 15.6.2022: Mann (64) 2x geimpft: Prostatakrebs - Frau (50) 2x geimpft: Krebs+Hautausschlag - Frau 2x geimpft: aggressiv+deprimiert - Psychoterror von kriminellen Lehrpersonen gegen UNgeimpfte Kinder (!)
Impfschäden Schweiz Coronaimpfung, [15.06.2022 07:46]
https://t.me/Impfschaden_Corona_Schweiz/46485
Eine neue Meldung:
Leider muss ich euch eine größere Zahl neuster nicht deklarierter Pimpschäden melden! Bitte haltet sie in euerem wertvollen Zeitdokument fest!
1. Vater meines Partners, 64: Im 21 mindestens 2x 💉. Gestern OP wegen kurzfristig diagnostiziertem Prostatakebs...
2. Freundin, 16, berichtete mir von ihrer Familie: Mutter, 50, mindestens 2x💉, zum ersten mal krebspositiv für Gebärmutterkrebs. Dazu viele Haut-ausschläge im Gesicht seit der Pimperei, vorher nicht.
3. Deren andere Tochter, auch mindestens 2x 💉, grosse Wesensveränderung, müde, aggressiv, deprimiert.
4. Die 16-Jährige aber blieb stark, obwohl 3 Lehrer in der Oberstufe sie vehement zur Pimpung drängten, als der Bus im Dorf war! Dies mit den unterdrückenden Argumentationen, daß sie nur mit der Pimpung solidarisch sei. Sonst sei sie asozial!!! Es wurde so auf sie eingeredet, dass sie ihren Vater kommen ließ. Dieser drohte, seine jugendliche Tochter aus der Schule zu nehmen, wenn man sie nicht endlich in Ruhe liesse!

Shedding am Handy Schweiz 15.6.2022: MAC-Adressen im Zug
https://t.me/Impfschaden_Corona_Schweiz/46485 (Fortsetzung)
Wir waren im Zug, als sie mir dies erzählte. Ich berichtete ihr von den Mac-Adressen. Es war Nachmittags und nur weiter vorne ca.8 Leute. Der Bluetooth-scanner zeigte sofort 5 solche komischen Nummern an! Ich hatte noch den Screenshot von zuhause als Vergleich, wie sonst Geräte angezeigt werden. Danke für eure Arbeit. ❤️



SCHLANGENGIFTimpfschaden Schweiz 15.6.2022: 4.Impfung kommt teilweise sehr schlecht an - Frau 3x geimpft: heftig erkrankt
Impfschäden Schweiz Coronaimpfung, [15.06.2022 07:57]
https://t.me/Impfschaden_Corona_Schweiz/46503
Eine neue Meldung:
Bekannter in Lindau Ü60 erzählte letzte Woche er sei drei Mal 💉 und ihm mache das nichts aus - er mache auch jedes Jahr Grippe  💉 … ABER ob er eine vierte 💉 nimmt ist noch nicht sicher WEIL er EINIGE Bekannte hat welche die vierte sehr schlecht vertragen haben… was genau habe ich leider nicht nachgefragt… wollte nicht aufdringlich erscheinen

Freundin und Ehemann - aktuell erkrankt - eher heftig (nicht nur Schnupfen) beide 💉💉💉, booster war - ich glaube Mitte Dez.



SCHLANGENGIFTimpfschaden Schweiz 15.6.2022: Frau (61) 3x geimpft: Ödem und Verfärbung an 1 Fuss über Nacht - ist nun auf Blutverdünner
Impfschäden Schweiz Coronaimpfung, [15.06.2022 08:06]
https://t.me/Impfschaden_Corona_Schweiz/46512
Eine neue Meldung:
Eine gute Kollegin von mir 3 mal geimpft musste heute zum Arzt da sie einen geschwolenen verfärbten Fuss bekam,über Nacht
Diagnose eine ungefährliche Thrombose was immer das heisst.
Nun hat sie für einen Monat Blutverdünner bekommen.
Das könne vorkommen im Alter sie ist 61 und sehr aktiv unterwegs.
Impfung kein Thema…..



SCHLANGENGIFTimpfschaden SChweiz 15.6.2022: Grippe ohne Ende - Familie 3x geimpft hat "schweres Corona" - hinkende Menschen - kreideweisse Gesichter
Impfschäden Schweiz Coronaimpfung, [15.06.2022 08:15]
https://t.me/Impfschaden_Corona_Schweiz/46520
Eine neue Meldung:
Noch aus meiner Praxis:
Viele geimpfte sind im Moment mit Grippe flach. Klientin erzähle mir gerade, das ihre Nachbarsfamilie, alle 3fach 💉 alle schwer mit Corona erkrankt. Wir ungeeimpft, hatten zwar jetzt auch grad wieder husten und Sohn hatte 2 Tage fieber, aber alles halb so wild.
Wenn ich unterwegs bin, sehe ich viele humpelnde, kreideweisse Menschen. Denke manchmal ich bilde es mir ein, aber es fällt auch anderen auf.


SCHLANGENGIFTimpfschaden Schweiz 15.6.2022: Frau geimpft: hat Impfarm - Ärztin meint, viele Geimpfte haben Impfarm - 2 Männer geimpft: starkes Kopfweh wochenlang
Impfschäden Schweiz Coronaimpfung, [15.06.2022 08:21]
https://t.me/Impfschaden_Corona_Schweiz/46522
Eine neue Meldung:
Heute mit einer Freundin gesprochen. Sie hatte einen Impfarm der jetzt langsam besser wird. Die Ärztin sagte zu ihr, ja sie sind nicht die Einzige, sie habe mehrere solcher Patienten. Die Physio sagte, ja sie sind nicht die Erste ich habe auch solche Patienten 🙈🙈

Ihr Mann hatte nach der Impfung wochenlang starke Kopfschmerzen, ein Freund von ihnen genau das Selbe 😳



SCHLANGENGIFTimpfschaden 15.6.2022: Frau (52) 2-3x geimpft: Blinddarm+heftiges Corona+Hirnschaden Vergesslichkeit - Frau (25) 2x geimpft: Lungenentzündung, dann Nierenbeckenentzündung
Impfschäden Schweiz Coronaimpfung, [15.06.2022 11:09]
https://t.me/Impfschaden_Corona_Schweiz/46531
Eine neue Meldung:
Zu den Blinddarm…
Kollegin, 52 Jahre💉💉, wahrscheinlich auch geboostert….arbeitet mit Behinderten und die Impf-Equipe kam ins Heim…für Patienten und Personal im
Sommer 21, danach waren alle krank 😃🥲, wie sie mir erzählt hat…
Sie hatte dieses Jahr auch einen perforierten Blinddarm und natürlich auch Corona, aber heftig.
Mir fällt auf, dass sie extrem vergesslich ist, sogar meine Kinder haben es beobachtet….( vergisst die Geburtstage und Ostergeschenke…)

Gestern hat mir ein Bekannter gesagt, dass seine Freundin 25 ( beide 💉💉) eine schwere Nierenbeckenentzündung hat, vorher noch eine Pneumonie…

Frau (ca.40) 3x geimpft: immer müden+Herzschmerzen - Frau (50) UNgeimpft, Partner+Kinder geimpft: immer krank, immer müde - Shedding: Die Frau (ca.40) hat Nierenbeckenentzündung
https://t.me/Impfschaden_Corona_Schweiz/46531 (Fortsetzung)

Arbeitskollegin ( 💉💉💉, ca 40 )ist extrem müde und hat jetzt Schmerzen im Herzbereich, macht sich sorgen, hat kleine Kinder…
Andere Arbeitskollegin ( 50) , nicht geimpft aber Partner und Kinder ( 20) sind geimpft, ist immer krank, sehr müde und hat jetzt eine Nierenbeckenentzündung.., vorher noch nie, immer gesund…( wahrscheinlich Shedding)
Hätte noch viel zu schreiben…
Bleibt standhaft und gesund…


SCHLANGENGIFTimpfschaden Schweiz 15.6.2022: Frau (ca.45): Blinddarmentzündung - Frau (72)+Frau (62) 3x geimpft: Magen-Darmprobleme, immer Erbrechen+Durchfall
Impfschäden Schweiz Coronaimpfung, [15.06.2022 14:35]
https://t.me/Impfschaden_Corona_Schweiz/46535
Eine neue Meldung:
Zu Blinddarmentzündung. Blinddarmentzündung einer geimpften Frau, Mitte 40, ist mir auch bekannt. Dann noch eine Bekannte 72 und ihre Schwester 62. Beide geimpft, auch geboostert. Beide hatten jetzt über Wochen Magen-Darmprobleme. Die 72-jährige erzählte mir, so etwas habe sie noch nie in ihrem Leben gehabt, es hätte nicht aufgehört. Erbrechen, Durchfall, kaum was essen können. Die beiden Frauen wohnen übrigens nicht zusammen.

SCHLANGENGIFTimpfschaden Schweiz 15.6.2022: Frau (ca.52) 3x geimpft: Impfarm wochenlang - zieht sich noch die 3. Impfung rein: starke Krampfadern in beiden Beinen mit Schmerzen, OP geplant - auch UNgeimpfte leiden immer mehr
https://t.me/Impfschaden_Corona_Schweiz/46535 (Fortsetzung)
Dann noch Nachbarin, Anfang 50, 3-fach geimpft. Hatte nach der ersten Impfung Probleme mit dem Arm, über Wochen!!! Jetzt nach der dritten, plötzlich und unerwartet so stark Krampfadern in beiden Beinen mit Schmerzen, dass sie Spezialstrümpfe tragen muss und operieren. Ach, und eigentlich ist alles mittlerweile so offensichtlich, dass man es gar nicht mehr erzählen mag bzw. es häufen sich die "seltsamen Zwischenfälle". Es ist unheimlich geworden in meinem Umfeld. Nichts ist mehr wie es einmal war und mittlerweile glaube ich auch felsenfest an Shedding, denn auch den Ungeimpften geht es zum Teil sehr schlecht.


SCHLANGENGIFTimpfschaden Schweiz 15.6.2022: Bauchprobleme, Magenschmerzen
Impfschäden Schweiz Coronaimpfung, [15.06.2022 15:56]
https://t.me/Impfschaden_Corona_Schweiz/46537
Eine neue Meldung:
Zu 14.35; ich glaubte anfangs auch nicht an Shedding! Aber inzwischen sehe ich viel dazu bei mir und meinem Partner! Diese Bauchprobleme hat er auch! Noch nicht Blinddarm, aber Magenschmerzen. Das war schon immer eine Schwachstelle bei ihm (Säureblocker bei viel Jobstress). Ich denke, die individuellen Schwachstellen kommen nun stark zum Zuge?


SCHLANGENGIFTimpfschaden Schweiz 15.6.2022: Frau 3x geimpft: hatte Corona - nun Leberschaden - ist auf Chemo
Impfschäden Schweiz Coronaimpfung, [15.06.2022 16:52]
https://t.me/Impfschaden_Corona_Schweiz/46539
Eine neue Meldung:
Bekannte 3x 💉 & grobe Covid-Erkrankung hat nun wieder aktivierte Leberzirrhose (gem. ihr wegen dem Virus) und ist wieder im Chemoprogramm😔


SCHLANGENGIFTimpfschaden Schweiz 15.6.2022: Mann (59) 3x geimpft: Lungenentzündung - er beschimpfte UNgeimpfte als "Aluhut"
Impfschäden Schweiz Coronaimpfung, [15.06.2022 16:53]
https://t.me/Impfschaden_Corona_Schweiz/46542
Eine neue Meldung:
Meine langjährige Freundin und ihr Mann,  beide geboostert mit Pfizer mussten ihre Ferien anfangs Juni abbrechen.
Er 59 Jahre alt, hatte eine Lungenentzündung.
Ich habe ihr aus Freundlichkeit gute Besserung gewünscht.
Es fällt mir schwer solchen Leute die mich als Aluhutträger beschimpft haben zu bemitleiden.
Mittlerweile suchen sie alle Gründe um ihre Krankheiten zu rechtfertigen.
Sie wissen es ganz genau ,dass es an der Impfung liegt


SCHLANGENGIFTimpfschaden mit Spitaldesaster Schweiz 15.6.2022: Herz-Notfälle ohne Ende, Reanimationen, Aortawände gespalten und weich geworden (Aortadissektion), Herzmuskelentzündung - BAG verweigert Herzerkrankungs-Statistik seit Januar 2022

Impfschäden Schweiz Coronaimpfung, [15.06.2022 19:54]
https://t.me/Impfschaden_Corona_Schweiz/46567
[In reply to Impfschäden Schweiz Coronaimpfung]
Eine Meldung dazu:
Im Spital sehe und erlebe ich ungewöhnlich viele kardiologische Notfälle - Reanimationen auf Baustelle, beim Joggen, zu Hause -sowie Aortendissektionen und Herzmuskelentzündungen. Alter 18 - 65 sehr auffällig häufig. Es wird bis 2025 zur Volksinvaliditat kommen vorwiegend bei natürlich jenen ca.70 % die gentherapiert wurden.Auf der BAG Seite werden seit 2020 keine Zahlen zu Herzerkrankungen mehr publiziert - letzter Stand Herbst 2021. Aber man geht inzwischen von einer massiven Zunahme aus. Um die Bauern mache ich mir keine Sorgen.Jedenfalls die mit wachem naturverbundenen Geist. Siehe auch Trychler. Das sind unsere 'INdigenen' im europäischen Raum.😉Und ja mit der Digitalisierung und KI wird es vermehrt Robotereinsätze geben sowie Herr Volksmörder Schwab dies für uns Menschen andenkt. Aber ohne Strom keine Robots, kein Funktionieren digitaler Systeme. Ich mache mir keine Sorgen. Ich vertraue da ganz auf andere Energien.😉🙏




SCHLANGENGIFTimpfschaden bei SportlerInnen (sportlich)


SCHLANGENGIFTimpfschaden Kanton Zürich 15.6.2022: Anfälligkeit beim Sport - lange Läufe werden bei Temperaturen über 30 Grad nicht mehr durchgeführt
Impfschäden Schweiz Coronaimpfung, [15.06.2022 16:57]
https://t.me/Impfschaden_Corona_Schweiz/46543
Eine neue Meldung:
Nachricht von meiner Schwester 🤔 🤷‍♀️- noch nie gehört, dass ein Event deswegen abgesagt werden muss ? 🤷‍♀️
...der Rockand Hike vom nächsten Wochenende musste wegen der anstehenden Hitzewelle verschoben werden - die Ambulanzen rund um den Zürichsee könnten die zu erwartenden notwendigen Rettungseinsätze wegen körperlichen Beschwerden nicht abdecken🤪… schreiben  die Veranstalter😇...

Impfschäden Schweiz Coronaimpfung, [15.06.2022 19:33]
https://t.me/Impfschaden_Corona_Schweiz/46564
[In reply to Impfschäden Schweiz Coronaimpfung]
Man könnte die Veranstalter fragen welche Temperaturen sie im Sommer -auch August- erwarten und warum im fünftwärmsten Monat seit Wetteraufzeichnung am 8.07.2018 das Bootcamp in Bern stattfinden konnte ohne solch Alarmmeldung!?!!🤔🤨😏Die wissen ganz genau was los ist! SDAS - wegen Hitze - diese verdammten ImpfNW und schädenvertuscher! Alles eine geldgierige Einheitsschafbreimasse.Im August kommt dann die Sintflut - passt mal auf.


SCHLANGENGIFTimpfschaden bei Piloten und Crews


Airlines international 15.6.2022: SCHLANGENGIFTgeimpfte Piloten fliegen trotz Herzproblemen:
Jede Fluggesellschaft, die nicht alle ihre Piloten auf Herzprobleme untersucht, riskiert eine Katastrophe, die Hunderte von unschuldigen Menschenleben kosten wird.
(orig. Englisch: Any airline which isn't screening all its pilots for cardiac issues is risking a disaster that will cost hundreds of innocent lives)
https://stevekirsch.substack.com/p/any-airline-which-isnt-screening
https://t.me/oliverjanich/99185

Es könnte nicht deutlicher sein: Die Impfungen verursachen Herzprobleme. Das ist so offensichtlich, dass sogar die CDC es zugibt. Warum also untersuchen die Fluggesellschaften nicht alle ihre Piloten? Die Antwort wird Sie überraschen.
Denn wenn Sicherheit und Wohlbefinden für sie höchste Priorität hätten, würden sie jeden Piloten mit einem Herz-MRT, Troponin- und D-Dimer-Tests untersuchen.
Aber das werden sie nie tun, denn sie würden zu viele Probleme finden und müssten zu viele Piloten am Boden lassen, was ihre Einnahmen schmälern würde. Also werden sie stattdessen das Leben ihrer Flugbesatzung und ihrer Passagiere aufs Spiel setzen. Sie werden dafür bezahlen.

Deshalb wollen sie nicht einmal ein grundlegendes Screening mit D-Dimer- und Troponin-Werten durchführen. Weil sie wollen, dass Sie denken, dass sie sich darum kümmern, aber das tun sie wirklich nicht.





SCHLANGENGIFTimpfschaden (seit Dezember 2021 "postpandemische Belastungsstörung" oder "LongCovid" genannt)


Zahlen Magen-Darm-Probleme mit Blinddarmentzündung Schweiz 16.6.2022: ca. 20% nach 20
https://t.me/Impfschaden_Corona_Schweiz/46625
Impfschäden Schweiz Coronaimpfung, [16.06.2022 14:24]
Blinddarmentzündung
https://t.me/Impfschaden_Corona_Schweiz/46505
kann auch im Erwachsenenalter auftreten, war bei mir Jg. 1964 war die Blinddarm-OP ca. 2013 der Fall. Hängt vielleicht auch von der Ernährung oder sonstigen Faktoren ab.
Also da fehlt eine Statistik, wie viele Blinddarm-OPs ab 20 ablaufen, ich schätze 20%.




SCHLANGENGIFTimpfschaden weltweit 16.6.2022: Montagnier-Studie über Creutzfeldt-Jakob-Krankheit nach "Coronaimpfung" gelöscht - ist im Archiv weiter erreichbar:
ResearchGate löscht Studie mit Luc Montagnier über Creutzfeldt-Jakob-Erkrankungen nach Impfung
https://tkp.at/2022/06/16/researchgate-loescht-studie-mit-luc-montagnier-ueber-creutzfeldt-jakob-erkrankungen-nach-impfung/

Hier ist die Studie im Archiv:
https://web.archive.org/web/20220610073726/https://www.researchgate.net/publication/358661859_Towards_the_emergence_of_a_new_form_of_the_neurodegenerative_Creutzfeldt-Jakob_disease_Twenty_six_cases_of_CJD_declared_a_few_days_after_a_COVID-19_vaccine_Jab

16.6.2022:
Creutzfeld-Jakob nach COVID-19 Impfung: Die Belege werden zahlreicher
https://sciencefiles.org/2022/06/11/creutzfeld-jakob-nach-covid-19-impfung-die-belege-werden-zahlreicher/



Verdacht SCHLANGENGIFTimpfschaden Schweiz 16.6.2022: Frau (79) 3x Moderna geimpft: Vorhofflimmern - "plötzlicher Herztod"=neue Todesart in GB
Impfschäden Schweiz Coronaimpfung, [16.06.2022 10:50]
https://t.me/Impfschaden_Corona_Schweiz/46606
Eine neue Meldung:
Bei meiner Mutter, die vor ein paar Wochen beim Wandern über eine Felswand gestürzt ist, wird in den nächsten Tagen eine interne Kardioversion durchgeführt, sprich sie bekommt einen Elektroschock gegen Vorhofflimmern (Kammerflimmern). Sie ist 79 Jahre alt, dreimal mit Moderna gespritzt. Bisher hatte sie keine Herzprobleme, ihre Mutter wurde 95 Jahre alt, ihre beiden Schwestern sind 89 und 90 Jahre alt - niemand hatte jemals Herzprobleme in unserer Familie. Heute habe ich gehört, dass in Grossbritannien die extreme Zunahme des Sudden Arrhythmics Death Syndrom in den Mainstream-Medien ein Thema ist. SDC, Plötzlicher Herztod, wird wohl auch bei uns bald um sich greifen, und das nicht nur bei jungen Sportlern.


Verdacht SCHLANGENGIFTimpfschaden Schweiz 16.6.2022: Frau wahrsch. geimpft: Herzklopfen am Abend - Geimpfte gehen "bergab"
Impfschäden Schweiz Coronaimpfung, [16.06.2022 11:01]
https://t.me/Impfschaden_Corona_Schweiz/46608
Eine neue Meldung:
Meine Schwiegermutter klagt seid neustem über Herzklopfen am Abend wenn sie ins Bett geht. Ich finde das es bei vielen 💉 gesundheitlich bergab geht



SCHLANGENGIFTimpfschaden Schweiz 16.6.2022: Frau (87) 3x geimpft: Magen-Darmbeschwerden - viele Geimpfte haben Reizhusten
Impfschäden Schweiz Coronaimpfung, [16.06.2022 11:53]
https://t.me/Impfschaden_Corona_Schweiz/46612
Eine neue Meldung:
Schon wieder Magen/Darm! 🤔 Eben mit einer Frau telefoniert. 3 fach geimpft. 87. Topfit. Macht alles selbst, kocht für Enkelkinder, geht mit dem Hund raus. Impfungen habe sie gut überstanden. Null Problem. Aber jetzt plötzlich heftige Magen/Darmbeschwerden. 🤔 Extremer Reizhusten scheint auch weit verbreiten zu sein. 🤔


SCHLANGENGIFTimpfschaden Schweiz 16.6.2022: Geimpfte haben oft Reizhusten und wissen nicht, wie man das heilt - Impfnazi hat Reizhusten
Impfschäden Schweiz Coronaimpfung, [16.06.2022 13:10]
https://t.me/Impfschaden_Corona_Schweiz/46617
Eine neue Meldung:
Zum extremen Reizhusten kann ich nur sagen: ja, der ist wirklich weit verbreitet. Höre quasi jede Nacht, seit Wochen (Monaten?), wie meine beiden älteren Nachbarinnen Husten (um die 70 beide, die eine sicher geboostert, die andere sicher doppelt gespritzt). Seit einer guten Woche höre ich bei einer Nachbarin, ca 30, auf der anderen Strassenseite (übler Impfnazi, sorry dass ich das so sagen muss, gehe deshalb davon aus, gespritzt) dasselbe, klingt echt ganz übel!


Reizhusten Schweiz 16.6.2022: auch bei UNgeimpften
Impfschäden Schweiz Coronaimpfung, [16.06.2022 14:16]
https://t.me/Impfschaden_Corona_Schweiz/46623
Eine neue Meldung:
Wegen dem Reizhusten, unsere Söhne haben dass auch und sie sind nicht 💉 entweder Shedding oder etwas in der Luft. 🤷‍♀️


Verdacht SCHLANGENGIFTimpfschaden Schweiz 16.6.2022: Geimpfte sind häufig krank, eine Geimpfte heftig mit Ohrentzündung - eine Geimpfte mit Schilddrüsenproblem - Goldstücke müssen für kranke Geimpfte einspringen
Impfschäden Schweiz Coronaimpfung, [16.06.2022 14:55]
https://t.me/Impfschaden_Corona_Schweiz/46628
Eine neue Meldung:
Arbeitskolleginnen mehrfach gewarnt vor der Schlumpfung trotzdem gemacht. Seit dem immer wieder krank pause vielleicht ein zwei Wochen. Eine Arbeitskolleginn seit der Schlumpfung ununterbrochen heftig krank mit Enzündungen in Ohren... Eine weitere Arbeitskolleginn jetzt mit den Schilddrüsen Probleme. Alle wissen warum und würden es nicht mehr machen. Alle zwei mal geschlumpft. Mann sieht jetzt genau auf der Arbeit wer immer krank ist. Es sind die geschlumpften.

Verdacht SCHLANGENGIFTimpfschaden Schweiz 16.6.2022: Person 3x geimpft: hat nun MS-Schübe - schwarzer Zeh (Gangrän) - Venenentzündung im Bein
https://t.me/Impfschaden_Corona_Schweiz/46628 (Fortsetzung)
Wir dürfen jetzt für sie einspringen. Familienmitglied dreifach geschlumpt hat MS schlimme schübe seit Schlumpung schwarzer Zeh musste in die Reha jetzt eine Venenenzündung im Bein. Macht keine Verbindung.


Impfschäden Schweiz Coronaimpfung, [16.06.2022 18:05]
https://t.me/Impfschaden_Corona_Schweiz/46649
Eine neue Meldung:
Zu 14.55, scharzer Zeh: Blutverstopfung. Zeh muss wahrscheinlich amputiert werden. Faulungsprozess. Bin kein Arzt. Denke nur logisch. LG

Zu 14.55, Lungenembolie bei 27-jährigem Mann. Kann natürlich sein, aber sehr selten, daher unlogisch. Schätze Shedding infolge seines Jobs. LG


Impfschäden Schweiz Coronaimpfung, [16.06.2022 19:50]
https://t.me/Impfschaden_Corona_Schweiz/46654
Eine neue Meldung:
Zum Bericht Lungenembolie mit 27....
Kenne auch jemand war glaub ich 30jahre alt und hatte 3x eine Lungenembolie und ist verstorben, das war aber in der Zeit vor Corona! Es gibt schon immer mal wieder solche Fälle die nichts mit der mRNA Impfung zu tun haben, evtl. Mit anderen Impfungen, bei denen jeder glaubt, dass sie sicher seien!!



Verdacht SCHLANGENGIFTimpfschaden + Spitaldesaster Schweiz 16.6.2022: Gallensteine und Leberschäden nehmen zu - z.T. gigantische Steine bis 2cm Durchmesser - oft Darmprobleme mit Darmverschluss und Blinddarm - Diabetes, Herzrhythmusstörungen, Krebs
Siena, [16.06.2022 15:34]
https://t.me/Impfschaden_Corona_Schweiz/46630
Eine neue Meldung:

Hallo Siena 💐 zu den vermehrten Gallenblasen:
Ich kann das bestätigen. Ich arbeite im Aufwachraum und es hat viel mehr Patienten mit Gallensteinen und auch erhöhten Leberwerten. Auffallend ist, dass die Steine teilweise sicher 2cm Durchmesser haben 🙈
Auffallend ist auch, dass wir immer wieder Patienten mit Illeus/Subilleus haben (Darmverschluss) oder Blindarm.
Gehäuft kommt auch neuentdeckter Diabetes, Herzrhytmusstörungen oder Krebs hinzu
Ich habe noch nie so viel Kreislaufmedikamente (Noradrenalin) gebraucht wie seit den letzten 3 Monaten
Lieber Gruss


Verdacht SCHLANGENGIFTimpfschaden Schweiz 16.6.2022: Leute nach Herz-OP mit Bypass haben oft Thrombose am Bypass - neuer Herzinfarkt MINOCA mit Spasmen, ist wie Herz-Epilepsie - Ballondilation funktioniert wegen Thrombosen nicht mehr
Impfschäden Schweiz Coronaimpfung, [16.06.2022 15:40]
https://t.me/Impfschaden_Corona_Schweiz/46633
Eine neue Meldung:
[...]

Und noch eine Beobachtung - vermehrt brauchen Patienten nach herzchirurgischer Sanierung ,nach Operation also, eine weitere Herzkatheteruntersuchung weil die aufgesetzten Bypässe spastisch sind oder sofort zu thrombosieren . MINOCA ist eine neue weitere Form des Herzinfarkts, d.h. durch Gefässspasmen ausgelöster Herzinfarkt. Es wird also keine thrombotische Ursache gefunden. Also was derzeit auffällig viel an Epilepsien auftritt, passiert sozusagen auch an Zellen und Strukturen des Herzens.

Die Krankenkassenprämien steigen und es wird vermehrt Steuernachzahlungen geben weil die gentherapierten Patienten nunmehr mehrfach Behandlungen brauchen. Früher -Herzkatheteruntersuchung mit Ballondilation dank des grossartigen Prof.Grüntzig (siehe auch Artikel Tagesanzeiger) , keine Herzoperation notwendig. Im Artikel wird auch Steve Pascolo -mrnA 'Pionier' erwähnt-unfassbar diese Anbiederei.Heute - Herzkatheteruntersuchung mit Komplikationen dann herzchirurgischer Eingriff notwendig um dann nach der Operation eine weitere Komplikation mittels Herzkatheteruntersuchung zu evaluieren. Geldmaschine Spital. Irre!


Berichte über SCHLANGENGIFTimpfschäden 16.6.2022

Verdacht SCHLANGENGIFTimpfschaden Schweiz 16.6.2022: Frau (ca.40) hat Turbokrebs

https://t.me/Impfschaden_Corona_Schweiz/46640 (Fortsetzung)
Siena, [16.06.2022 16:47]
Eine Kollegin und Mutter von 4 Kinder (der älteste ist gerade mal 12 J.  ist unheilbar an Krebs erkrankt. Auch da hilft keine Chemo .....

Verdacht SCHLANGENGIFTimpfschaden Schweiz 16.6.2022: Viele haben Gallenblasenprobleme
https://t.me/Impfschaden_Corona_Schweiz/46640 (Fortsetzung)
Siena, [16.06.2022 16:47]
Gallenblasenprobleme gibt es viele, eine Kundin musste die Gallenblase entfernen lassen infolge Gallensandes.

Verdacht SCHLANGENGIFTimpfschaden Schweiz 16.6.2022: Beinschmerzen, dicke Krampfadern, Rückenprobleme
https://t.me/Impfschaden_Corona_Schweiz/46640 (Fortsetzung)
Siena, [16.06.2022 16:47]
Was ich au immer mehr höre, sind Klagen über Beinschmerzen und dicke Krampfadern und schwere Rückenleiden.

Ich denke, es liegt an uns, das Dunkle nicht zu akzeptieren, sondern mit lichtvollen Gedanken und Meditationen dagegen zu wirken 🙏🙏

Verdacht SCHLANGENGIFTimpfschaden Schweiz 16.6.2022: viele dicke Bäuche - viele weisse Menschen - viele Leute immer müde - sterben wie die Fliegen
https://t.me/Impfschaden_Corona_Schweiz/46640 (Fortsetzung)
Siena, [16.06.2022 16:47]
Über Monate habe ich mich dagegen gewehrt, zu glauben, dass, was jetzt abläuft wahr ist.  Ich versuchte mit derselben Ruhe, die ich immer hatte, durchs Leben zu kommen. Ich wusste, es gab immer schon Krebs, Herz- und und und -Probleme.
Doch was ganz neui ist, sind die vielen dicken Bäuchlein. Und was mir immer mehr auffält sind die vielen weissen Menschen. Sie sind anfangs voller Energie (wird der Körper durch die Spikes so angekurbelt? ).
Doch immer mehr Menschen sind vermehrt müde. Und mir fällt auch auf, dass diese Patienten schnell von ihren Leiden erlöst werden - nach kurzer Krankheit hat er/sie uns verlassen ( so steht es dann in der Todesanzeige )


Verdacht SCHLANGENGIFTimpfschaden Schweiz 16.6.2022: 3x Geimpfte: Magenentzündungen, Durchfall+Übelkeit - Meridianstörung kommt immer wieder
Siena, [16.06.2022 16:49]
https://t.me/Impfschaden_Corona_Schweiz/46641
[Forwarded from Pflegepersonal Schweiz für Aufklärung]
Eine neue Meldung:

Bezüglich Darm/ Magen; in meiner Naturheilpraxis häufen sich die Fälle von akuten Magenentzündungen. Durchfall und Übelkeit. Eine Klientin kann nichts mehr essen. Energetisch gesehen, haben alle eine Leber oder Gallenblasenmeridian Störung, welche sehr hartnäckig ist und immer wieder kommt! Alle geboostert… und das schon Ende 2021.


Verdacht SCHLANGENGIFT in der "Coronaimpfung" 16.6.2022

Inhaltsstoffe in der Schweiz 16.6.2022: Schlangengift z.B. beim Zahnarzt als Anästhetikum - könnte doch auch in der "Coronaimpfung" sein
Impfschäden Schweiz Coronaimpfung, [16.06.2022 17:13]
https://t.me/Impfschaden_Corona_Schweiz/46644
Eine neue Meldung:
Gerade was interessantes gehört: musste zum Zahnarzt ein kleines Loch boren. Ich mache das immer ohne Betäubung, so auch heute. Der Zahnarzt zu mir: das Anästhetikum besteht aus bzw. ist SCHLANGENGIFT. Kein Scherz! Das Zeug wird also ganz standardmässig in der Medizin verwendet. Warum also nicht auch in den Giftspritzen?


Impfschäden Schweiz Coronaimpfung, [16.06.2022 17:22]
https://t.me/Impfschaden_Corona_Schweiz/46645
[In reply to Impfschäden Schweiz Coronaimpfung]
Das würde ich jetzt gar nicht bezweifeln, aber am Ende ist es immer eine Frage der Menge (wie mit ALLEM).
Siehe auch: http://www.howbadismybatch.com/

17.6.2022: Wegen Schlangengift in "Coronaimpfungen": kann man heilen!
von Michael Palomino 17.6.2022

Wegen Schlangengift in "Coronaimpfungen"
https://t.me/Impfschaden_Corona_Schweiz/46644
Das ist alles belegt, sogar in den Patenten sind Elemente von Schlangengiften angegeben.
Wer die schweren Fälle überprüft, weiss genau: Schwere Coronaimpfung wirkt meist wie Schlangengift: Blut kaputt, Muskelschwäche, Muskellähmung, Herzschaden, Augenschaden usw. wie bei einem Opfertier einer Schlange eben!
Aber bei insgesamt 5 Milliarden Geimpften sind vielleicht 5 Millionen schwer verseucht - soll aber alles noch kommen!
Der TRICK dabei ist, dass das GEGENGIFT gegen Schlangengift die Leute HEILEN kann und die Ärzte das NICHT WISSEN. Es muss jede/r selbst die Initiative ergreifen und um das Gegengift bitten oder sich homöopathisch organisieren.
Michael Palomino - www.med-etc.com


Verdacht SCHLANGENGIFTimpfschaden Schweiz 16.6.2022: Immer mehr Magen-Darmprobleme - und viele schlanke Menschen haben aufgeblähten Bauch
Siena, [16.06.2022 20:56]
https://t.me/Impfschaden_Corona_Schweiz/46655
Eine neue Meldung:

Zu 16.49
Kann ich nur bestätigen. Die Magen - und Darmprobleme haben stark zugenommen und viele schlanke Menschen haben innert wenugen Monaten einen eigenartigen Bauch angelegt.
Ich unterrichte Tanz und Fitness und stelle immer wieder fest: solche komische Bäuche gab es vorher nicht ....


Verdacht SCHLANGENGIFTimpfschaden Schweiz 16.6.2022: Frau (45) 2x geimpft: oft müde, lustlos, friert schnell, Schwächeanfall, Zittern, Muskelschwäche, Herzrhythmusstörungen immer wieder
Impfschäden Schweiz Coronaimpfung, [16.06.2022 21:37]
https://t.me/Impfschaden_Corona_Schweiz/46658
Eine neue Meldung:
Habe heute mit einer Freundin (45 jahre, 2x 💉 💉) über die Impfung gesprochen. Ich hatte sie zuvor nie getraut fragen, ob sie Nebenwirkungen hatte.

Sie ist jedoch für mich merklich weniger fit: Sie arbeitet körperlich (mit Tieren) und war immer topfit und energetisch, hat sich nie über arbeit beklagt, bei wind und wetter motiviert draussen mit dünner Jacke. Nach der Impfung war sie oft müde & hatte keine Lust und frohr schnell etc.

Sie hat mir gesagt, einige Wochen nach Impfung hatte sie einen „Schwächeanfall“, gezittert, konnte nicht stehen etc. Hatte sie nie zuvor und bekam Angst. Bekam auch Herzrythmusstörung. Diese sind leider geblieben (sporadisch, jetzt immer weniger). Sie hat sich extra eine Pulsmesser uhr zugetan, weil sie es festhalten möchte wie ihr Herz spinnt.

Den Booster wollte sie auf keinen Fall & wird sich auch sonst nicht mehr impfen lassen, egal was für Einschränkungen kommen.


17.6.2022: Heilmittel Anti-Schlangengift (Gegengift)
von Michael Palomino, 17.6.2022
Das Krankheitsbild von Frau (45) 2x geimpft: oft müde, lustlos, friert schnell, Schwächeanfall, Zittern, Muskelschwäche, Herzrhythmusstörungen immer wieder
Impfschäden Schweiz Coronaimpfung, [16.06.2022 21:37]
https://t.me/Impfschaden_Corona_Schweiz/46658
passt genau auf Schlangengift - also man nimmt ein Gegengift der Pharma oder homöopathisch (Lachesis, Maja maja, Vipera berus C30 etc.) und wird schnell geheilt.
Die Analyse der Giftschlangen sind hier: http://www.med-etc.com/med-merkblatt-index.html
Homöopathische Anwendung von Schlangengiften:
Schlangengift der Deutschen Kreuzotter (Vipera berus)    
Schlangengift der Aspisvipper (Vipera redi / Vipera aspic / Vipera aspis)  
Schlangengift der indischen Kobra (Naja tripudians, Naja naja) 
Schlangengift der Grubenotter in "Amerika" (Cenchris) 
Schlangengift der Buschmeisterschlange (Lachesis muta)


Verdacht SCHLANGENGIFTimpfschaden Schweiz 16.6.2022: Darmprobleme bei Geimpften immer mehr, mit Schmerzen während oder nach dem Essen - geschwollener Bauch mit Magersucht - auch bei Mädchen (5) 2x geimpft: geschwollener Bauch
Impfschäden Schweiz Coronaimpfung, [16.06.2022 21:39]
https://t.me/Impfschaden_Corona_Schweiz/46659
Eine neue Meldung:
Bauch Darm Problemen nach 💉 beobachte ich auf überall in meinem Kreis und Arbeitsplatz mit Kollegen. Sie haben Beschwerden dass sie schmerzen haben nach dem Essen oder während… und geschwollene Bauch und sie sind dünne Leute. Das gleiche mit einem 5 Jahren alt Mädchen die 💉💉 moderna hat. Sie hat grosse Bauch bekommen in letzten Monaten und es ist nur das Bauch… Mama zwingt sie Diät zu machen… ich denke auch bei ihre ist geschwollene Bauch wie bei Kollegen…

Meinung von Kollege aus Wien (17.6.2022): Luftstau durch Verstopfung der Lunge mit Maskenfilz
von Kollege Wien, 17.6.2022

Durch Verstopfung der Lungesbläschen kann der Sauerstoff durch die Lunge nicht abgeatmet werden, und sammelt sich in Gewebe an.. Das könnte die Erklärung sein..  Prävention = Entlüftung
Ein Krampf kann die Poren verengen,  und der Filz durch Masken diese zusätzlich verstopfen..
Die Darmleitungen sind angeblich luftdurchlässig
Kommt der Maskenfilz mit dem Speichel teils in die Speiseröhre, ist nicht bekannt, ob das verdaut wird, wobei alles durch den Darm wieder hinaus wandert...Das verursacht jedenfalls  unnatürliche Prozesse
Krampf = Organe ziehen sich zusammen, was ebenfalls zu unbekannten Nebenwirkungen führen kann..
Am besten die Normalität so schnell wie möglich wieder herstellen...Dann braucht man sich nicht über deren Unwissenschaft Gedanken machen..
Beweisgrundlage: Wasche 50 FFP2 Masken in der Waschmaschine... Gib sie danach in den Wäschetrockner .. Überprüfe das Flusensieb.. Dann hat man den Filz in Reinkultur... Die Bewegungen im Wäschetrockner simulieren im allgemeinen in Zeitraffa  die Bewegung der Masken auf der Fresse.. Dann weiss man, dass sich Filz löst, wobei dies nur geringfügig passiert, jedoch täglich im Arbeitsalltag nun rund 2 Jahrezum Covid-Verordnungswahn
In Kombination mit Impfungen / Krämpfe usw. ein tödliches Unterfangen..


It

Konzert in Rom 15.6.2022: Publikum von Vasco Rossi mit SCHLANGENGIFTimpfung kollabiert: 300 Leute behandelt, 16 im Spital - nun wird der Sonne, Drogen und Alkohol die Schuld zugeschoben:
Vasco Rossi, boom di malori al concerto del Circo Massimo: 300 persone soccorse e 16 ricoveri
https://www.leggo.it/italia-roma/vasco_rossi_malori_ricoveri_concerto_circo_massimo_oggi_12_giugno_2022-6749011.html
https://t.me/corona_impftod/32068

Sage und schreibe 300 medizinische Notfälle beim Konzert von Vasco Rossi im römischen Circus Maximus. 16 Menschen mussten in die Klinik transportiert werden. Sonne, Drogen, Alkohol sind schuld, nicht die Injektionen.

Der Artikel (orig. italiano):

“Una splendida giornata” per i settantamila spettatori presenti a Roma al concerto di Vasco Rossi al Circo Massimo. Ma non per tutti: per 300 spettatori, le ore di attesa sotto al sole, in alcuni casi isolati l'abuso di alcol e di droga, hanno trasformato l'evento in un girone infernale. E' il bollettino di “guerra” che si è registrato venerdì, durante la prima delle due performance musicali (sabato si bissa) della rockstar originaria della provincia di Modena.
Le ore di attesa sotto al sole, in alcuni casi l'abuso di alcol e di droga, hanno rovinato la festa a oltre 300 persone

VASCO ROSSI AL CIRCO MASSIMO: BOOM DI MALORI

Il servizio di protezione sanitaria del concerto di Vasco, ha prestato soccorso ai pazienti che avevano accusato malori dovuti a colpi di calore, attacchi di panico o intossicazione e coma etilico, uso di droga e traumi da caduta. Tutto si è svolto sernza problemi invece, dal punto di vista della gestione dell'ordine pubblico coordinato dall'ufficio di gabinetto della Questura di Roma.

A differenza del concertone del primo maggio, questa volta non c'è stato alcun sequestro di sostanze stupefacenti. Anche se non erano pochi i personaggi che nel pre-concerto si aggiravano intorno al Circo Massimo.





Zahlen Magen-Darm-Probleme mit Blinddarmentzündung Schweiz 16.6.2022: ca. 20% nach 20
https://t.me/Impfschaden_Corona_Schweiz/46625
Impfschäden Schweiz Coronaimpfung, [16.06.2022 14:24]
Blinddarmentzündung
https://t.me/Impfschaden_Corona_Schweiz/46505
kann auch im Erwachsenenalter auftreten, war bei mir Jg. 1964 war die Blinddarm-OP ca. 2013 der Fall. Hängt vielleicht auch von der Ernährung oder sonstigen Faktoren ab.
Also da fehlt eine Statistik, wie viele Blinddarm-OPs ab 20 ablaufen, ich schätze 20%.




SCHLANGENGIFTimpfschaden weltweit 16.6.2022: Montagnier-Studie über Creutzfeldt-Jakob-Krankheit nach "Coronaimpfung" gelöscht - ist im Archiv weiter erreichbar:
ResearchGate löscht Studie mit Luc Montagnier über Creutzfeldt-Jakob-Erkrankungen nach Impfung
https://tkp.at/2022/06/16/researchgate-loescht-studie-mit-luc-montagnier-ueber-creutzfeldt-jakob-erkrankungen-nach-impfung/

Hier ist die Studie im Archiv:
https://web.archive.org/web/20220610073726/https://www.researchgate.net/publication/358661859_Towards_the_emergence_of_a_new_form_of_the_neurodegenerative_Creutzfeldt-Jakob_disease_Twenty_six_cases_of_CJD_declared_a_few_days_after_a_COVID-19_vaccine_Jab

16.6.2022:
Creutzfeld-Jakob nach COVID-19 Impfung: Die Belege werden zahlreicher
https://sciencefiles.org/2022/06/11/creutzfeld-jakob-nach-covid-19-impfung-die-belege-werden-zahlreicher/



Verdacht SCHLANGENGIFTimpfschaden Schweiz 16.6.2022: Frau (79) 3x Moderna geimpft: Vorhofflimmern - "plötzlicher Herztod"=neue Todesart in GB
Impfschäden Schweiz Coronaimpfung, [16.06.2022 10:50]
https://t.me/Impfschaden_Corona_Schweiz/46606
Eine neue Meldung:
Bei meiner Mutter, die vor ein paar Wochen beim Wandern über eine Felswand gestürzt ist, wird in den nächsten Tagen eine interne Kardioversion durchgeführt, sprich sie bekommt einen Elektroschock gegen Vorhofflimmern (Kammerflimmern). Sie ist 79 Jahre alt, dreimal mit Moderna gespritzt. Bisher hatte sie keine Herzprobleme, ihre Mutter wurde 95 Jahre alt, ihre beiden Schwestern sind 89 und 90 Jahre alt - niemand hatte jemals Herzprobleme in unserer Familie. Heute habe ich gehört, dass in Grossbritannien die extreme Zunahme des Sudden Arrhythmics Death Syndrom in den Mainstream-Medien ein Thema ist. SDC, Plötzlicher Herztod, wird wohl auch bei uns bald um sich greifen, und das nicht nur bei jungen Sportlern.


Verdacht SCHLANGENGIFTimpfschaden Schweiz 16.6.2022: Frau wahrsch. geimpft: Herzklopfen am Abend - Geimpfte gehen "bergab"
Impfschäden Schweiz Coronaimpfung, [16.06.2022 11:01]
https://t.me/Impfschaden_Corona_Schweiz/46608
Eine neue Meldung:
Meine Schwiegermutter klagt seid neustem über Herzklopfen am Abend wenn sie ins Bett geht. Ich finde das es bei vielen 💉 gesundheitlich bergab geht



SCHLANGENGIFTimpfschaden Schweiz 16.6.2022: Frau (87) 3x geimpft: Magen-Darmbeschwerden - viele Geimpfte haben Reizhusten
Impfschäden Schweiz Coronaimpfung, [16.06.2022 11:53]
https://t.me/Impfschaden_Corona_Schweiz/46612
Eine neue Meldung:
Schon wieder Magen/Darm! 🤔 Eben mit einer Frau telefoniert. 3 fach geimpft. 87. Topfit. Macht alles selbst, kocht für Enkelkinder, geht mit dem Hund raus. Impfungen habe sie gut überstanden. Null Problem. Aber jetzt plötzlich heftige Magen/Darmbeschwerden. 🤔 Extremer Reizhusten scheint auch weit verbreiten zu sein. 🤔


SCHLANGENGIFTimpfschaden Schweiz 16.6.2022: Geimpfte haben oft Reizhusten und wissen nicht, wie man das heilt - Impfnazi hat Reizhusten
Impfschäden Schweiz Coronaimpfung, [16.06.2022 13:10]
https://t.me/Impfschaden_Corona_Schweiz/46617
Eine neue Meldung:
Zum extremen Reizhusten kann ich nur sagen: ja, der ist wirklich weit verbreitet. Höre quasi jede Nacht, seit Wochen (Monaten?), wie meine beiden älteren Nachbarinnen Husten (um die 70 beide, die eine sicher geboostert, die andere sicher doppelt gespritzt). Seit einer guten Woche höre ich bei einer Nachbarin, ca 30, auf der anderen Strassenseite (übler Impfnazi, sorry dass ich das so sagen muss, gehe deshalb davon aus, gespritzt) dasselbe, klingt echt ganz übel!


Reizhusten Schweiz 16.6.2022: auch bei UNgeimpften
Impfschäden Schweiz Coronaimpfung, [16.06.2022 14:16]
https://t.me/Impfschaden_Corona_Schweiz/46623
Eine neue Meldung:
Wegen dem Reizhusten, unsere Söhne haben dass auch und sie sind nicht 💉 entweder Shedding oder etwas in der Luft. 🤷‍♀️


Verdacht SCHLANGENGIFTimpfschaden Schweiz 16.6.2022: Geimpfte sind häufig krank, eine Geimpfte heftig mit Ohrentzündung - eine Geimpfte mit Schilddrüsenproblem - Goldstücke müssen für kranke Geimpfte einspringen
Impfschäden Schweiz Coronaimpfung, [16.06.2022 14:55]
https://t.me/Impfschaden_Corona_Schweiz/46628
Eine neue Meldung:
Arbeitskolleginnen mehrfach gewarnt vor der Schlumpfung trotzdem gemacht. Seit dem immer wieder krank pause vielleicht ein zwei Wochen. Eine Arbeitskolleginn seit der Schlumpfung ununterbrochen heftig krank mit Enzündungen in Ohren... Eine weitere Arbeitskolleginn jetzt mit den Schilddrüsen Probleme. Alle wissen warum und würden es nicht mehr machen. Alle zwei mal geschlumpft. Mann sieht jetzt genau auf der Arbeit wer immer krank ist. Es sind die geschlumpften.

Verdacht SCHLANGENGIFTimpfschaden Schweiz 16.6.2022: Person 3x geimpft: hat nun MS-Schübe - schwarzer Zeh (Gangrän) - Venenentzündung im Bein
https://t.me/Impfschaden_Corona_Schweiz/46628 (Fortsetzung)
Wir dürfen jetzt für sie einspringen. Familienmitglied dreifach geschlumpt hat MS schlimme schübe seit Schlumpung schwarzer Zeh musste in die Reha jetzt eine Venenenzündung im Bein. Macht keine Verbindung.


Impfschäden Schweiz Coronaimpfung, [16.06.2022 18:05]
https://t.me/Impfschaden_Corona_Schweiz/46649
Eine neue Meldung:
Zu 14.55, scharzer Zeh: Blutverstopfung. Zeh muss wahrscheinlich amputiert werden. Faulungsprozess. Bin kein Arzt. Denke nur logisch. LG

Zu 14.55, Lungenembolie bei 27-jährigem Mann. Kann natürlich sein, aber sehr selten, daher unlogisch. Schätze Shedding infolge seines Jobs. LG


Impfschäden Schweiz Coronaimpfung, [16.06.2022 19:50]
https://t.me/Impfschaden_Corona_Schweiz/46654
Eine neue Meldung:
Zum Bericht Lungenembolie mit 27....
Kenne auch jemand war glaub ich 30jahre alt und hatte 3x eine Lungenembolie und ist verstorben, das war aber in der Zeit vor Corona! Es gibt schon immer mal wieder solche Fälle die nichts mit der mRNA Impfung zu tun haben, evtl. Mit anderen Impfungen, bei denen jeder glaubt, dass sie sicher seien!!



Verdacht SCHLANGENGIFTimpfschaden + Spitaldesaster Schweiz 16.6.2022: Gallensteine und Leberschäden nehmen zu - z.T. gigantische Steine bis 2cm Durchmesser - oft Darmprobleme mit Darmverschluss und Blinddarm - Diabetes, Herzrhythmusstörungen, Krebs
Siena, [16.06.2022 15:34]
https://t.me/Impfschaden_Corona_Schweiz/46630
Eine neue Meldung:

Hallo Siena 💐 zu den vermehrten Gallenblasen:
Ich kann das bestätigen. Ich arbeite im Aufwachraum und es hat viel mehr Patienten mit Gallensteinen und auch erhöhten Leberwerten. Auffallend ist, dass die Steine teilweise sicher 2cm Durchmesser haben 🙈
Auffallend ist auch, dass wir immer wieder Patienten mit Illeus/Subilleus haben (Darmverschluss) oder Blindarm.
Gehäuft kommt auch neuentdeckter Diabetes, Herzrhytmusstörungen oder Krebs hinzu
Ich habe noch nie so viel Kreislaufmedikamente (Noradrenalin) gebraucht wie seit den letzten 3 Monaten
Lieber Gruss


Verdacht SCHLANGENGIFTimpfschaden Schweiz 16.6.2022: Leute nach Herz-OP mit Bypass haben oft Thrombose am Bypass - neuer Herzinfarkt MINOCA mit Spasmen, ist wie Herz-Epilepsie - Ballondilation funktioniert wegen Thrombosen nicht mehr
Impfschäden Schweiz Coronaimpfung, [16.06.2022 15:40]
https://t.me/Impfschaden_Corona_Schweiz/46633
Eine neue Meldung:
[...]

Und noch eine Beobachtung - vermehrt brauchen Patienten nach herzchirurgischer Sanierung ,nach Operation also, eine weitere Herzkatheteruntersuchung weil die aufgesetzten Bypässe spastisch sind oder sofort zu thrombosieren . MINOCA ist eine neue weitere Form des Herzinfarkts, d.h. durch Gefässspasmen ausgelöster Herzinfarkt. Es wird also keine thrombotische Ursache gefunden. Also was derzeit auffällig viel an Epilepsien auftritt, passiert sozusagen auch an Zellen und Strukturen des Herzens.

Die Krankenkassenprämien steigen und es wird vermehrt Steuernachzahlungen geben weil die gentherapierten Patienten nunmehr mehrfach Behandlungen brauchen. Früher -Herzkatheteruntersuchung mit Ballondilation dank des grossartigen Prof.Grüntzig (siehe auch Artikel Tagesanzeiger) , keine Herzoperation notwendig. Im Artikel wird auch Steve Pascolo -mrnA 'Pionier' erwähnt-unfassbar diese Anbiederei.Heute - Herzkatheteruntersuchung mit Komplikationen dann herzchirurgischer Eingriff notwendig um dann nach der Operation eine weitere Komplikation mittels Herzkatheteruntersuchung zu evaluieren. Geldmaschine Spital. Irre!


Berichte über SCHLANGENGIFTimpfschäden 16.6.2022

Verdacht SCHLANGENGIFTimpfschaden Schweiz 16.6.2022: Frau (ca.40) hat Turbokrebs

https://t.me/Impfschaden_Corona_Schweiz/46640 (Fortsetzung)
Siena, [16.06.2022 16:47]
Eine Kollegin und Mutter von 4 Kinder (der älteste ist gerade mal 12 J.  ist unheilbar an Krebs erkrankt. Auch da hilft keine Chemo .....

Verdacht SCHLANGENGIFTimpfschaden Schweiz 16.6.2022: Viele haben Gallenblasenprobleme
https://t.me/Impfschaden_Corona_Schweiz/46640 (Fortsetzung)
Siena, [16.06.2022 16:47]
Gallenblasenprobleme gibt es viele, eine Kundin musste die Gallenblase entfernen lassen infolge Gallensandes.

Verdacht SCHLANGENGIFTimpfschaden Schweiz 16.6.2022: Beinschmerzen, dicke Krampfadern, Rückenprobleme
https://t.me/Impfschaden_Corona_Schweiz/46640 (Fortsetzung)
Siena, [16.06.2022 16:47]
Was ich au immer mehr höre, sind Klagen über Beinschmerzen und dicke Krampfadern und schwere Rückenleiden.

Ich denke, es liegt an uns, das Dunkle nicht zu akzeptieren, sondern mit lichtvollen Gedanken und Meditationen dagegen zu wirken 🙏🙏

Verdacht SCHLANGENGIFTimpfschaden Schweiz 16.6.2022: viele dicke Bäuche - viele weisse Menschen - viele Leute immer müde - sterben wie die Fliegen
https://t.me/Impfschaden_Corona_Schweiz/46640 (Fortsetzung)
Siena, [16.06.2022 16:47]
Über Monate habe ich mich dagegen gewehrt, zu glauben, dass, was jetzt abläuft wahr ist.  Ich versuchte mit derselben Ruhe, die ich immer hatte, durchs Leben zu kommen. Ich wusste, es gab immer schon Krebs, Herz- und und und -Probleme.
Doch was ganz neui ist, sind die vielen dicken Bäuchlein. Und was mir immer mehr auffält sind die vielen weissen Menschen. Sie sind anfangs voller Energie (wird der Körper durch die Spikes so angekurbelt? ).
Doch immer mehr Menschen sind vermehrt müde. Und mir fällt auch auf, dass diese Patienten schnell von ihren Leiden erlöst werden - nach kurzer Krankheit hat er/sie uns verlassen ( so steht es dann in der Todesanzeige )


Verdacht SCHLANGENGIFTimpfschaden Schweiz 16.6.2022: 3x Geimpfte: Magenentzündungen, Durchfall+Übelkeit - Meridianstörung kommt immer wieder
Siena, [16.06.2022 16:49]
https://t.me/Impfschaden_Corona_Schweiz/46641
[Forwarded from Pflegepersonal Schweiz für Aufklärung]
Eine neue Meldung:

Bezüglich Darm/ Magen; in meiner Naturheilpraxis häufen sich die Fälle von akuten Magenentzündungen. Durchfall und Übelkeit. Eine Klientin kann nichts mehr essen. Energetisch gesehen, haben alle eine Leber oder Gallenblasenmeridian Störung, welche sehr hartnäckig ist und immer wieder kommt! Alle geboostert… und das schon Ende 2021.


Verdacht SCHLANGENGIFT in der "Coronaimpfung" 16.6.2022

Inhaltsstoffe in der Schweiz 16.6.2022: Schlangengift z.B. beim Zahnarzt als Anästhetikum - könnte doch auch in der "Coronaimpfung" sein
Impfschäden Schweiz Coronaimpfung, [16.06.2022 17:13]
https://t.me/Impfschaden_Corona_Schweiz/46644
Eine neue Meldung:
Gerade was interessantes gehört: musste zum Zahnarzt ein kleines Loch boren. Ich mache das immer ohne Betäubung, so auch heute. Der Zahnarzt zu mir: das Anästhetikum besteht aus bzw. ist SCHLANGENGIFT. Kein Scherz! Das Zeug wird also ganz standardmässig in der Medizin verwendet. Warum also nicht auch in den Giftspritzen?


Impfschäden Schweiz Coronaimpfung, [16.06.2022 17:22]
https://t.me/Impfschaden_Corona_Schweiz/46645
[In reply to Impfschäden Schweiz Coronaimpfung]
Das würde ich jetzt gar nicht bezweifeln, aber am Ende ist es immer eine Frage der Menge (wie mit ALLEM).
Siehe auch: http://www.howbadismybatch.com/

17.6.2022: Wegen Schlangengift in "Coronaimpfungen": kann man heilen!
von Michael Palomino 17.6.2022

Wegen Schlangengift in "Coronaimpfungen"
https://t.me/Impfschaden_Corona_Schweiz/46644
Das ist alles belegt, sogar in den Patenten sind Elemente von Schlangengiften angegeben.
Wer die schweren Fälle überprüft, weiss genau: Schwere Coronaimpfung wirkt meist wie Schlangengift: Blut kaputt, Muskelschwäche, Muskellähmung, Herzschaden, Augenschaden usw. wie bei einem Opfertier einer Schlange eben!
Aber bei insgesamt 5 Milliarden Geimpften sind vielleicht 5 Millionen schwer verseucht - soll aber alles noch kommen!
Der TRICK dabei ist, dass das GEGENGIFT gegen Schlangengift die Leute HEILEN kann und die Ärzte das NICHT WISSEN. Es muss jede/r selbst die Initiative ergreifen und um das Gegengift bitten oder sich homöopathisch organisieren.
Michael Palomino - www.med-etc.com


Verdacht SCHLANGENGIFTimpfschaden Schweiz 16.6.2022: Immer mehr Magen-Darmprobleme - und viele schlanke Menschen haben aufgeblähten Bauch
Siena, [16.06.2022 20:56]
https://t.me/Impfschaden_Corona_Schweiz/46655
Eine neue Meldung:

Zu 16.49
Kann ich nur bestätigen. Die Magen - und Darmprobleme haben stark zugenommen und viele schlanke Menschen haben innert wenugen Monaten einen eigenartigen Bauch angelegt.
Ich unterrichte Tanz und Fitness und stelle immer wieder fest: solche komische Bäuche gab es vorher nicht ....


Verdacht SCHLANGENGIFTimpfschaden Schweiz 16.6.2022: Frau (45) 2x geimpft: oft müde, lustlos, friert schnell, Schwächeanfall, Zittern, Muskelschwäche, Herzrhythmusstörungen immer wieder
Impfschäden Schweiz Coronaimpfung, [16.06.2022 21:37]
https://t.me/Impfschaden_Corona_Schweiz/46658
Eine neue Meldung:
Habe heute mit einer Freundin (45 jahre, 2x 💉 💉) über die Impfung gesprochen. Ich hatte sie zuvor nie getraut fragen, ob sie Nebenwirkungen hatte.

Sie ist jedoch für mich merklich weniger fit: Sie arbeitet körperlich (mit Tieren) und war immer topfit und energetisch, hat sich nie über arbeit beklagt, bei wind und wetter motiviert draussen mit dünner Jacke. Nach der Impfung war sie oft müde & hatte keine Lust und frohr schnell etc.

Sie hat mir gesagt, einige Wochen nach Impfung hatte sie einen „Schwächeanfall“, gezittert, konnte nicht stehen etc. Hatte sie nie zuvor und bekam Angst. Bekam auch Herzrythmusstörung. Diese sind leider geblieben (sporadisch, jetzt immer weniger). Sie hat sich extra eine Pulsmesser uhr zugetan, weil sie es festhalten möchte wie ihr Herz spinnt.

Den Booster wollte sie auf keinen Fall & wird sich auch sonst nicht mehr impfen lassen, egal was für Einschränkungen kommen.


17.6.2022: Heilmittel Anti-Schlangengift (Gegengift)
von Michael Palomino, 17.6.2022
Das Krankheitsbild von Frau (45) 2x geimpft: oft müde, lustlos, friert schnell, Schwächeanfall, Zittern, Muskelschwäche, Herzrhythmusstörungen immer wieder
Impfschäden Schweiz Coronaimpfung, [16.06.2022 21:37]
https://t.me/Impfschaden_Corona_Schweiz/46658
passt genau auf Schlangengift - also man nimmt ein Gegengift der Pharma oder homöopathisch (Lachesis, Maja maja, Vipera berus C30 etc.) und wird schnell geheilt.
Die Analyse der Giftschlangen sind hier: http://www.med-etc.com/med-merkblatt-index.html
Homöopathische Anwendung von Schlangengiften:
Schlangengift der Deutschen Kreuzotter (Vipera berus)    
Schlangengift der Aspisvipper (Vipera redi / Vipera aspic / Vipera aspis)  
Schlangengift der indischen Kobra (Naja tripudians, Naja naja) 
Schlangengift der Grubenotter in "Amerika" (Cenchris) 
Schlangengift der Buschmeisterschlange (Lachesis muta)


Verdacht SCHLANGENGIFTimpfschaden Schweiz 16.6.2022: Darmprobleme bei Geimpften immer mehr, mit Schmerzen während oder nach dem Essen - geschwollener Bauch mit Magersucht - auch bei Mädchen (5) 2x geimpft: geschwollener Bauch
Impfschäden Schweiz Coronaimpfung, [16.06.2022 21:39]
https://t.me/Impfschaden_Corona_Schweiz/46659
Eine neue Meldung:
Bauch Darm Problemen nach 💉 beobachte ich auf überall in meinem Kreis und Arbeitsplatz mit Kollegen. Sie haben Beschwerden dass sie schmerzen haben nach dem Essen oder während… und geschwollene Bauch und sie sind dünne Leute. Das gleiche mit einem 5 Jahren alt Mädchen die 💉💉 moderna hat. Sie hat grosse Bauch bekommen in letzten Monaten und es ist nur das Bauch… Mama zwingt sie Diät zu machen… ich denke auch bei ihre ist geschwollene Bauch wie bei Kollegen…

Meinung von Kollege aus Wien (17.6.2022): Luftstau durch Verstopfung der Lunge mit Maskenfilz
von Kollege Wien, 17.6.2022

Durch Verstopfung der Lungesbläschen kann der Sauerstoff durch die Lunge nicht abgeatmet werden, und sammelt sich in Gewebe an.. Das könnte die Erklärung sein..  Prävention = Entlüftung
Ein Krampf kann die Poren verengen,  und der Filz durch Masken diese zusätzlich verstopfen..
Die Darmleitungen sind angeblich luftdurchlässig
Kommt der Maskenfilz mit dem Speichel teils in die Speiseröhre, ist nicht bekannt, ob das verdaut wird, wobei alles durch den Darm wieder hinaus wandert...Das verursacht jedenfalls  unnatürliche Prozesse
Krampf = Organe ziehen sich zusammen, was ebenfalls zu unbekannten Nebenwirkungen führen kann..
Am besten die Normalität so schnell wie möglich wieder herstellen...Dann braucht man sich nicht über deren Unwissenschaft Gedanken machen..
Beweisgrundlage: Wasche 50 FFP2 Masken in der Waschmaschine... Gib sie danach in den Wäschetrockner .. Überprüfe das Flusensieb.. Dann hat man den Filz in Reinkultur... Die Bewegungen im Wäschetrockner simulieren im allgemeinen in Zeitraffa  die Bewegung der Masken auf der Fresse.. Dann weiss man, dass sich Filz löst, wobei dies nur geringfügig passiert, jedoch täglich im Arbeitsalltag nun rund 2 Jahrezum Covid-Verordnungswahn
In Kombination mit Impfungen / Krämpfe usw. ein tödliches Unterfangen..


It

Konzert in Rom 15.6.2022: Publikum von Vasco Rossi mit SCHLANGENGIFTimpfung kollabiert: 300 Leute behandelt, 16 im Spital - nun wird der Sonne, Drogen und Alkohol die Schuld zugeschoben:
Vasco Rossi, boom di malori al concerto del Circo Massimo: 300 persone soccorse e 16 ricoveri
https://www.leggo.it/italia-roma/vasco_rossi_malori_ricoveri_concerto_circo_massimo_oggi_12_giugno_2022-6749011.html
https://t.me/corona_impftod/32068

Sage und schreibe 300 medizinische Notfälle beim Konzert von Vasco Rossi im römischen Circus Maximus. 16 Menschen mussten in die Klinik transportiert werden. Sonne, Drogen, Alkohol sind schuld, nicht die Injektionen.

Der Artikel (orig. italiano):

“Una splendida giornata” per i settantamila spettatori presenti a Roma al concerto di Vasco Rossi al Circo Massimo. Ma non per tutti: per 300 spettatori, le ore di attesa sotto al sole, in alcuni casi isolati l'abuso di alcol e di droga, hanno trasformato l'evento in un girone infernale. E' il bollettino di “guerra” che si è registrato venerdì, durante la prima delle due performance musicali (sabato si bissa) della rockstar originaria della provincia di Modena.
Le ore di attesa sotto al sole, in alcuni casi l'abuso di alcol e di droga, hanno rovinato la festa a oltre 300 persone

VASCO ROSSI AL CIRCO MASSIMO: BOOM DI MALORI

Il servizio di protezione sanitaria del concerto di Vasco, ha prestato soccorso ai pazienti che avevano accusato malori dovuti a colpi di calore, attacchi di panico o intossicazione e coma etilico, uso di droga e traumi da caduta. Tutto si è svolto sernza problemi invece, dal punto di vista della gestione dell'ordine pubblico coordinato dall'ufficio di gabinetto della Questura di Roma.

A differenza del concertone del primo maggio, questa volta non c'è stato alcun sequestro di sostanze stupefacenti. Anche se non erano pochi i personaggi che nel pre-concerto si aggiravano intorno al Circo Massimo.





Zahlen: SCHLANGENGIFTimpfung in den "USA" 17.6.2022: macht unfruchtbar und provoziert haufenweise Fehlgeburten
Impfschäden Schweiz Coronaimpfung, [17.06.2022 09:12]
Video-Link: https://t.me/Impfschaden_Corona_Schweiz/46696
[Forwarded from Netzwerk kritischer Experten]

Die Daten stammen von Fruchtbarkeitskliniken: Was ist hier los?
Die Spermien von injizierten Männern schwimmen nicht, die Eizellen von Frauen wachsen nicht zu Embryonen heran
Wir sehen bereits eine 80%ige Fehlgeburtenrate bei Frauen, die im ersten Trimester gespritzt werden
Fehlgeburten steigen um 700-800%
79%ige Zunahme fötaler Missbildungen
Und das ist nur die Spitze des Eisbergs
Wir leben in einem Sterilisationsprogramm; was wird passieren, wenn diese jungen Frauen merken, dass sie keine Kinder bekommen können?
@childcovidvaccineinjuriesuk
https://t.me/NetzwerkkritischerExperten




SCHLANGENGIFTimpfschaden Schweiz 16.6.2022: Frau (29) 2x Moderna geimpft: starke Mensschmerzen - Diagnose Myom - Frau (35) 2x geimpft: Auch Myom
Impfschäden Schweiz Coronaimpfung, [16.06.2022 22:03]
https://t.me/Impfschaden_Corona_Schweiz/46663
Eine neue Meldung:
Freundin meiner Tochter 29. Jahre 2  mal 💉 mit Moderna. Hat seither starke Menstruationsschmerzen.  Unterdessen wurde ein Myom im Unterleib diagnostiziert. Zufälligerweise erfuhr ich von einer Kollegin, dass ihre Schwester 35 J. 3-4 nach der 2. 💉 auch ein Myom im Unterleib festgestellt wurde.


SCHLANGENGIFTimpfschaden Schweiz 16.6.2022: 3 Leute 3x geimpft: haben Bandscheibenschaden
Impfschäden Schweiz Coronaimpfung, [16.06.2022 22:08]
https://t.me/Impfschaden_Corona_Schweiz/46666
Eine neue Meldung:
Ev. kann das ein Arzt erklären. Habe in meinem Umfeld grad 3 Personen, alle geimpft und geboostert, welche plötzlich Rückenprobleme haben und sich einer OP unterziehen mussten. Diskushernie. Wie hätte da die Impfung einen Einfluss? Organe mit Spikes verstehe ich sehr gut aber sehe keinen Zusammenhang mit der Diskushernie? 1 Frau 65 konnte auf einmal nicht mehr gehen. Hast du eine Ahnung?🙏🏼


17.6.2022: Naturtricks gegen Reizhusten: Fischbouillon, Zwiebel, Knoblauch, Hustentropfen mit Efeu, Knoblauchpastillen, Apfel, Zitrone etc.
von Michael Palomino, 17.6.2022

wegen Reizhusten gerne posten (https://t.me/Impfschaden_Corona_Schweiz/46623):
Man muss mit allen potenten Gemüsen und Früchten dagegenhalten, z.B. Fischbouillon mit geschnittener Zwiebel oder Knoblauch drin + geschnittene Tomate drin, halb trinken und immer wieder heiss auffüllen, und Hustentropfen mit Efeu drin, und Knoblauchpastillen einnehmen, und am Morgen 1/2 Apfel + am Abend 1/2 Apfel, + Zitrone in jede Suppe und übers Gemüse und über den Reis (egal ob warm oder kalt im Salat). Mit diesen Tricks hat man alle Inhaltsstoffe, aber es beisst nichts im Mund. Gruss an alle, die Reizhusten haben - www.med-etc.com


SCHLANGENGIFTimpfschaden 17.6.2022: Dicke Bäuche wegen Histaminintoleranz - Abhilfe: histaminarm essen
Impfschäden Schweiz Coronaimpfung, [17.06.2022 07:33]
https://t.me/Impfschaden_Corona_Schweiz/46683
Eine neue Meldung:
Wegen der Meldung der dickeren Bäuche: es gibt Studien dass die coronaimpfe die sog. Mastzellen triggert die dann wiederum Histamin ausschütten. Damit wird eine corona-Impfe-indizierte histaminintoleranz ausgelöst.
Diese geht entweder auf Magen-darm (blähbauch, Bauchschmerzen, magenschmerzen, Übelkeit, Sodbrennen als Symptome) oder herz- Kreislauf (herzrasen, hoher Blutdruck, niedriger Blutdruck, Extrasystolen etc.) und allgemeine Symptome (Juckreiz, migräne, muskelschmerzen, verstärkte Allergien etc.). Entscheidend dafür ist der relevante Rezeptor der Zellen (H1 bis H4, weitere sind in Erforschung). Die chronische Histaminintoleranz hat keinen eigenen ICD10 Code und fällt somit durch das Raster der schulmedizin.
Wenn Sie erkannt wird und eine Weile histaminarm gegessen wird, kann sie sich wieder zurück bilden. Allerdings erkennen die meisten Ärzte das nicht, maximal gute Allergologen (sehr erfahren oder oft aus dem Ausland studierte)



SCHLANGENGIFTimpfschaden St. Gallen 17.6.2022: Frau 2x geimpft: Rückenschmerzen - Spital St. Gallen ist voll - Medis wirken nicht - Spital Wil hat zu wenig Personal - UNgeimpfte Goldstücke arbeiten für kranke SCHLANGENGIFTgeimpfte
Siena, [17.06.2022 09:26]
https://t.me/Impfschaden_Corona_Schweiz/46703
[Forwarded from Pflegepersonal Schweiz für Aufklärung]
Eine neue Meldung:

Hallo Siena, Bekannte musste vor ca. 4 Wochen ins Spital mit Ambulan wegen starken Rückenschmerzen, sie ist 2x 💉 Als sie die 144 anrief und sie abgeholt wurde mussten die Sanitäter erst rumtelefonieren in welches Spital sie muss, alle überlastet. Kantonsspial SG durfte von 144 nicht mehr angefahren werden, überlastet. In Wil SG war sie dann ca. 10 Tage, dann nach Hause. Aber immernoch schmerzen, nicht mal mit starken Schmerz Medis  Gemäss einer Ärztin die in Wil SG arbeitet, sind sie nur am Patienten verschieben. Zuwenig Personal (warum wohl🤔💉) es ist langsam wie bei der Fluggesellschaft die ungeimpfte nicht arbeiten lässt und dafür Flugausfälle in Kauf nimmt 🤷 es gibt wohl mehr ungeimpfte wie ich gedacht habe und das macht sich jetzt in jedem Bereich bemerkbar


Siena, [17.06.2022 09:36]
https://t.me/Impfschaden_Corona_Schweiz/46707
[In reply to Siena]
Eine neue Meldung:

lässt man im KS SG Ungeimpfte nicht mehr arbeiten, oder wie kommt die Person auf den Vergleich mit der Swiss (9:26)? ich denke, es sind generell viele krank, eher Geimpfte als Ungeimpfte....




SCHLANGENGIFTimpfschaden Schweiz 17.6.2022: Depression und Selbstmord am Bahngleis
Siena, [17.06.2022 09:33]
https://t.me/Impfschaden_Corona_Schweiz/46706
Eine neue Meldung:

Hallo Siena
Zum dem Thema Suizid:
Es händ no nie so vell Zug ghupet wie die letschte 7 Tag.
Die Woche 2 am Morge am 4i. Bin gstande im Bett und ha nömme chönne schlofe.
Mer wohned zwüsche 3 Bahnlinie
Basel- Gotthard
Zürich - Basel
Baden - Aarau
Am Dienstag 6x durch de Tag. Ganz schlimm gsi



Gürtelrose ohne Ende in der Schweiz 17.6.2022
Impfschäden Schweiz Coronaimpfung, [17.06.2022 13:06]
https://t.me/Impfschaden_Corona_Schweiz/46725
Heute im Briefkasten. Das mit Gürtelrose auf der Rückseite von Dr stutz. Zoom mal ins kleingedruckte.
Glaxo smith kline. Und EKIF

Impfschäden Schweiz Coronaimpfung, [17.06.2022 13:06]
https://t.me/Impfschaden_Corona_Schweiz/46726

Impfschäden Schweiz Coronaimpfung, [17.06.2022 13:47]
https://t.me/Impfschaden_Corona_Schweiz/46730
Zur Gürtelrose, auf dem Blatt von Dr. Stutz steht 1zu3, auf der Seite stop Gürtelrose steht 1zu4...
Also hat es massiv zugenommen!!!


SCHLANGENGIFTimpfschaden Dermatologe Schweiz 17.6.2022: Gürtelrose ohne Ende, meist Geimpfte - der Arzt meldet nichts mehr - perverse Regierung Berset+Levy mit Verfolgung von Wahrheitswissern
Impfschäden Schweiz Coronaimpfung, [17.06.2022 15:50]
https://t.me/Impfschaden_Corona_Schweiz/46741
Eine neue Meldung:
Hatte heute ein Gespräch mit einer befreundeten Arztgehilfin. Sie arbeitet bei einem Dermatologen. Laut ihren Angaben kommen viele Patienten wegen Gürtelrose zu ihnen in die Praxis. Natürlich sind die meisten geimpft. Am Anfang wurde noch jeweils eine Impfschadensmeldung ausgefüllt und eingeschickt. Inzwischen will das ihr Chef nicht mehr tun, da das ausfüllen des Formulars zuviel Zeit in Anspruch nimmt. Nix daran verdienen = nix melden. Soweit sind wir schon. Es wird einfach totgeschwiegen. 😡
Solchen Quaksalbern sollte man die Zulassung entziehen, stattdessen malträtiert man Ärzte die Gesichtswindelnatteste ausgestellt haben mit polizeilicher Gewalt...🤮


Jan Raab 4R 17.6.2022: Doku des NDR - vorher war er Triathlet: Seit der 3. "Coronaimpfung" hat er: Atembeschwerden, Schmerzen in den Händen, Herzschwäche, Stechen in der Brust, Tinnitus
Impfschäden Schweiz Coronaimpfung, [17.06.2022 15:50]
Video-Link: https://t.me/Impfschaden_Corona_Schweiz/46742
[Forwarded from T.ME/WEGGESPRITZT (LINK TEILEN)]

NDR Doku über jungen Triathlet, der zum Impfkrüppel wurde
Sicher nur ein Zeichen dafür, dass die Impfung wirkt!
-- Atembeschwerden
-- Schmerzen in den Händen
-- kann kaum Laufen wegen Herzschwäche
-- Stechen in der Brust
-- Tinnitus

Impfschäden Schweiz Coronaimpfung, [17.06.2022 16:21]
https://t.me/Impfschaden_Corona_Schweiz/46744
[Forwarded from Exsuscitati - Die Alternative für unabhängige Medien]
[ Photo ]
Starker kurzer NDR Beitrag über impfgeschädigten 19 jährigen Triathleten:

„ich muss mein Studium abbrechen, ich werde nie normal arbeiten können“

Außerdem spricht offen ein impfender Mediziner, der für den NDR Bericht sich nur anonymisiert traut zu reden und berichtet über katastrophale Schicksale, die er in seiner Praxis wegen dem Zeugs erlebt, junge Menschen die nie wieder gesund werden. Er ist darüber schockiert, wenn er solche Fälle zur weiterführenden Diagnostik weitergibt, wirds "weggeschwiegen", wie der Impfarzt sagt.

Hier gehts zum Video👇:
https://fb.watch/dIfJ9sgwVq/

✅ kostenlos folgen für mehr Infos:
https://t.me/exsuscitati


SCHLANGENGIFTimpfschaden Schweiz 17.6.2022: Frau (69) 3x geimpft: bekommt Zyste im Knie, platzt, heftige Schmerzen, kann kaum noch gehen
Impfschäden Schweiz Coronaimpfung, [17.06.2022 16:23]
https://t.me/Impfschaden_Corona_Schweiz/46746
Heute   Zyste im Knie, w, 69 Jahre

Kollegin von mir, doppelt geimpft und geboostert. Zyste im Knie, die nun auch noch geplatzt ist. Kann kaum mehr gehen vor Schmerzen. Zusammenhang mit Impfung wird nicht gesehen, würde sich auch ein 4.Mal impfen lassen....


SCHLANGENGIFTimpfschaden Kanton Zürich 17.6.2022: Frau (60) 3x Pfizer geimpft: Lähmung (Sprachstörung, Schluckstörung), Nervenschaden (Hand+Finger), beisst links in die Wange, Zucken, Krämpfe überall - Ärzte nahmen sie nicht ernst, finden kaum was - Zyste im hinteren Rachen, seit Dez.2021 immer mehr alles + Kurzatmigkeit, Kloss, an der linken Seite am Hals zieht es - Ärzte-Mafia eint: ALS
Impfschäden Schweiz Coronaimpfung, [17.06.2022 16:23]
https://t.me/Impfschaden_Corona_Schweiz/46748
Gestern   schlechter Gesundheitszustand seit Impfung, w, 60 Jahre, ZH

Sprechstörungen,Schluckstörungen,Sensibilitätsstörungen Hand/Finger links, ca. Ende März21 unkontrollierte Zungen- /Wangenbisse linksseitig, Muskelzucken, Muskelkrämpfe, anfangs v.a. li Arm später generalisiert (Impfungen wurden alle in li Arm injiziert) erste Arztkonsultation Juni21 wurde nicht ernst genommen. Nov. 21 Knoten am li Hals HNO- Konsultation=geschwollene Speicheldrüse, ansonsten keine Befunde. MRI Hirn mit Kontrastmittel: keine Durchblutungsstörungen, Zyste hinterer Rachen. Verstärkung aller Symptome seit Ende Dez.2021, zusätzliche permanente Kurzatmigkeit, verstärkt nach dem Essen, Essen liegt schwer im Magen, permanenter Kloss im Hals, permanentes ziehen entlang der linken Halsseite (Vagusnerv?) neurologische Abklärungen mit Zweitmeinung: Diagnose ALS stand 13.05.2022
1. 'Impfung': 22.01.2021, 2. 'Impfung': 26.02.2021, 3. 'Impfung': 07.12.2021; Pfizer


SCHLANGENGIFTimpfschaden Basel 17.6.2022: Frau 2x geimpft wird ab 30 Grad ohnmächtig - der Gynäkologe meint: Das ist KEIN Einzelfall - Personalmangel wird normal und die UNgeimpften Goldstücke müssen einspringen
Impfschäden Schweiz Coronaimpfung, [17.06.2022 16:39]
https://t.me/Impfschaden_Corona_Schweiz/46750
Eine neue Meldung:
Ich habe heute eine Dame, die in einem Park in Basel in meiner Nähe saß, ganz zufällig gehört. Sie rief den Gynäkologen an, damit er ihr eine medizinische Ausnahmegenehmigung erteilt nicht zu arbeiten weil sie die Hitze nicht aushält und in einer Kindertagesstätte arbeitet. Sofort steigt die Temperatur und sie wird ohnmächtig. Sie ist 💉💉. Er sagte ja am Telefon, dass er das Problem kennt und es ihr geben wird. Alles klar!!!!
So haben wir an jedem Arbeitsplatz Arbeitskräftemangel und die Ungeimpften wie wir müssen die Lücken füllen und für sie arbeiten...



SCHLANGENGIFTimpfschaden Region Basel 17.6.2022: Frau im Jahr 2021 2x Moderna geimpft: hat oft Schwindel, nun auch Augenprobleme minutenlang blind, das ist seit Monaten so
Impfschäden Schweiz Coronaimpfung, [17.06.2022 16:47]
https://t.me/Impfschaden_Corona_Schweiz/46753
Eine neue Meldung:
Meine Arbeitskollegin hat oft Schwindel Attacken und heute auch und plötzlich kannte heute nicht mehr sehen für ein paar Minuten. Naher ist besser geworden. Zu meine Frage ob das oft passiert sagte sie: ja, oft in letzten Monaten. Sie ist 💉💉 moderna letztes Jahr. Region Basel


SCHLANGENGIFTimpfschaden Schweiz 17.6.2022: Frau im Herbst 2021 2x Moderna geimpft: hat immer mehr Schmerzen
Impfschäden Schweiz Coronaimpfung, [17.06.2022 18:29]
https://t.me/Impfschaden_Corona_Schweiz/46761
Eine neue Meldung:
Heute traf ich im Wartezimmer meines Hausarztes auf eine liebe Frau. Ausgemergelt sah sie aus und einen Fuss in einer Winterpantoffel und mit Krücken.
Auf meine Frage ob es ihr nicht gut gehe antwortete sie mir: Habe mir leider letzten Herbst 2x Moderna spritzen lassen, seit dann geht es mir mit Schmerzen jeden Tag schlechter! Würde ich nie mehr tun!
Dann wurde ich aufgerufen und verabschiedete mich mit einem herzlichen Lächeln, sie lächelte gequält zurück.
Was wurde den Menschen angetan, es bleibt unverzeilich.


SCHLANGENGIFTimpfschaden Schweiz 17.6.2022: Mann (ca.85) 3x geimpft: bekommt Allergien, Heuschnupfen
https://t.me/Impfschaden_Corona_Schweiz/46762 (Fortsetzung)
der Vater der Kundin nach Booster dauernd krank, plötzlich Heuschnupfen, Allergien. Würde sich keine weitere 💉 geben wollen...







<<         >>
Teilen / share:

Facebook








Quellen




Fotoquellen



20
                            minuten online, Logo  Schweinzer Fernsehen online, Logo    Journalistenwatch online, Logo   RT Deutsch
                      online, Logo    Epoch Times online, Logo    Legitim.ch
                      online, Logo    InfoSperber
                online, Logo         Kronenzeitung online, Logo         Uncut news
                      online, Logo 

 VK online, Logo   Facebook Logo   YouTube online,
                      Logo   
Schwarzer
                  Kaffee online, Logo

n-tv
                        online, Logo  Spiegel online, Logo  Der
                        Standard online, Logo      ARD Logo  Frankfurter Allgemeine online, LogoNZZ Logo

 
La
                  República del Perú online, Logo    Diario UNO
                  online, Logo    trome online, Logo    El
                  Comercio del Perú online, Logo       Wochenblitz
                  online, Logo  

^