Coronavirus19 13x63:
GENgeimpfte mit Leberschaden 01
17.5.2020: Die Mossad-Regierung
Merkel ist von Bill Gates und Melinda Gates DIREKT
GESTEUERT - durch eine "Absichtserklärung" vom Feb.
2017 - Link
17.5.2020: Die Mossad-Regierung in der Schweiz ist von
Bill Gates und Meldinda Gates DIREKT GESTEUERT - durch
eine "Absichtserklärung" vom 22.1.2014 - Link
:
GENimpfschaden Schweiz
27.10.2021: Frau (40) im August 2fach GENgeimpft: schlimme
Blasen an den Füssen - Leber sehr vergrössert, Leberwerte
sind Katastrophe, Milz 17cm zu gross - Ärzte wissen keine
Ursache
Impfschäden Schweiz Coronaimpfung, [27.10.21 08:39]
https://t.me/Impfschaden_Corona_Schweiz/27078
Eine neue Meldung:
War gestern im Spital zu Besuch. Die Nachbarspatientin (40)
hat sich im August das 2. impfen lassen. Mit was weiss ich
nicht. Hat mit argen Blatern an den Füssen in Lanzarote im
Krankenhaus gelegen. Vom Ferienkrankenhaus in die Schweiz
direkt in den Spital hier. Die Leber ist extrem vergrössert
und hat schreckliche Werte und die Milz ist 17 cm zu gross.
Die Ärzte haben keine Erklärung, an was es liegt und haben
die Proben an andere Spitäler weiter gegeben zur
Untersuchung.
Leberschaden
nach Moderna 11.1.2022: Immun-Leberentzündung ist nun
als Moderna-GENimpfschaden anerkannt: Immune-mediated hepatitis with the
Moderna vaccine, no longer a coincidence but confirmed
https://www.journal-of-hepatology.eu/article/S0168-8278(21)02093-6/fulltext
https://t.me/Impfschaden_Corona_Schweiz/36848
Impfschäden Schweiz Coronaimpfung, [11/01/2022 09:57 A.M.]
[Weitergeleitet aus Plattform RESPEKT]
Im vorgestellten Fall wurde eine Autoimmunhepatitis als
Folge des Moderna-Impfstoffs bestätigt, die bei
versehentlicher erneuter Exposition zu einer akuten
schweren Hepatitis führte. Die Behandlung mit
Kortikosteroiden scheint günstig zu sein. Wir melden
diesen Fall, um die Wachsamkeit gegenüber
arzneimittelinduzierten Reaktionen zu fördern und die
Impfzentren dafür zu sensibilisieren, ihn in ihre
Routinekontrollen vor der Verabreichung der zweiten Dosis
zu integrieren. Eine langfristige Nachsorge der
identifizierten Personen wird entscheidend sein, um die
Prognose dieser immunvermittelten Leberschädigung zu
bestimmen.
Originaler Text (englisch):
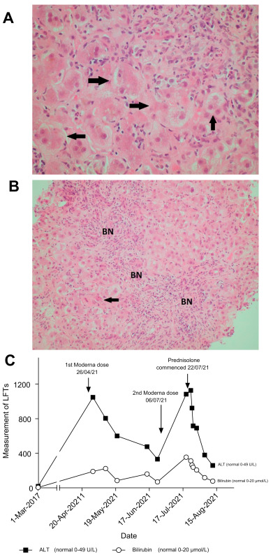
A 47-year-old Caucasian man,
previously completely well, received his 1st Moderna vaccine
dose on the 26 April 2021. He noted malaise and jaundice 3
days after. Investigations on the 30th April
showed serum bilirubin 190 μmol/L (normal 0-20), alanine
aminotransferase (ALT) 1,048 U/L (normal 10-49), alkaline
phosphatase (ALP) 229 U/L (normal 30-130), albumin 41 g/L
(normal 35-50). Blood count, renal function and
international normalized ratio (INR) were normal. Liver
function tests (LFTs) last checked 4 years previously were
normal. He denied paracetamol use and reported minimal
alcohol intake. Ultrasound scan, CT thorax, abdomen and
pelvis and MRI pancreas performed to exclude malignancy,
showed no significant findings. Serum IgG was raised at 25.1
g/L (normal 6-16), IgM 2.2 g/L (0.5-2) and serum was
positive for anti-nuclear antibody. Serological tests for
HAV, HBV, HCV, HEV, EBV and CMV were negative.
His jaundice faded and LFTs
improved: bilirubin falling on 25th June to 69
μmol/L and ALT to 332 U/L. The patient received his 2nd
Moderna vaccine dose on the 6 July 2021 (despite reporting
the jaundice to the vaccination centre) and the jaundice
returned a few days after. Blood tests on 20th July found
bilirubin 355 μmol/L, ALT 1,084 U/L and a raised prothrombin
time (PT) of 18.4 seconds. After liver biopsy on the 21st
July 2021, prednisolone 40 mg/day was commenced and he was
transferred to our service.
On examination, he was alert,
deeply jaundiced, with hepatomegaly but no ascites. Repeat
abdominal ultrasound showed a mildly fatty liver, patent
portal and hepatic vein flow, with no ascites. Review of the
liver biopsy showed acute active hepatitis: widespread areas
of bridging necrosis, marked interface hepatitis,
lymphoplasmatic inflammation including eosinophils,
ballooned hepatocytes, multi-nucleated giant cells, and
emperipolesis (Fig.1). There was minimal fibrosis,
Ishak stage 1. The pattern of injury on histology was
consistent with acute hepatitis, with features of autoimmune
hepatitis or possible drug-induced liver injury (DILI),
triggering an autoimmune-like hepatitis.
Leberschaden
Hepatitis nach Moderna-GENimpfung [5]
Fig. 1Histological
findings and biochemical findings.
Prednisolone 40 mg/day was
continued and LFTs improved (Fig. 1). He was discharged on
prednisolone and on follow-up, blood tests continue to
improve, and PT normalised within 2 weeks.
Discussion
This case illustrates
immune-mediated hepatitis secondary to the Moderna
vaccine, which on inadvertent re-exposure led to worsening
liver injury with deranged synthetic function. This
occurred in a well man with no other medical problems. The
onset of jaundice associated with the mRNA vaccine was
unusually rapid. This was also illustrated in the other
cases where symptoms developed over a median of 7 days
(range 4-35). Latency is usually longer in other causes of
DILI, but can vary depending on mode of injury.
The mRNA vaccine pathway
triggers pro-inflammatory cytokines including interferon
and cross-reactivity has been illustrated between the
antibodies against the spike protein and self-antigens.
Liver histology was assessed in every case and findings
were similar to ours, indicating acute hepatitis with
interface hepatitis, lymphoplasmacytic infiltrate and
absence of fibrosis. Eosinophils as part of the
infiltrate, which can be noted in DILI were present in 3
cases. All 7 patients responded well to steroids (n =
5 prednisolone, n = 1 budesonide and n = 1
methylprednisolone). In 3 cases there were features
suggesting coincidental autoimmune hepatitis: a
35-year-old lady in her third trimester of pregnancy with
positive double-stranded DNA, an 80-year-old lady with a
history of autoimmune conditions and a 41-year-old lady
with strongly positive auto-antibody panel after both
doses of vaccination. In the other 4 cases, a raised IgG,
with at least 1 positive antibody was noted in 3 cases.
This case has confirmed
immune-mediated hepatitis secondary to the Moderna
vaccine, which on inadvertent re-exposure led to acute
severe hepatitis. Treatment with corticosteroid therapy
appears to be favourable. We wish to highlight that
immune-mediated reactions from the SARS-CoV-2 mRNA
vaccines are very rare and during the COVID pandemic, the
vaccination programme continues to be crucial. We report
this case to encourage vigilance for drug-induced
reactions and to raise awareness to vaccination centres to
incorporate it into their routine checks before
administering second doses. Long-term follow up of
identified individuals will be essential in determining
the prognosis of this immune-mediated liver injury.
Financial
support
The authors received no
financial support to produce this manuscript.
Authors’
contributions
DG and AAJ conceptualised the
work. GT wrote the initial draft and all authors
contributed to and approved the final manuscript.
Conflict
of interest
The authors declare no
conflicts of interest that pertain to this work.
Please refer to the
accompanying ICMJE disclosure forms for further details.
Supplementary
data
The
following is the supplementary data to this article:
GENimpfschaden Schweiz 6.3.2022: Manche
GENgeimpfte haben Leberschaden - Blutgerinnungsstörungen bei
OPs mit GENgeimpften könnte auch vom Leberschaden kommen
Impfschäden Schweiz Coronaimpfung, [06.03.2022 22:23]
https://t.me/Impfschaden_Corona_Schweiz/40449
Eine neue Meldung:
Danke für den interessanten Beitrag zur Hepatitis nach
Impfung.
Meine Cousine, sehr überzeugt ungeimpft, versorgt sich und
ihre Familie mit naturheilkundlichen Mitteln.
Ihr Naturheilarzt sagte letzhin zu ihr, dass er bei allen
geimpften Menschen Probleme mit der Leber feststelle.
Die Leber kann einiges kompensieren, deshalb werden Probleme
wahrscheinlich nicht sofort, verzögert oder gar nicht erkannt.
Ich bin im medizinischen Bereich tätig und beobachte, aus
unerklärlichen Gründen, teilweise massive Blutungen während
Operationen.
Wir wissen, dass sich das Blutbild bei geimpften Menschen
anders als normal darstellt. Doch an der Blutgerinnung ist die
Leber massgeblich beteiligt, was ebenfalls ein Hinweis sein
könnte, dass die Leber ihre normale Funktion nicht aufrecht
erhalten kann nach Impfung.
GENimpfschaden weltweit
7.3.2022: Leberschaden, Diabetes, Hirnblutungen,
Barré-Syndrom - und die Mossad-Antifa-Medien schweigen! Leberversagen, Diabetes,
Hirnblutungen: Schwere Nebenwirkungen, für die COVID-19
Impfstoffe als Ursache belegt sind
https://dieunbestechlichen.com/2022/03/leberversagen-diabetes-hirnblutungen-schwere-nebenwirkungen-fuer-die-covid-19-impfstoffe-als-ursache-belegt-sind/
https://t.me/Impfschaden_Corona_Schweiz/40460
Impfschäden Schweiz
Coronaimpfung, [07.03.2022 09:08]
[Weitergeleitet aus Informationskanal für die Neue
Zeit (Maik Pittel)]
Die Impfkampagnen gehen ungestört von
irgendwelchen Erwägungen etwa vorhandener Verantwortung
weiter und ungeachtet der Tatsache, dass Daten aus
Israel zeigen, dass
mit zunehmender Anzahl der Impfungen nicht nur die
Wahrscheinlichkeit steigt, an COVID-19 zu erkranken,
sondern auch daran zu sterben. Dem Impf-Enthusiasmus
mancher Polit-Darsteller tut auch keinen Abbruch, dass
Booster-Impfungen, die derzeit nur mit mRNA-Impfstoffen
durchgeführt werden, nachweislich nicht gegen
SARS-CoV-2/Omikron wirksam sind. Wo manischer Eifer am
Wirken ist, werden solche Rückmeldungen aus der Realität
ignoriert. So wie die sich kontinuierlich häufenden
Berichte über schwere Nebenwirkungen, die durch die
COVID-19 Impfstoffe / Gentherapien VERURSACHT werden,
bislang keinen Polit-Darsteller auch nur zum Überdenken
seiner Haltung bewegt haben. Diese Leute scheinen
lernunfähig zu sein und stellen somit eine öffentliche
Gefahr da.
Auch dese Woche haben wir wieder eine Reihe von
wissenschaftlichen Beiträgen gefunden, deren Autoren
schwere Erkrankungen beschreiben, die sich als Folge einer
COVID-19 Impfung / Gentherapie einstellen, darunter Typ 1
Diabetes, die wir deshalb auf unsere Watchlist gesetzt
haben. Sobald eine zweite wissenschaftliche Arbeit eine
Kausalität zwischen Impfung und Diabetes Typ 1 herstellt,
werden wir Diabetes Typ 1 in unsere Liste der von
Impfstoffen verursachten schweren Erkrankungen aufnehmen.
Beginnen wir heute unsere BEschreibung mit
Gefäßentzündungen, die in der Regel nicht zu den schweren
Erkrankungen, die von einer COVID-19 Impfung / Gentherapie
verursacht werden, gezählt wird, sondern die eher als
milde Erkrankung gelten
Beginnen wir mit mit einer Erkrankung, die unter “milde
Erkrankungen” subsumiert wird.
Gefäßentzündung / Vaskulitis
Eine 71Jahre alte Frau wird in mit Blutergüssen und
heftigem Brennen in beiden Beinen in der Notaufnahme eines
Krankenhauses vorstellig. Fünf Tage zuvor wurde sie mit
Vaxzevria von AstraZeneca geimpft. Diagnose: Vaskultis
kleiner Gefäße (Anschauungsmaterial rechts)
Ein zuvor gesunder 34jähriger Mann kommt mit schweren
Kopf- und Muskelschmerzen ins Krankenhaus, einen Tag,
nachdem er seine erste Dosis von ChAdOx1nCov-19, Vaxzevria
(AstraZeneca) erhalten hat. Über die nächsten Tage klagt
er über heftige Bauchschmerzen, Übelkeit und Benommenheit.
Medikamente gegen Bauchschmerzen schlagen nicht an. Er hat
keinerlei auffällige Krankheitsgeschichte und nimmt auch
keinerlei Medikamente regelmäßig ein. Seine Gesundheit
verschlechtert sich rapide. Mit Verdacht auf eine
Thrombose wird er in eine auf Lebertransplantation
spezialiserte Klinik verlegt. Eine Ultraschalluntersuchung
zeigt einen Portalvenenverschluss. Er wird auf die
Intensivstation verlegt. Sein Zustand verschlechtert sich
weiter. Blutungen im Verdauungstrakt treten hinzu. Der
Patient reagiert auf keine Behandlung und stirbt nach
kurzer Zeit. Eine Autopsie erbringt einen Leberinfarkt als
Todesursache.
Bislang haben wir keine psychischen Erkrankungen, die
sich nach COVID-19 Impfung / Gentherapie einstellen,
berichtet. In letzter Zeit häufen sich jedoch die
wissenschaftlichen Arbeiten, die Psychosen
als Folge einer COVID-19 Impfung / Gentherapie zum
Gegenstand haben, solche:
Eine 18jährige Studentin mit keinerlei psychischer
Auffälligkeit in der Vergangenheit und keiner
Krankheitsgeschichte, wird von ihrer Familie in die
Notaufnahme einer psychiatrischen Klinik gebracht, weil
sie absurde Wortfetzen stammelt und bizarres Verhalten an
den Tag legt.
Nur zwei Stunden nach der ersten Dosis von COVIShield
entwickelt die 18jährige hohes Fieber, Frösteln und mehrer
Episoden von Durchfall. Es folgen Benommenheit und ein
Sturz, der zu einer Verletzung führt, die einen kurzen
Krankenhausaufenthalt nach sich zieht. Das Fieber lässt
nach einem Tag nach, dafür stellen sich unmotivierte
Angst, Schlaf- und Rastlosigkeit ein. Für die nächsten
vier Tage ist sie gereizt und beginnt, irrelevantes Zeug
zu plappern. Sie hat visuelle Halluzinationen, berichtet
davon, Gott und Dämonen gesehen zu haben, die sie
kontrollieren wollen. Ihre Familie bringt sie in ein
psychiatrisches Krankenhaus. Das Fortbestehen des
beschriebenen Zustands führt zur Gabe von Psychopharmaka,
was zu einer Verbesserung führt.
Die diagnostizierte Psychose wird auf den Impfstoff
zurückgeführt.
Ein 50 Jahre alter Mann findet sich in einem Krankenhaus
ein und klagt über exzessiven Durst und exzessive Bildung
von Urin. Seine COVID.19 Impfung / Gentherapie (erste
Dosis) liegt sechs Tage zurück. Unmittelbar nach der
ersten Dosis entwickelt er hohes Fieber. Die Diagnose
lautet auf Diabetes Typ 1:
“The described patient, who was healthy and totally
asymptomatic prior to vaccination, developed mild fever
and then abruptly polydipsia and polyuria shortly after
CoronaVac® vaccination.”
Eine bislang gesunde 42jährige wird in der Notaufnahme
eines Krankenhauses mit Wernickes Aphasie, der
Schwierigkeit, geschriebene und gesproche Sprache zu
verstehen, vorstellig. Eine erste Untersuchung erbringt
kein Ergebnis. Eine Computertomographie des Kopfes zeigt
zwei Blutungen im linken Schläfenlappen. Weitere
Untersuchungen bestätigen eine Sinusvenethrombose, die
durch ChAdOx1 nCOV-19 (AZD1222) Vaxzevira (AstraZeneca)
verursacht wurde. Die Patientin spricht auf die Behandlung
an und kann 9 Monate später wieder ein nahezu normales
Leben, abgesehen von der notwendigen Einnahme von
gerinnungshemmenden Medikamenten führen.
Eine 75 Jahre alte Frau wird mit Sprachstörungen und
Bewusstseinsstörungen in ein Krankenhaus eingeliefert, 2
Tage zuvor hat sie die erste Dosis von ChAdOx1nCoV-1 /
Vaxzevria (AstraZeneca) erhalten. Bei Einlieferung ist sie
fieberfrei. Einige Stunden später hat sie zwei 3 und 10
Minuten lange Anfälle, die einen vollständigen Verlust des
Bewusstseins zur Folge haben, auf den mit künstlicher
Beatmung reagiert werden muss. Eine Computertomographie
zeigt sich ausbreitende Anormalitäten im Gehirn, die vier
Tage später als rasch voranschreitende Blutungen erkannt
werden. Die Patientin spricht auf keinerlei Behandlung an
und stirbt einen Monat später, ohne das Bewusstsein
wiedererlangt zu haben.
Ein 46 Jahre alter Mann, der keinerlei
Krankheitsgeschichte aufzuweisen hat, findet sich in einem
Krankenhaus ein und berichtet von einer sieben Tage
andauernden Leidensphase mit Halsschmerzen, Husten,
Hautausschlägen und hohem Fieber. 12 Tage zuvor war der
Mann mit Vaxzevria (AstraZeneca) geimpft worden. Ein
Echokardiogramm zeigt eine Entzündung des Herzbeutels. Ein
Test auf Antikörper erbringt einen Organismus, der voller
Antikörper gegen das Spike-Protein ist, aber keinerlei
Antikörper gegen das N-Protein von SARS-CoV-2 gebildet
hat. Die Ärzte schließen daraus, dass eine vorausgehende
und überstandene Infektion mit SARS-CoV-2 durch die
nachfolgende Impfung zu einem Multisystem Inflammatory
Syndrome entwickelt wurde.
Eine bislang gesunde, 16jährige Athletin findet sich in
einer Notaufnahme ein und klagt über eine zunehmende
Taubheit und Lähmunsgefühle in Zehen und Beinen, die sich
zwei Tage nach der Gentherapie mit Pfizer/Biontechs
BNT162b2 / Comirnaty eingestellt haben. Innerhalb weniger
Tage ist aus der zeitlich begrenzten Lähmung in den Beinen
eine dauerhafte Lähmung geworden, die nicht nur die Beine,
sondern auch die Hände umfasst. Über die nächsten drei
Wochen werden die Symptome stetig schlimmer, eine Lähmung
von Ellenbogen und Knien stellt sich ein.
Eine Kernspintomographie zeigt Verdickungen im
Rückenmarksnerv, typisch für das Guillain-Barré Syndrom.
Einen Monat später hat sich der Zustand der 16jährigen
verbessert. Lähmungen sind abgeklungen, eine
wiederkehrende Taubheit in den Beinen, vor allem unterhalb
der Knie ist geblieben und sorgt für unsicheren Gang.
Alles nichts Besonderes, wenn es nach Polit-Darstellern
geht, die weiterhin diese schweren Nebenwirkungen, die
alles andere als selten auftreten, ignorieren, wenn sie
sie nicht in Abrede stellen. Wie immer beenden wir unsere
Darstellung mit dem Stand der Meldungen schwerer
Erkrankungen in der WHO-Datenbank, von denen man annehmen
muss, dass sie sich als Ursache der COVID-19 Impfung /
Gentherapie eingestellt haben. Wir nähern uns schnell der
Marke von 100.000 schweren Erkrankungen.
Also alles nicht der Rede wert.
GENimpfmord "USA" 7.3.2022:
Mann (35) mit GENimpfung von AstraZeneca bekommt
Leberschaden Hepatitis mit Schwäche, Bauchweh, Gelbsucht -
dann Appetitlosigkeit+Erbrechen+Kopfweh - dann
intravaskuläre Gerinnung (DIC) - gestorben -
Leberuntersuchung ergibt Lebervergiftung
Impfschäden Schweiz Coronaimpfung, [07.03.2022 19:19]
https://t.me/Impfschaden_Corona_Schweiz/40483
[Weitergeleitet aus Ärzte für Aufklärung offiziell]
03.03.2022
Impfinduzierte Autoimmun-Hepatitis
Täglich werden seit vielen Jahren weltweit Menschen gegen
Krankheiten geimpft. Kinder, Jugendliche und Erwachsene
bekamen Impfungen gegen Tetanus, Diphtherie, Pertussis,
Hepatitis, Masern, Mumps, Röteln, Meningokokken,
Pneumokokken, Rotaviren, Influenza und viele weitere
Infektionserkrankungen. Im Rahmen dieser nun in der
Corona-Angstzeit zu Immunisierungsversuchen angewendeten
neuen Technologie, zeigt sich neben einer sehr schlechten
bis keiner Schutzwirkung jedoch ein nicht mehr zu
leugnendes, gefährliches Nebenwirkungsprofil schon bei den
unmittelbaren Impfreaktionen.
Viele gesundheitsschädigende Mechanismen dieser neuen
Technologie waren schon seit Jahren wissenschaftlich bekannt
und aktuelle Studien bestätigen diese altbekannten
Erkenntnisse. Während – wenn überhaupt – die Medien beim
Beispiel der Leberentzündungen infolge der C-Impfung von
„extrem seltenen Fällen“ reden, sieht die Realität in
Krankenhäusern weltweit anders aus. Fallberichte häufen sich
und sie werden immer öfter als „Case Report“ in den
Fachmedien vorgetragen. So wie auch dieser aktuelle Fall aus
den USA:
„Bei den häufigen Nebenwirkungen der COVID-19-Impfung
handelte es sich meist um lokale Reaktionen, die rasch
abklangen. Dennoch wurden bei einigen mit
mRNA-COVID-19-Impfstoffen Geimpften seltene Fälle von
Autoimmunhepatitis gemeldet. In diesem Artikel wird ein
junger Mann vorgestellt, der wenige Tage nach der Impfung
mit der ersten Dosis des COVID-19-Impfstoffs von AstraZeneca
eine fulminante Hepatitis entwickelte.
Der 35-jährige Mann wurde mit allgemeiner Schwäche,
Bauchschmerzen und Gelbsucht in ein Krankenhaus
eingeliefert. Er hatte 8 Tage zuvor die erste Dosis des
Impfstoffs COVID-19 von AstraZeneca erhalten. Fünf Tage nach
der Impfung bekam der Patient Fieber und Kopfschmerzen.
Trotz der Besserung des Fiebers verschlimmerten sich seine
Bauchschmerzen und auch Appetitlosigkeit, Gelbsucht und
Erbrechen traten auf. Eine fulminante Hepatitis Hepatitis
wurde vermutet und da keine klinische Besserung eintrat,
wurde er ein Kandidat für eine Lebertransplantation. Leider
verstarb er nach 3 Tagen Krankenhausaufenthalt an einer
disseminierten intravaskulären Gerinnung (DIC), woraufhin
eine Lebernekropsie durchgeführt wurde, die auf eine
medikamenten-/toxininduzierte Hepatitis hindeutet."
Hier der Link zur Publikation:
https://doi.org/10.22541/au.164574620.05836625/v1
GENimpfschaden Schweiz
9.3.2022: Mann (75, gesund) 3x GENgeimpft: Gehirnblutung,
Schlaganfall, Lungenentzündung, Leberschaden - Mann
(ca.62) 3x GENgeimpft: hat starke Herzprobleme+Blutschaden
- Mann (ca.30) mit Verdacht auf GENimpfmord: hat plötzlich
Herzinfarkt+fällt tot um
Impfschäden Schweiz Coronaimpfung, [09.03.2022 17:25]
https://t.me/Impfschaden_Corona_Schweiz/40600
Eine neue Meldung:
1) Freundin erzählte mir, dass ihr Onkel, 75 Jahre, nach dem
Booster eine 3 cm x 5 cm grosse Blutung im Gehirn bekam.
Hatte Schlaganfall. Ist nicht operabel. Auch hat er seit dem
Booster Lungenentzündung und die Leber funktioniert nicht
mehr. Baut immer mehr ab. Vorher kerngesund.
2) Mann, Anfangs 60, kerngesund, seit dem Booster starke
Herzprobleme und auffällige Blutwerte.
3) Junger Arbeitskollege von einem Freund: an einem Tag
fröhlich und munter im Geschäft, nä. Tag tot umgefallen,
Herzinfarkt. Konnte nicht wiederbelebt werden.
Hatte keine bekannten Vorerkrankungen.
GENimpfschaden Schweiz
1.4.2022: Frau (unter 40) 3x GENgeimpft: Gelenkschmerzen,
Infektion im Blut, Leberschaden
Impfschäden Schweiz Coronaimpfung, [01.04.2022 16:45]
https://t.me/Impfschaden_Corona_Schweiz/41790
Eine neue Meldung:
Kollegin (ca. <40) 💉 💉 💉 hatte sehr starke
Gelenkschmerzen am ganzen Körper, Infektion im Blut,
schlechte Leberwerte.
GENimpfschaden Kanton
Aargau 8.4.2022: Mann (70, fit bis auf 1 künstliches
Kniegelenk) 3x GENgeimpft: Starke Rückenschmerzen,
Osteoporose, Leberschaden
Impfschäden Schweiz Coronaimpfung, [08.04.2022 09:20]
https://t.me/Impfschaden_Corona_Schweiz/42283
Eine neue Meldung:
Vater eines Bekannten, AG, 70j, 💉💉💉, letzte im Dez 2021,
Stoff nicht bekannt, vorher top fit bis auf eine Knie OP
(Ersatz Gelenk vor 4J wegen Abnutzung), ist pens Bauer der
zuvor ganze Woche auf Hof mithalf, konnte seither nicht mehr
mitarbeiten, starke Rückenschmerzen und neu Osteoporose
diagnostiziert und schlechte Leberwerte. Macht keine
Verbindung zu 💉.
Verdacht GENimpfschaden bei
Kindern in GB 9.4.2022: Immer mehr Hepatitis bei Kindern -
Leberschaden: Britische Behörde untersucht verstärktes Auftreten von
Hepatitis bei Kindern
https://tkp.at/2022/04/09/britische-behoerde-untersucht-verstaerktes-auftreten-von-hepatitis-bei-kindern/
Impfschäden Schweiz Coronaimpfung, [09.04.2022 13:15]
https://t.me/Impfschaden_Corona_Schweiz/42367
[Forwarded from News von TKP]
Es vergeht
kein Tag, ohne dass nicht neue mögliche Probleme mit den
gentechnischen mRNA-Impfpräparaten ans Licht kommen. Dabei
hätten alle diese Themen mit entsprechenden
toxikologischen Untersuchungen in Tiermodellen erforscht
und ausgeschlossen werden müssen. So zum Beispiel die
Entstehung von Alzheimer durch Amyloide, wie heute
berichtet und auch eine Schädigung der Leber. Hat man aber
nicht, denn es war ja angeblich alles so dringend.
Dringend wurde es aber gemacht, da jegliche erfolgreiche
Prophylaxe und Frühbehandlung unterdrückt und verfolgt
wurde. Was Zigtausende Todesfälle zur Folge hatte.
Die britische Gesundheitsbehörde UKHSA hat bekannt gegeben, dass
sie in letzter Zeit bei Kindern höhere Raten von
Leberentzündungen (Hepatitis) als üblich festgestellt hat,
aber die üblichen Viren, die Hepatitis verursachen,
ausgeschlossen hat und deshalb eine dringende Untersuchung
eingeleitet hat.
Als allererstes sollten sie sich mit der experimentellen
Covid-19-Spritze von Pfizer befassen, die völlig unnötig
gesunden und ungefährdeten Kindern im Alter ab fünf Jahren
empfohlen und verabreicht wird. Tatsächlich beweisen
mehrere Studien von Pfizer, dass sich sowohl mRNA als auch
Lipid-Nanopartikel in der Leber anreichern und Hepatitis
verursachen können.
Die britische Gesundheitsbehörde (UKHSA) hat erst vor
kurzem bei Kindern höhere Raten von Leberentzündungen
(Hepatitis) als üblich festgestellt. Ähnliche Fälle werden
auch in Schottland untersucht.
In der Veröffentlichung heißt es:
Hepatitis ist eine Erkrankung der Leber, die aus
verschiedenen Gründen auftreten kann, u. a. durch
mehrere bei Kindern verbreitete Virusinfektionen. In den
untersuchten Fällen wurden jedoch die üblichen Viren,
die Hepatitis verursachen, nicht nachgewiesen.
Zu den Hepatitis-Symptomen gehören:
dunkler Urin
blasser, grau gefärbter Kot
juckende Haut
Gelbfärbung der Augen und der Haut (Gelbsucht)
Muskel- und Gelenkschmerzen
hohes Fieber
sich krank fühlen und krank sein
ungewöhnliche ständige Müdigkeit
Appetitlosigkeit
Schmerzen im Bauch
Die UKHSA arbeitet nach eigener Angabe eng mit dem NHS
und Kollegen aus dem öffentlichen Gesundheitswesen in ganz
Großbritannien zusammen, um die mögliche Ursache zu
untersuchen.
Lipid-Nanopartikel
in der Leber
Die Inhalte der Spritzen verteilen sich sehr rasch im ganzen
Körper. In einer detaillierten Aufstellung, die mir gemäß „Article
7 of Regulation (EC) No 1049/2001 regarding public access
to European Parliament, Council and Commission documents
(the Regulation) 1 and Section 3 of the Annex to the
“European Medicines Agency policy on access to documents –
POLICY/0043” 2 (the Agency Policy)“ zugegangen ist,
finden sich die Details dazu. [...]
GENimpfung gegen Kinder im
Kanton Luzern 11.4.2022: Bub (15) 2x GENgeimpft: nach 6
Monaten Anämie (Blutarmut), Leberwerte schlecht,
Nierenwerte schlecht
Impfschäden Schweiz Coronaimpfung, [11.04.2022 16:26]
https://t.me/Impfschaden_Corona_Schweiz/42460
Eine neue Meldung:
Kt Lu, m, 15j, aus Fam von guter Freundin, hat 💉💉, Stoff
unbekannt, nun 1/2 Jahr nach 2ter Blutanämie, schlechte
Leberwerte, schlechte Nierenwerte, nun wird vermutet Blutung
im Darm, wird mit Endoskopie analysiert morgen, kein
Zusammenhang gem Fam/etc.
GENimpfung
gegen Kinder in Spanien 14.4.2022: Leberschäden bei 6
GENgeimpften Kindern in Spanien - Hepatitis wird bei 3
Kindern untersucht: Bauchweh, Erbrechen, Gelbsucht: Nach England und Schottland untersucht nun auch Spanien
Fälle "untypischer Hepatitis" bei Kindern. Bereits sechs
betroffene Kinder in Spanien benötigten eine
Lebertransplantation. Wurden die Organe der Kinder durch
die für sie völlig überflüssigen sogenannten
Covid-Impfungen zerstört? (orig.
Spanisch: Madrid investiga los 3 primeros casos de
hepatitis infantil de origen desconocido)
https://www.diariodecadiz.es/sociedad/Madrid-investiga-primeros-hepatitis-desconocido_0_1674134106.html
https://t.me/corona_impftod/30048
Sus síntomas son dolor abdominal, vómitos o ictericia
Seis de los pequeños han requerido un trasplante
hepático
La Comunidad de Madrid está investigando los tres primeros
casos detectados en nuestro país compatibles con una
hepatitis aguda severa de origen desconocido que afecta a
niños menores de 10 años, uno de los cuales ha requerido de
un trasplante de hígado, aunque todos evolucionan
favorablemente.
Los niños, con edades de entre 2 y 7 años y
procedentes de Madrid, Aragón y Castilla-La Mancha, se
encuentran ingresados en un hospital madrileño, según ha
informado la Consejería de Sanidad en un comunicado este
miércoles.
Por ahora, las pruebas de laboratorio
excluyen, en todos los casos, los virus de la hepatitis A,
B, C, D y E y se han descartado también las causas
habituales de hepatitis o antecedentes de viajes, pero se
sigue investigando otro tipo de causas infecciosas,
tóxicas o químicas, explican a Efe desde el Ministerio de
Sanidad.
La investigación llega después de que el
pasado lunes el Centro de Coordinación de Alertas y
Emergencias Sanitarias del Ministerio de Sanidad (CCAES)
enviara una comunicación a todas las comunidades a
instancias del Centro Europeo para el Control de
Enfermedades (ECDC) y de la OMS por la aparición de 74
casos en Reino Unido y 3 en Irlanda de hepatitis aguda
severa de etiología desconocida en niños menores de 10
años previamente sanos.
Ante esta situación, Sanidad pidió a las
comunidades, a través de la Ponencia de Alertas y de la
Comisión de Salud Pública y a las sociedades científicas
de Pediatría y gerencias de hospitales, realizar una
observación y búsqueda activa de posibles casos de esta
enfermedad que, de acuerdo con las primeras indagaciones
en el ámbito internacional, no está relacionada con la
vacunación frente a la covid-19 ni con casos de infección.
Sus síntomas son dolor abdominal, vómitos o
ictericia (coloración amarilla en la piel); el cuadro
clínico asocia una rápida y marcada elevación de
transaminasas. Seis de los pequeños han requerido un
trasplante hepático, aunque todos evolucionan
favorablemente.
Las autoridades sanitarias aconsejan como
principal medida preventiva el lavado frecuente de las
manos, cubrirse al toser con la parte interior del codo y
emplear pañuelos desechables, así como consultar con el
pediatra si el menor comienza con síntomas que se agravan
en pocos días.
Tödliche Pfizer-Impfung
14.4.2022: Pfizer-Studie vermutet, Leberschaden bei
Kindern kommt von der Impfung (orig. Englisch: Pfizer Study suggests Covid-19 Vaccine
to blame for huge increase in Hepatitis among Children as
UK Government launches Urgent Investigation)
https://dailyexpose.uk/2022/04/09/pfizer-vaccine-causes-hepatitis-children-uk-gov-investigates/
https://t.me/Impfschaden_Corona_Schweiz/42617
Impfschäden Schweiz Coronaimpfung, [14.04.2022 08:21]
The UKHSA has announced that it has detected high rates of
liver inflammation among children, but have ruled out the
common viruses that cause hepatitis.
“The greatest mean concentration outside the injection site
was observed in the liver, equivalent to 21.5 % of the dose…
hepatic effects were observed, including enlarged liver” -
Pfizer Study
Follow The Expose (https://t.me/dailyexpose)
Verdacht
GENimpfschaden Schweiz 15.4.2022: Frau wahrsch.
GENgeimpft: 2 Herzinfarkte, Gesichtslähmung, immer
Erbrechen [Leberschaden?], isst nichts mehr, mager
geworden - kr. Ärzte-Mafia sieht keinen Zusammenhang
sondern meinen, der hohe Blutdruck sei die Ursache+geben
Medis gegen hohen Blutdruck (??!!)
Impfschäden Schweiz Coronaimpfung, [15.04.2022 16:51]
https://t.me/Impfschaden_Corona_Schweiz/42710
[ Photo ]
Eine neue Meldung:
Frau, hatte bereits 2 infarkte, Gesichts lämungen ,musste
Blut erbrechen hat weiss Gott wie viel abgenommen weil sie
nichts mehr Essen kann ohne zu erbrechen ..
Alles was säuerlich wie Kafi ,Wein ,säfte erbricht sie
sofort wieder.Die Ärzte können ihr nicht weiter helfen
nach 4 x im Spital und Blut endnahme ..
Schieben alles auf zu hohen Blut druck und das Medi
dagegen ..
Und auf einmal ist sie positiv auf Covid und muss sich bei
denen melden 🙈🤔
GENimpfung
gg. Kinder im "Westen" 18.4.2022: Leberschaden bei
GENgeimpften Kindern immer häufiger: Dozens Of Cases Of Mysterious Hepatitis Cases Crop Up
In US, Europe | ZeroHedge
https://www.zerohedge.com/geopolitical/dozens-cases-mysterious-hepatitis-crop-us-europe
https://t.me/Impfschaden_Corona_Schweiz/42815
Impfschäden Schweiz Coronaimpfung,
[18.04.2022 11:08]
Immune-mediated hepatitis with the Moderna vaccine, no
longer a coincidence but confirmed - Journal of Hepatology
https://www.journal-of-hepatology.eu/article/S0168-8278(21)02093-6/fulltext
https://t.me/Impfschaden_Corona_Schweiz/42816
Impfschäden Schweiz Coronaimpfung, [18.04.2022 11:08]
Der COVID-„Impfstoff“ von Pfizer ist
für den Hepatitis-Ausbruch bei Kindern verantwortlich
https://uncutnews.ch/der-covid-impfstoff-von-pfizer-ist-fuer-den-hepatitis-ausbruch-bei-kindern-verantwortlich/
https://t.me/Impfschaden_Corona_Schweiz/42817
Impfschäden Schweiz Coronaimpfung,
[18.04.2022 12:30]
[Forwarded from Uncut-News.ch "Das Original"🇨🇭]
Leberentzündungen (Hepatitis) bei Kindern sind im
Vereinigten Königreich auf dem Vormarsch, was die
britische Gesundheitsbehörde (UKHSA) zu einer dringenden
Untersuchung veranlasst hat. Die Behörden sagen, dass sie
keine Ahnung haben, warum sich die ..
Täter CDC 23.4.2022: warnt
nun vor Leberschäden bei Kindern nach der tödlichen
GENimpfung: (NEW video up! Children are suddenly having liver
failure! The CDC has put out a nationwide alert)
Video-Link: https://www.bitchute.com/video/u45I0pxE28Ba/
Foto-Link: https://t.me/Impfschaden_Corona_Schweiz/43137
Impfschäden Schweiz Coronaimpfung, [23.04.2022 21:40]
[Forwarded from World Alternative Media ANNOUNCEMENTS]
Obama claims we are all guinea pigs. Bill Gates makes fun of
"conspiracy theorists."
Watch and share!
Täter CDC 23.4.2022: warnt nun vor Leberschäden bei
Kindern nach der tödlichen GENimpfung:
(NEW video up! Children are suddenly having liver failure!
The CDC has put out a nationwide alert) [24]
GENimpfschaden
bei Kindern 28.4.2022: Hepatitis ohne Hepatitisvirus nun
auch im 4R aufgetaucht: Mysteriöse Lebererkrankungen bei Kindern – erster Fall
in Deutschland
https://deutsch.rt.com/international/137215-mysteriose-lebererkrankungen-bei-kindern-erster/
Der Ausbruch einer plötzlichen schweren Lebererkrankung
bei fast 200 Kindern in mehreren Ländern stellt
Gesundheitsbehörden bislang vor ein Rätsel. Die
Krankheit wird als Hepatitis unbekannten Ursprungs
bezeichnet. Auch hierzulande ist nun offenbar ein Kind
betroffen.
Eine mysteriöse Lebererkrankung bei Kindern – eine
Leberentzündung (Hepatitis) ohne klare Ursache –, die
vor allem in Großbritannien gehäuft auftritt, wurde
nun auch bei einem Kind in Deutschland festgestellt.
Die Erkrankung des Kindes entspreche der
Falldefinition der Weltgesundheitsorganisation (WHO)
und der Erkrankungsbeginn liege bereits im Januar, schreibt
das Robert Koch-Institut (RKI) in einer Publikation
vom Dienstagabend.
Fälle wurden in mindestens einem Dutzend Ländern
gemeldet, darunter Dänemark, Frankreich, Irland,
Israel, Italien, die Niederlande, Norwegen,
Schottland, Spanien und den USA. In den Vereinigten
Staaten waren Fälle in Alabama, Illinois und North
Carolina aufgetreten. In einer landesweiten
Gesundheitswarnung haben die US-Centers for Disease
Control and Prevention (CDC), eine Behörde
des US-amerikanischen Gesundheitsministeriums, letzte
Woche bekannt gegeben, dass die ersten bekannten Fälle
in den USA im Oktober in Alabama aufgetreten sind.
Laut RKI-Bericht sind aus Großbritannien nun über 110
Fälle bekannt. Laut einem Bericht der AP vom
Dienstag sind bisher insgesamt etwa 200 Kinder im
Alter von einem Monat bis 16 Jahren betroffen.
Die Zahl der bisher bekannten Fälle in der EU halten
die RKI-Experten für schwer einzuordnen. Zwar
berichteten einzelne Länder über mehr betroffene
Kinder als eigentlich zu erwarten, eine große Rolle
könne aber auch die erhöhte Aufmerksamkeit spielen.
Die Falldefinition sei auch noch wenig spezifisch.
Womöglich könnte sich im Nachhinein zeigen, dass
einige Fälle doch nicht Teil des Ausbruchs sind.
Die Behörden sind sich nicht sicher, was die Ursache
der rätselhaften Lebererkrankung ist. Hepatitis wird
in der Regel durch eines von mehreren ansteckenden
Hepatitis-Viren – die Hepatisisviren A bis E –
verursacht, die bei den betroffenen Kindern aber nicht
gefunden wurden. Manchmal verläuft die Krankheit mild
und erfordert keine spezielle Behandlung. Schwere
Fälle erfordern jedoch einen Krankenhausaufenthalt und
können zu Leberversagen führen. Wissenschaftler und
Ärzte ziehen andere mögliche Ursachen als
Hepatitis-Viren in Betracht.
"Leichte Hepatitis ist bei Kindern nach einer Reihe
von Virusinfektionen sehr häufig, aber das, was im
Moment beobachtet wird, ist ganz anders", sagte Graham
Cooke, Professor für Infektionskrankheiten am Imperial
College London. Einige der Kinder im Vereinigten
Königreich mussten in Leberstationen behandelt werden,
einige benötigten eine Lebertransplantation.
Die Leber verarbeitet Nährstoffe, filtert das Blut
und bekämpft Infektionen. Die Erkrankungen verursachen
Symptome wie Gelbsucht, Durchfall und Bauchschmerzen.
Hepatitis kann lebensbedrohlich sein, wenn sie nicht
behandelt wird. Bei den meisten Kindern wurden
Adenoviren nachgewiesen. Diese häufig vorkommenden
Viren seien für die britischen Experten die
wahrscheinlichste Ursache, heißt es
im RKI-Bericht.
Leberentzündungen seien jedoch "eine bekannte seltene
Komplikation", die meist Immungeschwächte betrifft.
Bei den Fällen in Großbritannien könnte demnach eine
neue Variante zirkulieren, die das Krankheitsbild
verursacht. Durch Pandemie-Effekte könnten gerade
jüngere Kinder besonders empfänglich sein, hieß es.
Das RKI schreibt, von Fachgesellschaften und
Kinderkliniken lägen keine weiteren Hinweise auf Fälle
oder Häufungen in Deutschland vor. Ärzte werden
um erhöhte Aufmerksamkeit bei unklaren Fällen von
akuter Hepatitis oder Leberversagen bei Kindern unter
16 Jahren sowie um Meldung gemäß
Infektionsschutzgesetz (IfSG) gebeten. Fälle von
akuter Hepatitis oder Leberversagen bei Kindern bis
zum Alter von 16 Jahren sollten an das Gesundheitsamt
gemeldet werden, bei denen eine Hepatitis A bis E
ausgeschlossen wurde. Insgesamt sei noch ein paar
Wochen Geduld notwendig, bis Ergebnisse verschiedener
Untersuchungen vorliegen, teilte das Vorstandsmitglied
der Deutschen Leberstiftung, Christoph Sarrazin,
auf Anfrage mit. Wenn man mehr Klarheit habe, könne
dies eventuell auch zu Empfehlungen führen.
WHO-Warnung vor Hepatitis ohne
Hepatitisvirus am 28.4.2022: Pfizer-STudie meint, die
GENimpfung sei Schuld: W.H.O. Issues Global Alert about new form of Severe
Hepatitis Affecting Children; Pfizer Study Suggests COVID
Vaccine to Blame
https://healthimpactnews.com/2022/w-h-o-issues-global-alert-about-new-form-of-severe-hepatitis-affecting-children-pfizer-study-suggests-covid-vaccine-to-blame/
https://t.me/Impfschaden_Corona_Schweiz/43484
Impfschäden Schweiz Coronaimpfung, [28.04.2022 07:57]
[Forwarded from Dr. Tenpenny]
On April 15 2022, the World Health Organisation issued a
global alert about a new form of severe acute Hepatitis
with an unknown aetiology (cause) affecting previously
healthy children in the UK over the last month.
Cases have also been notified in Spain and Ireland. Tests
have excluded all previously known Hepatitis viruses. 74
cases have been found so far, with more expected. The
WHO alert said:
“The clinical syndrome in identified cases is of acute
hepatitis with markedly elevated liver enzymes, often
with jaundice, sometimes preceded by gastrointestinal
symptoms, in children principally up to 10 years old.
Some cases have required transfer to specialist
children’s liver units and six children have undergone
liver transplantation. As of 11 April, no death has been
reported among these cases and one epidemiologically
linked case has been detected.”
Hepatitis is a condition that affects the liver and may
occur for a number of reasons, including several viral
infections common in children. However, in
the cases under investigation the common viruses that
cause hepatitis have not been detected.
Hepatitis symptoms include:
dark urine
pale, grey-coloured poo
itchy skin
yellowing of the eyes and skin (jaundice)
muscle and joint pain
a high temperature
feeling and being sick
feeling unusually tired all the time
loss of appetite
tummy pain
The WHO discussed a possible role of the Covid-19 virus
in the outbreak:
“Severe acute respiratory syndrome coronavirus type 2
(SARS-CoV-2) and/or adenovirus have been detected in
several cases. The United Kingdom has recently observed
an increase in adenovirus activity, which is
co-circulating with SARS-CoV-2, though the role of these
viruses in the pathogenesis (mechanism by which disease
develops) is not yet clear….
“While some cases tested positive for SARS-CoV-2 and/or
adenovirus, genetic characterization of viruses should
be undertaken to determine any potential associations
between cases.”
There are other possible causes of hepatitis.
These include autoimmune hepatitis and
hepatitis that occurs as a secondary result of vaccines,
medications, drugs, toxins,
and alcohol.
Autoimmune hepatitis is a disease that occurs when your
body makes antibodies against your liver tissue.
Autoimmune conditions are known to be associated with
both Covid-19 viral infection and Covid-19 vaccination.
No investigation of Covid-19 vaccination as a possible
complicating factor in the development of the new form of
hepatitis has yet taken place, but it’s the very first
place they should be looking.
GENimpfung gegen Kinder am 28.4.2022:
Hepatitis ohne Hepatitisvirus kommt von den GENimpfungen -
Studie vo 21.4.2022: New Study confirming COVID Vaccine causes Severe
Autoimmune-Hepatitis is published days after W.H.O issued
'Global Alert' about new Severe Hepatitis among Children
https://dailyexpose.uk/2022/04/28/new-study-confirms-covid-jab-causes-hepatitis-kids/
https://t.me/Impfschaden_Corona_Schweiz/43508
Impfschäden Schweiz Coronaimpfung, [28.04.2022 11:38]
[Forwarded from Zeee Media 🎙]
Well, we knew it was the injection. Here’s confirmation.
A new scientific study published 21st April 2022, has
concluded that Covid-19 vaccination can elicit a distinct T
cell-dominant immune-
@zeeemedia
GENimpfung gegen Kinder
28.4.2022: Die Autoimmun-Hepatitis nach der GENimpfung
oder durch Shedding - die CDC von der kriminellen Jüdin
Salewski will davon nix wissen
Impfschäden Schweiz Coronaimpfung, [28.04.2022 16:07]
https://t.me/Impfschaden_Corona_Schweiz/43524
[Forwarded from Bleib Stark 🤜🤛]
[ Photo ]
Die CDC erschafft weitere falsche Erzählungen, in denen
behauptet wird, dass Kinder aufgrund eines „gewöhnlichen
Virus“ Hepatitis entwickeln. Hier sind einige Studien, die
Hepatitis mit der COVID-19-Impfung in Verbindung bringen.
Autoimmunhepatitis nach SARS-CoV-2-Impfung: Neubeginn oder
Schub?
https://pubmed.ncbi.nlm.nih.gov/34781161/
Autoimmunhepatitis nach COVID-19-Impfung – mehr als ein
Zufall
https://www.sciencedirect.com/science/article/pii/S0896841121001499
Autoimmunhepatitis nach COVID-Impfung
https://pubmed.ncbi.nlm.nih.gov/34225251/
Bleib Stark abonnieren:
👉🏼https://t.me/bleibtstark
SCHLANGENGIFTimpfungen
gegen Kinder Italien 30.4.2022: Forscher meinen,
Adenoviren könnten die atypische Hepatitis bei Kindern
auslösen:
https://t.me/corona_impftod/30580
Forscher des italienischen "Istituto Superiore di Sanità"
befürchtet, die in den experimentellen Vektor-"Impf"-Stoffen
enthaltenen Adenoviren könnten für die vielen gravierenden
Fälle von "atypischer Hepatitis" bei Kleinkindern in den
"Impf"-Ländern verantwortlich sein.
Schlangengift-Spritzen
gegen Kinder in den "USA" 30.4.2022: Leberschaden ohne
Ende: 1 Kind in Wisconsin gestorben - und 18 Kinder
brauchen Lebertransplantation
https://t.me/Impfschaden_Corona_Schweiz/43630
Kind stirbt in Wisconsin an Verdacht auf Hepatitis,
während ein mysteriöser Ausbruch die Welt überrollt: 20
Fälle in den USA und 200 weltweit - mindestens 18 Kinder
benötigen eine Lebertransplantation.
SCHLANGENGIFTimpfungen gegen Kinder
30.4.2022: Moderna verschenkt Hepatitis an die Kinder: Immunvermittelte Hepatitis mit dem
Moderna-Impfstoff - kein Zufall mehr, sondern bestätigt
(Okt. 2021)
https://www.journal-of-hepatology.eu/article/S0168-8278(21)02093-6/fulltext#sectitle0035
https://t.me/corona_impftod/30590
Wir haben mit Interesse die jüngsten Fälle gelesen, die auf
die Möglichkeit einer impfstoffinduzierten immunvermittelten
Hepatitis mit den Impfstoffen Pfizer-BioNTech und Moderna
mRNA-1273 gegen das SARS-CoV-2-Virus hinweisen.
Da jedoch die Kohorte der gegen COVID-19 geimpften Personen
zunimmt, konnten die zuvor gemeldeten Fälle eine zufällige
Entwicklung einer Autoimmunhepatitis nicht ausschließen, die
eine Inzidenz von 3/100.000 Personen pro Jahr aufweist.
Unser Fall zeigt schlüssige Beweise für eine
impfstoffinduzierte immunvermittelte Hepatitis mit einer
schnell einsetzenden Leberschädigung nach der ersten
Moderna-Dosis, die bei erneuter Exposition zu einer akuten
schweren Autoimmunhepatitis führte.
Schlangengiftspritzen gegen
Kinder in Spanien 30.4.2022: "In Spanien ist ein
Zusammenhang mit der Hepatitis bei Kindern und der Impfung
nachgewiesen worden"
https://t.me/Impfschaden_Corona_Schweiz/43634
SCHLANGENGIFTimpfung gegen
Kinder 1.5.2022: Leberschaden könnte auch von
SCHLANGENGIFTmuttermilch kommen
Impfschäden Schweiz Coronaimpfung, [01.05.2022 13:35]
https://t.me/Impfschaden_Corona_Schweiz/43692
[Forwarded from Gareth Icke - Right Now (Gareth Icke)]
Sudden rise of unvaccinated children with liver damage, were
breastfed (by fully vaccinated mothers) – Investment Watch
https://www.investmentwatchblog.com/sudden-rise-of-unvaccinated-children-with-liver-damage-were-breastfed-by-fully-vaccinated-mothers/
Fake-Hepatitis gegen Kinder
1.5.2022: soll vom langen Maskentragen kommen mit
Sauerstoffmangel: Hepatitisfälle bei Kindern
https://t.me/oliverjanich/95169
sind das erwartete Ergebnis des ständigen masketragens
(https://odysee.com/Kinder-sterben:4), der
Sauerstoffunterversorgung
(https://odysee.com/Kinder-f%C3%BCrs-Leben-gesch%C3%A4digt:2)
und vielfach auch Schockwirkung
(https://odysee.com/Zitate-aus-dem-Covid-Strategiepapier:8)Die
Studie zeigt auf dass hypoxische Hepatitis
(https://odysee.com/I-cant-breath:b) das Ergebnis ist wenn
der Körper den Sauerstoffgehalt nicht mehr bestmöglich
regulieren
(https://odysee.com/Jens-Spahn-qu%C3%A4lt-Kinder:f) kann. Es
wird auch berichtet dass der Leberschaden nicht währen der
Sauerstoffknappheit (https://t.me/GesundeInfos/125) auftritt
sondern das Absterben der Leber beginnt bei Beendigung einer
länger andauernden Sauerstoffknappheit
(https://t.me/INFOKANALm8y1/1850).
Also wenn der Konflikt gelöst bzw die Maskenpflicht
(https://odysee.com/Psychosen-f%C3%BCrs-Leben:4) aufgehoben
wird.
In der Studie (https://t.me/m8y1_Videosicherung/32) wird
Hepatitis, die Sauerstoff Knappheit als Ursache
(https://odysee.com/Kinder-sterben:4) hat, als
"Fake-Hepatitis" bezeichnet❗️
Außerdem kann Eisenüberschuss
(https://jpharmsci.org/article/S0022-3549(18)30210-7/fulltext)
die Leber stark schädigen. Also vermutlich auch das
magnetische Eisen das in der Nahrung in der Luft und im
Trinkwasser ist (https://odysee.com/Magnetpartikel:9)😉🤔
Fake-Hepatitis gegen Kinder am 1.5.2022: Die
SARS-Impfung kann auch eine Hepatitis auslösen: BOMBSHELL ARTICLE: "SARS-CoV-2 vaccination can elicit a
CD8 T-cell dominant hepatitis"
https://www.sciencedirect.com/science/article/pii/S0168827822002343
https://t.me/corona_impftod/30595
Credit to Erik R for bringing this to our attention,
possible link to child hepatitis cases.
SCHLANGENGIFTimpfschaden
Beispiele weltweit 4.5.2022: Hepatitis
(Leberschaden): Sterbehilfe: Myoglobin, Ketone und andere Schadstoffe,
die von COVID-19 Impfstoffen / Gentherapien freigesetzt
werden
https://sciencefiles.org/2022/05/04/sterbehilfe-myoglobin-ketone-und-andere-schadstoffe-die-von-covid-19-impfstoffen-gentherapien-freigesetzt-werden/
Autoimmunerkrankungen, die mittlerweile ganz offen als
Folge der COVID-19 Impfung / Gentherapie in den
entsprechenden wissenschaftlichen Arbeiten benannt werden,
nehmen – wenn man die vielen Publikationen, die ihnen als
Folge von COVID-19 Impfung / Gentherapie zur Grundlage
nimmt, erheblich zu. Darauf haben wir bereits vor ein paar
Tagen im ersten Teil unseres
Updates der wissenschaftlichen Studien, die einen
Zusammenhang zwischen COVID-19 Impfung / Gentherapie und
lebensver- bzw. -beendender Erkrankungen belegen
hingewiesen. Heute setzen wir dieses Update fort und
präsentieren eine Reihe sehr unangenehmer Konsequenzen von
COVID-19 Impfungen / Gentherapien, an erster Stelle die
Rhabdomylyse, die als sehr seltene Erkrankung gilt, deren
Seltenheit aber im Zuge des Massenimpfexperiments in einer
Weise zugenommen hat, die die Grenze zur Nicht-Seltenheit
überschritten hat. Gleich mehrere wissenschaftliche
Beiträge berichten von Rhabdomyolyse als Folge der
COVID-19 Impfung / Gentherapie.
[...]
Hepatitis [Leberentzündung]
Kurz nach seiner ersten Behandlung mit Pfizer/Biontechs
BNT162b2/Comirnaty Gentherapie entwickelt ein 52 Jahre
alter bisher gesunder Mann sich stetigt verschlimmernde
Übelkeit, Müdigkeit, Appetitlosigkeit und einen Ausschlag.
Es folgt – zehn Tage nach der ersten Pfizer/Biontech
Behandlung: Gelbsucht.
25 Tage nach der Behandlung hat sich der Zustand des
Mannes so verschlechtert, dass er mit einer aktuten
Hepatitis in ein Krankenhaus eingewiesen wird. Dort legt
er eine schnelle Gesundung hin und kann bereits nach drei
Tagen mit der Diagnose “toxische Hepatitis” entlassen
werden.
Es folgt, man soll es kaum glauben, die zweite Behandlung
mit Pfizer/Biontechs Gentherapie und 20 Tage später
stellen sich die alten Bekannten: Übelkeit und Müdigkeit
wieder ein. Labortest bestätigen das Wiederaufflammen der
Hepatitis. Eine Biopsie bestätigt die Diagnose und ergänzt
sie um das Adjektiv, autoimmun. Die anschließende
Behandlung wird 39 Tage nach ihrem Beginn durch einen
Rückfall zurückgeworfen. Schließlich gelingt es, den Mann
wieder mehr im Bereich “gesund” als “krank” anzusiedeln. 8
Wochen sind seit Beginn der Heilbehandlung vergangen.
“Liver inflammation is observed during SARS-CoV-2
infection but can also occur in some individuals after
vaccination and shares some typical features with
autoimmune liver disease. In this report, we show that
highly activated T cells accumulate and are evenly
distributed in the different areas of the liver in a
patient with liver inflammation following SARS-CoV-2
vaccination. Moreover, within these liver infiltrating T
cells, we observed an enrichment of T cells that are
reactive to SARS-CoV-2, suggesting that these
vaccine-induced cells can contribute to the liver
inflammation in this context.”
Mindestens 10 weitere US-Bundesstaaten melden
ähnliche Fälle von schwerer akuter Hepatitis – einer
Lebererkrankung unbekannten Ursprungs -, nachdem die
Centers for Disease Control and Prevention (CDC) am
21. April eine nationale Gesundheitswarnung wegen
einer mysteriösen Häufung des Virus herausgegeben
hatten.
Die Fälle betreffen zuvor gesunde Kinder im Alter von
einem Monat bis 16 Jahren, von denen viele plötzlich
an Hepatitis erkranken und gastrointestinale Symptome
wie Bauchschmerzen, Durchfall und Erbrechen sowie
Gelbsucht (Gelbfärbung von Haut und Augen) aufweisen.
Doug Schultz, ein Sprecher des
Gesundheitsministeriums von Minnesota, sagte dem
lokalen Fernsehsender KSTP-TV am 30. April, dass die
Behörde mehrere Fälle von ungeklärter Hepatitis bei
Kindern untersucht.
Bei zwei dieser Kinder, von denen eines ein Säugling
und das andere zwei Jahre alt ist, seien
Lebertransplantationen erforderlich gewesen, sagte er.
Eines von ihnen wartet noch immer darauf.
Das Gesundheitsministerium von Wisconsin (DHS) gab am
27. April ebenfalls eine Gesundheitswarnung heraus,
nachdem vier Fälle bei Kindern gemeldet worden waren,
darunter zwei mit schwerem Verlauf, einer, der eine
Lebertransplantation erforderte, und einer, der zum
Tod führte.
Ähnliche Fälle wurden auch in Delaware, Georgia,
Illinois, Louisiana, New York, North Carolina und
Tennessee gemeldet, wie die New York Post berichtet.
Auch in Alabama wurden seit November 2021 neun Fälle
gemeldet, wie das dortige Gesundheitsministerium am
15. April mitteilte.
In Kalifornien werden ebenfalls sieben Fälle
untersucht, von denen der erste im Oktober 2021
gemeldet wurde, berichtet der San Francisco Chronicle.
Forscher glauben, dass der Ausbruch der schweren
akuten Hepatitis mit dem Adenovirus in Verbindung
stehen könnte, einer Virusinfektion, die normalerweise
Erkältungen verursacht.
„Wir wissen noch nicht, ob das Adenovirus bei diesen
seltenen Erkrankungen eine Rolle gespielt hat oder ob
diese Fälle zusammenhängen“, sagte Ali Bay, eine
Sprecherin des kalifornischen Gesundheitsamtes, dem
Chronicle.
„Obwohl nur wenige Fälle dieser seltenen Krankheit
gemeldet wurden, bitten wir Eltern und
Erziehungsberechtigte dringend, allgemeine Maßnahmen
zu ergreifen, die dem gesunden Menschenverstand
entsprechen, um Infektionen und Krankheiten
vorzubeugen, z. B. gute Handhygiene, das Abdecken von
Husten und Niesen und das Fernhalten der Kinder von
der Schule oder der Kinderbetreuung, solange sie krank
sind.“
In ihrer Gesundheitswarnung vom letzten Monat
forderte die CDC alle Ärzte auf, auf Symptome zu
achten und alle Verdachtsfälle unbekannter Herkunft an
ihre örtlichen und staatlichen Gesundheitsämter zu
melden.
Die Gesundheitsbehörde erklärte, sie arbeite auch mit
den Gesundheitsämtern der Bundesstaaten zusammen, um
festzustellen, ob es weitere Fälle in den USA gibt und
was die Ursache sein könnte.
In der Zwischenzeit hat die
Weltgesundheitsorganisation bis zum 21. April
mindestens 169 Fälle in 12 Ländern gemeldet, darunter
im Vereinigten Königreich, Spanien, Israel, Dänemark,
Irland, den Niederlanden, Italien, Norwegen,
Frankreich, Rumänien, Belgien und den Vereinigten
Staaten.
Siebzehn Kinder mussten lebertransplantiert werden
und mindestens ein Todesfall wurde gemeldet, so die
WHO.
In mindestens 74 Fällen wurde das Adenovirus
nachgewiesen, fügten die Beamten hinzu.
„Während das Adenovirus eine mögliche Hypothese ist,
wird nach dem verursachenden Erreger gesucht“, sagte
die Gesundheitsbehörde und merkte an, dass diese
Hypothese die Schwere des klinischen Bildes nicht
vollständig erklärt“ und dass der involvierte
Adenovirus-Typ bisher nicht mit einem solchen
klinischen Bild in Verbindung gebracht wurde“.
Die Agentur wies darauf hin, dass bestimmte Faktoren
wie eine erhöhte Anfälligkeit bei Kleinkindern infolge
einer geringeren Verbreitung des Adenovirus während
der COVID-19-Pandemie, das mögliche Auftreten eines
neuen Adenovirus sowie die COVID-19-Infektion noch
untersucht werden müssen.
Ein möglicher Zusammenhang mit COVID-19-Impfstoffen
wurde jedoch ausgeschlossen, da die große Mehrheit der
betroffenen Kinder mit akuter Hepatitis nicht geimpft
war.
Leberschaden durch
SCHLANGENGIFTimpfung weltweit 8.5.2022:
Medizin-Aufsichtsbehörden vermuten, abgeschwächte Viren in
den Impfungen von AstraZeneca und Jansen seien für
Kinder-Leberschaden verantwortlich: Medicine Regulators believe attenuated viruses in
AstraZeneca & Janssen COVID Vaccines are to blame for
rise in deadly Hepatitis among Children
https://dailyexpose.uk/2022/05/07/medicine-regulators-blame-covid-jabs-hepatitis-children/
The World Health Organization recently issued a
‘global alert’ about a new form of severe hepatitis
affecting children.
SCHLANGENGIFTimpfschaden Arztpraxis Schweiz
13.5.2022: Immer mehr Turbokrebs+Leberwerte schlecht -
Lymphprobleme+Blutveränderung - Muskelschäden,
Rheumaschmerzen, Schmerzen an Nacken, Lenden - Müdigkeit
ohne Ende - Leberschaden, Gallenblase kaputt, Eisenmangel
Impfschäden Schweiz Coronaimpfung, [13.05.2022 08:22]
https://t.me/Impfschaden_Corona_Schweiz/44404
Eine neue Meldung:
Mal wieder einen Bericht aus dem Praxisalltag.
Ich habe einen Anstieg von Krebs in der Praxis. Alles
Geimpfte. Es fällt auf das der Krebs sehr agressiv ist, tz
Wachstum in 2W. zum spürbaren Knoten. Es fällt auf das
Leberwerte bedenklich sind.
Bei anderen haben andere Symptome. Die Lymphe scheint ein zu
dicken. Das Blut verändert sich. Es gibt muskuläre
Erscheinungen, Schmerzen an Gelenken. Nacken und
Lendenbeschwerden.
Und..müüüüdigkeit. Leber Gallenbeschwerden. Eisenmangel. Es
wird immer schlimmer.
Verdacht
SCHLANGENGIFTimpfschaden Schweiz 18.5.2022: Frau (82) 2x
geimpft: verträgt keinen Alkohol mehr
Impfschäden Schweiz Coronaimpfung, [18.05.2022 20:19]
https://t.me/Impfschaden_Corona_Schweiz/44837
Eine neue Meldung:
Eine Meldung aus meinem Bekanntenkreis. 82 jährige Frau hat
sich im Mai/Juni 21 spritzen lassen (2x).Ob sie geboostert
ist, weiss ich nicht, vermute ich aber, der Verdacht liegt
nahe. Bei einem Gespräch letzte Woche erzählte sie mir
nämlich, dass sie seit einigen Wochen keinen Alkohol mehr
verträgt (sie geniesst gerne ein Gläschen). Sie waren auf
Besuch, es gab Wein, sie konnte nach einem Schluck plötzlich
nichts mehr trinken und essen, es hat sie regelrecht
gewürgt. Es war ihr so peinlich, weil ihre Gastgeber ja für
sie und ihren Freund extra feines gekocht haben. Sie gab
irgendwelchen Magen-/Darmgeschichten die Schuld, obwohl sie
keine entsprechenden Beschwerden hatte. Ich habe
nachgefragt, wann genau dies passiert ist (in der Hoffnung
auf einen zeitlichen Hinweis, so dass ich weiterfragen
könnte), aber sie konnte mir nicht sagen, wann es das
erste Mal war. Da ich bereits bei Impfbeginn schon einen
Hinweis via Twittermeldung (in den Impfschäden oder wo)
betr. Alkohol von einer jungen Frau gelesen habe, habe ich
natürlich gleich gedacht, es könnte die Impfung sein. Aber
nach so langer Zeit? Nach dem Booster habe ich nicht
gefragt, wollte sie nicht auf eine evtl. falsche Fährte
locken. Vielleicht ergibt sich später weiteres. Liebe
Grüsse!
SCHLANGENGIFTimpfschaden
Kanton Wallis (27.5.2022): Mann (30-60) 3x Moderna
geimpft: Nierenstein-OP, Gallensteine, Leberproblem mit
Autoimmunerkrankung
Impfschäden Schweiz Coronaimpfung, [27.05.2022 14:38]
https://t.me/Impfschaden_Corona_Schweiz/45298
Darunter:
Gestern Niere, Galle und Leber betroffen, m, 60
Jahre, VS
Traf letzte Woche einen Verwandten. Er teilte mir mit, dass
er Nierensteine und Gallensteine hat. Nierensteine mussten
entfernt werden. Bei der Untersuchung hat sich
herausgestellt, dass seine Leber ein Problem hat. Es habe
sich herausgestellt, dass er eine Autoimmun Erkrankung hat.
Hatte vorher keine gesundheitlichen Probleme. Trinkt zwar
gerne ein Glas Wein und ist übergewichtig, aber ist sonst in
guter gesundheitlicher Verfassung. Auf meine Nachfrage
bezüglich Corona Impfung hat er bestätigt, dass er das volle
Programm gemacht hat, dh. 3x gespritzt ist. Er sagt von sich
aus, dass dies eine Folge der Spritzen sein könnte ....
Kortison ist seither sein Begleiter und er geht weiter
seiner Arbeit nach. Hmm..!
Moderna
SCHLANGENGIFTimpfschaden
Schweiz 15.6.2022: Frau 3x geimpft: hatte Corona - nun
Leberschaden - ist auf Chemo
Impfschäden Schweiz Coronaimpfung, [15.06.2022 16:52]
https://t.me/Impfschaden_Corona_Schweiz/46539
Eine neue Meldung:
Bekannte 3x 💉 & grobe Covid-Erkrankung hat nun wieder
aktivierte Leberzirrhose (gem. ihr wegen dem Virus) und ist
wieder im Chemoprogramm😔
Verdacht
SCHLANGENGIFTimpfschaden + Spitaldesaster Schweiz
16.6.2022: Gallensteine und Leberschäden nehmen zu - z.T.
gigantische Steine bis 2cm Durchmesser - oft Darmprobleme
mit Darmverschluss und Blinddarm - Diabetes,
Herzrhythmusstörungen, Krebs
Siena, [16.06.2022 15:34]
https://t.me/Impfschaden_Corona_Schweiz/46630
Eine neue Meldung:
Hallo Siena 💐 zu den vermehrten Gallenblasen:
Ich kann das bestätigen. Ich arbeite im Aufwachraum und es
hat viel mehr Patienten mit Gallensteinen und auch erhöhten
Leberwerten. Auffallend ist, dass die Steine teilweise
sicher 2cm Durchmesser haben 🙈
Auffallend ist auch, dass wir immer wieder Patienten mit
Illeus/Subilleus haben (Darmverschluss) oder Blindarm.
Gehäuft kommt auch neuentdeckter Diabetes,
Herzrhytmusstörungen oder Krebs hinzu
Ich habe noch nie so viel Kreislaufmedikamente
(Noradrenalin) gebraucht wie seit den letzten 3 Monaten
Lieber Gruss
SCHLANGENGIFTimpfschaden
Italien 19.6.2022: Frau (ca.70) 2x geimpft:
Leberschaden, Gallenblase + Nieren sind Problem - OP -
ist auf Medis
Impfschäden Schweiz Coronaimpfung, [19.06.2022 18:49]
https://t.me/Impfschaden_Corona_Schweiz/46966
ach ja, frau, w. ca. 70 jahre alt , wohnhaft in italien,
sicher 2 x gespritzt dazumal; notfall spital;
leberschaden, gallen- und nierenprobleme, musste starke
medis nehmen, dann gab es noch eine op
Verdacht
SCHLANGENGIFTimpfschaden 4R 20.6.2022: Mann (56) 3x
geimpft: nach 3 Wochen Herzmuskelstörung+Leberschaden+ist
grau+Turbo-Demenz - Frau (51) 3x geimpft: Übelkeit,
Erbrechen, Fieber, immer müde, ohne Appetit, krank
geschrieben - Mann mit J&J-Impfung: Rollstuhl - Frau
(38) 3x geimpft: Brustkrebs+Darmkrebs
Impfschäden
Schweiz Coronaimpfung, [20.06.2022 15:57]
https://t.me/Impfschaden_Corona_Schweiz/47053
Eine neue Meldung:
Hallo ich bin nicht aus der Schweiz, aber aus Sachsen
im Vogtland. Wir wohnen ländlich und hier ist die
Hölle los. Mein Onkel 56... 3 mal geimpft
Herzmuskelstörung herzmuskelstörung und eine
angeschlagene Leber innerhalt 3 Wochen nach der
Impfung. Er wirkt grau und runtergekommen.
Arbeitskollegin 51. 1 woche nach Booster
Übelkeit erbrechen Fieber dauermüde und
appetitosigkeit.... Vorerst krank.
Bekannter nach Johnson Impfung im rollstull.
Vorerkrankt...
Bekannte von unsrem Kegelverein 38 Jahre
geboostert seid November letzten Jahres plötzlich
Brustkrebs kurz drauf Darmkrebs 3 grades
Verdacht
SCHLANGENGIFTimpfschaden 4R 20.6.2022: Mann (56) 3x
geimpft: nach 3 Wochen Herzmuskelstörung+Leberschaden+ist
grau+Turbo-Demenz - Frau (51) 3x geimpft: Übelkeit,
Erbrechen, Fieber, immer müde, ohne Appetit, krank
geschrieben - Mann mit J&J-Impfung: Rollstuhl - Frau
(38) 3x geimpft: Brustkrebs+Darmkrebs
Impfschäden
Schweiz Coronaimpfung, [20.06.2022 15:57]
https://t.me/Impfschaden_Corona_Schweiz/47053
Eine neue Meldung:
Hallo ich bin nicht aus der Schweiz, aber aus Sachsen
im Vogtland. Wir wohnen ländlich und hier ist die
Hölle los. Mein Onkel 56... 3 mal geimpft
Herzmuskelstörung herzmuskelstörung und eine
angeschlagene Leber innerhalt 3 Wochen nach der
Impfung. Er wirkt grau und runtergekommen.
Arbeitskollegin 51. 1 woche nach Booster
Übelkeit erbrechen Fieber dauermüde und
appetitosigkeit.... Vorerst krank.
Bekannter nach Johnson Impfung im rollstull.
Vorerkrankt...
Bekannte von unsrem Kegelverein 38 Jahre
geboostert seid November letzten Jahres plötzlich
Brustkrebs kurz drauf Darmkrebs 3 grades
SCHLANGENGIFTimpfung gegen
Kinder in der Schweiz 29.6.2022: Mutter 3x geimpft hat nun
Baby Bub 8 Wochen alt: Gallenwege kaputt, Leber kaputt
Impfschäden Schweiz Coronaimpfung, [29.06.2022 09:43]
https://t.me/Impfschaden_Corona_Schweiz/47828 (Fortsetzung)
Neffe einer Kollegin, 8 Wochen: Gallenwege haben sich
"zersetzt", Leber wurde durch diesen Prozess und den
Gallenstau schwer geschädigt, Baby braucht zeitnah eine
Lebertransplantation 😳😱,
Mutter 3x beglückt (die dritte Dosis vermutlich in der SS)
Natürlich wird kein Zusammenhang gesehen 😢
SCHLANGENGIFTimpfschaden
Schweiz 3.7.2022: Leberschaden festgestellt - Pharma-Ärzte
wissen nicht warum
Impfschäden Schweiz Coronaimpfung, [03.07.2022 10:49]
https://t.me/Impfschaden_Corona_Schweiz/48151
Eine neue Meldung:
Ein weiteres Einzelbeispiel:
Der Freund meiner Schwester musste im Spital Untersuchungen
machen. Sie hatten sich vor einem Jahr für Auslandsferien
geimpft und im Januar hatten sie eine Grippe. Meine
Schwester hatte sich damals testen lassen und der PCR Test
gab negativ auf Covid-19 an. Sie hatten also laut PCR Test
eine normale Grippe. Die Grippe dauerte bei ihren Kindern (2
und 5 Jahre) nur etwa drei Tage, bei den Eltern eine Woche
lang hohes Fieber bis 39 Grad. Danach kamen sie nicht wieder
aus ihrer Erschöpfung raus. Meine Mutter fuhr hin um die
Kinder zu betreuen und die Eltern zu unterstützen. Meine
Schwester ging zum Arzt, da sie bei der Arbeit nicht fehlen
sollte und es hiess, sie habe einen Eisenmangel. Nach einer
Eisenzuführung konnte sie wieder arbeiten gehen. Dem Freund
aber ging es einfach nicht besser. Er schlief immer wieder
ein, konnte kaum seine tägliche Arbeit verrichten. Die
Kinder machten gefährliche Sachen, während er immer wieder
plötzlich einschlief. Er trank Kaffee und ass zwischendurch
um genug Kraft zu haben. Irgendwann ging er dann doch zum
Arzt. Er wurde ins Spital überwiesen. Eine Reihe
Untersuchungen ergab, dass er Leberwerte von einem um
zwanzig Jahre älteren Alkoholikers habe. Die Ärzte wissen
nicht, warum das so ist. Sie haben ihm des Gewichts wegen
eine Diät verschrieben, aber mein Schwager sagt sogar
selber, dass es doch das Essen alleine nicht sein kann. Auch
meinten sie, er habe vielleicht ein Burnout und er müsste
halt seinen Alltag anders organisieren. An ihrem Wohnort hat
es viel Elektrosmog, den sie als solchen nicht erkennen, (da
das ja auch nicht Mainstream info ist). Ich vermute, dass
der Elektrosmog die schädliche Wirkung dieser MRNA Spritze
verstärkt und beschleunigt.
SCHLANGENGIFTimpfschaden
Schweiz 10.7.2022: Frau (60) 2x geimpft: hohe Leberwerte,
hohe Schilddrüsenwerte, Atemnot beim Gehen (!)
Impfschäden Schweiz Coronaimpfung, [10.07.2022 10:28]
https://t.me/Impfschaden_Corona_Schweiz/48761
Eine neue Meldung:
Bekannte, 60j / 2x geschlumpft. nun erhöhte leberwerte,
schilddrüsen werte erhöht. atemnot beim gehen.
VOrher kerngesund
Verdacht
SCHLANGENGIFTimpfschaden Schweiz 15.7.2022: Mann 3x Pfizer
geimpft: immer müde - Zusammenbruch - Spital - ist auf
Antibiotika etc. - MRI stellt Leberschaden+Nierenschaden
fest
Impfschäden Schweiz Coronaimpfung, [15.07.2022 07:47]
https://t.me/Impfschaden_Corona_Schweiz/48993
Eine neue Meldung:
Aus meinem Umfeld: Arbeitskollege plötzlich Dauermüde,
musste bei Zusammenbruch in den Notfall. Hat Vieles inkl
Hochdosiert Antibiotikum bekommen. Nach 3 Wochen MRI gehabt,
nun steht fest massives Leber und Nierenversagen. 3 mal
Pfyser. Vorher sein Leben lang nie krank. Er ist schlank und
trinkt nicht.
SCHLANGENGIFTimpfschaden
Schweiz 28.7.2022: Mann+Frau (22+26) geimpft: beide immer
krank+immer müde+beide geschwollene Lymphknoten+Kopfweh
mit Erbrechen (Leberschaden)
Impfschäden Schweiz Coronaimpfung, [28.07.2022 16:01]
https://t.me/Impfschaden_Corona_Schweiz/49751
Eine neue Meldung:
Danke für euren wichtigen Einsatz. Mein Bruder und seine
Freundin 22 und 26 (beide) sind dauererkältet und immer
müde. Geschwolle Lymphknoten und beide immer massive
Kopfschmerzen bis hin zum erbrechen. Ihr dämmert es, aber er
winkt eine Möglichkeit mit Zusammenhang ab. Sie haben sich
deswegen sogar schon heftig gestritten.
Kinder-Hepatitis
nach "Coronaimpfung" 29.7.2022: Kombination aus zwei
Viren, genetischen Faktoren und Lock- sowie Shutdowns: 1010 Meldungen in 35 Ländern: Mögliche Ursache für
mysteriöse Hepatitis-Fälle gefunden
https://www.20min.ch/story/moegliche-ursache-fuer-mysterioese-hepatitis-faelle-gefunden-714655682149
Seit im April 2022 die ersten mysteriösen Hepatitis-Fälle
bei Kindern auftraten, versuchen Fachleute herauszufinden,
was dahinter steckt. Nun deuten zwei Studien in dieselbe
Richtung.
Die mysteriösen Hepatitis-Fälle bei Kindern geben
seit Monaten Rätsel auf.
Unter Verdacht standen schon das Corona- und ein
Adenovirus.
Nun präsentieren zwei voneinander unabhängige
Forschungsteams eine weitere Erklärung.
Demnach könnte die Ursache eine Kombination aus
zwei Viren, genetischen Faktoren und Lock- sowie
Shutdowns sein.
Seit Monaten versuchen Fachleute herauszufinden, was
hinter einer Reihe rätselhafter Hepatitis-Infektionen
steckt. Bis zum 8. Juli 2022 zählt die
Weltgesundheitsorganisation WHO 1010
Verdachtsfälle in 35 Ländern, knapp die Hälfte davon
in Europa. 22 Kinder starben in der Folge, 46 mussten
eine Spenderleber transplantiert bekommen. Die meisten
der Betroffenen waren jünger als sechs Jahre (siehe
Bildstrecke).
Bislang ist unklar, was hinter dem Ausbruch steckt.
Bei keinem der betroffenen Kinder konnten Viren
nachgewiesen werden, die normalerweise die Krankheit
auslösen. Als Ursache standen unter anderem das
Coronavirus Sars-CoV-2
und Adenoviren,
die häufig Erkältungs- und grippeähnliche Symptome
auslösen, im Verdacht.
Unter
Verdacht stehen zwei alte Bekannte
Zwei voneinander unabhängige Forschungsteams aus
Glasgow und London erhärten nun die Vermutung, dass
Adenoviren die Leberentzündungen ausgelöst haben.
Jedoch nicht allein, so die Forschenden in ihren noch
nicht von unabhängigen Fachleuten begutachteten
Arbeiten. Vielmehr scheint noch ein zweites Virus, das
sogenannte Adeno-assozierte Virus 2 (AAV2), beteiligt
zu sein.
AAV2?
Adeno-assoziierte Viren wie AAV2 gehören zu den
sogenannten Dependoviren. Sie können alleine keine
Zellen infizieren, sondern sind immer abhängig von
einem Helfervirus, mit dem sie gemeinsam dieselbe
Zelle befallen können. AAV2 ist also eine Art
molekularer Trittbrettfahrer. Bislang war man
davon ausgegangen, dass AAV2 keine Krankheiten
auslöse. Wie Spektrum.de
berichtet, kennt man AAV2 seit fast 60 Jahren,
«und vier von fünf Erwachsenen wurden Studien
zufolge bereits damit infiziert.» Dies geschehe
meist in früher Kindheit und verlaufe fast immer
komplikationslos.
Das Team um Emma Thomson, Professorin für
Infektionskrankheiten am MRC-University of Glasgow
Centre for Virus Research, fand AAV2 bei allen neun
untersuchten Kindern mit auffälliger Hepatitis. Die
Gruppe um die Virologin Judith Breuer vom University
College London entdeckte AAV2 bei 94 Prozent der 28
Hepatitisfälle. So gut wie nicht nachgewiesen wurde es
dagegen bei Kindern, die keine Leberentzündung gehabt
haben oder deren Hepatitis eine geklärte Ursache
hatte. «Unsere Ergebnisse stimmen absolut mit
denen der schottischen Gruppe überein», erklärte
Breuer an einer Pressekonferenz.
Genetische
Komponente
Auch in einem weiteren Punkt decken sich die
Resultate der Arbeiten: So fanden beide Teams in den
Erbanlagen der betroffenen Kinder besonders häufig das
Gen DRB1*0401, von dem bekannt ist, dass es die
Funktionsweise des Immunsystems beeinflusst. Das Gen
war in einem Grossteil der Proben vorhanden.
Normalerweise kommt es in Grossbritannien nur selten
vor. «Wir denken, dass AAV2 und das humane Adenovirus
eine unerklärliche pädiatrische Hepatitis bei Kindern
auslösen können, die aufgrund des Immun-Gens dafür
anfällig sind», zitiert Technologyreview.com
Breuer.
«Wir denken,
dass AAV2 und das humane Adenovirus eine
unerklärliche pädiatrische Hepatitis bei Kindern
auslösen können, die aufgrund des Immun-Gens
dafür anfällig sind.»
Judith Breuer,
University College London
Auch
Pandemie könnte eine Rolle gespielt haben
Dass Sars-CoV-2 eine Rolle spielt, schliessen beide
Teams aus. Dennoch könnte die Corona-Pandemie den
Hepatitisausbrüchen den Weg geebnet haben, so die
Forschenden. Denn die Massnahmen zur Eindämmung des
Coronavirus hätten auch Auswirkungen auf andere
Infektionskrankheiten gehabt. «Während Lock- und
Shutdown, konnten die Kinder untereinander keine Viren
verbreiten», zitiert BBC.com
Breuer. So hätten sie keine Immunität gegen andere
Infektionen aufbauen können, denen sie normalerweise
ausgesetzt seien. Infolge der Aufhebungen hätten sich
die Kinder zum ersten Mal mit den sehr verbreiteten
Erregern infiziert und bei ungünstiger Konstellation
zwischen Genen und Ko-Infektionen sei es dann zu den
auffälligen Hepatitis-Zahlen gekommen. Ein ähnlicher
Anstieg war auch bei den
RSV-Fällen zu beobachten gewesen.
Die Forschenden weisen darauf hin, dass es noch
weitere und grösse Studien brauche. So sieht es auch
Christina Pagel, Medizinerin bei der Clinical
Operational Research Unit in London. Sie betont auf
Twitter, dass es sich zwar um eine starke Korrelation,
aber noch keinen endgültigen Beleg handle.
Verdacht
SCHLANGENGIFTimpfschaden Schweiz 31.7.2022: Nachbarn haben
Krebs, Herzschaden, Leberschaden
Impfschäden Schweiz Coronaimpfung, [31.07.2022 11:12]
https://t.me/Impfschaden_Corona_Schweiz/49903 (Fortsetzung)
Ich hab aufgehört Studien zu lesen, dieses Graphen scheint
in jeder Plörre drin zu sein ... Meine ganze
Nachbarschaft hat Krebs,Herzprobleme und schlechte
Leberwerte,niemand sieht den Zusammenhang oder mochte es
nicht zugeben .. es ist der pure Wahnsinn das alles!!
SCHLANGENGIFTimpfschaden
Schweiz 25.9.2022: Person 2x geimpft: Nierenschaden,
Leberschaden
Impfschäden Schweiz Coronaimpfung, [25.09.2022 17:48]
https://t.me/Impfschaden_Corona_Schweiz/54243
Eine neue Meldung:
Bekannt getroffen, seit 2. 💉, nieren- Leber Probleme ...
SCHLANGENGIFTimpfschaden
mit Personalmangel Schweiz 28.9.2022: 2 Leute haben
Pfeiffersches Drüsenfieber, einer mit Nieren+Leberschaden
- 1 Mann geimpft: wird aggressiv
Impfschäden Schweiz Coronaimpfung, [28.09.2022 08:14]
https://t.me/Impfschaden_Corona_Schweiz/54409
Eine neue Meldung:
Ja es nimmt zu: Personalmangel in der ganzen Firma. 2 liebe
Kollegen Pfeifferisches Drüsenfieber, einer davon Notfall im
Spital. Dem wurde noch Nieren und Leberinsulfenz
diagnostiziert. Da ich ihm gesagt habe es könne die Impfung
sein( war ein Leben lang gesund Ende 40, 2 Kinder) hat den
Arzt gefragt ob es die impfung sein könne. Nein auf keinen
Fall.🙈 1 Kollege seit ein paar Monaten sehr agressiv. Da
die Symtome min 6 Monate nach der Impfung auftauchen wird
wehement abgestritten das es diese sein könnte. Was für ein
genialer Plan besser als Gaskammern.
SCHLANGENGIFTimpfschaden
Schweiz 19.10.2022: Frau geimpft: Gewichtsabnahme +
Hirnschaden beim Gedächtnis - Mann geimpft: Nierensteine+
Leberverschluss, ist auf Morphium - Frau geimpft: immer
Übelkeit, kraftlos
Impfschäden Schweiz Coronaimpfung, [19.10.2022 19:14]
https://t.me/Impfschaden_Corona_Schweiz/56363
Eine neue Meldung:
Habe schon über unsere geimpften Kunden berichtet und
erwähnte, dass es bei einigen noch keine Nebenwirkungen
gibt/ gab. Das hat sich in den letzten Wochen zum Nachteil
der Geimpften geändert. Eine Kundin beschwerte sich über
sehr rapiden Gewichtsverlust, sie hätte Arme wie eine Tote
und das Gedächtnis lässt sie auch im Stich und sie ist sich
sicher es kommt von der Impfung. Der 2 Kunde liegt mit
Nierensteine und Leberverschluss im Spital, bekommt
Morphium, damit er die Schmerzen aushält, wollte noch die 4.
abholen, jetzt auch nicht mehr. Die 3. Kundin erzählte heute
ihr wäre immer übel, kann das essen nicht behalten und sie
wären so doof gewesen vor der Impfung gesund und jetzt nur
gesundheitliche Probleme kaum Kraft zum arbeiten. So langsam
erwachen sie.
"Corona"-Impfschaden
Schweiz 11.11.2022: Übelkeit, immer müde, kein Appetit,
Ausschlag, und dann Gelbsucht - er heilt - und dann
Hirnschaden: Er zieht sich die 2. Impfung rein und alles
kommt nochmals
Impfschäden Schweiz Coronaimpfung, [11.11.2022 10:05]
https://t.me/Impfschaden_Corona_Schweiz/58237
Kurz nach seiner ersten Behandlung mit Pfizer/Biontechs
BNT162b2/Comirnaty Gentherapie entwickelt ein 52 Jahre alter
bisher gesunder Mann sich stetig verschlimmernde Übelkeit,
Müdigkeit, Appetitlosigkeit und einen Ausschlag. Es folgt –
zehn Tage nach der ersten Pfizer/Biontech Behandlung:
Gelbsucht.
25 Tage nach der Behandlung hat sich der Zustand des Mannes
so verschlechtert, dass er mit einer akuten Hepatitis in ein
Krankenhaus eingewiesen wird. Dort legt er eine schnelle
Gesundung hin und kann bereits nach drei Tagen mit der
Diagnose “toxische Hepatitis” entlassen werden.
Es folgt, man soll es kaum glauben, die zweite Behandlung
mit Pfizer/Biontechs Gentherapie und 20 Tage später stellen
sich die alten Bekannten: Übelkeit und Müdigkeit wieder ein.
Labortest bestätigen das Wiederaufflammen der Hepatitis.
Eine Biopsie bestätigt die Diagnose und ergänzt sie um das
Adjektiv, autoimmun. Die anschließende Behandlung wird 39
Tage nach ihrem Beginn durch einen Rückfall zurückgeworfen.
Schließlich gelingt es, den Mann wieder mehr im Bereich
“gesund” als “krank” anzusiedeln. 8 Wochen sind seit Beginn
der Heilbehandlung vergangen.
Eine von 200 Fallstudien aus 160 Studien, in denen die
Kausalität zwischen COVID-19 "Impfung" und nachfolgender
schwerer Erkrankung belegt ist, die wir hier besprochen
haben:
Die originale Meldung:
https://sciencefiles.org/2022/10/19/160-studien-53-schwere-erkrankungen-die-liste-der-nachweislichen-covid-19-impfschaeden-wird-laenger/#Autoimmune%20Hepatitis