Kontakt / contact     Hauptseite /
                      page principale / pagina principal / home     zurück /
                      retour / indietro / atrás / back

Merkblatt: Knie 01: Die Kniescheibe 03: ist "herausgesprungen" (lat.: Patellaluxation)


Knie     Kniescheibe ist herausgesprungen
                                  beim Mensch     Kniescheibe ist herausgesprungen
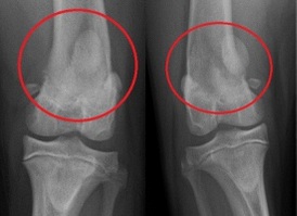
                                  und ist an der Seite, Röntgenfoto bei
                                  einem Hund    Schema Knie Querschnitt
Knie [1] -
Kniescheibe ist herausgesprungen [4] - Kniescheibe ist herausgesprungen und ist an der Seite, Röntgenfoto bei einem Hund [5]
Knie Schema mit dem Querschnitt [x1]



von Michael Palomino (2022 / 2023)

Teilen / share:

Facebook






Die Kniescheibe ist herausgesprungen (lat.: Patellaluxation)


Kniescheibe mit Bändern,
                            Schema Seitenansicht Kniescheibe mit Bändern, Schema Seitenansicht [2] und von vorn [3]

-- die Kniescheibe ist eine etwas dreieckige Scheibe mit Wölbung zum Schutz des Knies
-- die Kniescheibe wird von Sehnen oben und unten gehalten, oben am Oberschenkelmuskel angesetzt, unten am Schienbein angesetzt
-- dank der Kniescheibe und den Sehnen kann man das Bein in leichter Weise strecken
-- die Rückseite der Kniescheibe hat eine Knorpelschicht für das Gleiten beim Beugen und Strecken des Beines
-- im Alter bildet sich die Knorpelschicht zurück, so beginnt oft eine Kniearthrose
-- Schäden an der Kniescheibe können sein: Fehlbildung, Bruch, Entzündung [web01]

-- die Kniescheibe bewegt sich in einer Art Rinne (Trochlea) des Oberschenkelknochens [web04,web05].

Klinik-Videos von Dr. Preis Köln: YouTube-Kanal Link


Knie mit Kniescheibe mit
                          Bändern, Vorderansicht

Hier ist die Rinne zwischen den beiden Wölbungen des Oberschenkelknochens. In dieser Rinne rutscht die Kniescheibe hin und her:

Die Kniescheibe gleitet in der Rinne
                  zwischen den beiden Wölbungen des Oberschenkelknochens
                  - Dr. Preis
Die Kniescheibe gleitet in der Rinne (lat.: Trochlea) zwischen den beiden Wölbungen des Oberschenkelknochens - Dr. Preis [6]

Zitat:
"Die Kniescheibe (Patella) ist ein flacher Knochen, der vor dem Kniegelenk liegt. Von vorne betrachtet hat die scheibenförmige Kniescheibe eine eher dreieckige Form mit einer leichten Wölbung nach vorn. Die Kniescheibe ist in die Sehne eingebunden, die am Oberschenkelmuskel ansetzt. Sie vergrößert damit die Hebelwirkung der Sehne und sorgt dafür, dass wir das Bein mit geringem Kraftaufwand des Oberschenkelmuskels strecken können. Außerdem schützt sie das Kniegelenk. Wenn wir das Knie strecken und wieder beugen, wandert die Kniescheibe mehrere Zentimeter über den Oberschenkelknochen. Deshalb ist die Rückseite der Kniescheibe mit einer dicken Knorpelschicht überzogen. Schäden an der Kniescheibe können sich aus Fehlbildungen ergeben, durch Bruch oder Entzündungen entstehen. Außerdem beginnt eine Kniearthrose häufig an der Kniescheibe." [web01]

Und die Kniescheibe kann "aus der Fassung" springen, aus der Schiene springen (dann ist die Kniescheibe "rausgefallen").


-- man kann die Kniescheibe pflegen mit leichten Bewegungen der Knie wie Walken oder Radfahren [web01]

Kniescheibe im Kindesalter

-- die Kniescheibe ist bei Babys und Kleinkindern noch gar nicht da, sondern die Kniescheibe verknöchert erst ab 3 Jahren
-- in den ersten 3 Jahren der Kindheit sind Fehlbildungen der Kniescheibe möglich mit Asymmetrie, Knorpelabrieb etc., dann haben die Kinder Knieschmerzen oder die Fehlbildung bleibt unbemerkt und die Schmerzen kommen dann später [web01]


Schäden an der Kniescheibe

-- erleidet eine Kniescheibe einen Schaden, so ist die Kniescheibe auch nach der Heilung immer eine Schwachstelle des Körpers [web01]


Die instabile Kniescheibe, prädestiniert zur Patellaluxation

Wenn diese Rinne (lat. Trochlea) am
                        Oberschenkelknochen zu flach ist, springt die
                        Kniescheibe immer wieder raus - Dr. Preis    Dr. Stefan Preis von der Klinik am Ring
                    aus Köln
Wenn diese Rinne (lat. Trochlea) am Oberschenkelknochen zu flach ist, springt die Kniescheibe immer wieder raus - Dr. Preis [6] - Dr. Stefan Preis [7]

-- Wenn die Rinne des Oberschenkelknochens zu flach ist, besteht das Risiko, dass die Kniescheibe aus der Bahn springt [web05 (1'20-1'29'')].
-- eine instabile Kniescheibe fühlt sich an "wie Pudding" und die Betroffenen haben immer Angst einzubrechen  oder "wegzusacken" [web04]
-- eine instabile Kniescheibe provoziert oft Schmerzen im vorderen Kniebereich [web04]
-- bei Jugendlichen mit Wachstumsschub kann es sein, dass das Knie in der Entwicklung verzögert ist [web04]
-- die Instabilität von Kniescheiben wird begünstigt durch X-Beine [web01,03,04], durch Kniescheibenhochstand oder Bänderschäden [web04]
-- wenn die Kniescheibe immer gegen die Rinne drückt (Patella-Stress [web03]), wird der Knorpel abgeschliffen und das kann bis zur Arthrose gehen [web04].


"Herausgesprungene" Kniescheibe (lat.: Platella-Luxation)

Kniescheibe ist herausgesprungen
                        beim Mensch
Kniescheibe ist herausgesprungen beim Mensch [4]

-- die instabile Kniescheibe [mit zu flacher Rinne] springt oft beim Sport heraus bei einer "Verdrehung des Knies" (Patella-Luxation) [web01]. Bei einer instabilen Kniescheibe reicht eine leichte Verdrehung des Knies - z.B. beim Sport - und die Kniescheibe fliegt raus [web05 (1'29''-1'36'')], oder auch bei einem Unfall kann eine instabile Kniescheibe herausspringen [web06 (20''-28''9]
bzw.
-- wenn die Kniescheibe an der Unterseite oder die Rinne verformt sind und nicht mehr reibungslos gleitet, drückt die Kniescheibe von aussen gegen die Rinne, und im Extremfall kann die Kniescheibe aus der Rinne herausspringen [web04]
-- weitere Faktoren für das Herausspringen der Kniescheibe sind auch schlecht arbeitende Muskeln und Sehnen der Kniescheibe [web04]
-- "herausgesprungene" Kniescheiben kommen in jedem Alter vor [web04], vor allem aber bei Mädchen und jungen Frauen [web02], anatomisch begünstigt mit X-Beinen und anderen Bein-Fehlstellungen [web01]

X-Beine: Dann ist auch die Gleitrinne (Trochlea) der Kniescheibe in einer verdrehten, schiefen Lage, und auf die Kniescheibe wirken dann immer auch seitliche Kräfte ein. Vielleicht ist die Gleitrinne auch noch kurz und flach (falsch geformt - dysplastisch) oder gar nicht vorhanden [web03].

-- beim Herausspringen der Kniescheibe werden verschiedene Grade unterschieden, und X-Beine sind wirklich schlimm für die Kniescheibe:
"Die Schweregrad reicht vom Überlastungs-Syndrom (Patella-Stress) über die Subluxation (Schnappen oder Hüpfen der Kniescheibe) bis zur echten Patellaluxation (Kniescheibenverrenkung).  In den meisten Fällen liegt eine Drehvariante (verstärkte Innendrehung des Oberschenkels) mit vermehrter Antetorsion des Femur  zugrunde." [web03]

Die Kniescheibe kann bei Drehbewegungen herausspringen, meistens springt sie nach aussen. Nach innen springt eine Kniescheibe nur, wenn auch eine Bänderschwäche vorliegt, oder wenn eine Operation falsch gelaufen ist und die Kniescheibe dann zu stark nach innen liegt [web03].

-- oft springt die Kniescheibe von allein zurück [web01], die Kniescheibe schnalzt zurück [web02]

-- aber das Problem ist damit nicht behoben: "Problematisch: Ist die Kniescheibe erst einmal rausgesprungen, macht sie das immer wieder" [web02], das heisst: Solche Kniescheiben, die immer wieder rausspringen, werden zum "chronischen Problem" [web05 (2'13''-2'29'')]

-- und die Kniescheibe, die herausspringt, richtet im Kniegelenk massiven Schaden an [web05]:
Wenn die Kniescheibe nach aussen springt, werden die Gelenkkapsel und wichtige Stabilisierungsbänder an der Knie-Innenseite eingerissen (1'50-1'57''). Dies provoziert eine Blutkonzentration für die Heilung (eine "Einblutung") und das Gelenk schwillt an (1'57''-2'0''). Ausserdem ist eine Knorpelverletzung wahrscheinlich, im Extremfall Arthrose (2'0''-2'13'').

Wenn die Kniescheibe immer wieder rausspringt, also das Problem chronisch wird, so wird der Knorpelschaden dadurch immer grösser und es droht Arthrose (46''). Das Stabilisierungsband der Kniescheibe MPFL ist dann auch oft verletzt (1'12'').


Der Gang zum Arzt mit der herausgesprugenen Kniescheibe

-- eine "herausgesprungene" Kniescheibe ist sehr schmerzhaft [web01], die Leute können kaum noch laufen, das Bein ist "gebeugt in Schonhaltung", man kann das Bein nicht mehr strecken [web04]

-- "Ein Gelenkerguss führt zu Druckempfindlichkeit." [web04]

-- der Knorpel unter der Kniescheibe kann durch das "Herausspringen" beschädigt werden, eine ärztliche Untersuchung ist dann angesagt [web01]

Knorpel-Knochenstücke können abbrechen (sichtbar im MRT). Wenn nur Knorpel abspringt, kann man das nicht immer sehen, können mit Blutkoagel verwechselt werden. Nach dem Herausspringen der Kniescheibe kommt es zu Blutergüssen und zu Schäden an der Knorpelschicht. Dann ist eine Kniespiegelung angesagt [web03].

"Bei Heranwachsenden ist es wichtig, harmlose Probleme in der Wachstumsphase von folgenschweren Instabilitäten abzugrenzen. Durch verschiedene Handgriffe und spezielle Bewegungen des Knies kann der Orthopäde eine Instabilität diagnostizieren. Röntgenaufnahmen oder eine Magnetresonanztomographie (MRT) können die Diagnose vervollständigen und Schädigungen sichtbar machen. Sind bereits Knorpel oder Knochen in Mitleidenschaft gezogen, kann eine Gelenkspiegelung (Arthroskopie) sinnvoll sein." [web04]

"Eine Patellaluxation im fortgeschrittenen Alter kann auf eine Verrenkung, Entzündung, Muskelerkrankung oder Überlastung durch Leistungssport mit häufigen Drehbewegungen zurückzuführen sein." [web04]


Die Behandlung einer herausgesprungenen Kniescheibe OHNE Operation

Video von Dr. Stefan Preis: Kniescheibe ausgerenkt? Das sollten Sie bei Patellaluxation wissen! (3'6'')
Video von Dr. Stefan Preis: Kniescheibe ausgerenkt? Das sollten Sie bei Patellaluxation wissen! (3'6'')
https://www.youtube.com/watch?v=1rLJ3fjC1Ug - YouTube-Kanal: Klinik am Ring (Köln) - ohne Datum

Dr. Preis: Eine Behandlung einer herausgesprungenen Kniescheibe ohne Operation ist möglich:
-- beim erstmaligem Herausspringen der Kniescheibe
-- wenn kein Knorpelschaden vorhanden ist
-- wenn die Gelenkkapsel nicht allzusehr verletzt wurden, v.a. das Stabilisierungsband MPFL
-- wenn "Kniescheibe und Führungsrinne gut ausgebildet" sind [web06 (50''-1'44'')].

Dr. Preis: Dabei sollen Entzündungen verhindert werden, also
-- das Knie häufig kühlen
-- ein entzündungshemmendes Gel auftragen
-- ein paar Tage lang entzündungshemmende Tabletten einnehmen (Diclofenac, Ibuprofen) (1'45''-2'7'')
-- einen leicht komprimierenden Verband anlegen [web06 (2'7''-2'11'')]

Dr. Preis: Das Stabilisierungsband und die Gelenkkapsel müssen heilen, das geht nur mit Schonung des Knies:
-- 2 Wochen an Krücken gehen
-- parallel dazu angefangen ca. 6 Wochen Kniemanschette tragen (Schiene am Knie, "Brace") (2'28''): 2 Wochen lang 30-Grad-Beugung, dann 2 Wochen lang 60 Grad, dann 2 Wochen lang 90 Grad [web06 (2'28''-2'43'')].
Knieschiene
                  ("Brace") zur Stabilisierung des Knies mit
                  dem Einstellen von Winkeln 2 Wochen lang 30 Grad, dann
                  2 Wochen 60 Grad, dann 2 Wochen 90 Grad
Knieschiene ("Brace") zur Stabilisierung des Knies mit dem Einstellen von Winkeln:
2 Wochen lang 30 Grad, dann 2 Wochen 60 Grad, dann 2 Wochen 90 Grad [8]

Wenn das Kniegelenk geheilt ist, kommt das Muskelaufbautraining:
-- man macht Oberschenkeltraining, damit die Muskeln gestärkt werden, die die Kniescheibe nach innen ziehen, damit die Kniescheibe nicht mehr nach aussen fliegt (2'59''), z.B. eine isometrische Übung: gestrecktes Bein 10 Sekunden in der Luft halten, 5 bis 6x machen (3'14''), dazwischen immer wieder lockern, insgesamt 2 Minuten, am Tag 5 bis 6mal machen (3'19'')
-- Physiotherapie
-- Muskelaufbautraining [web06 (3'19''-3'28'')].

Beinübung zur Stärkung der
                  Oberschenkelmuskulatur, die die Kniescheibe nach innen
                  zieht   Physiotherapie auf dem Federbrett   Muskelaufbautraining für die
                    Beine am Fitnessgerät
Beinübung zur Stärkung der Oberschenkelmuskulatur, die die Kniescheibe nach innen zieht [9] - Physiotherapie auf dem Federbrett [10] - Muskelaufbautraining für die Beine am Fitnessgerät [11]

Eine andere Webseite sagt es so:
  • Beinachsentraining
  • Muskelaufbautraining des M Quadiceps (v.a. der medialen Stabilisatoren M. vastus medialis et obliquus)
  • Dehnung der Ischios und des Quadriceps
  • Harmonisierung der gesamten Beinmuskulatur
  • Koordinatives Training [web03]

"Ein instabiles, "springendes" Knie muss behandelt werden. Denn auf Dauer zerstört eine Kniescheibe, die ständig an der Seite gegen die Wand der Rinne läuft, das Gelenk.

  • Ein gezieltes Aufbautraining der Muskeln am Knie kann die Kniescheibe in die richtige Bahn ziehen und so den vorzeitigen Verschleiß des Gelenks stoppen.
  • Zusätzlich kann eine manuelle Therapie der Patella und dem Gelenk mehr Platz verschaffen. Das entspannt und lindert die Schmerzen. Insgesamt hat die Kräftigung vor allem das Ziel, eine Schädigung der Knorpelschicht im Knie zu verhindern und so eine Arthrose und möglicherweise einen operativen Eingriff hinauszuzögern.
  • Kommt die Physiotherapie an ihre Grenzen, gibt es verschiedene Ansätze, das Knie durch eine Operation zu stabilisieren. So lassen sich die Muskeln so versetzen, dass die Patella besser zentriert wird, oder der Operateur raspelt die Kniescheiben in eine Form, die besser in der Rinne laufen kann. Ein anderer Ansatz ist die Teilprothese: Dabei werden nur die Kniescheibe und die Rinne durch eine Prothese ersetzt." [web04]

"Vor allem bei jungen Erkrankten ist die Nachbehandlung wichtig, um chronische Prozesse aufzuhalten. Denn diese können auf Dauer zu anhaltenden Schmerzen führen und das Knie zerstören. Körperliche Bewegung ist der wichtigste Bestandteil der Behandlung, muss aber dem akuten Zustand des Knies angepasst sein. Die ersten Übungseinheiten sollten deshalb von einem Physiotherapeuten begleitet und überwacht werden.

Für die schonende Rückkehr in den Sport eignen sich vor allem Radfahren, Schwimmen und Muskelaufbautraining. Zu Beginn kann es sinnvoll sein, mit einer Kniebandage zu trainieren. Viele Ausdauersportarten sind geeignet, das Knie wieder belastbarer zu machen." [web04]


Die Operation einer herausgesprungenen Kniescheibe (Patellaluxation)

Video von Dr. Stefan Preis: Patellaluxation OP? Wann die rausgesprungene Kniescheibe operiert werden sollte (4'54'')
Video von Dr. Stefan Preis: Patellaluxation OP? Wann die rausgesprungene Kniescheibe operiert werden sollte (4'54'')
https://www.youtube.com/watch?v=ZJKBs3wUcEM - YouTube-Kanal: Klinik am Ring (Köln) - ohne Datum

Operation der Kniescheibe empfiehlt sich bei grösseren Schäden z.B. am wichtigen Halteband für die Kniescheibe ist das MPFL:
-- Mediales Patella Femorales Legament - MPFL (2'8'')
-- wenn durch die Luxation der Kniescheibe ein Knorpelschaden entsteht
-- wenn die Kniescheibe immer wieder rausfliegt (2'17'').

Bei einer Operation werden verletzte Strukturen repariert:
-- das gerissene Stabilisierungsband wird durch körpereigenes Sehnengewebe ersetzt werden (2'33'') -- zuerst wird durch eine Arthroskopie alles genau angeschaut und eventuelle Knorpelschäden repariert (2'42'')
-- dann wird oberhalb des Kniegelenkes aus der Sehne des Quadrizeps ein kleiner Sehnenstreifen entnommen, die oberhalb der Kniescheibe ansetzt (3'0'')
-- dieser Sehnenstreifen wird dorthin gelegt, wo normalerweise das Stabilisierungsband MPFL verläuft, zur Innenseite des Oberschenkelknochens (3'9'')

dieser
                  Sehnenstreifen wird dorthin gelegt, wo normalerweise
                  das Stabilisierungsband MPFL verläuft, zur Innenseite
                  des Oberschenkelknochens   Der Sehnenstreifen
                  wird hiniten am Oberschenkelknochen mit einer
                  Bio-Schraube befestigt, die sich in Gewebe umwandelt
Dieser Sehnenstreifen wird dorthin gelegt, wo normalerweise das Stabilisierungsband MPFL verläuft, zur Innenseite des Oberschenkelknochens [12]
Der Sehnenstreifen wird hiniten am Oberschenkelknochen mit einer Bio-Schraube befestigt, die sich in Gewebe umwandelt [13]

-- dann wird der Sehnenstreifen mit einer Schraube am Oberschenkelknochen befestigt, wobei sich die Schraube später in Gewebe verwandelt (bioresorbierbare Schraube) (3'18'')
-- die OP ist 1 Stunde mit Vollnarkose (3'24''), der Aufenthalt in der Klinik dauert 2 bis 3 Tage (3'28'')

Heilphase:
-- 2 Wochen Gehstöcke (Krücken) benutzen
Mann nach Knie-OP mit Stützkorsett an Krücken,
                    nach einer Knie-OP lebt man 2 Wochen mit Krücken und
                    6-8 Wochen lang mit Knieschiene
Mann nach Knie-OP mit Stützkorsett an Krücken, nach einer Knie-OP lebt man 2 Wochen mit Krücken und 6-8 Wochen lang mit Knieschiene [14]

-- parallel dazu 6 Wochen Knieschiene ("Brace") tragen mit 30 Grad Beugung 2 Wochen lang, mit 60 Grad die nächsten 2 Wochen, und mit 90 Grad die letzten 2 Wochen (3'58'')
Knieschiene
                    ("Brace") zur Stabilisierung des Knies mit
                    dem Einstellen von Winkeln 2 Wochen lang 30 Grad,
                    dann 2 Wochen 60 Grad, dann 2 Wochen 90 Grad
Knieschiene ("Brace") zur Stabilisierung des Knies mit dem Einstellen von Winkeln:
2 Wochen lang 30 Grad, dann 2 Wochen 60 Grad, dann 2 Wochen 90 Grad [8]

-- in diesen 6 Wochen muss man Kräftigungsübungen für die Oberschenkelmuskulatur machen und Physiotherapie (4'9'')

Beinübung zur Stärkung der
                    Oberschenkelmuskulatur, die die Kniescheibe nach
                    innen zieht    Physiotherapie auf dem Federbrett
Beinübung zur Stärkung der Oberschenkelmuskulatur, die die Kniescheibe nach innen zieht [9] -
Physiotherapie auf dem Federbrett [10]

-- und nach den 6 Wochen Knieschiene tragen ist ein Muskelaufbautraining angesagt (4'13'')

Muskelaufbautraining für die
                      Beine am Fitnessgerät
Muskelaufbautraining für die Beine am Fitnessgerät [11]

-- so sollte am Ende keine Kniescheibe mehr rausspringen (4'26'')



Teilen / share:

Facebook






Quellen
[web01] Schäden an der Kniescheibe: https://www.vulpiusklinik.de/knie/schaeden-an-der-kniescheibe/
[web02] 10 Fragen an mein Knie: https://www.praxisvita.de/10-fragen-mein-knie-14138.html
[web03] Patellaluxation: Kind und Erwachsene: https://manuelle-medizin.at/WP3/patellaluxation-kind-und-erwachsene/
[web04] Lockere Kniescheibe richtig behandeln: https://www.ndr.de/ratgeber/gesundheit/Lockere-Kniescheibe-richtig-behandeln,kniescheibe106.html
[web05] Video von Dr. Stefan Preis: Kniescheibe ausgerenkt? Das sollten Sie bei Patellaluxation wissen!: https://www.youtube.com/watch?v=1rLJ3fjC1Ug 
YouTube-Kanal: Klinik am Ring - Die Gelenkspezialisten - Köln: https://www.youtube.com/channel/UCSC-6IWqvgfQOfQxy4BjkmA
[web06] Video von Dr. Stefan Preis: Patellaluxation OP? Wann die rausgesprungene Kniescheibe operiert werden sollte:
https://www.youtube.com/watch?v=ZJKBs3wUcEM
Bildernachweis
[1] Knie: https://www.shutterstock.com/de/image-photo/closeup-young-woman-feeling-knee-pain-2118151619
[2] Kniescheibe mit Bändern und Knorpel, Schema Seitenansicht: https://www.pinterest.com/pin/416371928056389446/
[3] Knie mit Kniescheibe mit Bändern, Vorderansicht: https://www.pinterest.com/pin/261982903314683892/
[4] Kniescheibe ist herausgesprungen beim Mensch: https://manuelle-medizin.at/WP3/patellaluxation-kind-und-erwachsene/
[5] Ihre Tierärzte in Berlin: Kniescheibe ist herausgesprungen und ist an der Seite, Röntgenfoto bei einem Hund:
https://www.kleintierspezialisten.de/de/infothek/orthopaedische-chirurgie/patellaluxation-kniescheibenverrenkung
[6] Wenn diese Rinne (lat. Trochlea) am Oberschenkelknochen zu flach ist, springt die Kniescheibe immer wieder raus - Dr. Preis: Video web05
[7] Dr. Stefan Preis: Video web05
[8] Knieschiene ("Brace") zur Stabilisierung des Knies mit dem Einstellen von Winkeln 30, 60 und 90 Grad: Video web05
[9] Beinübung zur Stärkung der Oberschenkelmuskulatur, die die Kniescheibe nach innen zieht: Video web05
[10] Physiotherapie auf dem Federbrett: Video web05

[11] Muskelaufbautraining für die Beine am Fitnessgerät: Video web05
[12] OP mit Sehnenstreifen, der für das MPFL-Stabilisierungsband an den Oberschenkelknochen gelegt wird: Video web06
[13] Der Sehnenstreifen wird hinten am Oberschenkelknochen mit einer Bio-Schraube befestigt: web06
[14] Mann nach Knie-OP mit Stützkorsett an Krücken, nach einer Knie-OP lebt man 2 Wochen mit Krücken und 6-8 Wochen lang mit Knieschiene:
https://oe1.orf.at/programm/20170706/480481/Knie-an-Nase-Helfe-Dir-bei-Deinem-Knorpelschaden

[x1] Knie Schema Querschnitt: https://sciencegraphics.mediastart.de/index.html

     
^