Kontakt / contact     Hauptseite
                          / page principale / pagina principal / home     zurück /
                          retour / indietro / atrás / back

Merkblatt: Knie 01: Die Kniescheibe 04: gebrochen (lat.: Patellafraktur)

Bis 1 Jahr Zeitverlust im Leben mit Operation, Beinschiene, Stiftentfernung oder Schraubenentfernung, nochmals warten

Knie  Kniescheibe gebrochen, Hassan
                                  Amin vom SV Meppen 2021  Gebrochene
                                  Kniescheibe, Röntgenfoto   
Knie [1] - Kniescheibe gebrochen, Hassan Amin vom SV Meppen 2021 [11] - Gebrochene Kniescheibe, Röntgenfoto [4]

Kniescheiben-OP mit eingeschraubten
                                Platten, Röntgenfotos frontal und
                                lateral    Der Mountainbiker Danny
                                        McAskill (GB) musste nach der
                                        Kniescheiben-OP von 2017
                                        wochenlang eine Beinschiene
                                        tragen und an 2 Krücken laufen    Schema
                                            Knie Querschnitt
Kniescheiben-OP mit eingeschraubten Platten [17] - Kniescheiben-OP mit eingeschraubten Platten, Röntgenfotos frontal und lateral [18]
Der Mountainbiker Danny McAskill (GB) musste nach der Kniescheiben-OP von 2017 wochenlang eine Beinschiene tragen und an 2 Krücken laufen [15] - Knie Schema mit dem Querschnitt [x1]


   
Die Prävention, um die Knie zu schützen: Gib im Sport nur 80% und NIE 100%, sonst kommen Unfälle und Verletzungen ohne Ende. Michael Palomino, 23.4.2022


präsentiert von Michael Palomino (2022 / 2023)

Teilen / share:

Facebook






Die Kniescheibe ist gebrochen (lat.: Patellafraktur)


Kniescheibe mit
                              Bändern, Schema Seitenansicht Kniescheibe mit Bändern, Schema Seitenansicht [2] und von vorn [3]

-- die Kniescheibe ist eine etwas dreieckige Scheibe mit Wölbung zum Schutz des Knies
-- die Kniescheibe wird von Sehnen oben und unten gehalten, oben am Oberschenkelmuskel angesetzt, unten am Schienbein angesetzt
-- dank der Kniescheibe und den Sehnen kann man das Bein in leichter Weise strecken
-- die Rückseite der Kniescheibe hat eine Knorpelschicht für das Gleiten beim Beugen und Strecken des Beines
-- im Alter bildet sich die Knorpelschicht zurück, so beginnt oft eine Kniearthrose
-- Schäden an der Kniescheibe können sein: Fehlbildung, Bruch, Entzündung [web01]


Knie mit Kniescheibe mit
                            Bändern, Vorderansicht
Schema Knie Querschnitt
Knie Schema mit dem Querschnitt [x1]




Zitat:
"Die Kniescheibe (Patella) ist ein flacher Knochen, der vor dem Kniegelenk liegt. Von vorne betrachtet hat die scheibenförmige Kniescheibe eine eher dreieckige Form mit einer leichten Wölbung nach vorn. Die Kniescheibe ist in die Sehne eingebunden, die am Oberschenkelmuskel ansetzt. Sie vergrößert damit die Hebelwirkung der Sehne und sorgt dafür, dass wir das Bein mit geringem Kraftaufwand des Oberschenkelmuskels strecken können. Außerdem schützt sie das Kniegelenk. Wenn wir das Knie strecken und wieder beugen, wandert die Kniescheibe mehrere Zentimeter über den Oberschenkelknochen. Deshalb ist die Rückseite der Kniescheibe mit einer dicken Knorpelschicht überzogen. Schäden an der Kniescheibe können sich aus Fehlbildungen ergeben, durch Bruch oder Entzündungen entstehen. Außerdem beginnt eine Kniearthrose häufig an der Kniescheibe." [web01]

Und die Kniescheibe kann "aus der Fassung" springen (Kniescheibe rausgefallen).


-- man kann die Kniescheibe pflegen mit leichten Bewegungen der Knie wie Walken oder Radfahren [web01]

Kniescheibe im Kindesalter

-- die Kniescheibe ist bei Babys und Kleinkindern noch gar nicht da, sondern die Kniescheibe verknöchert erst ab 3 Jahren
-- in den ersten 3 Jahren der Kindheit sind Fehlbildungen der Kniescheibe möglich mit Asymmetrie, Knorpelabrieb etc., dann haben die Kinder Knieschmerzen oder die Fehlbildung bleibt unbemerkt und die Schmerzen kommen dann später [web01]


Schäden an der Kniescheibe

-- erleidet eine Kniescheibe einen Schaden, so ist die Kniescheibe auch nach der Heilung immer eine Schwachstelle des Körpers [web01]



Gebrochene Kniescheibe

Gebrochene Kniescheibe, Röntgenfoto
Gebrochene Kniescheibe, Röntgenfoto [4]

-- die Kniescheibe kann bei einem harten Schlag auf das gebeugte Knie brechen, bei Sturz oder Unfall [web01]
-- die Sehnen bleiben mit den Bruchstücken in Verbindung, aber das Bein kann nicht mehr gestreckt werden und auch Stehen ist nicht mehr möglich [web01]

-- meistens ist es ein Sturz auf die Kniescheibe, die zum Bruch der Kniescheibe führt (26'')
-- oder ein seitlicher Aufprall (Anpralltrauma) bei einem Autounfall (30'')
-- oder wenn die Kniescheibe rausspringt (auskugelt), können Teile der Kniescheibe abreissen (36'') [web03].

Hassan Amin vom SV Meppen bricht sich
                          2021 beim Fussball die Kniescheibe   Del Potro stürzt 2021 beim Tennis in Shanghai
                    auf sein Knie und bricht sich die Kniescheibe  
Hassan Amin vom SV Meppen bricht sich 2021 beim Fussball die Kniescheibe [11] - Del Potro stürzt 2021 beim Tennis in Shanghai auf sein Knie und bricht sich die Kniescheibe [12]
Ein Tortenlieferant "Jesus N." in
                    Papantla (Mexiko) fährt mit dem Motorrad zu schnell,
                    stürzt und bricht sich dabei die Kniescheibe   Der Mountainbiker Danny McAskill
                  (GB) fällt 2017 beim Mountainbike-Sport vom Rad und
                  bricht sich die Kniescheibe
Ein Tortenlieferant "Jesus N." in Papantla (Mexiko) fährt mit dem Motorrad zu schnell, stürzt und bricht sich dabei die Kniescheibe [13]
Der Mountainbiker Danny McAskill (GB) fällt 2017 beim Mountainbike-Sport vom Rad und bricht sich die Kniescheibe [14]

Der Bruch einer Kniescheibe provoziert sofort Schmerzen, das Gehen ist beeinträchtigt oder gar nicht mehr möglich (48''). Äusserlich sieht man eine Schwellung, oft ist eine Hautschürfung vom Unfall vorhanden (1'0''). Dann kommt das Röntgenbild (1'8'') [web03].


Die Untersuchung der gebrochenen Kniescheibe

g  
Del Potro stürzt 2021 beim Tennis in Shanghai auf sein Knie und bricht sich die Kniescheibe [16]


Wenn das Röntgenbild nicht ausreicht bzw. der Bruch auf dem Röntgenbild nicht sichtbar ist, wird noch ein CT gemacht, selten noch ein MRT (1'22''). Dann sieht man die Details. Der Bruch der Kniescheibe kann sein
-- ein Teilabriss
-- ein Querbruch
-- ein Längsbruch (1'32'') [web03].

Diverse Brüche der Kniescheibe,
                  Sammelfoto: Abrissfraktur, Querfraktur, Längsfraktur,
                  Sternfraktur
Diverse Brüche der Kniescheibe, Sammelfoto: Abrissfraktur, Querfraktur, Längsfraktur, Sternfraktur [7]
Bruch der Kniescheibe als
                  Sternbruch, Röntgenfotos  
Bruch der Kniescheibe als Sternbruch, Röntgenfoto [8]

Ausserdem wird noch unterschieden, ob der Bruch "verschoben" oder "nicht verschoben" ist (1'36'') [web03].

Dann wird über den Heilungsweg entschieden:
-- ohne Operation
-- mit Operation (1'48'') [web03].

Kleinere Abbrüche und unverschobene Brüche können meist ohne Operation geheilt werden ("konservativ therapiert werden"), komplexe und stark verschobene Brüche benötigen eine Operation (2'2''). Wenn man keine Fehler macht, ist ein Kniescheibenbruch gut heilbar ("hat eine gute Prognose") (2'8'') [web03].

aus [web05]:

"Operation bei den meisten Arten der Patellafraktur notwendig
Um einen Kniescheibenbruch und die Art der Fraktur festzustellen, wird in den meisten Fällen ein Unfallchirurg oder ein Facharzt für Orthopädie die Untersuchung übernehmen. Lediglich bei einer Längsfraktur, bei der sich die Bruchstücke noch nicht verschoben haben, kommt eine konservative (nichtoperative) Behandlung in Frage. Bei allen anderen Varianten der Patellafraktur muss das Knie sehr wahrscheinlich operativ behandelt werden. Bei einem verschobenen Bruch und auch bei einem offenen Bruch muss die Verletzung auf jeden Fall operiert werden, um die volle Funktionsfähigkeit der Kniescheibe wiederherzustellen. Hier wird oftmals Material zur Fixierung eingesetzt. Es wird meistens unter Vollnarkose am offenen Knie operiert."



Operation einer gebrochenen Kniescheibe

Wenn eine gebrochene Kniescheibe operiert werden muss, ist ein Längsschnitt notwendig [web04].

Wenn eine gebrochene Kniescheibe operiert
                      werden muss, ist ein Längsschnitt notwendig   Gebrochene Kniescheibe Operation Zugang
Wenn eine gebrochene Kniescheibe operiert werden muss, ist ein Längsschnitt notwendig [9] - reale Operation, Zugang [10]

Die Kniescheibe muss mit Bandagen fixiert werden. Die Teile der Kniescheibe werden mit Schrauben verbunden und dann wird mit Spannbändern fixiert (1'41'') [web02].


aus [web05]:

"Behandlung mittels Schrauben oder Zuggurtung
Bei der Operation werden Materialien verwendet, um den Heilungsprozess und das Zusammenwachsen der Bruchstücke zu unterstützen. Es werden Schrauben oder Bohrdrähte eingesetzt, letztere werden als eine sogenannte Zuggurtung verwendet. Die Drähte fixieren die Knochen, um die Kniescheibe wieder glatt zusammenfügen zu können. Zuggurte fangen die Zugkräfte im Knie ab und halten die Bruchstücke dauerhaft zusammen. Das Knie bleibt bewegungsfähig, Physiotherapie ist gut möglich. Eine solche Zuggurtung wird etwa bei einem Querbruch verwendet: Zwei Drähte werden durch die Bruchstücke geführt, diese werden dann mit einem weiteren Draht zusammengezogen. Das zieht die einzelnen Bruchstücke zusammen und sie können wieder ausheilen.
Bei mehreren Bruchstellen werden auch mehrere Drähte eingesetzt, die auf unterschiedliche Weise geführt werden, abhängig von den Bruchstellen. Bei Trümmerbrüchen kann es jedoch nötig sein, die Kniescheibe komplett zu entfernen.
Bei weniger komplizierten Brüchen werden statt Draht häufig Schrauben verwendet, um die Bruchstücke zusammenzufügen."

Hier haben wir Röntgenfotos mit den Schrauben bei einem einfachen Bruch der Kniescheibe: die Frontansicht (1'48'') und die Seitenansicht (1'52'') [web02].

Gebrochene
                      Kniescheibe operiert mit 2 Schrauben,
                      Frontansicht   Gebrochene
                      Kniescheibe operiert mit 2 Schrauben,
                      Seitenansicht
Gebrochene Kniescheibe operiert mit 2 Schrauben, Frontansicht [5] - Seitenansicht [6]

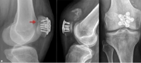
Manchmal kommen auch Metallplatten zum Einsatz:

Kniescheiben-OP mit eingeschraubten
                      Platten   Kniescheiben-OP mit eingeschraubten Platten,
                      Röntgenfotos frontal und lateral
Kniescheiben-OP mit eingeschraubten Platten [17] - Kniescheiben-OP mit eingeschraubten Platten, Röntgenfotos frontal und lateral [18]


Bei einem komplizierten Bruch der Kniescheibe werden Stifte und Fäden eingesetzt:

Video: Operation einer gebrochenen
                      Kniescheibe mit Stiften und Fäden, Trickfilm
Video: Operation einer gebrochenen Kniescheibe mit Stiften und Fäden, Trickfilm

Video: Operation einer gebrochenen Kniescheibe (3'10'')
(orig. Spanisch: Operación fractura de rotula)


Video: Operación fractura de rotula (3'10'')
https://www.youtube.com/watch?v=oo0GJKrfOls - YouTube-Kanal: Traumatología Queretaro -


Die Ausheilung (Rekonvaleszenz) einer Kniescheibenoperation

Das Bein darf eine gewisse Zeit nicht gebeugt werden sondern muss gestreckt bleiben, die Knieschiene darf 2 bis 4 Wochen lang nicht abgenommen werden (1'58''). Für ein gutes Zusammenwachsen muss jeder Stress auf die gebrochene Kniescheibe vermieden werden (2'4'') [web02].


Der Mountainbiker Danny
                        McAskill (GB) musste nach der Kniescheiben-OP
                        von 2017 wochenlang eine Beinschiene tragen und
                        an 2 Krücken laufen    Beinschienen bei Alibaba
Der Mountainbiker Danny McAskill (GB) musste nach der Kniescheiben-OP von 2017 wochenlang eine Beinschiene tragen und an 2 Krücken laufen [15]
Beinschienen bei Alibaba [20]

 

Materialentfernung von der Kniescheibe

Wenn an die Kniescheibe Schrauben oder eine Platte eingesetzt wurde, so werden diese Eisenteile ab 6 Monaten nach der Operation rausgenommen. Die Narbe muss dann  also wieder geöffnet werden:

"Etwa ein Prozent aller Knochenbrüche, die von Ärzten regelmäßig behandelt werden, betreffen die Kniescheibe. Dementsprechend gibt es für verschiedene Arten der Verletzung eigene Behandlungsmöglichkeiten. Ist eine Operation nötig, dann wird dabei Material zur Stabilisation eingesetzt, welches später häufig wieder entfernt werden muss. Der Zeitraum bis zur Metallentfernung beträgt in der Regel mindestens sechs Monate." [web05]

Und die neue Heilungszeit der Narbe ist sicher so 1 bis 2 Monate, wo man das Bein immer noch nicht bewegen darf [web06].


aus [web05]:

"Heilungsprozess dauert meist sechs bis acht Wochen
Nach der Operation ist meist eine Ruhigstellung des Knies nötig. Oft kann schnell mit der Physiotherapie begonnen werden, um die Bewegungsfähigkeit des Gelenks möglichst zeitnah wiederherzustellen. Der Heilungsprozess wird durch regelmäßige Röntgenuntersuchungen beobachtet. Eine vollständige Belastung sollte erst nach etwa sechs Wochen stattfinden.

Die Ausheilung des Knochens dauert nach der Operation meist sechs bis acht Wochen. Ist die Patellafraktur vollständig ausgeheilt, wird es meist nötig, das Knie nochmals zu öffnen. Die verwendeten Materialien zur Stützung des Knies müssen dann wieder entfernt werden. Ab dem vierten Monat nach Operation kann frühestens die Entfernung der Implantate erfolgen. Meist dauert es aber sechs Monate, mitunter ein Jahr oder länger, bis die Drähte oder Schrauben entfernt werden. Die Materialien müssen jedoch nicht in allen Fällen wieder entfernt werden. Ob und wann dies nötig ist, sollte der Patient mit seinem Arzt besprechen."


Narbenschmerzen
Es ist nicht gesagt, dass die Narbe, die über die Kniescheibe verläuft, schmerzfrei ist. Eventuell kommt dann noch Narbenmassage etc. dazu [web06].



Teilen / share:

Facebook






Quellen
[web01] Schäden an der Kniescheibe: https://www.vulpiusklinik.de/knie/schaeden-an-der-kniescheibe/
[web02] Video von Dr. Ted: Broken KNEECAP | Fracture Friday Episode 28: https://www.youtube.com/watch?v=iniq6kPDF6s
[web03] Video von "Das Verletzikon": Patellafraktur: https://www.youtube.com/watch?v=9DfN8xubd5g
[web04] https://link.springer.com/article/10.1007/s00064-017-0522-8
[web05] https://www.medpertise.de/kniescheibe-bruch/materialentfernung/
[web06] Meinung von Michael Palomino
Bildernachweis
[1] Knie: https://www.shutterstock.com/de/image-photo/closeup-young-woman-feeling-knee-pain-2118151619
[2] Kniescheibe mit Bändern und Knorpel, Schema Seitenansicht: https://www.pinterest.com/pin/416371928056389446/
[3] Knie mit Kniescheibe mit Bändern, Vorderansicht: https://www.pinterest.com/pin/261982903314683892/
[4] Kniescheibe gebrochen, Röntgenfoto: Dr. Ted: Broken KNEECAP | Fracture Friday Episode 28: https://www.youtube.com/watch?v=iniq6kPDF6s
[5] Gebrochene Kniescheibe operiert Frontansicht: Dr. Ted: Broken KNEECAP | Fracture Friday Episode 28: https://www.youtube.com/watch?v=iniq6kPDF6s
[6] Gebrochene Kniescheibe operiert Seitenansicht: Dr. Ted: Broken KNEECAP | Fracture Friday Episode 28: https://www.youtube.com/watch?v=iniq6kPDF6s
[7] Gebrochene Kniescheiben, Schema mit Abrissfraktur, Querfraktur, Längsfraktur, Sternfraktur:
Video von "Das Verletzikon": Patellafraktur: https://www.youtube.com/watch?v=9DfN8xubd5g
[8] Gebrochene Kniescheibe: Sternbruch, 2 Röntgenfotos: https://www.ctisus.com/teachingfiles/musculoskeletal/259391
[9] Gebrochene Kniescheibe Operation Längsschnitt Schema: https://link.springer.com/article/10.1007/s00064-017-0522-8
[10] Gebrochene Kniescheibe Operation Zugang: https://link.springer.com/article/10.1007/s00064-017-0522-8

[11] Kniescheibe gebrochen, Amin vom SV Meppen 2021: https://www.liga3-online.de/kniescheibe-gebrochen-saison-aus-fuer-meppens-amin/
[12] Tennisspieler Del Potro stürzt 2021 in Shanghai beim Tennis und bricht sich die Kniescheibe:
Video: Del Potro sufrió una fractura en su rodilla y su futuro es incierto: https://www.youtube.com/watch?v=P-bLI8A0q2k
Artikel: Juan Martin del Potro hat sich die Kniescheibe gebrochen:
https://www.nau.ch/sport/tennis/juan-martin-del-potro-hat-sich-die-kniescheibe-gebrochen-65446882

[13] Tortenlieferant in Papantla (Mexiko) fährt mit dem Motorrad zu schnell, stürzt und bricht sich dabei die Kniescheibe:
https://www.vanguardiaveracruz.mx/se-fractura-la-rotula-al-derrapar-de-su-moto/
[14] Mountainbiker Danny McAskill bricht sich die Kniescheibe:
Shock crash sees Scots daredevil biker Danny MacAskill break his kneecap as he post painful pic on crutches
https://www.thescottishsun.co.uk/tvandshowbiz/1855310/scots-daredevil-biker-danny-macaskill-breaks-kneecap-in-shock-crash/
[15] Mountainbiker Danny McAskill trägt eine Beinschiene und ist an 2 Krücken:
Shock crash sees Scots daredevil biker Danny MacAskill break his kneecap as he post painful pic on crutches
https://www.thescottishsun.co.uk/tvandshowbiz/1855310/scots-daredevil-biker-danny-macaskill-breaks-kneecap-in-shock-crash/
[16] Del Potro stürzt 2021 beim Tennis in Shanghai auf sein Knie und bricht sich die Kniescheibe:
Video: Del Potro se retiró del Masters 1000 de Shangai: https://www.youtube.com/watch?v=rcvtg-5INbI

[17] Kniescheiben-OP mit eingeschraubten Platten: https://link.springer.com/article/10.1007/s00064-017-0522-8
[18] Kniescheiben-OP mit eingeschraubten Platten, Röntgenfotos frontal und lateral: https://link.springer.com/article/10.1007/s00064-017-0522-8
[19] Beinschiene: https://german.alibaba.com/photo-products/orthopedic-leg-braces-photos.html

[x1] Knie Schema Querschnitt: https://sciencegraphics.mediastart.de/index.html
     
^