|
|
|
![]()
![]()
<< >>
DIE HÖLLE IST DA - und alle schauen zu
42. Der kriminelle Stöckelschuh
"Stöckelschuhe sind unglaublich schlecht für die Gesundheit, für die Körperhaltung und für die längerfristige Lebensperspektive." [web33]
"Tipps für gesunde Füsse: Achten Sie darauf, dass die Absätze Ihrer Alltagsschuhe nicht höher als 4 cm sind." [web57]
| Teilen: |
Facebook |
|
Twitter
|
|
|
|
Stöckelschuh und High-Heels sind Schädlinge der Gesellschaft
Stöckelschuhe sind Schuhe mit dünnem Absatz ("Bleistiftabsatz" [web29]), auch Pumps oder ab 10cm Absatz auch High-Heels (HH [web31]) genannt, ab 14cm Absatz Skyscraper genannt, in Italien auch "Stiletto" ("Stichwaffe") genannt als Bezeichnung für den Metallstift im Stöckel [web27]. Stöckelschuhe sind eine der negativen Erfindungen der westlichen "Zivilisation", die man absolut verbieten sollten, so wie die Rolltreppen oder das schnelle Auto. Es ist bezeichnend, dass im Wikipedia-Artikel über Stöckelschuhe (Pumps) [web1] kein einziges Wort über die fatalen, negativen Folgen von Stöckelschuhen geschrieben steht. Und so wissen uninformierte, dumme Frauen ("Tussis") auch nicht, was sie mit einem Stöckelschuh anrichten, wenn sie diese tragen und überall mit diesen kriminellen Schuhen herumlaufen.
Krimineller, grüner Stöckelschuh, der viel Sachbeschädigung an Fussböden und viel Körperverletzung provozieren kann [1]
Beipackzettel gibt es für Stöckelschuhe und High-Heels bisher nicht...
Der Stöckelschuh mit seinem Mini-Absatz von 3-12 cm Höhe ist ein absoluter Schädling der Gesellschaft, denn die negativen Konsequenzen des Tragens von Stöckelschuhen sind gravierend:
Sachbeschädigung an Fussböden
-- beträgt der Absatz 3-5 cm, so lastet das gesamte Körpergewicht auf den Mini-Absätzen, so dass diese Absätze Holzböden und Steinböden in relativ kurzer Zeit absolut und nachhaltig zerstören
Verformung der Füsse (Verkrüppelung der Füsse) durch hohe Stöckelschuhe
-- beträgt der Absatz 5-12 cm, so lastet das gesamte Körpergewicht auf den Fussballen, so dass die Füsse auf die Dauer verformt werden und die Frau in Notsituationen nicht mehr rennen kann, und ausserdem verändert sich die Körperhaltung in krankhafter Weise, um das Gleichgewicht zu halten
-- durch die hohen Absätze rutscht der Fuss zusätzlich nach vorne in den Schuh und der Vorderfuss wird chronisch überlastet [web3]
-- wenn mit diesen hohen Stöckelschuhen auch noch getanzt wird, dann sind auch die Fussböden kaputt
Provozieren von schwerer Körperverletzung durch Stöckelschuhe
-- generell begünstigt jeder Stöckelschuh mit seinen Mini-Absätzen das Umkippen der Frau mit der leicht möglichen Folge von Bänderdehnungen, Bänderzerrungen, Bänderrissen oder sogar Stürzen mit Bänderrissen und Knochenbrüchen
Schwerste Verformung der Füsse (schwerste Verkrüppelung der Füsse) durch spitz zulaufende Stöckelschuhe
-- generell sind Stöckelschuhe am Zehenende zugespitzt, so dass die Füsse und die Zehen zusätzlich verformt werden und der Fuss am Ende total verstümmelt ist und die Frauen am Ende kaum noch laufen können, weil die Füsse kaum noch Halt bieten.
Lärm durch Stöckelschuhe
-- ausserdem verursachen Stöckelschuhe durch ihr lautes Klacken (das Auftreten des Stöckels auf dem Boden) einen unnötigen, penetranten Lärm [web30]. Es gibt unwissende Frauen, die sogar stolz sind auf das Klack-Klack. Da sagt eine verführte Frau ("Tussi") in einem Forum doch tatsächlich:
<Welch herrliches Gefühl sie zu tragen und das Klappern auf dem Asphalt zu hören. So bewusst gehen - das können Männer gar nicht. Das erlebt man nur in Stöckelschuhen - der ganze Körper ist gespannt, man balanciert und ist sich seiner Weiblichkeit voll bewusst.> [web31].
Wenn diese unwissenden Frauen dann 25 oder älter sind, werden sie über deformierte Füsse und viele weitere Körperschädigungen klagen. Der Staat schützt bis heute die Frauen nicht vor dieser geistigen Verirrung, sondern die Krankenkassen bezahlen die Operationen. Wo es keine Krankenkassen gibt, dort bleiben die Schmerzen dann unbehandelt...
Überfall auf Frauen mit Stöckelschuhen
Da unwissende Frauen ("Tussis") in Stöckelschuhen nur schlecht laufen oder rennen können, sind solche Frauen eine leichte Beute für Diebstähle oder Raub [web34]. Die Tatsache, dass man in Stöckelschuhen nicht schnell laufen kann, wird inzwischen sogar in der Literatur beschrieben:
<Tatijana fluchte, weil sie in den Stöckelschuhen nicht Schritt halten konnte.> [web50]
oder so:
<Und die Stöckelschuhe hängen ihr wie Teufels Klumpfuss an den Beinen.> [web51]
Der Flamenco-Stöckelschuh ist vorne offen und schränkt die Zehen weniger ein. Es werden "nur" die Körperhaltung verformt, der Fuss falsch belastet und verformt, und Böden ruiniert [7]
Stöckelschuh, Slings: Der Sling-Stöckelschuh ist hinten offen und vorne spitz zulaufend. Die Zehen sind eingeengt, und es ist ausserdem der gefährlichste Stöckelschuh, weil das hintere Ende nur durch einen Sling Halt bietet, und somit am instabilsten ist. [8]
Die Ausbuchtungen durch die eingezogenen bzw. deformierten Zehen sind sogar erkennbar...
Plateau-Slings-Stöckelschuhe sind noch krimineller, denn das hohe Plateau macht die Frau beim Gehen insgesamt noch instabiler [9]
Stöckelschuh ohne nichts: Die Korkkeil-Pantolettes der 1970er Jahre sind eine Zwischenform, aber brandgefährlich, weil jeglicher Halt fehlt [10]
High-Heels-Stiefel geben dem Fuss zwar mehr Halt, die Sachbeschädigungen an Fussböden und die Verstümmelung und die Verformung der Füsse werden aber genau gleich eintreten wie mit normalen Stöckelschuhen [11]
Ballett-Heels (Ballett-Stöckelschuhe): Auch das Laufen auf den Zehen soll seine Anhängerinnen haben... [12]
Die jungen Nachwuchs-Balletttänzerinnen können von blutigen Zehen erzählen, auch ohne Stöckelschuh...
*****
Absolut untaugliche Stöckelschuhe
Das weltweite Verbot von Stöckelschuhen (High-Heels) fehlt
Stöckelschuhe verboten, (Verkehrszeichen). Dieses Verkehrszeichen sollte im Namen der Architektur und der körperlichen und geistigen Gesundheit für die ganze Welt gelten. [2]
Stöckelschuhverbot am Schilthorn-Wanderweg. Es scheint eigenartig, dass die Stöckelschuhe nicht auf der ganzen Welt verboten sind, sondern nur auf Bergwegen... [13]
Stöckelschuhe sind untauglich
Stöckelschuhe in Gold [14]
Im Gesamten betrachtet sind Stöckelschuhe absolut untauglich, weil sie die Gesundheit der Frauen stark schädigen können, wenn man immer in Stöckelschuhen herumläuft. Als logisch denkender Mensch fragt man sich, wieso die "Mode-Designer" bis heute Stöckelschuhe und High-Heels verkaufen dürfen...
Beipackzettel gibt es für Stöckelschuhe und High-Heels bisher nicht...
Im Gesamten betrachtet sind Stöckelschuhe absolut untauglich, weil sie die Gesundheit der Frauen stark schädigen können, wenn man immer in Stöckelschuhen herumläuft. Speziell schädlich sind Stöckelschuhe
-- zum Autofahren, denn mit Stöckelschuhen kann man nur schwer die Pedale bedienen [web21] bzw. Stöckelschuhe können im Autoteppich hängenbleiben und Selbstunfälle provozieren, so dass die Fahrerin in die Leitplanke kracht [web24]
-- in Flugzeugen auf Notrutschen bei einer Notlandung [web19]
-- für Bergwanderungen [web23]
-- zum Treppenlaufen [web22]: Abwärts mit hohen Stöckelschuhen eine Treppe zu bewältigen ist praktisch unmöglich bzw. nur im Schneckentempo in seitlicher Stellung möglich [web29]
-- während der Schwangerschaft wegen der Sturzgefahr mit der Gefahr der Verlust des Babys [web44]
-- zum Tanzen:
<Mit Stöckelschuhen kann man nicht Standard tanzen. Warum das?
-- Jeder gute Stöckelschuh hat eine Absatzverspreizung, sonst würde der Absatz nach aussen kippen. Diese Absatzverspreizung muss eine gewisse Stabilität und Härte haben. Dieser harte Block blockiert die Fussmuskulatur und auch den Bodenkontakt. Das heisst: Der Fuss kann nicht mehr gleichmässig und kraftvoll über den Boden rollen, sondern er "pumpert", gleich einem schlecht aufgepumpten Reifen. Der Bereich der Verspreizung kann nicht rollen. Es ist also so, wie wenn man mit einem Platten Auto fährt:Man kann noch fahren, aber nicht sonderlich dynamisch. Das heisst: Der Stöckel (egal welcher Höhe) mindert die Fähigkeit, den Fuss abzurollen. [web25]
-- Wenn das Gewicht auf den Zehenballen liegt, so ist das für viele Tanzbewegungen ganz schlecht, wenn in der Ferse keine Kompression stattfindet [und so wirkt das Tanzen in Stöckelschuhen nicht nur sehr, sehr steif], sondern wenn man die Körperhaltung beim Tanzen mit Stöckelschuhen betrachtet, so ist die Wirbelsäule dauernd falsch gekrümmt, und so schädigt das Tanzen in Stöckelschuhen potentiell die Wirbelsäule [web25]
-- der Grössenunterschied zwischen Dame und Herr kann mit Stöckelschuhen WENIGER ausgeglichen werden als mit normalen Schuhen, da die Stöckelschuhe härter sind, je höher der Absatz bzw. je höher der Druck der Zehenballen auf die Sohle ist [web25]
-- bei Schnee und Glatteis (die verführten Frauen ("Tussis") sind so verliebt in ihre High-Heels, dass sie auch bei Schnee auf ihre "hohen Stiefel" nicht verzichten wollen) [web26]
-- zum Laufen auf Pflastersteinen, denn die Stöckel können darin leicht hängenbleiben, die verführte Frau ("Tussi") mit Stöckelschuhen muss dann auf Zehenspitzen gehen [web29]
-- zum Laufen auf Lüftungsgittern auf Trottoirs, denn die Stöckel können darin leicht hängenbleiben, die unwissende Frau ("Tussi") mit Stöckelschuhen muss dann auf Zehenspitzen gehen [web29]
-- zum Laufen auf Gitterbodenmatten im Eingangsbereich von Gebäuden, denn die Stöckel können darin leicht hängenbleiben, die Tussi mit Stöckelschuhen muss dann auf Zehenspitzen gehen [web29]
-- der geringste Schwips durch Alkoholkonsum provoziert Stürze, und so muss die verführte Frau ("Tussi") mit Stöckelschuhen immer das Taxi nehmen, wenn sie etwas getrunken hat [web29].
Die Sachbeschädigung durch Stöckelschuhe und High-Heels
-- Stöckelschuhe beschädigen Parkettböden bzw. hinterlassen Dellen auch auf versiegeltem Parkett [web32], und Stöckelschuhe bzw. High-Heels beschädigen auch andere Holzböden, sowie Zementböden, die nicht so hart sind wie Beton [Schlussfolgerung Palomino]
Eine "Domina" mit Stöckelschuhen auf Parkettboden [15]. Die Sachbeschädigung am Boden und an ihrem Körper durch Stöckelschuhe ist vorprogrammiert. Die "Domina" wird also bald keine "Domina" mehr sein, wenn sie die Rechnung für die Parkettreparatur und die Schmerzen durch Stöckelschuhe bekommt...
Beipackzettel gibt es für Stöckelschuhe und High-Heels bisher nicht...
Verletzungen und Tötungsdelikte durch Stöckelschuhe und High-Heels an Drittpersonen oder an Haustieren
Verletzungen durch Stöckelschuhe an Drittpersonen
Der Mini-Absatz von Stöckelschuhen ist derart gefährlich, dass damit Menschen verletzt und getötet werden können. Wenn eine Frau mit ihrem Mini-Absatz des Stöckelschuhs "aus Versehen" auf den Fuss eines Nachbars tritt, so kann dies schmerzhafte Verletzungen provozieren [web35]. Dass man sich auf die Füsse tritt, kann leicht im Gedränge, z.B. in Hochzeitsgesellschaften, passieren [web47]. Wenn dann viele verführte Frauen mit Stöckelschuhen unterwegs sind, die einander im engen Tanz auf die Füsse trampeln, so werden die Füsse der "Nachbarin" oder des "Nachbars" eventuell besonders schwer verletzt, der Erste-Hilfe-Kasten ist dann ein gefragter "Kollege" mit Desinfektionsmittel und Pflastern. Die unwissenden Frauen mit ihren zerstörerischen Stöckelschuhen werden dann schon zu Täterinnen (Einschätzung Palomino).
Tötungsdelikte mit Stöckelschuhen an Drittpersonen
Der falsche Stolz und die intellektuelle Entwicklungsblockade, die Stöckelschuhe bei der verführten Frau ("Tussi") provozieren, kann zur völligen geistigen Desorientierung und Verantwortungslosigkeit führen, so dass die Hemmung zum Töten schon bei relativ kleinen Konfrontationen völlig verlorengeht. Die verführten Frauen verlieren jegliche Proportionalität zu den Ereignissen im Leben (Schlussfolgerung Palomino).
Stöckelschuhe werden sogar als "Waffen" der Frau gegen Männer empfohlen [web48], womit die klare Absicht ausgesprochen ist, was hinter den Stöckelschuhen steckt: Männer "anmachen", und wenn sie dann tatsächlich "angemacht" daherkommen, mit dem Stöckelschuh abschlachten und die Männer auslachen (Schlussfolgerung Palomino).
Mit dem Mini-Absatz von Stöckelschuhen können leicht Tötungsdelikte begangen werden, wenn z.B. eine desorientierte, mit Stöckelschuhen "ausgerüstete", Mutter z.B. auf ihr zweijähriges Kind einhackt. So werden die Stöckelschuhe zur Waffe und zum Mordinstrument. Die Meldungen lesen sich wie folgt:
Meldung vom 25. November 2004 aus Erfurt (Deutschland):
<Seit gestern stehen Colett S. und ihr Geliebter Volker S. wegen Totschlags vor dem Erfurter Landgericht. Der Richter plädiert auf lebenslänglich. Nach schwerer Misshandlung an ihrem zweijährigen Sohn Jonny starb der kleine Junge an einem Leberriss.
Die Mutter hatte ihn mit Stöckelschuhen mit Pfennigabsätzen getreten. 30 Tritte konnten die Richter zählen, die meisten waren im Bauch- und Brustbereich, ein Abdruck befand sich sogar auf der Stirn.
Jonny war das kleinste von noch zwei anderen Kindern. Sie wurden misshandelt, anstatt in den Arm genommen. Tagelang waren sie allein, die Mutter kam meist spät und betrunken heim. Die Mutter versucht nun ihrem Geliebten die Schuld zu geben.> [web17]
bzw.
<Colette S. tötete ihren Sohn Johnny-Lee mit den Pfennigabsätzen ihrer schwarzen Lederstiefel. Sie trat in der Nacht zum 12. April 2004 auf den Zweijährigen ein, weil er nicht einschlafen wollte. Johnny-Lee starb an inneren Blutungen, die Abdrücke der Stöckelabsätze hatten sich in den kleinen Körper gebohrt. An seinem Leichnam fanden sich mehr als 30 Tritt- und Schlagspuren. Das Landgericht Erfurt verurteilte die 31-Jährige und ihren Freund Volker S. wegen gemeinschaftlicher Tötung zu zwölf Jahren Haft.> [web47]
Tötungsdelikte mit Stöckelschuhen an Haustieren
Der falsche Stolz durch Stöckelschuhe mit der Einstellung "Ich trage Stöckelschuhe und habe mehr Macht als vorher" verleitet Frauen auch dazu, mit ihren Stöckelschuhen kleine Katzen zu töten bzw. zu zertreten [web18].
Es ist offensichtlich, dass der Sadismus durch Stöckelschuhe zunimmt, am eigenen Leib durch die Selbstverstümmelung an den Füssen, und an Mitmenschen und Haustieren, weil die Frau mit Stöckelschuhen sich "höher" fühlt, und weil sie die Defizite der Unbeweglichkeit kompensieren muss, die durch Stöckelschuhe entstehen. Die Dummheit dieser verzivilisierten Frauen ("Tussis") ist ausserdem leicht in einen Sadismus hineinführen, ohne dass sich diese verzivilisierten Frauen ihres Sadismus bewusst sind...
Stöckelschuhe fallen somit eigentlich wegen ihres harten Stabes und harten Absatzes unter das Waffengesetz, in Deutschland wäre das § 42a (Angabe in einer Zuschrift von D. Munz, Deutschland).
Krankheiten und Selbstverstümmelung durch Stöckelschuhe (High-Heels, Skyscrapers, Stilettos): Medizinische Daten
Hier ist das Leid durch Stöckelschuhe (High-Heels), das dann der Frau bereits im frühen, mittleren Alter folgt. Beispiele:
Die deformierte Körperhaltung mit Stöckelschuhen
Die Körperhaltung mit Stöckelschuhen wird folgendermassen verändert:
-- bei spitz zulaufenden Stöckelschuhen müssen sich die Zehen immer zurückziehen [web46]
-- die Fusshaltung wird derart verändert, dass das Körpergewicht auf den Vorderfuss verlagert wird [web33]
-- die Ferse wird nach oben gehoben [web46]
-- die Knie werden nach vorne geschoben [web33]
-- das Hinterteil wird nach hinten geschoben [web33]
-- als Ausgleich wird die Wirbelsäule in einer starken S-Form verkrümmt und die Brust herausgepresst [web33]
Die Körperhaltung mit Stöckelschuhen (High-Heels) ist kriminell und schwere körperliche Schäden sind vorprogrammiert [16]
Viele Frauen und Männer finden diese Körperhaltung "sexy". Wenn ab 25 die körperlichen Schäden auftreten, werden diese dummen Leute diese Körperhaltung aber nicht mehr so sexy finden. Die verformten Bandscheiben sind mit Physiotherapie oder mit dem Heilbett CERAGEM heilbar, was aber monatelange bis jahrelange Übungen erfordert. Die "normale Medizin" heilt nicht, sondern der Chirurg kommt mit Schrauben und Platten und zerstört den gesamten Rücken.
Beipackzettel gibt es für Stöckelschuhe und High-Heels bisher nicht...
Die Effekte der Fehlhaltung in Stöckelschuhen (High-Heels)
Zehen
-- die Zehen, die sich in spitz zulaufenden Stöckelschuhen immer zurückziehen müssen, entwickeln sich zu "Hammerzehen" oder "Krallenzehen" [web6,7]
-- spitz zulaufende, hohe Stöckelschuhe können eine Verdickung um den Nerv zwischen dem dritten und vierten Strahl im Mittelfussknochen bewirken (Morton-Neurom), mit Fussschmerzen und Taubheit in den Zehen als Folge [web43]
-- enge Schuhe scheuern an der Aussenseite am Grundgelenk des Grossen Zehs, so dass die Aussenseite anschwillt und sich vergrössert und der Zeh sich einwärts dreht (Hallux valgus am Ballenzeh) [web36]
Mittelfussknochen
-- der Druck auf den Vorderfuss steigert sich proportional zur Höhe des Stöckelschuhs:
Steigerung des Drucks auf den Vorderfuss in Proportion zur Höhe des Stöckelschuhs
Höhe des Stöckelschuhs
Steigerung des Drucks auf den Vorderfuss
1 inch
2,54 cm
+ 22%
2 inch
5,08 cm
+ 57%
3 inch
7,62 cm
+ 76%
[web33]
-- durch das Gewicht auf dem Mittelfussknochen kombiniert mit der Fehlstellung des Fusses wird der Mittelfussknochen durchgedrückt [web16]
Knöchel
-- da der Fuss dauernd instabil ist, schmerzen die Knöchel wegen Überbeanspruchung [web52]
Unterschenkel
-- da der Fuss nicht mehr im rechten Winkel auf den Boden kommt, verkürzt sich die Achillessehne [web36] und ist dauernd angespannt (versuchs mal!)
-- die Wadenmuskeln sind dauernd unter Spannung durch die angewinkelte Kniehaltung [web33]
Knie
-- die Kniegelenke werden mehr beansprucht als normal [web33], um bis zu 26% mehr beansprucht [web43]
Rücken
-- der Rücken gerät in ein Hohlkreuz [web57] und das provoziert dann ab 30 Dauerschmerzen [web58]
Hohlkreuz durch hohe Stöckelschuhe, Schema [x1]
Die Resultate (schwere körperliche Schädigungen) durch die Fehlhaltung in Stöckelschuhen
Hier sind in kurzer Reihenfolge die Angaben, die beim Kauf von Stöckelschuhen oder High-Heels auf dem Beipackzettel stehen müssten:
-- deformierte Füsse [web27] mit Hammerzehen [web5,6,7] und nach innen gedrehte grosse Zehen (Hallux valgus) [web8,9,14]
Krallenzehen mit grosser Schiefzehe durch spitz zulaufende Stöckelschuhe: Die Zehen mussten sich über Jahre hinweg immer "einziehen" und haben nun diese Form entwickelt, und die betroffene Frau ("Tussi") kann ihre Zehen auch nicht mehr strecken [4]
Die verzivilisierte Tussi vertuscht diese Umstände mit sexy Nylonstrümpfen!
-- geschwollene Füsse [web29]
-- brennend schmerzende Zehenballen [web29]
-- starke, chronische Schmerzen im belasteten Mittelfussknochen [web37] (Schmerzen im zweiten bis fünften Strahl des Mittelfussknochens werden als Metatarsalgie bezeichnet) [web41,42], u.a. durch die Knotenbildung im Nerv zwischen dem dritten und vierten Strahl (Morton-Neurom) [web46]
Das Morton-Neurom: Das Morton-Neurom (Knotenbildung im Nerv zwischen dem dritten und vierten Strahl des Mittelfussknochens) bringt Fussschmerzen und eventuell Taubheit im Gefühl mit sich [17]
-- Haglund-Fersenschwellung mit eventueller Schleimbeutelentzündung durch die harten Schuhkappen oder Schuhbänder der hohen Stöckelschuhe (High-Heels) [web38,39,40]
-- verkürzte Achillessehne [web27]: Die Achillessehne bleibt verkürzt und die Frau kann unter Umständen nur noch auf dem Vorderfuss bzw. auf den Zehen laufen, normal barfuss laufen ist dann nicht mehr möglich [web31]
Die Achillessehne verkürzt sich beim Tragen von Stöckelschuhen und ist dauernd in einem angespannten Zustand [18]
-- verkürzte und verhärtete Wadenmuskeln durch den dauernden Zehengang und die angewinkelte Kniehaltung [web29,33,46]:
Die angespannte und verhärtete Wade nach viel Stöckelschuh-Gebrauch: Wenn die Ferse hoch steht (z.B. mit hohem Stöckelschuh), so zieht sich der Wadenmuskel zusammen, und wenn dies dauernd der Fall ist, verhärtet sich schlussendlich der Wadenmuskel total [19]
-- kaputte Kniegelenke (Arthrose) durch die dauernde Überbelastung im angewinkelten Gang [web43]
-- chronische Rückenschmerzen [web27] und dauerndes Hohlkreuz, plus Abnutzung der Bandscheiben [web57]
-- sichtbare Venenleiden [web27]
Die betroffenen Frauen können nach viel Gebrauch von hohen Stöckelschuhen (High-Heels) kaum noch oder gar nicht mehr barfuss laufen oder nur noch auf den Zehen barfuss laufen [web31], wie eine Forumsteilnehmerin mit 26 Jahren berichtet, die dauernd High-Heels trug:
<Meine Zehengelenke sind inzwischen steif und unbeweglich. Ich kann nur noch mit Absätzen laufen, da barfuss nur noch die Zehenspitzen den Boden berühren!> [web31].
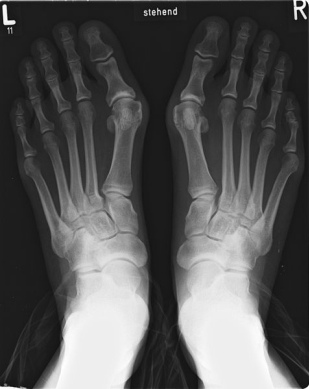
Deformierte, verkrüppelte Füsse durch Stöckelschuhe und High-Heels
Die Medizin weiss vom zerstörerischen Stöckelschuh und behandelt lieber die deformierten und verkrüppelten Körper, statt den kriminellen Schuh zu verbieten
Füsse werden durch Stöckelschuhe (High-Heels) systematisch in eine V-Vorm verstümmelt, zum Beispiel so wie auf diesem Foto, wo alle vier kleinen Zehen zu Hammerzehen verstümmelt wurden und der grosse Zeh krumm gebogen (Hallux valgus) und ein Überbein entstanden ist. Stöckelschuhe bzw. High-Heels sind somit der absolute Sadismus und Masochismus [4]
Solche schmerzenden Füsse kann man verhindern, wenn man Stöckelschuhe verbieten würde...
Die zerstörerische und gefährlichen Auswirkungen von Stöckelschuhen werden von Medizinern bestätigt:
Vor allem Frauen klagen über schmerzende Füsse, weil das Schuhwerk "ungeeignet" war, das sie bisher getragen haben. Von den Frauen über 40 klagen 65% über schmerzende Füsse [das ist die Beschreibung einer Webseite aus Deutschland, also dürfte sich die Zahl von 65% auf Deutschland beziehen [web4]]. Es gibt aber Männer, die die Verstümmelung der Frauenfüsse im spitz zulaufenden Stöckelschuh erotisch finden und sich an den verstümmelten Füssen dann befriedigen... [web31]
Fussverstümmelung "Hammerzeh"
Hammerzehe, Schema: Die Zehen haben bei spitz zulaufenden Schuhen keinen Platz und müssen sich immer zurückziehen, und so entsteht diese Krüppelstellung, die Hammerzehe [20]
Neben angeborenen Fehlstellungen und Unfällen sind spitz zulaufende Stöckelschuhe die Hauptursache für die Ausbildung von Hammerzehen und Krallenzehen. Beim Hammerzeh ist das Endglied des Zehs nach unten gerichtet. Beim Krallenzeh ist der Zeh total zusammengeklappt: Das Mittelglied richtet sich nach oben, das letzte Glied nach unten, und das Grundgelenk ist überstreckt [web05].
Hammerzehen
Darstellung eines Hammerzehs (01): Das Endglied ist nach unten gerichtet und das letzte Zehengelenk ist entsprechend überdehnt [21]
Darstellung eines Hammerzehs (02) [22]: Hier sind das mittlere Glied und das Endglied nach unten gerichtet, und entsprechend sind zwei Zehengelenke überdehnt, und am Zeh entwickeln sich gleich drei Druckstellen mit Hühneraugen (Schwielen) auf einmal [web6], oder es bilden sich offene Stellen, die Infektionsherde bilden [web7].
<Zu Beginn können diese Fehlstellungen beschwerdefrei sein und unbemerkt bleiben. Die Fehlstellung nimmt aber weiter zu und es kommt zur Entwicklung einer schmerzhaften Druckstelle (einem Hühnerauge = Clavus) über dem Mittel- oder Endgelenk des betroffenen Zehs. Das Gehen in Schuhen wird schmerzhaft und es entwickeln sich immer mehr Druckstellen.> [web5]
<Der sogenannte Hammerzeh ist eine sehr häufige Verformung, die durch im Vorderteil zu kleine und zu enge Schuhe gefördert wird.> [web4]
<Beim Hammerzeh ist die Zehe im Grundgelenk überstreckt und im Endgelenk gebeugt, sodass die Zehe erst nach oben und dann (wie ein Hammer) nach unten zeigt. Am häufigsten findet man Hammerzehen am zweiten, dritten oder vierten Zeh.> [web4]
Fussverstümmelung "Krallenzehe"
Auch die Verformung der Zehen in Krallenzehen ist möglich:
Krallenzehe, Schema mit Angabe der Hornhautbildung (unten) und der Bildung von Hühneraugen (oben) [web6] [23]
Krallenzehen bei einer betroffenen, verzivilisierten Frau ("Tussi"), die zu lange hohe Stöckelschuhe trug, wo sich die Zehen immer zurückziehen mussten [24]
Kombination von Hammerzehen und Schiefzehe (Hallux valgus) und Spreizfuss
Krummer grosser Zeh (Schiefzehe, Hallux valgus [web8,9]), mit Spreizfuss und Überbein, provoziert durch dauerndes Tragen von spitz zulaufenden Stöckelschuhen [web14] [Foto 25]
Oft tritt der Hammerzeh mit anderen Fussdeformitäten wie Hallux valgus (Schiefzehe) und Spreizfuss auf [web4].
Hammerzehen, kombiniert mit grossem Schiefzeh (Hallux valgus) [4]
Die Entstehung eines Spreizfusses: <Hohe Absätze verlagern das Gewicht auf den Vorderfuss, quetschen ihn in die Breite.> [web4]
Schema der Entstehung eines Spreizfuss: Die "Brücke" der Zehenballen ist eingeknickt, und beim Laufen werden alle Zehenballen belastet, mit viel Bildung von Hornhaut, was normalerweise nicht der Fall ist [web16] [Foto 26]
Der Mittelfussknochen bildet bei gesunden Füssen eine "Brücke", einen Bogen, und nur der Ballen des Grossen Zehs und des kleinsten Zehs treten auf dem Boden auf. Wenn die verzivilisierten Frauen ("Tussis") mit ihren hohen Stöckelschuhen aber nur noch auf den Zehenballen laufen, so wird diese "Brücke" langsam aber sicher durchgedrückt, so dass bald alle "Köpfchen" aller Mittelfussknochen auf dem Boden aufkommen und Druckbelastungen ausgesetzt sind. [web16]
<Die Zugrichtung der Sehnen verändert sich, und bald werden andere Bereiche des Fusses in Mitleidenschaft gezogen.> [web4]
So entsteht dann ein Spreizfuss mit einem aufgespreizten Mittelfussknochen: Die "Brücke" ist durchgedrückt ("platt"). Es entsteht auch vermehrt Hornhautbildung an den Fussballen, die für den Spreizfuss charakteristisch ist[web16].
Ein Fuss in einem High-Heel-Stiefel mit Schnallen, Röntgenfoto der deformierten Fussstellung (die Schnallen erscheinen als "Fensterkette") [3].
Das Hauptgewicht liegt auf den Zehenballen, und das provoziert das Auseinanderdriften der Zehenballen, einen Spreizfuss [web10], und das normale Fussgewölbe der Zehenballen wird abgeflacht [web6]
Spreizfuss mit Schiefzehe (Hallux valgus) und Überbein: Diese Frau hat so lange High-Heels getragen, bis dieser Spreizfuss mit Schiefzehe (Hallux valgus) und Überbein entstand [web11]. Sie wurde eine typische "Hallux-Patientin"... [web4] [Foto 27]
Die Fussverstümmelung eines Spreizfuss mit Schiefzehe (Hallux valgus), hier an einem Röntgenfoto sichtbar [web9] [Foto 28]
Dabei gelten folgende Feststellungen:
<Schmale Schuhe mit hohen Absätzen erhöhen das Risiko.> [web14]
<In Ländern, in denen Menschen barfuss gehen, sind Überbeine eine Seltenheit.> [web14]
Zusätzlich kommt da noch die Morton'sche Neuralgie (Morton-Neurom)
Durch den dauernden Druck auf die Zehenballen bzw. auf den Mittelfussknochen, zusammen mit der Abflachung des Fussgewölbes in einen plattfussähnlichen Fuss, können die Nerven zwischen den Zehen und Bändern zusammengedrückt und gereizt werden. Die gereizten Zehennerven können so eine lokale Nervenschwellung (Neurom) ausbilden. Somit ist eine "Morton'sche Neuralgie" ["Morton'scher Nervenschmerz"] entstanden [web6].
Die Morton'sche Neuralgie (Morton'sche Nervenschmerzen) entstehen, wenn die Nerven durch Bänder zwischen den Zehen zusammengedrückt werden, wenn also der Fuss ein Spreizfuss wird, meist in Kombination mit einer Schiefzehe (Hallux valgus). Hauptursache: Stöckelschuhe [web6] [Foto 29]
In extremen Fällen können die ungebildeten Frauen ("Tussis") kaum noch laufen
Dabei vertuschen die Frauen ihre verkrüppelten Füsse mit Nylonstrümpfen.
<In ausgeprägten Fällen versteifen die Zehen in der Fehlstellung und es kann zu einer Übereinanderlagerung mehrerer Zehen kommen> [web4], genannt "Reiterzehe" [web12], wenn eine Zehe auf der anderen "reitet" [web13].
Reiterzehen [5]
[30]
Fussverstümmelung durch Stöckelschuhe: Reiterzehe über Schiefzehe (Hallux Valgus) mit Spreizfuss und Hühneraugen und wunden Stellen (zwei Beispiele)
<Die Fussverformungen führt dazu, dass die Schuhe am Rücken des Hammerzehs drücken und sich die Zehenspitze quasi in die Schuhsohle bohrt. Dadurch entstehen mechanische Reizzustände mit Hühneraugen und oft auch Entzündungen und chronische Schmerzen.> [web4]
Und dann ist da noch Arthrose möglich
Die Scharniere zwischen Zehen und Mittelfussknochen können von Arthrose befallen werden, denn die falsche Dauerbelastung zerstört die schützende Knorpelschicht der Zehengelenke und jeder Schritt wird dann zur Qual. Die Zehen erden "arthrotisch". Das Gelenk ist zerstört und es liegt dann ein "Hallux rigidus" vor, ein nur noch eingeschränkt beweglicher Zeh. [web4]
Der Weg zur Fussoperation bei einer Schiefzehe (Hallux valgus)
Wie reagieren die verzivilisierten Frauen ("Tussis"), wenn sie die Schiefstellung ihrer Zehen bemerken: Sie reagieren mit Pflaster und Gymnastik. Es ist nicht gesichert, dass die Operation erfolgreich ist. Und manche dummen Frauen ("Tussis") sind dermassen arrogant, dass sie nach der Operation dann wieder Stöckelschuhe tragen, und erneut operiert werden müssen...
<Hallux-Patienten durchlaufen meist einen langen Leidensweg. Die Betroffenen probieren alles Mögliche, um die Schmerzen loszuwerden. Die Palette reicht von speziellen Pflastern über Bandagen, orthopädische Schuheinlagen bis zu gezielter Fussgymnastik. Mit diesen Methoden lässt sich aber keine Heilung erzielen, sondern nur verhindern, dass der Hallux weiter fortschreitet. Am Ende ist eine Operation oft das einzige Mittel, doch davor schrecken viele zurück. Immer wieder wird über misslungene Operationen berichtet: Noch mehr Schmerzen oder gar Gehbehinderungen können die Folge sein. Manchmal muss der Eingriff auch wiederholt werden, weil das Überbein trotz erfolgreicher Behandlung erneut auftritt.> [web14]
Fussoperationen
Ein Bild genügt. Wollen Sie das?
[6]
Die verzivilisierten, jungen Frauen ("Tussis") mit ihren Stöckelschuhen haben sich sicher nicht vorgestellt, dass ihr Fuss einmal so vernäht aussehen wird, wenn sie 35 oder 40 Jahre alt sind...
Die Knöchelgelenke sind extrem gefährdet, wenn die Tussis mit ihren hohen Stöckelschuhen (High-Heels) auch noch Stürze hinlegen.
Operation von Schiefzehen (Hallux valgus): erfolgreich und nicht erfolgreich
<Solange das Problem [der Schiefzehe / des Hallux valgus] eher kosmetischer Natur ist, empfehlen die Ärzte Einlagen, Spezialschuhe oder Schienen. Nur bei anhaltenden Schmerzen raten sie zur Operation. Bei den meisten Eingriffen wird der Mittelfussknochen durchtrennt, um den Grosszeh wieder in die richtige Position zu bringen. Oft werden auch Teile des Überbeins abgemeisselt.> [web4]
<Gegen 150 Operationstechniken sind bekannt. Als eine der erfolgreichsten Methoden hat sich in den letzten Jahren die sogenannte Scarf-Osteotomie erwiesen. Diese moderne Technik hat den Vorteil, dass das Grosszehengelenk vollständig erhalten bleibt. Beim Eingriff durchtrennt der Chirurg den Mittelfussknochen und schiebt die beiden Knochenteile in die richtige Position. Anschliessend fügt er sie mit Spezialschrauben wieder zusammen und entfernt das Überbein an der grossen Zehe. Anders als bei anderen Techniken können die Patienten bereits einen Tag nach der Operation wieder gehen - mit Spezialschuh, aber ohne Krücken.> [web14]
Eigenartigerweise bezahlen die Krankenkassen diesen Schwachsinn, und gleichzeitig verbieten die Krankenkassen die zerstörerisch-kriminellen Stöckelschuhe und High-Heels nicht! Krimineller geht es nicht!
Und die Operation der Schiefzehe (Hallux valgus) gelingt nicht immer, wie z.B. dieser Bericht beweist:
<Hallo zusammen! Was die operative Korrektur eines Hallux valgus angeht, kann ich nur bestätigen, dass diese Operation ziemlich riskant ist. Eine Bekannte hat sich ihren Ballen an einem Fuss wegoperieren lassen, weil sie es optisch sehr unschön fand, sie kam auch immer schlechter in enge Schuhe hinein. Grossartige Beschwerden hatte sie eigentlich keine. Vor der Operation hat ihr der Orthopäde (angeblich ein absoluter Fussspezialist) erzählt, das wäre keine grosse Sache, die Erfolgsaussichten wären prima und hinterher hätte sie wieder einen hübschen Fuss.
Leider Fehlanzeige! Erstens hat sie seit der OP erst richtig Schmerzen bekommen, die auch bis heute nicht richtig weggegangen sind. Und zweitens hat sich der grosse Zeh im Laufe eines Jahres wieder verschoben und steht jetzt fast so schief wie vorher. Also: alles umsonst und dafür jetzt noch Schmerzen! Mein Rat: So lange ihr noch irgendwie zurechtkommt mit euren Füssen, lebt damit und lasst euch lieber nicht operieren!> [web15]
Es ist also eine Lotterie, ob die Operation gelingt oder nicht. Hier ist ein positiver Bericht:
<In der ersten Zeit nach der OP war es schlimmer als vorher, ich hatte Probleme beim Laufen. Leider wurde bei einer Nachuntersuchung festgestellt, dass die OP nicht richtig ausgeführt wurde und eigentlich eine erneute OP nötig wäre. Da ich aber weitestgehend schmerzfrei bin und es optisch auch ganz okay aussieht, warte ich damit noch. Ich werde mir irgendwann beide Füsse nochmal operieren lassen. Dann aber nach einer neueren Methode, die die Krankenkasse bisher leider nur zur Hälfte zahlt. Diese neue Methode hat den Vorteil, dass man am selben Tag schon wieder laufen kann. Ich musste damals 5 Wochen einen sogenannten "Vorfussentlastungsschuh" tragen und durfte die erste Zeit gar nicht auftreten, nur mit Krücken gehen. Trotz allem kann ich die Operation auf jeden Fall empfehlen. Es sieht um Längen besser aus als vorher, ich traue mich im Sommer Flip Flops oder andere offene Schuhe zu tragen. Die Narbe auf dem Fuss stört dabei überhaupt nicht. Die Schmerzen, die ich vorher nach längeren Spaziergängen hatte, sind vollständig weg. Es ist quasi ein neues Leben!> [web15]
Die Lotterie bei Fussoperationen bleibt bestehen. Hier ist ein Bericht einer Folgeoperation:
<Meine Mutter zum Beispiel hat immer so enge Dinger an und sie leidet auch unter nem Hallux valgus... da lobe ich mir meine Sneakers. Und bei den OPs habe ich gehört, dass die extrem schmerzhaft sein sollen und man hinterher noch lange Schmerzen hat. Eine Freundin meiner Mutter hatte im Zeh danach lange Schmerzen und hat deshalb beim Laufen den Fuss falsch belastet mit dem Resultat eines Ermüdungsbruches im Mittelfuss... also quasi vom Regen in die Traufe. Deshalb würde ich die OP nicht als Lappalie bezeichnen.> [web15]
Ist es der Sinn und Zweck der Schuhindustrie und der sadistischen Modedesigner, Schuhe zu produzieren, die Verstümmelungen von Füssen und Operationen provozieren? Bis heute ist diese kriminelle Schuhmode erlaubt!
Die Operation von arthrotischen Zehen
Arthrose in den Füssen und Zehen kann durch verschiedenste Fehlstellungen und Fehlbelastungen der Füsse zustandekommen. Die Stöckelschuhe und High-Heels können da einer der Faktoren sein. Die Ärzte der Schul-"Medizin" pflegen verschiedene Methoden, die Zehenschmerzen von arthrotischen Zehen zu "heilen":
-- die Versteifung des Zehengelenks: Die Ärzte der Schul-"Medizin" versteifen den betroffenen Zeh mit Drähten, Schrauben und Platten, so dass das zerschlissene Zehengelenk stillgelegt wird. In der Folge sind spezielle Schuhe mit harter, vorne abgeschrägter Sohle notwendig, und über diese "Rampe" wird der Fuss nun abgerollt [web4]
-- die "Halbprothese" (teuer und umstritten): Die Ärzte der Schul-"Medizin" setzen einen künstlichen Gelenkkopf in den Fuss ein, eine Titanschraube mit blank polierter Stahlkappe. In der Regel verursachen aber künstliche Gelenke mit der Zeit mehr Probleme, als damit Probleme gelöst wurden [web4].
Aber das ist noch nicht alles:
Umknicken und Stürze mit Zerrungen, Bänderrissen und Knochenbrüchen wegen Stöckelschuhen und High-Heels
Stürze mit Stöckelschuhen (High-Heels) (hier der Sturz eines Models auf einer "Modeschau") sind vorprogrammiert, weil die Kombination von hohem Schuh und minimaler Schuhsohle die besten Voraussetzungen für Stürze ergibt... [31]
Die wackeligen Stöckelschuhe bzw. High-Heels provozieren immer wieder schwere Verknickungen ("Umknöcheln in Stöckelschuhen" [web28]) und Stürze mit Verletzungen von Schürfungen bis zu Knochenbrüchen. Die Stöckelschuhe bzw. High-Heels sind also bewiesenermassen sehr gefährlich. Da reicht schon eine leichte Betrunkenheit oder Unebenheit, um sich mit Stöckelschuhen einen Knochenbruch zuzuziehen.
Offizielle Meldungen bestätigen die Angaben:
Stürze durch Stöckelschuhe bzw. High-Heels
Die Kombination von langen Kleidern und Stöckelschuhen (High-Heels) provoziert Stürze geradezu, weil das Kleid sich in den Stöckelschuhen verheddern kann. Das Model musste in diesem Fall die Schuhe ausziehen und barfuss laufen [web45].
Stöckelschuhe in Kombination mit einem langen Kleid sind unmöglich, weil dies immer wieder Stürze provoziert. Das Model musste die Schuhe ausziehen und barfuss laufen... [32]
Plateau-High-Heels haben keine rutschfeste Sohle und schon die Models, die sich nur mit Kleidung beschäftigen, stürzen damit oft. Die Models sind verpflichtet, auch bei einem Sturz noch zu lächeln [web45].
Das Model (hier Naomi Campbell 1993) stürzt mit den kriminell-gefährlichen und schädlichen Plateau-High-Heels und lächelt auch noch beim Sturz. Dazu ist das Model verpflichtet... [33]
Bruch des Stöckelschuhs
Absatzverspreizungen brechen gelegentlich, und das kann der Bruch des Stöckels schwere Stürze provozieren [web25]. Ein Bruch des Stöckels vom Stöckelschuh passiert vor allem bei niedriger Qualität resp. wenn die Stöckelschuhe billig sind [web35]. Beim Tanzen gehen Stöckelschuhe manchmal auch verloren, was Stürze provoziert. Zum Tanzen sollte man also Riemchen-Stöckelschuhe verwenden, die man wenigstens nicht verlieren kann [web29].
Stürze mit High-Heels-Stiefeln bei Schnee und Glatteis sind normal. Die verführten Frauen ("Tussis") sind so verliebt in ihre High-Heels, dass sie auch bei Schnee auf ihre "hohen Stiefel" nicht verzichten wollen [web26] [und die dumme, verzivilisierte Krankenkasse zahlt auch noch den dummen Frauen ("Tussis") die Operation der zugezogenen Verletzungen, statt sich für ein Verbot von hohen Stöckelschuhen einzusetzen (!)].
Verletzungen durch Umknicken oder Stürze: Verstauchungen, Bänderzerrungen, Bänderrisse, Knöchelbrüche
-- Knöchelverstauchung [web37]
Die Frau von Ronaldo, Nereida Gallardo, knickte auf Mallorca mit ihrem High-Heel-Schuh um und erlitt eine Bänderdehnung, und musste an Krücken gehen (18. Mai 2009) [web55].
Der Sadismus der Modedesigner geht inzwischen so weit, dass ein Model, das für die sadistische Modefirma Yahya in High-Heels ein langes Kleid vorführt, dabei mit dem Fuss umknickt und sich dabei den Knöchel verstaucht, "weitermachen" muss und sich erst nach absolviertem Programm den Fuss pflegen darf [web53]. Dabei ist bei der Kombination von High-Heels und langem Kleid vorprogrammiert, dass sich der Stöckel im Kleid verheddert und dann ein Sturz erfolgt. Die Modedesigner müssten dies eigentlich wissen, zeigen sich aber scheinbar weiter ahnungslos (Schlussfolgerung Palomino).
Model mit verstauchtem Knöchel muss weiter laufen: Das Model, das geknickt war und sich den Knöchel verstauchte, lief ohne Schuhe weiter, musste dann aber andere Kleider wieder in High-Heels vorführen, und erst nach der Veranstaltung durfte sich die Magerfrau den Fuss pflegen... (Die Meldung war leider ohne Datum [web53]). [Foto 34]
Wo bleibt da die Gesundheit im Arbeitsvertrag?
Wo bleibt das Verursacherprinzip?
-- Knöchelbrüche [web37].
Der Sadismus der verzivilisierten Frauen ("Tussis") geht so weit, dass sie sich mit High-Heels absichtlich die Knöchel brechen, um zu sehen, wie die im Spiegel mit einem Gips aussehen [web56].
Der Gips nach einem Knöchelbruch [35]
Vorsorge gegen Knochenbrüche bei Stöckelschuhen: Schuhe wechseln
Meldung vom 28.11.2008:
<Flip Flops statt Stöckelschuhe: Die britische Polizei will stark betrunkene Frauen in der Partymeile der südenglischen Küstenstadt Torbay künftig mit flachen Strandschuhen ausstatten, um schmerzhafte Verletzungen zu verhindern. So solle vermieden werden, dass sich die torkelnden Nachtschwärmerinnen in Stöckelschuhen auf dem Heimweg ihre Beine brechen, sagte Kommissar Adrian Leisk. In letzter Zeit hätten die jungen Frauen auch oft ihre Schuhe ausgezogen und sich dann barfuss oder in Strumpfhosen in Glasscherben geschnitten.> [web20]
Weitere körperliche Schäden und Krankheiten durch Stöckelschuhe
Absolut schädliches Tanzen mit Stöckelschuhen
Eine Frau tanzt in Stöckelschuhen. Schwere Fussverstümmelungen sind vorprogrammiert [36]
Abgesehen von Stürzen durch brechende Absätze [web25] oder verlorene Stöckelschuhe [web29] provozieren Stöckelschuhe eine dauernde Fehlhaltung, und das Tanzen in Stöckelschuhen provoziert eine noch stärkere Fehlhaltung bis zur Rückgratverkrümmung und schädigt potentiell die Wirbelsäule [web25].
Dynamische Standardschritte drückt die Schuhe noch mehr in die spitz zulaufenden Schuhenden. Die Patella-Sehne und die Gelenke der Zehen werden dabei stark zerstört. Konkret:
<Der Prozentsatz der Senioren-Damen mit kaputten Zehen, die jahrelang trainiert haben, ist höher, als jener von Nicht-Tanzsportlerinnen. D.h. Standard-Tanzen in Stöckelschuhen schädigt potentiell die Sehnen und Gelenke der Zehen.> [web25]
Es gibt Tanzgruppen, die mit Stöckelschuhen tanzen, "wie wenn sie Sneakers tragen würden", mit Spagat und Drehungen mit fliegenden Haaren [web27].
Die Folgen werden diese unwissenden Frauen dann zu spüren bekommen, wenn sie über 35 sind (siehe oben, Schlussfolgerung Palomino).
Die Folgen treten sogar schon früher ein, wie eine Forumsteilnehmerin berichtet, die schon im Kindesalter High-Heels trug und im Ballett Spitzentanz vollführte: Sie hat schon mit 26 derart verkrüppelte Füsse, dass sie nicht mehr barfuss laufen kann:
<Ich bin 26 Jahre und habe bereits sehr früh angefangen High-Heels zu tragen. Ausserdem tanzte ich seit meinem 9.Lebensjahr Ballet und fing auch schon relativ früh an "auf Spitze" zu tanzen. Inzwischen trage ich schon über zehn Jahre hochhackige Schuhe. Zwar gewöhnten sich meine Füsse sehr schnell an diese "Haltung" in High-Heels und ich fand es sogar angenehm beim Spitzentanz. Leider habe ich aber insgesamt sehr schlechte Erfahrungen aufgrund meiner "Vorlieben" machen müsse. Meine Füsse haben diese "Umwandlung" nicht ganz unbeschadet überstanden. Ich konnte zwar bis zuletzt noch "auf Spitze" tanzen, doch das musste ich Aufgrund der Schmerzen in meinen Zehen bereits vor 3 Jahren aufgeben. High-Heels trage ich zwar immer noch, doch mehr wegen meiner Fussstellung, als zum Spass. Meine Zehengelenke sind inzwischen steif und unbeweglich. Ich kann nur noch mit Absätzen laufen, da barfuss nur noch die Zehenspitzen den Boden berühren! Aufgrund meiner Erfahrungen finde ich es äusserst problematisch, wenn man bereits sehr junge Mädchen zum Laufen in High-Heels animiert!!> [web31]
Beanspruchung der Waden
Die Waden werden ausserordentlich beansprucht, wenn die "Tussi" in Stöckelschuhen unterwegs ist, und der Wadenmuskel verkürzt sich, wenn keine Gegenmassnahmen mit regelmässigem Stretching oder Barfusslaufen eingeleitet werden [web29].
Geschwollene Füsse und schmerzende Füsse (Fussschmerzen)
Frau in Stöckelschuhen, Sicht von unten. Die Füsse werden sich für die Fehlstellung bedanken... [37]
Beipackzettel gibt es für Stöckelschuhe und High-Heels bisher nicht...
<Gegen geschwollene Füsse helfen kalte Güsse.> [web29]
Um Feste in High-Heels durchzustehen, hielt die Braut sich tapfer. So berichtet die Braut in einem Forum: <Den Rest der Nacht hielt ich mich tapfer. Erst zuhause spürte ich wieder richtig meine Zehen.> Und zwischendurch brauchts immer wieder einmal Fussmassagen gegen die Schmerzen durch Stöckelschuhe [web31].
Schmerzende Füsse gehören zum Alltag für die verführten Stöckelschuhträgerinnen, z.B. brennende Fussballen. Stöckelschuh-Webseiten empfehlen Gel-Polster aus transparentem Silikon aus der Drogerie, die unter die Zehenballen gelegt werden sollen. Und wenn "gar nichts mehr geht", wenn die "Tussi" also vor Schmerzen überhaupt nicht mehr laufen kann, dann soll man Ballerinas oder Sneakers aus der Handtasche holen, die man als verführte Stöckelschuhträgerin also immer dabeihaben muss [web29].
Aber die meisten "Tussis" meinen, sie müssten die Schmerzen aushalten, sonst seien sie nicht tapfer genug, oder sonst hätten sie die Emanzipation nicht durchgezogen, oder sie hätten die Furchtlosigkeit und das Durchhaltevermögen nicht erfüllt [web31].
Die geistige Verirrung im Sadismus gegen den eigenen Körper schildert diese Frau in einem Forum. Die Frau gibt zu, unter einem inneren Zwang zu stehen. Sie ist sich aber scheinbar nicht klar, dass sie mit dem Drang, sich selbst mit schmerzhaftem High-Heel-Tragen immer etwas beweisen zu müssen, im selbstzerstörerischen, perversen Sadismus gelandet ist:
<Innerer Zwang bedeutet für mich, mir selbst zu beweisen, wie ausdauernd und tapfer ich bin. Stundenlanges Laufen oder Stehen in neuen, hochhackigen oder engen Pumps bis hin zur Schmerzgrenze, wenn ich das aushalte fühle ich mich so, als würde ich beim Sport Höchstleistung bringen.Hinzu kommt am Abend das schöne Gefühl, wenn ich endlich die Stöckel in die Ecke werfe. Gelegentlich koste ich es auch aus, wenn Männer meine Füsse und Schuhe bewundern.Wer will da noch von "Zwang" sprechen.> [web31]
Solche Frauen sind krank. Und die dummen Männer machen für solche krankmachenden Schuhe auch noch Komplimente. Also ist die "Zivilisation" krank, und die Regierungen merken es nicht...
Haglund-Ferse und Schleimbeutelentzündungen an den Fersen
Haglund-Fersen, verursacht durch die harten Fusskappen oder Schuhriemen der hohe Stöckelschuhe (High-Heels) [38]
Am rechten Fuss sieht man auch eine Spur eines Riemenschuhs.
Die harten Fersenenden oder Bänder der Stöckelschuhe (High-Heels) können die Ferse derart reizen, dass eine knöcherne Vergrösserung an der Ferse entsteht, die sogenannte Haglund-Ferse [web38], die sich zu einer Bursitis entwickeln kann [web39] (Schleimbeutelentzündung) [web40]. Haglund-Fersen können vermieden werden, wenn man "geeignetes Schuhwerk" trägt, also KEINE Stöckelschuhe und KEINE High-Heels [web38].
Chronische Rückenschmerzen durch Hohlkreuz mit Stöckelschuhen (High-Heels)
Stöckelschuhe verursachen ein Hohlkreuz. Die Bandscheiben verformen sich, und ein Hohlkreuz verursacht dann ab 30 chronische Rückenschmerzen [x01]
Da Bandscheiben aus Knorpel bestehen, sind sie eben verformbar und reagieren auf falsche Kräfte im Körper. Man/frau kann die Bandscheiben in der Physiotherapie korrigieren, dies erfordert aber Übungen, die 1 bis 2 Jahre lang durchzuhalten sind. Bandscheiben heilen auch mit dem Heilbett CERAGEM, das mit Wärme und Infrarotstrahlen arbeitet. 6 Monate einmal täglich CERAGEM.
Die "normale" Medizin mit ihren Chirurgen und Schrauben und Metallplatten heilt aber nicht sondern operiert an der Wirbelsäule herum, damit die Frau noch kränker wird und bleibt! Die "normale" Medizin kann bis heute keine Bandscheiben heilen, weil sie meint, die seien nicht heilbar.
Am besten nie hohe Stöckelschuhe tragen, dann passiert einem so was gar nicht.
In anderen Worten: Wenn unwissende Frauen ("Tussis") oft Stöckelschuhe bzw. High-Heels tragen, so wird zwar der Arsch immer betont ausgestülpt, aber zum Ausgleich befindet sich die Wirbelsäule dauernd in einem Hohlkreuz, und das verursacht auf die Dauer chronische Rückenschmerzen:
<Schuhe mit hohen Absätzen wirken sich ungünstig auf den Rücken aus. Sie lassen das Becken kippen und bringen den Rücken ins Hohlkreuz. Gegen das gelegentliche Tragen von Stöckelschuhen ist nichts einzuwenden. Aber im Alltag sollte das Schuhwerk den Zehen viel Freiraum geben und mit beweglichen Sohlen ausgestattet sein. Dann kann der Fuss beim Gehen abrollen und die Belastung gleichmässig über die gesamte Sohle verteilen. In Stöckelschuhen hingegen lastet das ganze Gewicht auf den Zehen und den Ballen. Bei jedem Schritt werden die Bandscheiben stossartig belastet und die Rückenmuskeln angespannt. Rückenschmerzen, Wadenkrämpfe und Fussschmerzen sind häufig die Folgen.> [web57]
"Erotische Argumente" der Männer und Frauen für den zerstörerischen Stöckelschuh
Es scheint schon sehr armselig, wenn "erotische Argumente" es erlauben, die Sachbeschädigung und die scheren körperlichen Schädigungen durch Stöckelschuhe (High-Heels) zuzulassen. Schauen wir mal, wie diese "erotischen Argumente" aussehen:
Frau in High-Heels mit Lange-Beine-Effekt. Schwere körperliche Schäden an Rücken und Füssen sind vorprogrammiert. Aber den dummen Männern ist das egal, denn die meinen, Hauptsache, es "macht an" und die "sexy Maus" sieht sexy aus... [39]
Beipackzettel gibt es für Stöckelschuhe und High-Heels bisher nicht...
Es gibt verzivilisierte Frauen ("Tussis"), die meinen, sie würden sich mit Stöckelschuhen mehr sexy fühlen, und alle Sachbeschädigung und Gesundheitsfolgen und Gefahren werden von diesen Tussis unter den Tisch gewischt. Zuerst einmal ist das Tragen von hohen Stöckelschuhen absolut unnatürlich, und die verzivilisierte Frau ("Tussi") muss extra lernen, wie man mit einem Fersen-Ballen-Zehen-Schritt und mit herausgestrecktem Arsch und Busen wie ein sexuell unbefriedigtes Hamster-Weibchen herumläuft [web29]. Frauen mit Übergewicht sehen zwar generell mit hohen Stöckelschuhen (High-Heels) schlanker aus, weil die Frau optisch nun um die 8-15 cm grösser ist [web46]. Aber die Stöckelschuhe haben einen materiell und gesundheitlich einen derart hohen Preis, dass diese Methode des Schlanker-Erscheinens wirklich nicht zu empfehlen ist. Schon beim Üben im Stöckelschuh kann es zu den ersten Blasen kommen als Alarmzeichen, dass jegliche Natürlichkeit der Körperhaltung verlorengegangen ist. Aber die "Tussis" nehmen das in Kauf, um das <Extrem-Fussbiegen-Mit-anschliessendem-O-Bein-Humpeln> zu überwinden... [web31]
Aber auch die dummen Männer haben Argumente für den kriminellen Stöckelschuh: Die Argumente der dummen Männer für Stöckelschuhe, die eine Frau in Stöckelschuhen "aufreizend" finden, weil der Stöckelschuh "das Bein streckt" oder den "Po hebt", oder als "leichte Beute" betrachten, weil die Frau "nicht wegrennen" kann und "geführt" werden will [web2], sind absolut kriminell, wenn man die Sachbeschädigungen und die Gesundheitsschäden betrachtet, die Stöckelschuhe anrichten. Auch die Argumente, dass eine Frau mit Stöckelschuhen "den Anschein [...] erwirkt, erhaben und unabhängig" zu sein, oder dass eine Frau in Stöckelschuhen eine "besonders dominante Aura" habe, die Männer dominieren wolle, und dass viele Männer sich nur danach sehnen würden, von solchen Tussis dominiert zu werden [web2], sind absolut kriminell, wenn man die Sachbeschädigungen und die Gesundheitsschäden betrachtet, die Stöckelschuhe anrichten. Im Gegenteil sollte doch ergründet werden, wieso die betroffene Frau den Drang hat, Männer dominieren zu wollen und ein Miteinander mit Männern als dauernden Kampf ansieht.
Eine Frau mit Stöckelschuhen (High-Heels) im Bett soll auf gewissen Männer besonders "anziehend" wirken, wenn die Frau beim Sex die Stöckelschuhe anbehält. So wird nicht nur das Bett verschmutzt, sondern die natürlichen Körperenergien der Frau werden beim Sex in den Füssen eingeschränkt oder sogar blockiert. Ist das ein sexueller Genuss für die Frau? wohl kaum. [40]
Auch auf dem Sofa sollen Stöckelschuhe (High-Heels) erotisch wirken, weil die Beine länger wirken. Die Gesundheitsschäden sind den Männern wie den Frauen scheinbar egal... [41]
Es gibt doch wirklich gesündere Arten und Weisen, eine Frau sexuell attraktiv erscheinen zu lassen als mit den zerstörerischen und gefährlichen Stöckelschuhen. Aber da ist noch mehr Irrglaube über die Stöckelschuhe:
Dauernde sexuelle Erregung durch Stöckelschuhe, die in Unzurechnungsfähigkeit und im Fiasko endet
Die Arschparade: Arsch raus, Brust raus, das sieht sexy aus - die Frau in Stöckelschuhen ist immer sexuell erregt, und mit Unzurechnungsfähigkeit durch sexuelle Dauerstimulation ist zu rechnen - und auch die Männer werden unzurechnungsfähig, wenn sie im Büro dauernd durch Frauen in Stöckelschuhen sexuell "angemacht" werden... [42]
Beipackzettel gibt es für Stöckelschuhe und High-Heels bisher nicht...
Die "Wissenschaft" fand heraus: <Stöckelschuhe lassen den Hintern doppelt so stark wippen wie flache Absätze und übertragen einen dementsprechend stärkeren Reiz auf die Vulva>. Die Frau erlebt also durch Stöckelschuhe einen grösseren Reiz ihrer Genitalien und ist dauernd in einem sexuell erregtem Zustand, so meint die Feministin Beatrice Faust im Buch "Women, Sex and Pornography" ["Frauen, Sex und Pornographie"]. Der gesamte Unterkörper ist in einer dauernden Spannung [web27].
Nun ist es aber eben fraglich, ob es sinnvoll ist, dass verführte Frauen ("Tussis") dauernd sexuell erregt sind. Logisch denkende Menschen erkennen, dass eine dauernd sexuell erregte Frau eher als UNZURECHNUNGSFÄHIG zu bezeichnen ist, weil die sexuelle Erregung das logische Denken ausschaltet. Ausserdem ist es KEIN Vorteil, wenn sich der Unterkörper dauernd in einer Spannung befindet, denn dadurch werden die Energieflüsse im Körper blockiert, was sich mit der Zeit mit gewissen Krankheiten und Anfälligkeiten bemerkbar machen dürfte. Auch die geilen Männer, die auf Stöckelschuhe "abfahren", sind in Gefahr, unzurechnungsfähig zu werden, wenn ihnen die "Tussis" mit Stöckelschuhen den Kopf "verdrehen" können. Und kranke Frauen sind auch keine Hilfe für die Männer. Somit ist alles nur Schall und Rauch, was Stöckelschuh und sexuelle Erregung angeht, denn ab 35 ist die Frau voller Schmerzen und der Mann mit "verdrehtem" Kopf nimmt sich dann eine "Jüngere". Für die Frau wird es das totale Fiasko (Schlussfolgerung Palomino).
Das falsche Gefühl, sich mit Stöckelschuhen "begehrenswert" zu fühlen
Blondine in High-Heels: In High-Heels fühlen sich ein Teil der Frauen eher "begehrenswert". Dabei haben High-Heels schwere körperliche Schäden an Rücken und an den Füssen zur Folge. Und welcher Mann will dann noch eine solch körperlich geschädigte Frau? [43]
Beipackzettel gibt es für Stöckelschuhe und High-Heels bisher nicht...
Eine Tussi drückt das Lebensgefühl durch Stöckelschuhe so aus. Sie habe sich erst in Stöckelschuhen "begehrenswert" gefühlt:
<Meine ersten eigenen Erfahrungen mit HH machte ich mit etwa 14 Jahren, als ich in Schuhen meiner Mutter, mit moderaten 8-9 cm, auf eine Party ging. Das war übrigens ein ziemlicher Reinfall. Nach kaum einer Stunde konnte ich fast nicht mehr laufen, obwohl es bei meiner Mutter so leicht aussah. Trotzdem habe ich damals „Blut geleckt“. Ich fühlte mich plötzlich als Frau, als begehrenswerte Frau. [...] Genauso wie es selbstverständlich ist, dass ich mich täglich schminke - auch weil es Männern gefällt - so ist es für mich ganz klar, dass ich nicht ohne hohe Absätze auf die Strasse gehe, weil es für mich zu einer attraktiven, gepflegten Frau genauso gehört, wie eine gute Figur oder gute Kleidung.> [web31]
Da gibt es Frauen, die meinen, die unnatürlichen und zerstörerischen Stöckelschuhe seien "feminin":
<Aber auch ich finde diese Art Schuhe sehr aufregend und finde aus Überzeugung, dass sie zu einer femininen Frau gehören.> [web31]
Da gibt es Frauen, die High-Heels tragen, damit die Männer ihnen "nachschauen", auch wenn die Frau ungekämmt und nicht geschminkt ist. Aber was für Männer das sind, das bleibt ausserhalb der Diskussion:
<es (ist) schon erregend …, High-Heels zu tragen. Das (kommt) gar nicht mal so sehr (vom) Tragen, sondern (von) den Reaktionen, die das Stöckeln hervorruft. Du kannst ungekämmt und ungeschminkt sein - egal! Die Männer schauen (dir) wegen den Hackenschuhen nach.> [web31]
Eine andere Frau, die sich mit Stöckelschuhen die Füsse verkrüppelt, meint in einem Forum:
<Ich fühle mich klasse, überlegen, sexy, einfach GUT!> [web31]
Und das ergibt ein "Stöckel-Feeling"... [web31]
das sich z.B. so anhört:
<Ich finde einfach, dass Heels einen tollen Fuss machen und auch ansonsten ein überaus weibliches Kleidungsstück sind. Auch mag ich es, meinen Mann (und manchmal auch andere Männer) mit den Schuhen zur Weissglut zu bringen.> [web31]
oder so:
<Es sieht schärfer aus, wenn der Fuss steil gestellt ist, ausserdem sieht der Gang darin herausfordernder aus. Ich (Maria) fühle mich im übrigen auch deutlich erotischer, wenn ich richtig hohe Schuhe trage.> [web31]
Auffallen ist alles. Da werden sogar Urlaubswochen geopfert, um das Laufen in Ballett-Heels zu üben:
<Ich habe mir mein erstes Paar vor ca. 3 Jahren gekauft, obwohl ich früher Ballett - Unterricht hatte, konnte ich in diesen Schuhe nicht, überhaupt nicht alleine laufen! Aber es hat dann hartes Training gekostet, ich habe zwei Urlaubswochen dafür geopfert, und jeden Tag geübt und geübt. Jetzt beherrsche ich die Schuhe und nicht die Schuhe mich. Also, wenn Du Dir dessen bewusst bist und bereit zu üben (das ist hart!), dann kann ich Dir sagen: Ballerina-Heel's sind das Beste, was ich an Fetisch-Heels kenne. Auffallen ist garantiert!> [web31]
Diese Frauen scheinen nicht zu begreifen, dass es nicht auf das "nachschauen" ankommt, sondern dass sie selber die Beziehungen steuern können, die sie im Leben haben. Die Frauen fühlen sich scheinbar nur mit Stöckelschuhen kontaktfähig, und dies deutet auf eine grosse Geistesgestörtheit hin. Die Verkrüppelung der Füsse nehmen diese Frauen in Kauf, und die Regierungen hindern sie nicht daran...
Das Ausgleichen von Kleinwüchsigkeit mit Stöckelschuhen und das "Emanzipationsgefühl"
Es gibt kleinwüchsige Frauen, die meinen, sie könnten mit sehr hohen Plateau-High-Heels mehr Freiheit im Leben erreichen, weil sie Körpergrösse ausgleichen wollen. Ab 30 sind die körperlichen Schäden dann aber fatal... [44]
Beipackzettel gibt es für Stöckelschuhe und High-Heels bisher nicht...
In Ländern mit kleinwüchsigen und uninformierten, z.T. analphabeten Frauen können regelrechte High-Heel-Epidemien ausbrechen, um in High-Heels den europäischen Touristen sexuell besser zu gefallen, und um die Körpergrösse gegenüber den europäischen Touristen etwas auszugleichen, z.B. in Thailand mit hochhackigen Stiefeln mit einem Plateau von 13cm und Absatz von nochmals 11cm, also insgesamt 24cm "Höhenunterschied". Die Thailänderinnen sind absolut nicht informiert und sind dann von den hohen Schuhen derart angetan, dass sie sie den ganzen Tag anbehalten. Die Thailänderinnen werden zu "Stöckeltussis". Die Thailänderinnen nehmen die Verformungen und Schmerzen dann z.T. sogar in Kauf und behaupten, hohe Schuhe seien bequemer als flache Schuhe... [web31]
Auch in Deutschland greifen kleinwüchsige Frauen heute (2009) zu Plateau-High-Heels und meinen, sie seien damit emanzipierter: <bin 34 und nur 146 cm "gross". Ich weiss nicht, ob ich in diesem Forum Gleichgesinnte finde, aber ich unterliege schon seit Jahren dem Zwang super hohe Stöckel zu tragen. Da kam mir die Plateau-Schuh-Mode genau richtig. Da konnte ich Hammer-Absätze tragen, ohne dass es auffällt. Aber ich trage auch gerne dünne Stilettos, so bis max. 13 cm (ohne Plateau). Damit bin dann schon fast 160 cm gross. Für alle, die es nicht nachempfinden können was es heisst "zu klein" zu sein, kann ich nur sagen, dass die Schuhe eine super tolle Möglichkeit bieten die Grösse zu kaschieren. Meist trage ich lange Hosen die über die Absätze gehen, so fallen die High-Heels nicht sehr auf.> [web31].
Und Frauen, die es absolut nicht nötig hätten, meinen, sie würden in hohen Absätzen "elegant" aussehen... [web31]
Scheinbar haben die Regierungen der Welt überhaupt keine Ahnung, was da für Gesundheitsschäden da zu erwarten sind (Schlussfolgerung Palomino).
Das falsche Machtgefühl - der Verlust des Denkvermögens - das Fiasko
Plateau-High-Heels sollen ein Machtgefühl vorspiegeln. Dabei sind schwere körperliche Schäden an Rücken und Füssen vorprogrammiert [45]
Beipackzettel gibt es für Stöckelschuhe und High-Heels bisher nicht...Die "Wissenschaft" fand auch heraus, dass eine Frau mit Stöckelschuhen sich "stärker fühlt", ja, dass die Höhe des Stöckels einem Phallussymbol gleichkommt: Je höher der Stöckel, desto grösser ist der unterbewusste, erotisch-sexuelle Wunsch, Männer zu dominieren oder sogar zu penetrieren. Und allgemein seien Stöckelschuhe als Rebellion gegen die "nette Mode" zu werten [web27]. Da meint eine verführte, junge Frau ("Tussi") doch tatsächlich:
<Ich verbinde mit High-Heels Furchtlosigkeit und Durchhaltevermögen. Es ist eine andere Form von Emanzipation, die auf 10 cm daherkommt.>
Und andere Tussis bauen am Stöckelschuh ihr Selbstbewusstsein auf und sind stolz, z.T. grösser als die Männer zu sein [web31].
Die verführten Frauen mit Stöckelschuhen sind also eher daran, ihr Denkvermögen zu verlieren als intellektuell Fortschritte zu machen, weil sie sich im falschen Stolz blockieren. Frauen in Stöckelschuhen werden geistig behindert, weil sie meinen, mehr wert zu sein als andere, werden rassistisch, und die Stöckelschuhe halten die Frauen somit vom ganzheitlichen Denken ab, weil sich diese Tussis in eine "höhere Klasse" stellen als andere.
Und die pervers-sexuelle Stöckelschuh-Variante, den Stöckel als Penis und als Machtsymbol gegenüber Männern anzusehen, beruht natürlich auf einem absoluten Trugschluss, denn logisch denkende Menschen wissen: Je höher der Stöckel ist, desto unbeweglicher und ohnmächtiger und schwächer wird die Frau, weil sie kaum noch laufen kann. Die Frau wird also Männer sicher nicht dominieren, wenn sie hohe Stöckelschuhe trägt, sondern sie wird noch mehr Opfer werden, weil sie auf Hilfe angewiesen ist. Die Bezeichnungen für die hohen Stöckelschuhe (High-Heels ab 10cm Absatz, Skyscrapers ("Wolkenkratzer") ab 14cm Absatz) sprechen für sich. Die Tussi hat also das Gefühl, mit den Männer in Wolkenkratzern (WTC etc.) gleichzuziehen und mit ihren Skyscrapers in die Chefetagen der Welt "aufzusteigen". Die Rebellion mit Stöckelschuhen endet also im totalen Fiasko, ausser, wenn es sich um Prostituierte in hohen Stöckelschuhen handelt, die kontaktgestörte Männer dominieren, die unfähig sind, ihre gesellschaftlichen Kontakte so zu gestalten, dass sie eine Freundin finden (Schlussfolgerung Palomino).
Stöckelschuhe als Beckenbodenübung - das kann man auch mit bequemen Schuhen machen
Die "Wissenschaft" fand auch heraus, dass die verformte Körperhaltung durch Stöckelschuhe es mit sich bringt, dass die Frau dauernd die Beckenbodenmuskulatur angespannt halten muss und dadurch der Sex intensiver würde [web3]. Dabei handelt es sich um Stöckelschuhe mit maximal 5 cm hohen Absätzen. Das Tragen von Stöckelschuhen von 5 cm Höhe ist also eine dauernde Beckenbodenübung, die ausserdem auch bei Inkontinenz helfen soll [web17]. Das heisst, die "moderne Medizin" behauptet, dass die deformierte Körperhaltung durch Stöckelschuhe die Blasenschwäche heilt bzw. Blasenschwäche vorbeugt [web49].
Nun, in diesem Sinn braucht es für die Beckenbodenmuskulatur die Entwicklung von bequemen Schuhen mit 5 cm Absatz, aber sicher nicht spitz zulaufende Stöckelschuhe mit Mini-Absatz, die die Füsse verstümmeln, mit denen die verzivilisierten Frauen ("Tussis") umkippen, und mit denen die verzivilisierten Frauen ("Tussis") die Böden kaputtmachen (Schlussfolgerung Palomino).
Als logisch denkender Mensch kommt man automatisch zur Schlussfolgerung, dass ein Verbot von Stöckelschuhen viel Leid verhindern würde, und die Entwicklung bequemer Schuhe mit breitem, 5 cm hohem Absatz ein positives Element in der Gesellschaft darstellen würde (Schlussfolgerung Palomino).
Eine Frau in Plateau-High-Heels in extremer Körperhaltung mit Arsch raus, Brust raus und starke S-Form-Verkrümmung der Wirbelsäule. Dies soll eine Beckenbodenübung sein. Es gibt wirklich Beckenbodenübungen, die weniger schädlich sind... [46]
Zerstörerische Stöckelschuhe als "Familientradition"
Es gibt tatsächlich Familien, wo die zerstörerischen Stöckelschuhe und High-Heels zur Familientradition geworden sind ("Stöckelschuh-Familien"). Da in einem Fall die Mutter ein negatives Beispiel mit verformten Zehen ist, hat die Tochter sich Zehenübungen zur Gewohnheit gemacht, damit die Zehen in etwa gerade bleiben:
<Trotzdem mache ich fast täglich Übungen mit meinen Zehen. Zum Schlafen habe ich mir ein Gestell konstruiert, um meine Zehen gerade zu bekommen. Meine Mutter hat nämlich völlig verformte Grosszehen. > [web31].
Einen schlimmeren und selbstzerstörerischen Schwachsinn kann man sich wirklich nicht vorstellen. Und das ist von der Regierung bis heute erlaubt...
Die Unterwürfigkeit gegenüber dem Mann, der die Stöckelschuhe befiehlt
Eine Frau in Plateau-High-Heel-Stiefeln lächelt unterwürfig-verschmitzt. Mit diesen Stiefeln sind schwere Schäden an Rücken und Füssen vorprogrammiert, und schon wenn die Frau 25 ist, wird sie vor Schmerzen nicht mehr lächeln können... [47]
Beipackzettel gibt es für Stöckelschuhe und High-Heels bisher nicht...
Es ist kaum zu glauben aber wahr, dass es Frauen gibt, die sich dem Mann derart fügen, dass sie für ihn die Qual auf sich nehmen, Stöckelschuhe zu tragen. Hier scheinen psychologische Probleme auf beiden Seiten nicht verarbeitet:
<Ich bin 34 Jahre alt und seit 10 Jahren mit meinen Mann verheiratet. Von Anfang an machte mein - damals noch zukünftiger - Mann mir klar, dass es mit uns nur dann Zweck hätte, wenn ich dazu bereit wäre bestimmte "Kleidungsvorschriften" - vor allem in Sachen Schuhe - zu erfüllen. Die erste Zeit fiel es mir schon schwer mich so unterzuordnen, besonders weil ich vorher so gut wie nie nennenswerte Absätze getragen hatte und nun auf einmal wenigstens 10 cm Absatz tragen sollte. Inzwischen hab ich mich natürlich dran gewöhnt und komme jetzt auch mit 14 cm Absatz sehr gut zurecht, wenn er möchte das ich welche trage.
Das kommt recht oft vor, meist in Situationen in denen anderes Schuhwerk angebrachter wäre. Aber im Laufe der Jahre habe ich auch eine gewisse Geschicklichkeit darin erlangt die Stöckel hinterher auch dementsprechend aussehen zu lassen, so dass er mir immer öfter neue High-Heels kaufen muss. Auch bei der Kleidung lässt er sich auf keine Kompromisse ein. Nylons müssen sein und, wann immer möglich, kurze Röcke oder Kleider.
Sicherlich habe ich mich umstellen müssen, aber heute kann ich mir nicht vorstellen eine Beziehung zu führen, ohne den Zwang, den er ausübt, indem er mir vorschreibt wann und wo ich welche Stöckel zu tragen habe.> [web31]
oder die willige Unterwürfigkeit wird so formuliert:
<Ich trage die High-Heels viel meinem Mann zu Liebe. Aber auch ich finde diese Art Schuhe sehr aufregend und finde aus Überzeugung, dass sie zu einer femininen Frau gehören. Da ich auch gerne mal mit meinem Mann frivoler ausgehe, ist die Wirkung auf andere Männer manchmal ein toller Nebeneffekt. Aber hauptsächlich tue ich es für meinen Mann, für mich und für unsere erotische Beziehung.>
oder so:
<Ich trage oft hohe Absätze, aber auch nur, weil mein Partner sehr angetan von hohen Pumps ist! Nun will ich nicht grundsätzlich gegen hohe Absätze sein, aber wenn ich sie das ganze Wochenende tragen muss, weiss ich doch den Augenblick zu schätzen, wenn ich sie Abends ausziehen darf. Ich kann es verstehen, dass Männer es gerne an einer Frau sehen, wenn sie hohe Absätze trägt. Für die Frau aber ist es schon ziemlich lästig!
Sicher habe ich mich daran gewöhnt. Wenn ich selbst entscheiden könnte, würde ich sicher öfter bequemere Schuhe tragen. Aber das werde ich meinem Partner wohl nicht zumuten können (und wollen) …> [web31]
Stöckelschuhe an Hochzeiten
Wenn eine Frau die Hochzeit in Stöckelschuhen abwickeln will und nicht an die Schmerzen gewöhnt ist, so wird sie die Hochzeit als schmerzhaftes Ereignis in Erinnerung behalten. [48]
Und die Braut im langen Kleid mit Stöckelschuhen wird eventuell mehrmals stürzen, weil sich das lange Kleid eventuell im Stöckel verheddern wird.
Beipackzettel gibt es für Stöckelschuhe und High-Heels bisher nicht...
Wenn die Frau bereits gewohnt ist, Stöckelschuhe zu tragen, so wird die Hochzeit in Stöckelschuhen ein schmerzhafter Marathon. Wenn die Frau nicht gewohnt ist, Stöckelschuhe zu tragen, und sich extra für die Hochzeit Stöckelschuhe kauft, so wird die Frau die Hochzeitszeremonie mit Schmerzen erleben und die Schuhe spätestens beim Tanz ausziehen und eventuell barfuss tanzen. Die Hochzeit wird nicht beschwingt, sondern in einer schmerzhaften Litanei enden... [web31]
Stöckelschuh-Kult und High-Heel-Kult auf anderen Sachgebieten
Der zerstörerische Stöckelschuh-Kult dehnt sich inzwischen auch auf weitere Sachgebiete aus. Da wurden zum Beispiel ein Stöckelschuh-Alphabet gezeichnet, oder ein High-Heel-Tisch konstruiert.
Stöckelschuh-Alphabet [49]
High-Heel-Tisch [50]
Oder pervers-sadistische Filmproduzenten produzieren Filme, wo Frauen nur noch hohe Stöckelschuhe tragen dürfen, wie z.B. die gesundheitlich-perverse Serie "Sex and the City". Und alle Tussi-Frauen wollen die Stimmung des Films nacherleben und tragen nun auch die zerstörerischen Stöckelschuhe, ohne eine Ahnung von den Folgen zu haben...
Kriminelle, hohe Stöckelschuhe in Filmen, z.B. in "Sex and the City"
Gesundheitlich-perverse Filmserie "Sex and the City" mit den vier Frauen in kriminellen, hohen und deswegen absolut gesundheits- schädlichen Stöckelschuhen [51]
Gesundheitlich-perverse Filmserie "Sex and the City" mit den vier Frauen in Unterwäsche in kriminellen, hohen und deswegen absolut gesundheitsschädlichen Stöckelschuhen [52]
Die Filmserie "Sex and the City" gaukelt vor, dass man in Stöckelschuhen mehr "Erfolg" in der Liebe hat. Krimineller kann man einen Film nicht gestalten!!!
Beipackzettel gibt es für Stöckelschuhe und High-Heels bisher nicht...
Oder es werden Sportarten mit Stöckelschuhen ausgetragen. Mehr kann man dem Körper eigentlich kaum schaden...
Pervers-schädlicher Sport in Stöckelschuhen (High-Heels)
Kriminelles Stöckelschuh-Rennen (High-Heel-Rennen) in Sydney, 2.Sep.2008, das kann nur absolut schädlich sein... [53]
Kriminelles High-Heel-Rennen in St. Petersburg 21.7.2007: Die Perversion eines High-Heel-Rennens mit vielen Stürzen und Verletzungen ist nicht mehr zu überbieten, wenn man betrachtet, dass dieser Sport eine Werbung für zerstörerische Stöckelschuhe ist... [54]
Kriminelles High-Heel-Rennen in St. Petersburg am 21.7.2007: Beim Zieleinlauf des High-Heel-Rennens gibt es wieder Stürze und umgeknickte Knöchel. So ein Rennen ist pervers. Und die Zeitschrift "Glamour" sponsort dieses körperverstümmelnde Treiben auch noch, und die Regierung lässt es zu... [55]
Beipackzettel gibt es für Stöckelschuhe und High-Heels bisher nicht...
Schlussfolgerung: Hier ist eine Hölle
Stöckelschuhe und High-Heels fortwerfen, vernichten und VERBIETEN
Die Schlussfolgerung ist ganz klar: Hier ist eine Hölle, denn die Modedesigner und Schuhfabrikanten fabrizieren absolut schädliche Schuhe, und die verzivilisierten Frauen ("Tussis") meinen, sie würden in diesen kriminell-gefährlichen Schuhen mehr sexy aussehen, und die Regierungen tun nichts, um die Menschen vor diesen kriminellen Schuhen zu bewahren.
Nein: Stöckelschuhe und High-Heels gehören in den Abfallkübel[56], um Sachbeschädigung und körperliche und seelische Schäden zu durch diese destruktiven Schuhe zu eliminieren. Punkt.
Es gibt nur eins: spitz zulaufende Stöckelschuhe verbieten, um die Gesellschaft vor Sachbeschädigung, falschem Stolz und schwerer Körperverstümmelung und vor hohen Gesundheitskosten zu bewahren [57]
Es gibt nur eins: auch vorne offene Stöckelschuhe verbieten, um die Gesellschaft vor Sachbeschädigung, falschem Stolz und schwerer Körperverstümmelung und vor hohen Gesundheitskosten zu bewahren [58]
Es gibt nur eins: spitz zulaufende Stöckelschuh-Slings verbieten, um die Gesellschaft vor Sachbeschädigung, falschem Stolz und schwerer Körperverstümmelung und vor hohen Gesundheitskosten zu bewahren [59]
x
Es gibt nur eins: Plateau-Slings verbieten, um die Gesellschaft vor Sachbeschädigung, falschem Stolz und schwerer Körperverstümmelung und vor hohen Gesundheitskosten zu bewahren [60]
Es gibt nur eins: spitz zulaufende High-Heels-Stiefel verbieten, um die Gesellschaft vor Sachbeschädigung, falschem Stolz und schwerer Körperverstümmelung und vor hohen Gesundheitskosten zu bewahren [61]
Es gibt nur eins: Ballett-High-Heels verbieten, um die Gesellschaft vor Sachbeschädigung, falschem Stolz und schwerer Körperverstümmelung und vor hohen Gesundheitskosten zu bewahren [62]
Es ist die Aufgabe der logisch denkenden Menschen, alle Frauen ("Tussis") vor den Folgen von Stöckelschuhen oder High-Heels zu warnen und diese Schuhe - wenn vorhanden - fortzuwerfen bzw. zu vernichten. Stöckelschuhe oder High-Heels sind Folterwerkzeuge und sind eigentlich nur für eine Folterkammer geeignet.
Die Presse bezeichnet die High-Heels denn auch inzwischen als "Foltertreter" [web54].
In diesem Sinn wäre es nur richtig, wenn Stöckelschuhe und High-Heels total verboten werden, weil damit ein beträchtlicher volkswirtschaftlicher Schaden entsteht: an Böden, an Frauenkörpern, und an Frauenseelen. Wenn in der Gesellschaft viele Stöckelschuhe getragen werden (es entsteht dadurch das Phänomen einer "Stöckelschuhgesellschaft"), so ist diese Stöckelschuh-"Zivilisation" körperlich sehr krank und leidend, und beides, kranke und leidende Menschen sollten wenn möglich vermieden werden. Ah, die Krankenkassen bezahlen weiterhin die Operationen...
Als logisch denkender Mensch fragt man sich: Wo bleibt die Produktehaftpflicht? Wieso gibt es bis heute keine Beipackzettelpflicht für Stöckelschuhe und High-Heels? Wieso müssen die Krankenkassen die Verstümmelungen an Füssen durch Stöckelschuhe bezahlen und nicht die Schuhproduzenten und die sadistischen Modedesigner?
Frauen sollen auch noch nach 25 munter rennen und springen können. Jeder Turnschuh bietet den Füssen mehr Qualität als Stöckelschuhe oder High-Heels.
Wenn die Schuhproduzenten und die sadistischen Modedesigner für die durch Stöckelschuhe und High-Heels provozierten Schäden und Verstümmelungen bezahlen müssten, dann gäbe es sofort keine Stöckelschuhe oder High-Heels mehr in den Regalen. Aber die Regierungen schlafen, denn die Präsidenten und Parlamentarier sind scheinbar selber so geil und sehen gerne Frauen in Stöckelschuhen, oder die Präsidenten und Parlamentarier haben sich bis heute nie genau über die zerstörerisch-kriminellen Stöckelschuhe informiert. Es ist ein Skandal!
Zum Schutz der Frauen sollten Stöckelschuhe und High-Heels absolut VERBOTEN werden. Es gibt nichts anderes. Es gibt genügend sexy Schuhe mit breiten, stabilen Absätzen bis 4 cm.
Und die verführten Stöckelschuh-Frauen ("Tussis") meinen, sie müssten die Schmerzen und die Verstümmelungen auch noch "ertragen", um ihren "Mut" und ihre "Kraft" zu beweisen. Was für ein Schwachsinn. Hier ist die Psychologie gefragt, mit dieser Ersatzbefriedigung aufzuräumen
*****
London - Mit Freunden wollte Sophie King in Manchester feiern gehen und machte sich chic für die Party. Doch kaum war sie in ihre neuen, umgerechnet rund 60 Euro teuren Highheels des Anbieters "Dolcis" geschlüpft, als der linke Absatz brach und die 20-Jährige schmerzhaft umknickte.
Meldungen über die kriminellen Stöckelschuhe (High-Heels)
Knöchelbruch durch Brechen des Stöckelschuhs - "Absatzbruchopfer" erhält 11.000 Euro Entschädigung
aus: Spiegel online: Knöchelbruch durch Stöckelschuh - Studentin erhält 11.000 Euro Entschädigung; 9.7.2008;
http://www.spiegel.de/panorama/justiz/0,1518,564731,00.html
<Der Absatz brach, Sophie King knickte um, wenig später war ihr Knöchel in Gips. Dieses Malheur lässt sich die britische Studentin von der Schuhkette "Dolcis" nun teuer bezahlen: Ein Gericht sprach der 20-Jährigen umgerechnet mehr als 11.000 Euro Entschädigung zu.
"Es hat wirklich wehgetan, aber ich wollte den anderen den Abend nicht ruinieren", sagte King der britischen "Daily Mail". "Nach ein paar Drinks fühlte ich mich schon besser."
Doch am nächsten Tag wurde die Literaturstudentin ohnmächtig. Im Krankenhaus wurde ein Knöchelbruch diagnostiziert, King wurde operiert, der Knöchel mit Schrauben fixiert. Wochenlang trug Sophie King einen Gips, musste ihren Job als Kellnerin aufgeben. Sie ging vor Gericht.
Das Bezirksgericht in Manchester sprach der 20-Jährigen umgerechnet 11.800 Euro Entschädigung zu, nachdem "Dolcis" eingeräumt hatte, der Schuh sei fehlerhaft gefertigt worden.
Kings Anwalt rechnet laut "Daily Mail" damit, dass der Fall nun weitere Absatzbruchopfer veranlassen könnte, vor Gericht zu ziehen.
pad>
*****
High-Heels mit Stossdämpfern vorgestellt
aus: Kronenzeitung online; 3.4.2009; http://www.krone.at/krone/S2/object_id__139868/hxcms/index.html
Krimineller Stöckelschuh mit Stossdämpfer: Die Erfindung eines Stöckelschuhs mit Stossdämpfer zeugt von absoluter Verantwortungslosigkeit für Böden und Gesundheit. Logisch denkende Menschen fragen sich, wieso so ein destruktiver Schuh nicht schon lange verboten ist. [63]
Perverser geht es nicht.
*****
<Griechenland will Stöckelschuhe, Kaugummi und Getränke aus seinen antiken Theatern verbannen. Der Grund: Sie gefährden den Marmor und andere Steine der historischen Stätten. Ein entsprechendes Gesetz hat der griechische Kulturminister Antonis Samaras dem griechischen Parlament vorgelegt. Wer sich daran nicht hält, dem droht zunächst der Rausschmiss aus dem Theater, in gravierenden Fällen auch ein Strafverfahren, berichtete die griechische Presse. Auch wer angetrunken ist oder sich nicht anständig benimmt, soll aus dem Theater gewiesen werden können.
Verbot von Stöckelschuhen in griechischen Theatern
aus: n-tv online: Historische Stätten in Athen: Stöckelschuhe verbannt; 14.5.2009;
http://www.n-tv.de/1154361.html
Das Thema beschäftigt die griechischen Behörden und Archäologen seit Jahren. Rücksichtslose Besucher der Vorstellungen kleben immer wieder Kaugummi auf den weissen Marmor des Herodes-Atticus-Theaters unterhalb der Akropolis von Athen. Dabei entstehen Säuren, die die Marmorstufen beschädigen. Auch die hohen Absätze vieler Besucherinnen zerstören das antike Gebäude. Trotz wiederholter Aufrufe und Bitten hielten sich die Besucher nicht an die Aufforderungen. "Es ist unglaublich aber wahr: Wir entdecken bei jeder Vorstellung Frauen mit hohen Absätzen", sagte Evgeneia Kalogeratou vom Kulturministerium in Athen der Deutschen Presse-Agentur.
Vor zwei Jahren hatten Restaurateure bei einer gründlichen Reinigung 27 Kilo Kaugummi aus den Stufen des Theaters entfernt. Ähnliche Zustände herrschten auch in anderen Theatern der Antike wie beispielsweise in Epidaurus auf der Halbinsel Peloponnes.
Das Athener Herodes-Atticus-Theater wurde 161 v. Ch. vom damaligen römischen Verwalter Athens, Herodes Atticus, erbaut. In den 60er Jahren des 20. Jahrhunderts wurde es restauriert. 5000 Zuschauer finden in den insgesamt 32 Sitzreihen Platz. Jedes Jahr gibt es dort in den Sommermonaten zahlreiche Theater- und Musikaufführungen.
dpa>
*****
Liverpool 16.9.2009: <Kampf den High-Heels: Gewerkschaft fordert Recht auf flache Schuhe
aus: 20 minuten online; 16.9.2009; http://www.20min.ch/news/kreuz_und_quer/story/30936134
Erst der Kampf um gleiche Löhne, nun der Kampf um gleiche Schuhe: Der britische Gewerkschaftsbund fordert, dass Frauen bei der Arbeit keine Schuhe mit hohen Absätzen tragen müssen.
Stewardessen oder Verkäuferinnen, deren Arbeitgeber bislang das Tragen hochhackiger Schuhe vorschreibt, sollen künftig die Wahl haben, auf flache umzusteigen, forderten die Delegierten bei einem Gewerkschaftstag in Liverpool.
Die Arbeitnehmervertreter riefen Unternehmen dazu auf, die Risiken zu analysieren, die mit dem Tragen von Pumps bei der Arbeit verbunden seien. Auf den Fussballen wirke bei High-Heels ein bis zu siebenfach grösserer Druck. Insgesamt zwei Millionen Arbeitstage gingen pro Jahr wegen Fussbeschwerden verloren, argumentierten die Delegierten.
(sda)>
Kommentar: Wahlfreiheit bringt nichts - nur ein Verbot bringt die Gesundheit
Zwei Millionen Arbeitstage gehen pro Jahr wegen Fussbeschwerden verloren - das ist ein absoluter Skandal. Die Gewerkschaft hat aber mit ihrer Forderung erst einen halben Schritt für die Gesundheit der Frauenfüsse getan, denn die Wahlfreiheit ist keine gesunde Wahl. Erst ein Verbot der High-Heels, ein Verbot aller Stöckelschuhe von über 4 cm ist eine Garantie für die Gesundheit der Füsse der Frauen. Und die Krankenversicherungen tun so, wie wenn ihnen die Kosten für die kranken Frauenfüsse egal wären...
Michael Palomino, 16.9.2009
*****
Konstanz 9.11.2009: <Teenagerin mit Stiletto ins Auge getreten
aus: 20 minuten online; 9.11.2009;
http://www.20min.ch/news/kreuz_und_quer/story/Teenagerin-mit-Stiletto-ins-Auge-getreten-30527090
von Gabi Schwegler
Blutig endete ein Ausflug von fünf Winterthurerinnen in eine Konstanzer Disco: Bei einer Schlägerei verlor eine von ihnen fast ein Auge. Wie die Clique gegenüber 20 Minuten erzählt, rasteten zwei deutsche Frauen völlig aus.
Zwei Kolleginnen des Opfers kehrten gestern an den Tatort in Konstanz zurück.
Fünf junge Winterthurerinnen wollten am Freitag in der Konstanzer Disco Dance Palace feiern. Doch die Partynacht wurde für eine von ihnen zum Horrortrip: Beim Tanzen wurde die Gruppe nach eigenen Aussagen von zwei deutschen Frauen mit Gesten provoziert. L.N.* (20) ging darauf auf die beiden zu und sprach sie auf die Provokation an.
Die schwarzhaarige Deutsche reagierte mit Schimpfworten. «Ich habe ihr darauf einen Klaps auf die Schulter gegeben», so L.N. «Jetzt wünschte ich, dass ich das nie gemacht hätte.» Denn darauf kam es zur Schlägerei zwischen vier der fünf Freundinnen und den zwei Deutschen aus Villingen-Schwenningen. S.B. (20) hat den verhängnisvollen Tritt gesehen: «Meine Kollegin lag am Boden. Dann trat die Schwarzhaarige mit ihrem spitzen Absatz zu – voll ins Auge.» Auch dann liess sie nicht vom blutüberströmten Opfer ab und schlug weiter zu. «Meine Kollegin hat geschrien, als würde sie geschlachtet», erinnert sich T.R (19).
Schliesslich griff die Security ein und rief Polizei und Krankenwagen. Im Konstanzer Spital wurde die Lehrtochter auf dem Flur verarztet. «Die Pfleger haben uns gar nicht ernst genommen», so L.N. So sind die fünf im Privatauto nach Winterthur gefahren, wo das Opfer am Samstag operiert wurde. Diagnose: Risse im oberen Tränengang und im Augenlid und ein gebrochener Knochen zwischen Auge und Nase. Noch ist unklar, wie weit die Sehkraft des Auges beeinträchtigt bleibt.
* Namen der Redaktion bekannt>
Kommentar: Stöckelschuhe brauchen Waffenschein
Dieser Vorfall einer schweren Körperverletzung mit Stöckelschuhen, die als Waffe gebraucht werden, ist nur die Spitze eines Eisbergs. Viele Vorfälle werden gar nicht öffentlich gemacht. Zur Vorbeugung gegen den Gebrauch der Stöckelschuhe als Waffe sollten Stöckelschuhe einen Waffenschein benötigen, weil man nie weiss, wie sich die Frauen mit Stöckelschuhen charakterlich verändern. Die Arroganz der Stöckelschuh-Frau kann sich dermassen steigern, dass die Erinnerung an den Waffenschein und das Drohen einer hohen Freiheitsstrafe das einzige ist, was die Frau dann noch zur Vernunft bringt.
Michael Palomino, 9.11.2009
*****
9.2.2010: High Heels beeinträchtigen Blut- und Nervenbahnen und somit die Gehirnfunktionen - und bewirken Dummheit
aus: 20 minuten online: Mode und Gesundheit: Machen High Heels dumm? 9.2.2010;
http://www.20min.ch/news/wissen/story/22695804
<Hohe Hacken sind unschlagbar, wenn Frau ihre Beine optisch verlängern und ihren Gang verführerisch elegant machen will. Aber die Stilettos sind nicht nur für den Rücken problematisch.
- Schönheit birgt Gefahren: High Heels
- Unschöne Folgen: Hallux und Hammerzehe
- Veränderte Haltung
- Für Schlaue: Katze als Haustier
Victoria Beckham kann ein Liedchen davon singen: Unlängst wurde die britische Stil-Ikone doch tatsächlich in wenig modischen Flip-Flops gesehen. Der Leidensdruck war offenbar zu gross: Schmerzhafte Stellen an den geschwollenen Füssen zwangen Frau Beckham zum Verzicht auf die hohen Hacken.
Und sie ist nicht allein: 80 Prozent aller Frauen leiden unter den Folgen zu enger und zu hoher Schuhe. Gemäss einer britischen Studie gingen im Vereinigten Königreich nicht weniger als 200 000 Frauen wegen Fussproblemen zum Arzt; 10 000 von ihnen landeten gar im Krankenhaus. Ein mehr als drei bis vier Zentimeter hoher Absatz verstärkt bereits den Druck im Vorfussbereich, was die Spreizfussbildung begünstigt. Da die Zehen überdies in die Schuhspitze gepresst werden, drohen auf Dauer ein Hallux valgus (Schiefzehe) und die Bildung von Hammerzehen.
Kopfschmerzen
Nicht nur die Füsse leiden unter den High Heels. Bekannt ist, dass auch der Rücken ungünstig belastet wird; die hohen Absätze verunmöglichen die natürliche Haltung und Spinalnerven (die Nerven, die paarweise zwischen zwei Wirbeln vom Rückenmark her aus dem Wirbelkanal führen) werden komprimiert. Weniger bekannt ist, dass hohe Hacken durch die Verengung von Blutgefässen und den Druck auf die Nervenbahnen auch die Hirnfunktionen beeinträchtigen können. Auch Kopfschmerzen sind dann die Folge.
Immerhin gibt es Hinweise, dass Frauen, die High Heels tragen, damit ihre Beckenbodenmuskulatur stärken. Eine italienische Urologin hat darauf hingewiesen, dass Absätze von fünf Zentimetern und mehr die Muskulatur des Beckenbodens — die wichtig für die Kontinenz, aber auch die Sexualität ist — in eine optimale Position bringt.
Katzen für Schlaue
Für Frauen, die gerne High Heels tragen und dadurch einen negativen Einfluss auf ihr Hirn befürchten, gibt es einen eher unkonventionellen Rat: Sie sollten sich eine Katze zulegen. Einer Studie der Universität Bristol (GB) zufolge sind nämlich die Besitzer von Stubentigern schlauer als Hundehalter. Schlauer zumindest dann, wenn man den Besitz eines Hochschulabschlusses als Kriterium heranzieht: Katzen hatten gemäss der Studie eine 1,36 Mal grössere Chance auf einen Besitzer mit Universitätsabschluss. Wahre Intelligenzbestien eben ...
(dhr)>*****
16.2.2010: Stöckelschuhe provozieren noch mehr Stürze im Schnee
aus: 20 minuten online: Profilsache: Mit dem Absatz kommt der Fall: 16.2.2010;
http://www.20min.ch/community/stories/story/Mit-dem-Absatz-kommt-der-Fall-13040965
<In Zürich wird gerutscht, was das Zeug hält. «Mit schicken Schühchen kein Wunder», meinen die einen. «Zürcher sind halt so cool, dass ihnen das Wasser unter den Sohlen gefriert», kontern die anderen.
Die Spitäler werden überschwemmt mit Sturzopfern, denen die vereisten Strassen zum Verhängnis wurden. Interessanterweise scheinen davon die Zürcher stärker betroffen als die Fussgänger in anderen Kantonen. Für die User ist der Fall klar - es liegt an der Eitelkeit. Anti Salz meint dazu nur: «Wenn ich mir die Damen mit den hohen Absätzen und die Herren mit den Ledersohlen an der Bahnhofstrasse anschaue, wunderts mich nicht.» Dora Mince ist nicht die Einzige mit ihrer Lösung für das Rutschproblem: «Angepasstes Schuhwerk verhindert die meisten Unfälle. Wo bleibt der gesunde Menschenverstand?»>
=====
16.7.2010: <Gesundheit: Muskelfasern werden kürzer - High-Heels schaden Achillessehne
aus: n-tv online; 16.7.2010;
http://www.n-tv.de/wissen/gesundheit/High-Heels-schaden-Achillessehne-article1072096.html
Frauen, die häufig Stöckelschuhe tragen, spüren Schmerzen - sobald sie in flache Schuhe steigen. Schuld daran ist die Achillessehne. Sie muss verkürzte Muskelfasern ausgleichen.
Dehnübungen helfen, die Achillessehnen flexibler zu machen.
Viele Frauen lieben Stöckelschuhe. Allerdings gilt dabei häufig: Wer schön sein will, muss leiden. Sobald sie nämlich mal auf flachen Sohlen unterwegs sind, schmerzen die Füße. Schuld daran ist die Achillessehne, wie Wissenschaftler der Universitäten Manchester und Wien jetzt herausgefunden haben. Die Studie wurde im "Journal of Experimental Biology" veröffentlicht.
Bei Frauen, die sehr oft Stöckelschuhe tragen, können sich demnach die Muskelfasern verkürzen, weil die Ferse durch die Schuhe ständig nach oben gepresst wird. Damit die Wadenmuskeln beim Gehen trotzdem optimal funktionieren, muss die Achillessehne den Unterschied kompensieren. Sie verändert dadurch zwar nicht ihre Länge, wird bei manchen Stöckelschuh-Trägerinnen jedoch dicker und unbeweglicher, entdeckten die Forscher aus Großbritannien und Österreich bei ihren Untersuchungen. Wenn die Frauen dann normale Schuhe anziehen, haben sie Schmerzen, weil ihre Achillessehne nicht mehr flexibel genug ist.
Doch die betroffenen Frauen müssen ihre Leidenschaft für hohe Absätze nicht aufgeben, meint Marco Narici, einer der Autoren der Studie. Er empfiehlt: gymnastische Dehnübungen.
dpa>
*****
Da hatte ein Designer eine "Idee", den schädlichen High-Heel als Motorrad (Töff) zu gestalten
aus: 20minuten (Schweiz)
Da hatte ein Designer eine "Idee", den schädlichen High-Heel als Motorrad (Töff) zu gestalten [64]
Einen grösseren Schwachsinn kann man wohl nicht erfinden. Der Ingenieur hatte scheinbar keine Ahnung, was für eine körperliche Verstümmelung mit dem Stöckelschuh einhergeht, sonst hätte er einen anderen Schuh für das Motorrad gewählt.
Die Hölle des Stöckelschuhs ist immer noch nicht verboten...
*****
Mord durch den Stöckelschuh einer arroganten Frau im Machtrausch: Hier ist wieder eine Meldung mehr:
China 25.11.2010: <Tierquälerei im Internet: Lachende Frau tötet Kaninchen mit ihren Pumps>
aus: Welt online; 25.11.2010;
http://www.welt.de/vermischtes/weltgeschehen/article11217166/Lachende-Frau-toetet-Kaninchen-mit-ihren-Pumps.html
<Filme von brutalen Tierquälerinnen im Internet sorgen für Empörung in China. Die Videos werden inzwischen extra in Auftrag gegeben, weil sie so viele Fans haben.
Im Internet zirkulierende Aufnahmen von brutalen Tierquälerinnen haben in Chinas Online-Welt für einen Sturm der Entrüstung gesorgt. In den Aufnahmen sind mehrere attraktive junge Chinesinnen zu sehen, die sich offensichtlich einen Spaß daraus machen, Kaninchen zu quälen. Medienberichten zufolge wurden die Frauen in den Videos, die kommerziellen Zwecken dienen sollen, bezahlt.
Zunächst spielen und schmusen die Frauen mit den Kaninchen – um sie dann nacheinander unter dem Gelächter der anderen zu misshandeln. Eine der Frauen setzt in den Aufnahmen ein Kaninchen auf den Tisch, legt eine Glasscheibe darüber, setzt sich drauf und balanciert. Nach etwa einer Minute steht die Frau wieder auf und hebt die Glasplatte an – zurück bleibt ein lebloses Kaninchen, dem Blut aus der Schnauze läuft.
Eine andere Frau tötet ein Tier, indem sie mit ihren hochhackigen Pumps zutritt. Medienberichten zufolge sind in den Aufnahmen auch kleine Kätzchen zu sehen, die misshandelt werden. Ob dieselbe Gruppe von Frauen für die Taten verantwortlich war, blieb zunächst unklar.
Die Videos verfolgen offenbar kommerzielle Zwecke für „Fans“ tierquälerischer Aufnahmen. Eine Frau namens Huang Xiaoxiao sagte dem Sender China Radio International, sie sei dafür bezahlt worden, in solchen Clips mitzuspielen, in denen alles Mögliche zerquetscht und zertreten werde. Die Bezahlung reiche dabei von 100 Yuan (gut elf Euro) für das Zerquetschen einer Frucht über 300 Yuan für kleinere Tiere und 400 Yuan für Kaninchen.
In Internetforen reagierten Nutzer empört und riefen dazu auf, die Frauen in den Videos ausfindig zu machen und zu bestrafen. Solche „virtuellen Jagden“ führten in der Vergangenheit wiederholt zum Erfolg.
*****
2.8.2011: Totschlag mit Stöckelschuh in den "USA"
aus: 20 minuten online: Stiletto-Attacke: Frau erschlägt Freund mit Stöckelschuh; 2.8.2011;
http://www.20min.ch/news/kreuz_und_quer/story/18447206
<In den USA ereignete sich ein Mord mit aussergewöhnlicher Waffe: Eine Frau schlug ihrem Lebensgefährten mit einem Stöckelschuh auf den Kopf.Mit dem Absatz ihres Stöckelschuhs hat eine Frau in den USA nach Polizeiangaben ihren Lebensgefährten erschlagen. Die 46-Jährige aus Augusta im US-Staat Georgia haute ihrem Freund während eines häuslichen Streits den Stiletto auf den Kopf, wie das Büro des Sheriffs mitteilte.
Der Vorfall ereignete sich offenbar bereits am Sonntag. Am Montag benachrichtigte sie die Polizei und wurde unter Mordverdacht verhaftet.
(dapd)>
========
19.5.2012: Stöckelschuh: Krampfadern durch High Heels vorprogrammiert
aus: Welt online: Krampfader-Alarm: Sexy High-Heels sind brutale Venenkiller; 19.5.2012;
http://www.welt.de/gesundheit/article106335096/Sexy-High-Heels-sind-brutale-Venenkiller.html
<Grazil, elegant, verführerisch, aber leider ziemlich ungesund: Je höher die High-Heels sind, desto stärker werden beim Gehen die Gefäße in den Beinen belastet. Aber es gibt Hilfe.
Von Gerlinde Felix
High Heels machen Beine zum Hingucker. Doch Mediziner warnen, dass der schöne Anblick nur von kurzer Dauer sein kann. Denn Venen können bei häufigem High-Heel-Tragen langfristig Schaden nehmen. Wie eine brasilianische Studie belegt, können Schuhe mit hohen Absätzen den Venen schaden.
Die Mediziner untersuchten die Beine von 30 Frauen zwischen 20 und 35 Jahren, die bislang keine Venenbeschwerden hatten. Die treibende Kraft für den Bluttransport Richtung Herz entgegen der Schwerkraft sind die aktive Bewegung von Knie und Sprunggelenk und die damit verbundenen Muskelkontraktionen, die die Venen förmlich auspressen.
"Klappen, die es in regelmäßigen Abständen in den Venen gibt, agieren dabei wie Rückschlagventile und sorgen für einen gerichteten Blutstrom nach oben", sagt der Gefäßspezialist Heiko Weisser von der Universitätshautklinik in Heidelberg. "Funktionieren die Venenklappen nicht mehr richtig, kommt es zum venösen Rückfluss." Das Blut fließt in die falsche Richtung.
Die Studie hat nun für jede Absatzhöhe das Restvolumen an Blut, die Muskelpumpenfunktion, den venösen Rückfluss sowie die venöse Abflussbehinderung bestimmt. Dabei schneiden Plateauschuhe am schlechtesten ab. Eine Absatzhöhe von 3,5 Zentimetern führte zu einem Blutrestvolumen von etwa 50 Prozent im Vergleich zum geringsten Restvolumen beim Barfußgehen (30 Prozent).
Blutrestvolumen in den Venen steigt auf über 60 Prozent
Mit zunehmender Höhe des Absatzes bis zu einer Höhe von sieben Zentimetern stieg dieses Blutrestvolumen in den Venen auf über 60 Prozent. Hohe Absätze vergrößern also den venösen Blutrückfluss in den Unterschenkeln.
Das erklärt sich wie folgt: "Durch das Tragen von Schuhen mit hohen Absätzen wird die Beugung des Sprunggelenks behindert. Die Muskelpumpe fällt aus, das Blut staut sich zurück. Hat eine Frau, die oft High Heels trägt, dann noch eine Veranlagung zu lockerem Bindegewebe, sind Krampfadern programmiert", warnt Weisser.
"Frauen müssen aber nicht komplett auf High Heels verzichten: Die Dosis macht das Gift." Der ständige Rückstau des Blutes kann aber nicht nur Krampfadern verursachen, sondern über Verbindungsvenen auch das tiefer gelegene Venensystem schädigen. So weit sollte man es nicht kommen lassen – es gibt mehrere Behandlungsmöglichkeiten.
Krampfadern können immer wieder kommen
"Allerdings sind Krampfadern eine Erkrankung wie Karies", schränkt der Gefäßspezialist Achim Mumme von der Klinik für Gefäßchirurgie und Leitender Arzt am Venenzentrum der Bochumer Universitätsklinik ein. "Einmal behandelt heißt nicht, dass die Krampfadern nicht an anderer Stelle wiederkommen."
Jedes Verfahren hat Vor- und Nachteile. Die kostengünstigste Methode ist die Schaumverödung, bei der ein frisch aufgeschäumtes, die Gefäßinnenhaut schädigendes Medikament in die nicht zu große Vene gespritzt wird und diese verödet. Das verschlossene Blutgefäß verschwindet über die Zeit. Oft sind mehrere Anwendungen nötig.
Nach drei Jahren haben sich in etwa 14 bis 31 Prozent der Fälle die Venen aber wieder geöffnet. Eine Leistung der gesetzlichen Krankenkasse ist auch die Stripping-Operation an den großen Venen. Pro Jahr werden rund 300.000 Stripping-OPs durchgeführt, bei denen die erkrankten Stammvenen komplett herausgezogen werden.
"Die Daten bezüglich der Erfolgsraten der einzelnen Verfahren variieren stark. Beim konventionellen "Strippen" der Stammvenen werden Rezidivraten von 20 bis 70 Prozent nach fünf bis 20 Jahren beschrieben", sagt Weisser. Es sei aber schwer zu sagen, ob dies wirklich operationsbedingt ist oder ob sich neue Krampfadern gebildet haben.
Ambulante und narbenfreie Behandlung
Seit etwa zwölf Jahren setzen viele Ärzte auf die endovenöse Lasertherapie und die Radiofrequenztherapie zur ambulanten und narbenfreien Behandlung dünner, nicht geschlängelter Stammvenen. Beim allmählichen Zurückziehen einer Laserfaser oder eines dünnen Katheters aus dem Inneren der Stammvene wird diese durch die Hitzeeinwirkung – aufgrund von Laserlicht oder Radiowellen – auf die Gefäßinnenhaut nach und nach geschrumpft und so verschlossen.
Im Laufe der nächsten Monate baut sich die behandelte Vene ab. Die Verschlussrate beträgt bei beiden Verfahren etwa 90 Prozent. "Bei der Radiofrequenztherapie wird die Energie aber schonender an die Gefäßwand abgegeben als bei der Lasertherapie.
Das Risiko einer Schädigung umliegenden Gewebes ist deshalb geringer", erklärt Weisser. In etwa zehn Prozent der Fälle öffnet sich die behandelte Vene innerhalb von fünf Jahren allerdings wieder. Beide Verfahren muss der Patient selbst bezahlen – etwa 1300 bis 1500 Euro pro Bein.
"Eine große, an mehreren Zentren durchgeführte Studie ist dringend nötig. Nur so ist feststellbar, wie groß die Langzeiterfolge bei allen Verfahren sind", fordert Achim Mumme. Er hat alle verfügbaren Vergleichsstudien analysiert und dabei festgestellt, dass es kaum ernst zu nehmende Daten gibt.
"Kein Mensch weiß, was mit den minimalinvasiv behandelten Patienten nach acht bis zehn Jahren wird. Da bei diesen Verfahren nicht die komplette Stammvene behandelt wird, sondern ein Sicherheitsabstand von zwei Zentimetern zu den Verbindungsvenen eingehalten werden muss, kann dies die erneute Krampfaderbildung fördern."
Stripping-Operation ist die Therapie der Wahl
Seine Studie ergab, dass die Stripping-Operation bei fortgeschrittenen Krampfadererkrankungen die Therapie der Wahl ist. "Die Radiowellentherapie eignet sich hingegen für weniger ausgeprägte Fälle, denn hier ist sie schmerzärmer als die OP. Im Vergleich zur Lasertherapie ist die Operation tendenziell schmerzärmer."
Werden Venen verschlossen oder entfernt, sind sie für Bypass-OPs am Herzen verloren. "Deshalb ist es erfreulich, dass der Trend bei einem mittelgradigen Krampfaderleiden in Richtung Venenerhaltung geht", sagt Mumme.
Bei dieser "Valvuloplastie" werden zu weite Venen geflickt. "Hierfür wird mit einer Kunststoffhaut ein innerer Kompressionsstrumpf um die Vene gelegt. Das verengt sie so weit, dass die Venenklappen wieder komplett schließen und das Blut nicht mehr zurückfließt." Langzeitdaten stehen aber noch aus.>
Teilen:
Quellen
[web1] http://de.wikipedia.org/wiki/Pumps
[web2] http://highheels.twoday.net/
[web3] http://www.healthjockey.com/2008/02/06/sex-improves-with-higher-heels/
[web4] http://www.romyrupp.ch/plaintext/angebote/fusspflege/prothetik/index.html
[web5] http://www.orthoactiv.de/index.php?open=vorfuss&PHPSESSID=e890fbe04bd4c225b41c5b021a6cf787#hammer_text
[web6] http://www.praxisklinik2000.com/GERMAN/hammerzeh.html
[web7] http://www.dr-med-frey.de/leistungsspektrum/fusschirogie.html
[web8] http://www.schuhboutique-busacker.de/fuss.html
[web9] http://de.wikipedia.org/wiki/Hallux_valgus
[web10] http://web7.h4535.serverkompetenz.net/index.php?id=136
[web11] http://www.arthro-uerdingen.de/fusschirurgie.html
[web12] http://www.winkler-osm.ch/2e-Fuss.html
[web13] http://www.qualimedic.de/reiterzehe.html
[web14] http://www.ktipp.ch/themen/beitrag/1019616/Stoeckelschuhe_belasten_die_Fuesse
[web15] http://www.talkteria.de/forum/topic-10312.html
[web16] http://www.orthopaedie-adam.ch/Seiten/erworbene_fussfehler.htm
[web17] http://www.shortnews.de/start.cfm?id=548120
[web18] https://forums.wow-europe.com/thread.html?topicId=5640177905&sid=3
[web19] http://www.telefon-treff.de/showthread/t-295486.html
[web20] http://www.sueddeutsche.de/panorama/856/449584/text/
[web21] Rundblick. Amtsblatt der Stadt Oberkirch; 9.2.2001, S.5;
www.oberkirch.de/publishNews/redirect.php?id=3218-1230652114.pdf
[web22] http://www.focus.de/reisen/reisefuehrer/deutschland/gasometer-berlin-stoeckelschuhe-
sind-nicht-erlaubt_aid_386301.html
[web23] http://picasaweb.google.com/lh/photo/2FCCW2rhyCeKyPgFTTnDzQ
[web24] http://plbg.de/lexikon/rueckblick/2007.htm
[web25] http://de.nntp2http.com/rec/tanz/2008/11/7f6047bbf6be5b80dc4e4d6d8d9b5385.html
[web26] http://www.derwesten.de/nachrichten/staedte/duisburg/2009/1/8/news-103573372/detail.html
[web27] http://www.tagesanzeiger.ch/mobile/mobilestory/22125766/index.html
[web28] http://www.falter.at/web/tier/kolumne.php?code=374&SESSID=0bc9269f4bf6fe5dd9e5a789c8f28ea5
[web29] http://www.krone.at/krone/S9/object_id__117939/hxcms_popup/index.html
[web30] http://www.semper-ti.de/2009-02-20-laeufers-aergernisse-2-tutnixe-und-willnurs
[web31] http://mitglied.lycos.de/stoeckel_freundin/schuhe-post.html
[web32] http://forum.gofeminin.de/forum/mode/__f1209_mode-Stockelschuhe-auf-Parkett.html
[web33] http://www.boingboing.net/2008/01/06/high-heels-tottery-k.html
[web34] http://collegecandy.com/tag/heels/
[web35] Beobachtung von Michael Palomino
[web36] http://www.adminsecret.com/news/articles/1327-how-high-heels-damage-womens-bodies?page=2
[web37] http://www.adminsecret.com/news/articles/1327-how-high-heels-damage-womens-bodies?page=3
[web38] http://en.wikipedia.org/wiki/Haglund's_deformity
[web39] http://en.wikipedia.org/wiki/Bursitis
[web40] http://de.wikipedia.org/wiki/Bursitis
[web41] http://en.wikipedia.org/wiki/Metatarsalgia
[web42] http://de.wikipedia.org/wiki/Metatarsalgie
[web43] http://www.adminsecret.com/news/articles/1327-how-high-heels-damage-womens-bodies?page=1
[web44] http://www.ehow.com/how_4890840_prevent-miscarriage.html
[web45] http://yesboleh.blogspot.com/2007_09_01_archive.html
[web46] http://www.femtalks.com/beauty/high-heels-vs-health-should-women-wear-heels/
[web47] http://www.spiegel.de/panorama/justiz/0,1518,511094,00.html
[web48] http://www.lukesch.ch/Text97_02.htm
[web49] http://www.uni-graz.at/ains2www_unizeit1_08.pdf
[web50] http://www.duckhome.de/tb/categories/3-Hoff-Rieger-Kunst,-die-nicht-nur-bildet/P2.html
[web51] Messer im Traum; http://74.125.47.132/search?q=cache:r0IjhTMjOHUJ:www.kibis-nf.de/ki-cms/
download/30.doc%3FPHPSESSID%3D1d1a5d294e3400ea6ae89fff3c5664ba+st%C3%B6ckelschuhe
+delikt&cd=70&hl=de&ct=clnk&gl=ch
[web52] http://lifestyle.excite.de/archiv/nachrichten/Schuhe
[web53] http://www.oe24.at/lifestyle/High_Heels_wurden_wieder_zum_Verhaengnis_214018.ece
[web54] http://www.oe24.at/lifestyle/Die_Heels_waren_zu_high_213226.ece
[web55] http://www.bild.de/BILD/sport/fussball/international/2008/07/11/cristiano-ronaldo-und-freundin-nereida/
humpeln-beide-beim-shoppen-umgeknickt.html
[web56] http://gipsverband.free.fr/xbarbiexd.htm
[web57] http://www.rueckeninformation.de/aktuelles/newsdetails/article/rueckenschmerzen-auf-stoeckelschuhen.html?
tx_ttnews%5BbackPid%5D=509&cHash=a68be26ff5
[web58] Erfahrung bei Praktika im Massagekurs in Lima 2016
Fotoquellen numerisch geordnet
[1] Stöckelschuh in Grün: http://de.wikipedia.org/wiki/Pumps
[2] Stöckelschuhe verboten, Verkehrszeichen: Michael Palomino (2009)
[3] Fuss in High-Heels, Röntgenfoto: http://web7.h4535.serverkompetenz.net/index.php?id=136
[4] Fussverstümmelung durch Stöckelschuhe in V-Form: http://www.dr-med-frey.de/leistungsspektrum/fusschirogie.html
[5] Reiterzehe 01: http://www.winkler-osm.ch/2e-Fuss.html
[6] vernähter Fuss nach der Operation von Spreizfuss, Schiefzehe und Rheuma: http://www.arthro-uerdingen.de/fusschirurgie.html
[7] Stöckelschuh Flamenco: http://de.wikipedia.org/wiki/Pumps
[8] Stöckelschuh Slings: http://de.wikipedia.org/wiki/Pumps
[9] Stöckelschuhe Plateau-Slings: http://highheels.twoday.net/
[10] Stöckelschuhe Plateau ohne nichts: http://highheels.twoday.net/
[11] High-Heels-Stiefel: http://www.highheels6.de/high_heels_stiefel/high_heels_stiefel.html
[12] Ballett-Heels: http://www.devab.us/servlet/the-6/BALLET-dsh-18-fdsh-LE/Detail
[13] Schilthorn-Wanderung, Stöckelschuhe verboten: http://picasaweb.google.com/lh/photo/2FCCW2rhyCeKyPgFTTnDzQ
[14] Stöckelschuhe in Gold: http://www.welt.de/lifestyle/article2401229/Ganz-schoen-hoch.html
[16] Körperhaltung, Schema: http://www.boingboing.net/2008/01/06/high-heels-tottery-k.html
[17] Das Morton-Neurom, Darstellung: web46: http://www.femtalks.com/beauty/high-heels-vs-health-should-women-wear-heels/
[18] Die verkürzte Achillessehne, Darstellung: web27: http://www.tagesanzeiger.ch/mobile/mobilestory/22125766/index.html
[19] Die verhärtete Wade, Darstellung: web46: http://www.femtalks.com/beauty/high-heels-vs-health-should-women-wear-heels/
[20] Hammerzeh, Schema:
[21] Hammerzeh Darstellung 01: http://www.dr-med-frey.de/leistungsspektrum/fusschirogie.html
[22] Hammerzeh Darstellung 02: http://www.praxisklinik2000.com/GERMAN/hammerzeh.html
[23] Krallenzehe, Schema: http://www.praxisklinik2000.com/GERMAN/hammerzeh.html
[24] Krallenzehen: http://www.revolutionhealth.com/conditions/arthritis/osteoarthritis/risk-factors/foot-problems-women
[25] krummer, grosser Zeh, Hallux valgus: http://de.wikipedia.org/wiki/Hallux_valgus
[26] Spreizfuss, Schema: http://www.orthopaedie-adam.ch/Seiten/erworbene_fussfehler.htm
[27] Spreizfuss mit Schiefzehe (Hallux valgus) und Überbein (Hallux valgus): http://www.arthro-uerdingen.de/fusschirurgie.html
[28] Spreizfuss und Schiefzehe (Hallux valgus), Röntgenfoto: http://de.wikipedia.org/w/index.php?title=Hallux_valgus&stable=0&shownotice=1
[29] Morton'sche Neuralgie, Schema: http://www.praxisklinik2000.com/GERMAN/hammerzeh.html
[30] Reiterzehe 02: http://www.wipplinger.org/fuss/index.html
[31] Sturz: http://yesboleh.blogspot.com/2007_09_01_archive.html
[32] Model mit langem Kleid zieht Stöckelschuhe aus: http://yesboleh.blogspot.com/2007_09_01_archive.html
[33] Sturz mit Lächeln: http://yesboleh.blogspot.com/2007_09_01_archive.html
[34] Model mit verstauchtem Knöchel muss weiter laufen: http://www.oe24.at/lifestyle/High_Heels_wurden_wieder_zum_Verhaengnis_214018.ece
[35] Knöchelbruch und Gips: http://www.menshealth.de/fitness/uebungen-trotz-knoechelbruch.20713.htm
[36] Frau tanzt in Stöckelschuhen: http://www.mode-blog.eu/?p=1063
[37] Frau in Stöckelschuhen, Sicht von unten: http://www.modekultur.info/index_de/glossar_heels
[38] Haglund-Fersen: http://www.myfootshop.com/SearchResults.asp?Method=conditioncategory&Value=Bone/
Joint&p=7&maxOps=0&theCkBox=
[39] Frau mit High-Heels mit Lange-Beine-Effekt: http://www.pixacom.com/model/198/models%2Ffitness%2Fblonde%2Fnatalie-hunt.html
[40] High-Heels im Bett: http://www.healthjockey.com/2008/02/06/sex-improves-with-higher-heels/
[41] High-Heels auf dem Sofa: http://www.morgenpost.de/vermischtes/article965496/Ab_30_ist_es_mit_dem_taeglichen_Sex_vorbei.html
[42] Stöckelschuh-Arschparade: http://www.stern.de/em2008/fotostrecken/allgemein/:Miss-EM-High-Heels-Trikots/622133.html
[43] Blondine in High-Heels: http://www.sexspalte.com/Heels/
[44] Plateau-High-Heels sehr hoch: http://www.modernblog.de/high-heels-immer-wieder-gerne-gesehen/
[45] Plateau-High-Heels: http://www.sexspalte.com/Heels/
[46] Frau in Plateau-High-Heels, extreme Körperhaltung: http://hotnikkibenz.thumblogger.com/
[47] Frau in Plateau-High-Heel-Stiefeln lächelnd: http://www.doortoxxx.com/
[48] Hochzeit in Stöckelschuhen: http://www.weddix.de/mode-schmuck-brautmode-von-a-bis-z-brautschuhe.html
[49] Stöckelschuh-Alphabet: http://stanford.wellsphere.com/skin-health-article/high-heels-as-letters/511816
[50] High-Heel-Tisch:
[51] Sex-and-the-City-Frauen in Stöckelschuhen: http://www.mediabistro.com/fishbowlny/pop_culture/is_sex_and_the_city_day_an_official_holiday_yet_86005.asp
[52] Sex-and-the-City-Frauen in Stöckelschuhen und Unterwäsche:
http://www.contactmusic.com/news.nsf/article/sex%20the%20city%20makers%20downsize%20london%20premiere_1067384
[53] Stöckelschuh-Rennen in Sydney 2.Sep.2008: https://www.20minutos.es/fotos/actualidad/velocidad-en-tacones-altos-5148/1/
http://coisasdemariablog.blogspot.com/2008/09/corrida-de-salto-alto.html
[54] Stöckelschuh-Rennen in St. Petersburg 2007: https://xnepali.net/lindsay-lohan-loves-to-be-arrested/
[55] Stöckelschuh-Rennen mit Sturz auf der Zielgeraden in St. Petersburg 2007: https://xnepali.net/lindsay-lohan-loves-to-be-arrested/
[56] Signet Abfallkübel: http://www.stadt-zuerich.ch/content/ted/de/index/gsz/natur-_und_erlebnisraeume
/spielplaetze/pflege_und_kontrolle_der_spielplaetze.html
[57=1] Grüner Stöckelschuh verboten: http://de.wikipedia.org/wiki/Pumps
[58=7] Hoher Stöckelschuh verboten: http://de.wikipedia.org/wiki/Pumps
[59=8] Roter Sling-Stöckelschuh verboten: http://de.wikipedia.org/wiki/Pumps
[60=9] Plateau-Sling-Stöckelschuh verboten: http://highheels.twoday.net/
[61=11] High-Heels-Stiefel verboten: http://www.highheels6.de/high_heels_stiefel/high_heels_stiefel.html
[62=12] Ballet-Stöckelschuh verboten: http://www.devab.us/servlet/the-6/BALLET-dsh-18-fdsh-LE/Detail
[63] Krimineller Stöckelschuh mit Stossdämpfer: http://www.krone.at/krone/S2/object_id__139868/hxcms/index.html (Österreich)
[64] High-Heel-Motorrad:
-- 20minuten (Schweiz)
-- Video 28.5.2013: Zdjęcia Wiocha.pl # 10): https://www.youtube.com/watch?v=N_hxmWtKbeg (57'')
[x01] Hohlkreuz: http://www.vitanet.de/gesundheit/muskeln_skelett/rueckenbeschwerden/service/praktische_hilfe
Fotoquellen nach Themen geordnet
[1] Stöckelschuh in Grün: http://de.wikipedia.org/wiki/Pumps
[3] Fuss in High-Heels, Röntgenfoto: http://web7.h4535.serverkompetenz.net/index.php?id=136
[7] Stöckelschuh Flamenco: http://de.wikipedia.org/wiki/Pumps
[8] Stöckelschuh Slings: http://de.wikipedia.org/wiki/Pumps
[9] Stöckelschuhe Plateau-Slings: http://highheels.twoday.net/
[10] Stöckelschuhe Plateau ohne nichts: http://highheels.twoday.net/
[61] High-Heels-Stiefel: http://www.highheels6.de/high_heels_stiefel/high_heels_stiefel.html
[12] Ballett-Heels: http://www.devab.us/servlet/the-6/BALLET-dsh-18-fdsh-LE/Detail
"Erotische" Argumente für den Stöckelschuh
[39] Frau mit High-Heels mit Lange-Beine-Effekt: http://www.pixacom.com/model/198/models%2Ffitness%2Fblonde%2Fnatalie-hunt.html
[40] High-Heels im Bett: http://www.healthjockey.com/2008/02/06/sex-improves-with-higher-heels/
[41] High-Heels auf dem Sofa: http://www.morgenpost.de/vermischtes/article965496/Ab_30_ist_es_mit_dem_taeglichen_Sex_vorbei.html
[42] Stöckelschuh-Arschparade: http://www.stern.de/em2008/fotostrecken/allgemein/:Miss-EM-High-Heels-Trikots/622133.html
[14] Stöckelschuhe in Gold: http://www.welt.de/lifestyle/article2401229/Ganz-schoen-hoch.html
[43] Blondine in High-Heels: http://www.sexspalte.com/Heels/
[46] Frau in Plateau-High-Heels, extreme Körperhaltung: http://hotnikkibenz.thumblogger.com/
[44] Plateau-High-Heels sehr hoch: http://www.modernblog.de/high-heels-immer-wieder-gerne-gesehen/
[45] Plateau-High-Heels: http://www.sexspalte.com/Heels/
[47] Frau in Plateau-High-Heel-Stiefeln lächelnd: http://www.doortoxxx.com/
[48] Hochzeit in Stöckelschuhen: http://www.weddix.de/mode-schmuck-brautmode-von-a-bis-z-brautschuhe.html
Zerstörerischer Stöckelschuh-Kult und High-Heel-Kult
[49] Stöckelschuh-Alphabet: http://stanford.wellsphere.com/skin-health-article/high-heels-as-letters/511816
[50] High-Heel-Tisch:
[51] Sex-and-the-City-Frauen in Stöckelschuhen: http://www.mediabistro.com/fishbowlny/pop_culture/is_sex_and_the_city_day_an_official_holiday_yet_86005.asp
[52] Sex-and-the-City-Frauen in Stöckelschuhen und Unterwäsche:
http://www.contactmusic.com/news.nsf/article/sex%20the%20city%20makers%20downsize%20london%20premiere_1067384
[53] Stöckelschuh-Rennen in Sydney 2.Sep.2008: https://www.20minutos.es/fotos/actualidad/velocidad-en-tacones-altos-5148/1/
http://coisasdemariablog.blogspot.com/2008/09/corrida-de-salto-alto.html
[54] Stöckelschuh-Rennen in St. Petersburg 2007: https://xnepali.net/lindsay-lohan-loves-to-be-arrested/
[55] Stöckelschuh-Rennen mit Sturz auf der Zielgeraden, St. Petersburg 2007: https://xnepali.net/lindsay-lohan-loves-to-be-arrested/
[63] Krimineller Stöckelschuh mit Stossdämpfer: http://www.krone.at/krone/S2/object_id__139868/hxcms/index.html (Österreich)
[64] High-Heel-Motorrad: 20minuten (Schweiz)
-- Video 28.5.2013: Zdjęcia Wiocha.pl # 10): https://www.youtube.com/watch?v=N_hxmWtKbeg (57'')
Sachbeschädigung und Tötungsdelikt durch Stöckelschuhe
[2] Stöckelschuhe verboten, Verkehrszeichen: Michael Palomino (2009)
[13] Schilthorn-Wanderung, Stöckelschuhe verboten: http://picasaweb.google.com/lh/photo/2FCCW2rhyCeKyPgFTTnDzQ
Krankheiten und Selbstverstümmelung: Medizinische Daten
[16] Körperhaltung, Schema: http://www.boingboing.net/2008/01/06/high-heels-tottery-k.html
[17] Das Morton-Neurom, Darstellung: web46: http://www.femtalks.com/beauty/high-heels-vs-health-should-women-wear-heels/
[18] Die verkürzte Achillessehne, Darstellung: web27: http://www.tagesanzeiger.ch/mobile/mobilestory/22125766/index.html
[19] Die verhärtete Wade, Darstellung: web46: http://www.femtalks.com/beauty/high-heels-vs-health-should-women-wear-heels/
Verkrüppelte Füsse durch Stöckelschuhe
[4] Fussverstümmelung durch Stöckelschuhe in V-Form: http://www.dr-med-frey.de/leistungsspektrum/fusschirogie.html
[21] Hammerzeh Darstellung 01: http://www.dr-med-frey.de/leistungsspektrum/fusschirogie.html
[22] Hammerzeh Darstellung 02: http://www.praxisklinik2000.com/GERMAN/hammerzeh.html
[23] Krallenzehe, Schema: http://www.praxisklinik2000.com/GERMAN/hammerzeh.html
[24] Krallenzehen: http://www.revolutionhealth.com/conditions/arthritis/osteoarthritis/risk-factors/foot-problems-women
[25] krummer, grosser Zeh, Hallux valgus: http://de.wikipedia.org/wiki/Hallux_valgus
[26] Spreizfuss, Schema: http://www.orthopaedie-adam.ch/Seiten/erworbene_fussfehler.htm
[3] Fuss im High-Heel-Schuh, Röntgenfoto: http://web7.h4535.serverkompetenz.net/index.php?id=136
[27] Spreizfuss mit Schiefzehe (Hallux valgus) und Überbein: http://www.arthro-uerdingen.de/fusschirurgie.html
[28] Spreizfuss und Schiefzehe (Hallux valgus), Röntgenfoto: http://de.wikipedia.org/w/index.php?title=Hallux_valgus&stable=0&shownotice=1
[29] Morton'sche Neuralgie, Schema: http://www.praxisklinik2000.com/GERMAN/hammerzeh.html
[5] Reiterzehe 01: http://www.winkler-osm.ch/2e-Fuss.html
[30] Reiterzehe 02: http://www.wipplinger.org/fuss/index.html
Fussoperation
[6] vernähter Fuss nach der Operation von Spreizfuss, Schiefzehe und Rheuma: http://www.arthro-uerdingen.de/fusschirurgie.html
Umknicken und Stürze
[31] Sturz: http://yesboleh.blogspot.com/2007_09_01_archive.html
[32] Model mit langem Kleid zieht Stöckelschuhe aus: http://yesboleh.blogspot.com/2007_09_01_archive.html
[33] Sturz mit Lächeln: http://yesboleh.blogspot.com/2007_09_01_archive.html
[34] Model mit verstauchtem Knöchel muss weiter laufen: http://www.oe24.at/lifestyle/High_Heels_wurden_wieder_zum_Verhaengnis_214018.ece
[35] Knöchelbruch und Gips: http://www.menshealth.de/fitness/uebungen-trotz-knoechelbruch.20713.htm
Weitere Schäden
[36] Frau tanzt in Stöckelschuhen: http://www.mode-blog.eu/?p=1063
[37] Frau in Stöckelschuhen, Sicht von unten: http://www.modekultur.info/index_de/glossar_heels
[38] Haglund-Fersen: http://www.myfootshop.com/SearchResults.asp?Method=conditioncategory&Value=Bone/
Joint&p=7&maxOps=0&theCkBox=
[x01] Hohlkreuz: http://www.vitanet.de/gesundheit/muskeln_skelett/rueckenbeschwerden/service/praktische_hilfe
Stöckelschuhe und High-Heels verbieten
[56] Signet Abfallkübel: http://www.stadt-zuerich.ch/content/ted/de/index/gsz/natur-_und_erlebnisraeume
/spielplaetze/pflege_und_kontrolle_der_spielplaetze.html
^